Trends
Sci.
2026;
23(1):
10950
Biofloc Meal-based Diets Enhance Immunostimulatory Activity and Survival of Penaeus vannamei Against Vibrio harveyi
Phennapa
Promthale1,
Boonsirm Withyachumnarnkul2,
Arnon Pudgerd3,
Watchara
Chongsa4,
Benjamart Pratoomthai5,
Warachin Gangnonngiw6,7,
Rapeepun
Vanichviriyakit6,8
and Kanokpan Wongprasert8,*
1Anatomy Unit, Department of Medical Sciences, Faculty of Science, Rangsit University,
Pathum Thani 12000, Thailand
2Advanced Institute for Food Security, Prince of Songkla University, Surat Thani 84170, Thailand
3Division of Anatomy, School of Medical Sciences, University of Phayao, Phayao 56000, Thailand
4Physiology
Unit, Department of Medical Sciences, Faculty of Science, Rangsit
University,
Pathum
Thani 12000, Thailand
5Department of Basic Medical Science, Faculty of Medicine Vajira Hospital, Navamindradhiraj University,
Bangkok 10300, Thailand
6Center of Excellence for Shrimp Molecular Biology and Biotechnology (Centex Shrimp), Faculty of Science,
Mahidol University, Bangkok 10400, Thailand
7National Center for Genetic Engineering and Biotechnology (BIOTEC), National Science and Technology Developazment Agency (NSTDA), Pathum Thani 12120, Thailand
8Department of Anatomy, Faculty of Science, Mahidol University, Bangkok 10400, Thailand
(*Corresponding author’s e-mail: [email protected])
Received: 16 June 2025, Revised: 24 July 2025, Accepted: 31 July 2025, Published: 1 October 2025
Abstract
Vibrio harveyi (V. harveyi) is a major bacterial pathogen that significantly impacts shrimp cultivation. This study aimed to evaluate the potential of bioflocs, harvested from shrimp pond systems, as a fishmeal substitute to combat V. harveyi infection in shrimp Penaeus vannamei (P. vannamei). Shrimp were fed with 6 diet formulations: Four experimental diets in which fishmeal was replaced with biofloc meal at 25, 50, 75 and 100 % (designated B25, B50, B75, and B100, respectively), a fishmeal-based control diet without biofloc (B0), and a positive control diet supplemented with β-glucan (BG). Feeding trials were conducted for 30 days, followed by a challenge with V. harveyi. Growth performance, survival rates, total hemocyte count (THC), phagocytic activity, and histopathological changes were evaluated. The results demonstrated that all biofloc-fed groups had growth performance comparable to the B0 and BG groups. Shrimp fed with the B25, B50, and B75 diets exhibited significantly enhanced immune responses, with elevated THC and phagocytic activity. In the V. harveyi challenge, the B25 group showed the highest survival rate among biofloc diets, comparable to that of the BG group. Histological analysis revealed that B25 and B50 diets reduced hepatopancreatic and muscle damage associated with infection. In conclusion, this study provides evidence that substituting fishmeal with biofloc (25 - 50 %) effectively enhances immune function and confers protection against V. harveyi infection in P. vannamei, supporting its potential as a sustainable functional feed ingredient in shrimp aquaculture.
Keywords: Biofloc technology, Penaeus vannamei, Vibrio harveyi, Shrimp feed, Immunostimulatory activity, Total hemocyte count, Phagocytic activity
Introduction
Shrimp aquaculture has encountered several challenges, particularly the rise of diseases, which have a substantial impact on both economic and production dimensions. Vibrio species are among the most prevalent and devastating bacterial pathogens affecting cultured shrimp [1,2]. Specifically, Vibrio harveyi (V. harveyi) has been identified as a leading cause of mass mortality during the grow-out period of penaeid shrimp, posing a significant challenge to shrimp farmers [3,4]. The use of antibiotics to control these infections has faced growing opposition due to concerns about long-term environmental impacts, high costs, and potential harm to human consumers [5,6]. Additionally, research has demonstrated that prolonged antibiotic use can diminish their effectiveness by promoting the emergence of antibiotic-resistant bacterial strains in shrimp [7], and excessive antibiotic levels can adversely affect shrimp growth [8]. Alternative strategies have been explored to combat V. harveyi, including the use of probiotics [9], herbal extracts [10], immunostimulants such as β-glucan, and seaweed-derived compounds [11,12]. However, these approaches have limitations related to cost, regulatory approval, and inconsistent efficacy under field conditions. Thus, there is a pressing need for sustainable and reliable alternatives for disease management in shrimp aquaculture.
In the search for more environmentally friendly and cost-effective treatments, biofloc technology (BFT) has emerged as a promising alternative [13,14]. BFT relies on the development of a microbial community, primarily composed of heterotrophic and chemoautotrophic bacteria [15,16]. Bioflocs consist of bacterial colonies, fungi, microalgae, and zooplankton [17,18], providing a rich source of nutrients, including protein, lipids, vitamins, and micronutrients [15,16]. In addition to their nutritional value, biofloc meals serve as functional supplements that enhance the health of shrimp and fish, particularly in intensive and semi-intensive systems [15]. Several studies have demonstrated that bioflocs improve water quality by converting nitrogenous waste into microbial biomass, while simultaneously serving as a natural feed that improves nutrient utilization, growth performance, and immune function in cultured species [14,15,19-21]. Shrimp and fish fed nutrient-rich bioflocs also demonstrated better growth and feed conversion ratios, which reduce production costs [16,22]. In Penaeus vannamei (P. vannamei), most previous studies have focused on the effects of biofloc meal on growth performance and nutritional value [14,21]. However, research on its influence on survival and immune response, particularly under V. harveyi challenge, remains limited.
In this study, we produced shrimp feed pellets that substituted fishmeal with biofloc meal to assess the effects of biofloc diets on growth, survival rate, and immune response. We also monitored survival rates after challenging the shrimp with V. harveyi. Our findings demonstrate that biofloc meal is a feasible protein source, with shrimp growth performance comparable to that achieved with conventional commercial feed. Furthermore, biofloc meal enhances shrimp immune function and provides protection against V. harveyi infection.
Materials and methods
Experimental animals
Healthy P. vannamei shrimp, with an average weight of 5 - 6 g, were obtained from the Development Center and Charoen Pokpand Food Public Co. Ltd. (CPF), Thailand. All procedures complied with the Mahidol University-Institutional Animal Care and Use Committee (Protocol No. MUSC61-006-408, 2018). Shrimp were acclimatized for 7 days in bio-filter laboratory tanks containing artificial seawater using artificial sea salt (Marinium), with a salinity of 15 ppt, and maintained at a temperature range of 26 - 28 ℃.
Biofloc preparation
Bioflocs were collected from rearing water (~15 - 25 ppt salinity) of shrimp cultured in canvas ponds at the Shrimp Village Farm, Chaiya district, Surat Thani, Thailand. The rearing system was based on BFT with a carbohydrate:nitrogen (C:N) ratio of 12:1. The collected bioflocs were dried at 40 ℃ for 48 h, crushed into a powder and manufactured into shrimp pellets. In the present study, we utilized commercial fishmeal (Mixed anchovy fish, NT Feed Company, Thailand). The composition of the fishmeal (% dry mass, w/w) included approximately 50 % crude protein, 7 % lipid, 17.10 % ash, and 6 % moisture. In our previous study, we reported the composition of bioflocs (% dry mass, w/w), which consisted of approximately 48 % crude protein, 5 % lipid, 1 % ash, and 10 % moisture [19]. The percentages of essential amino acids (EAA) analyzed by high performance liquid chromatography (HPLC) analysis and essential fatty acids (EFA) by gas chromatography (GC) analysis in our biofloc meal were found to be similar to those of fishmeal (Table 1).
Table 1 The percentages of essential amino acids (EAAs) and essential fatty acids (EFAs) of biofloc powder and fishmeal.
Essential amino acids (EAAs) (g/100 g protein) |
Dried bioflocs [19] |
Fishmeal [23] |
Arginine |
3.90 |
3.82 |
Histidine |
6.55 |
1.45 |
Isoleucine |
2.82 |
2.66 |
Leucine |
3.90 |
4.48 |
Lysine |
4.71 |
4.72 |
Methionine |
1.64 |
2.31 |
Phenylalanine |
3.07 |
4.35 |
Threonine |
3.75 |
2.31 |
Tryptophan |
5.44 |
0.57 |
Valine |
3.68 |
|
Essential fatty acids (EFAs) (g/100 g lipid) |
Dried bioflocs [19] |
Fishmeal [24] |
Linoleic acid |
0.19 |
0.06 |
Linolenic acid |
0.08 |
0.02 |
Docosahexaenoic |
0.30 |
0.16 |
Eicosapentaenoic acid |
0.25 |
0.17 |
Experimental diets
Four biofloc diet regimens were prepared by substituting fishmeal with biofloc at different percentages of dry mass (w/w): 25, 50, 75 and 100 %, named B25, B50, B75, and B100, respectively. The composition of each biofloc diet is shown in Table 2. All diets were formulated to maintain a consistent total protein content of 37 %. Two control diets were included, one was a normal control feed, without biofloc meal (B0) and the other was a positive control feed, normal feed with an addition of β-glucan (BG). A total of 540 shrimp were equally distributed into 18 tanks, with 30 shrimp per tank. Each diet was administered to three tanks to account for biological variation. Shrimp were fed twice daily at 8 AM and 4 PM, with the daily feeding amount of 7 % of body weight, for 30 days.
Table 2 Formulation of control diet (B0), β-glucan supplemented diet (BG) and biofloc meal substituted diets (B25, B50, B75, B100). All diets were formulated such that the total protein content amounted to 37 %. Mineral premix and vitamin premix were prepared according to [25].
Ingredients (%) |
B0 |
BG |
B25 |
B50 |
B75 |
B100 |
Fishmeal |
60.0 |
60.0 |
45.0 |
30.0 |
15.0 |
0.0 |
Biofloc meal |
0.0 |
0.0 |
15.0 |
30.0 |
45.0 |
60.0 |
Soybean meal |
13.6 |
13.6 |
14.6 |
15.5 |
16.5 |
17.4 |
Wheat gluten |
3.5 |
3.5 |
3.5 |
3.5 |
3.5 |
3.5 |
Squid oil |
2.0 |
2.0 |
2.0 |
2.0 |
2.0 |
2.0 |
Soybean lecithin |
1.5 |
1.5 |
1.5 |
1.5 |
1.5 |
1.5 |
Cholesterol |
0.5 |
0.5 |
0.5 |
0.5 |
0.5 |
0.5 |
Wheat flour |
12.0 |
12.0 |
12.0 |
12.0 |
12.0 |
12.0 |
Cellulose |
5.2 |
5.0 |
4.2 |
3.3 |
2.3 |
1.4 |
Mineral premix* |
1.0 |
1.0 |
1.0 |
1.0 |
1.0 |
1.0 |
Vitamin premix** |
0.7 |
0.7 |
0.7 |
0.7 |
0.7 |
0.7 |
β-glucan |
0.0 |
0.2 |
0.0 |
0.0 |
0.0 |
0.0 |
*Mineral premix (mg or g kg−1 diet): Na F, 2 mg; KI,0.8 mg; Co Cl2·6H2O (1%), 50 mg; Cu SO4· 5H2O, 10 mg; FeSO4· H2O, 80 mg; ZnSO4·H2O, 50 mg; Mn SO4·H2O,25 mg; MgSO4· 7H2O, 200 mg; Zoelite, 4.582 g.
**Vitamin premix (mg or g kg−1 diet): thiamin, 10 mg; riboflavin, 8 mg; pyridoxine HCl, 10 mg; vitamin B12, 0.2 mg, vitamin K3, 10 mg; inositol, 100 mg; pantothenic acid,20 mg; niacin acid, 50 mg; folic acid, 2 mg; biotin, 2 mg; retinol acetate, 400 mg; cholecalciferol, 5 mg; alpha-tocopherol, 100 mg; ethoxyquin, 150 mg; wheat middling, 1.1328 g.
Growth and survival rates of shrimp
The assessment of shrimp growth performance included the determination of final body weight, weight gain, specific growth rate (SGR), feed conversion ratio (FCR), and survival rate after the 30-day feeding treatment. These parameters were calculated using the following formulas [26]:
Weight gain (%) =100 × [(Final body weight) - (Initial body weight)] / Initial body weight (1)
Specific growth rate(%/day) = 100 × [Ln (Final body weight) - Ln (Initial body weight)] / Experiment duration(days) (2)
Feed conversion ratio = Total dry weight of feed offered / Total shrimp weight gained (3)
Survival rate (%) = 100 × (Final shrimp count / Initial shrimp count) (4)
Immune parameters examination
Total haemocyte count (THC) and phagocytic activity in shrimp from each diet group were examined on days 0, 7, 21, and 30.
Total haemocyte count
The THC were measured according to the previously described method [27]. Briefly, hemolymph (50 µL) was drawn at the ventral sinus from each shrimp, fixed (1:1) with 10 % formalin in 0.45 M NaCl (50 µL), and incubated at room temperature for 10 min. A 10 µL sample was then added to a hemocytometer and incubated for 5 min at room temperature before being counted. THC was assessed as the number of cells/mm3.
Phagocytic activity
Phagocytic activity of circulating hemocytes was assessed using the latex beads method as previously described [28], with a slight modification. Hemolymph (50 µL) was drawn into a syringe containing 50 µL of an anticoagulant solution (30 mM trisodium citrate, 0.34 M sodium chloride, and 10 mM EDTA-Na2, pH of 7.5). The osmolality was adjusted to 780 mOsm/kg using 0.115 M glucose, and incubated at room temperature for 10 min. The mixture was transferred to a microfuge tube, centrifuged for 5 min at 10,000 rpm at 4 ℃, then 200 µL of phosphate-buffered saline (PBS) was added. The haemocyte solution was mixed with the latex beads (108 beads/mL, particle diameter 1.094 Å) at a 1:1 ratio, and then 10 µL of the solution was dropped onto a glass slide. The slides were fixed with 4 % paraformaldehyde for 20 min, washed, and stained with 10 µL of Giemsa dye for 5 min. The phagocytic haemocytes were observed under a light microscope (Axioskop 40, Zeiss, Germany). Phagocytic activity was quantified by calculating the number of cells that ingested beads per 200 cells as follows:
Phagocytic activity (%) = [Number of bead ingested cells / Number of cells observed] × 100 (5)
Shrimp challenge test
A
total of 630 P.
vannamei
shrimp (5
- 6 g)
were
equally distributed into 21 tanks, with 30 shrimp per tank (3 tanks
for each of the 7 experimental groups).
Group
I consisted of shrimp fed a normal diet, serving as the normal
(uninfected)
control
(B0).
Group
II comprised shrimp fed a normal diet and subsequently challenged
with V.
harveyi
(VH1114
strain), as an infected control shrimp (B0-V).
Groups
III, IV, V, VI, and VII consisted of shrimp fed BG, B25, B50, B75,
and B100 biofloc diets, respectively, and were challenged with V.
harveyi
(named
BG-V,
B25-V,
B50-V,
B75-V,
and B100-V,
respectively).
Shrimp
were fed daily diets corresponding to their respective groups for 7
days prior to V.
harveyi
immersion.
On
day 8, the shrimp were immersed in 150 mL of fresh bacterial
culture, containing approximately 1×108
colony forming units (CFU)
mL−1
of V.
harveyi,
for 15 min before being transferred to a 15 L tank containing
artificial seawater prepared with artificial sea salt (Marinium)
at
15 ppt salinity, a final bacterial concentration of
1×106
CFU mL−1
[29].
Shrimp
mortality rates were monitored daily for 14 days, and 3 shrimp from
each tank
were
collected for histopathological examination on days 1 and 6 after
bacterial immersion.
Shrimp
hepatopancreas and muscles were collected
(size
0.5×0.5 cm), fixed in Davidsonʼs fixative for 24 h, and then
processed for standard histological analysis.
The
tissues were stained with standard hematoxylin and eosin solution
(H&E), and observed under a light microscope (Axioskop 40,
Zeiss, Germany).
Statistical analysis
Data were presented as mean ± SD of triplicate samples, analyzed using one-way ANOVA followed by Tukeyʼs test for comparisons involving more than three groups. A p-value less than 0.05 was considered statistically significant. All data were plotted and analyzed using GraphPad Prism 9 software.
Results
The biofloc diets enhanced the growth and survival rates of shrimp
Our 30-day feeding trial showed that all biofloc diets promoted weight gain, SGR, and FCR similar to the fishmeal (B0) and β-glucan (BG) supplemented diets. There were no significant differences in SGR and FCR among treatment groups (p > 0.05). The weight gain of all biofloc diets [B25 (41.35 ± 0.72), B50 (40.62 ± 0.88), B75 (40.21 ± 0.84) and B100 (40.08 ± 0.78)] was significantly higher compared to that in the control group (35.42 ± 0.92). Notably, the survival rates of shrimp fed biofloc diets B25 (93.33 ± 6.67 %) and B50 (91.52 ± 1.92 %) were significantly higher compared to those in the B75 (88.11 ± 3.33 %) and B100 (86.08 ± 1.92 %) groups. The survival rates of the B25 group were close to those of the BG shrimp (94.40 ± 1.92 %), but higher than those of the commercial feed (B0) group (79.07 ± 3.33 %) (Table 3).
Table 3 The growth performance and survival rate of P. vannamei after 30 days of feeding with bioflocs substituted diets (B25, B50, B75, B100) and BG compared to control diet (B0). Shrimp fed with bioflocs substituted fishmeal showed enhanced weight gain, SGR (specific growth rate) and decreased FCR (feed conversion ratio) comparable to shrimp fed with fishmeal diet and β-glucan supplemented diet (fishmeal-based). Consistently, the survival rate of bioflocs fed groups were higher than that of control shrimp, and can be comparable to that of β-glucan supplemented shrimp. Data are presented as a mean of triplicate independent experiments (mean ± SD). *indicates value significantly different from the control (p < 0.05).
Parameters |
B0 |
BG |
B25 |
B50 |
B75 |
B100 |
Initial weight (g) |
5.31 ± 1.59 |
5.37 ± 1.60 |
5.25 ± 1.69 |
5.49 ± 1.78 |
5.41 ± 1.77 |
5.45 ± 1.65 |
Final weight (g) |
5.58 ± 2.24 |
7.70 ± 2.30 |
7.75 ± 2.43 |
7.56 ± 2.39 |
7.64 ± 2.51 |
7.69 ± 2.36 |
Weight gain (%) |
35.42 ± 0.92 |
41.95 ± 0.80* |
41.35 ± 0.72* |
40.62 ± 0.88* |
40.21 ± 0.84* |
40.08 ± 0.78* |
SGRa (% day−1) |
0.75 ± 0.01 |
0.76 ± 0.00 |
0.75 ± 0.00 |
0.75 ± 0.12 |
0.74 ± 0.26 |
0.74 ± 0.45 |
FCRb |
1.62 ± 0.10 |
1.59 ± 0.06 |
1.64 ± 0.01 |
1.65 ± 0.03 |
1.69 ± 0.11 |
1.69 ± 0.05 |
Survival rate (%) |
79.07 ± 3.33 |
94.40 ± 1.92* |
93.33 ± 6.67* |
91.52 ± 1.92* |
88.11 ± 3.33* |
SGRa = Specific growth rate; FCRb = Feed conversion ratio.
The biofloc diets enhanced the immune response in shrimp
The THC values in the B25, B50, and BG biofloc-fed groups exhibited a sharp increase on day 7 compared to the initial count and the control diet (B0), and this increase continued to rise through the end of the experiments (day 30) (Table 4). Notably, the most significant increase in THC was observed in the B25 group, with values similar to those in the BG group, followed by the B50, B75, and B100 groups. Furthermore, the phagocytic activity of the B25, B50, B75, and B100 shrimp showed a significant increase on day 7 compared to the control, and these elevated levels persisted through day 30 (Table 4). Among all the time points, the B25 group consistently exhibited the highest phagocytic activity, which was similar to that of the BG shrimp.
Table 4 The total haemocyte count (THC) and phagocytic activity of P. vannamei fed with biofloc substituted diets (B25, B50, B75, and B100) compared to control (B0) and β-glucan (BG) supplemented diets on day 7, 21, and 30 of biofloc administration. The most pronounced increased THC and phagocytic activity were observed in B25 and β-glucan supplemented shrimp. Data are presented as a percentage of control (mean ± SD of triplicate independent experiments). *indicates values significantly different from B0 shrimp (p < 0.05).
Day |
B0 |
BG |
B25 |
B50 |
B75 |
B100 |
THC (x 106 cells) |
||||||
0 |
5.38 ± 0.32 |
5.38 ± 0.32 |
5.38 ± 0.32 |
5.38 ± 0.32 |
5.38 ± 0.32 |
5.38 ± 0.32 |
7 |
6.69 ± 0.49 |
11.92 ± 0.17* |
11.52 ± 0.61* |
9.13 ± 0.58* |
6.13 ± 0.32 |
6.90 ± 0.26 |
21 |
5.61 ± 1.25 |
11.97 ± 0.05* |
12.42 ± 0.56* |
10.58 ± 0.17* |
8.14 ± 0.50 |
7.94 ± 0.68 |
30 |
5.43 ± 0.27 |
14.32 ± 0.19* |
14.28 ± 0.35* |
12.12 ± 1.26* |
7.78 ± 0.15* |
7.00 ± 0.07 |
Phagocytic activity (%) |
||||||
0 |
15.83 ± 0.29 |
15.83 ± 0.29 |
15.83 ± 0.29 |
15.83 ± 0.29 |
15.83 ± 0.29 |
15.83 ± 0.29 |
7 |
16.61 ± 0.34 |
22.07 ± 0.07* |
21.17 ± 0.29* |
20.00 ± 1.00* |
19.17 ± 0.76* |
18.67 ± 0.29* |
21 |
17.28 ± 0.26 |
22.40 ± 0.35* |
22.33 ± 0.58* |
20.92 ± 0.89* |
20.00 ± 0.50* |
20.00 ± 0.50* |
30 |
15.34 ± 0.30 |
24.45 ± 0.51* |
25.17 ± 1.04* |
22.67 ± 0.29* |
20.17 ± 0.58* |
19.00 ± 0.50* |
The bioflocs diet exhibited a protective effect against shrimp mortality caused by V. harveyi
On day 1 following V. harveyi immersion, all infected groups began to show signs of mortality, whereas the normal control (B0) shrimp remained 100% alive. However, the B25-V, B50-V, and BG-V groups demonstrated lower mortality rates compared to the infected control (B0-V), as well as the B75-V and B-100-V shrimp, across all observed time points.
Specifically, on day 1, the mortality rate for B0-V shrimp was 12.22 ± 3.85 %, whereas it was 5.55 ± 3.85 %, 4.44 ± 1.93 %, 10.00, 20.00 and 26.67 % for the biofloc groups (BG-V, B25-V, B50-V, B75-V, and B100-V, respectively). By day 8, the mortality rate for B0-V shrimp had reached 100 %, while it was 47.77 ± 1.93 %, 45.55 ± 1.92 %, 47.79 ± 1.92 %, 80.00 and 92.22 % ± 1.92 % for the BG-V, B25-V, B50-V, B75-V, and B100-V groups, respectively. On Day 14, the mortality rates for BG-V, B25-V, B50-V, B75-V, and B100-V were 47.77 ± 1.93 %, 45.55 ± 1.92 %, 50.00 ± 0.00, 80.00 ± 0.00, and 92.22 ± 1.92 %, respectively (Figure 1). Statistical analysis using one-way ANOVA followed by Tukeyʼs post hoc test revealed that the survival rates of the BG, B25, and B50 groups were significantly higher than those of the B0-V group (p < 0.05).
Figure 1 Percent cumulative mortality of shrimp post V. harveyi (VH1114) immersion for 14 days. B0, normal (uninfected) shrimp; B0-V, V. harveyi-infected control shrimp; BG-V, β-glucan fed shrimp and V. harveyi infected; B25-V, B50-V, B75-V and B100-V, bioflocs fed shrimp at 25, 50, 75 and 100 % substitution, respectively, and V. harveyi infected. Data are presented as mean ± SD from three independent experiments. *indicates values significantly different from B0-V shrimp and #indicates values significantly different from BG-V shrimp (p < 0.05).
The bioflocs diet prevented histopathological changes in hepatopancreas and skeletal muscles caused by V. harveyi infection
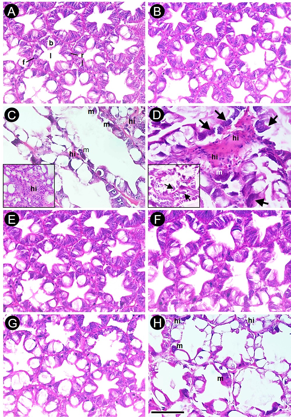
The control group (B0), BG-V, B25-V, and B50-V shrimp exhibited normal hepatopancreatic tubules with the characteristic features of b (blister-like), f (fibrillar), and r (resorptive) cells surrounding the hepatopancreatic (HP) tubule lumen (Figures 2(A) - 2(D)). Similarly, for the skeletal muscle, the control group (B0), BG-V, B25-V, and B50-V shrimp displayed normal muscle tissue features (Figures 3(A) - 3(D)). In contrast, shrimp infected with V. harveyi (B0-V) presented histopathological signs of bacterial infection in the hepatopancreas. These signs included the presence of melanized necrotic cells, haemocyte infiltration, severe hepatopancreatic epithelium collapse, a substantial reduction in R and B cells, and severe sloughing of HP tubule epithelial cells (Figures 2(E) - 2(F)). Furthermore, these shrimp groups exhibited histopathological signs of bacterial infection in the skeletal muscle, including necrotic (melanized necrotic) muscle fibers and severe haemocyte infiltration (Figures 3(E) - 3(F)). The B75-V and B100-V shrimp showed both intact hepatopancreatic tubules and skeletal muscles in some areas (Figures 2(G) and 3(G)), while other areas displayed signs of tissue damage (Figures 2(H) and 3(H)).
Figure 2 Photomicrographs depicting the hepatopancreas of shrimp after immersion in V. harveyi (VH1114). (A) Control uninfected shrimp (B0) and (B), (C), (D) BG-V, B25-V, and B50-V shrimp displayed normal features of hepatopancreatic tubules, with characteristic b (blister-like), f (fibrillar), and r (resorptive) cells surrounding the l (lumen). (E) and (F) Hepatopancreatic tissues of B0-V shrimp exhibited tubule destruction, melanized necrotic cells (m), haemocyte infiltration (hi), hepatopancreatic epithelium collapse, and severe sloughing of HP tubule epithelial cells (arrows). B75-V and B100-V shrimp displayed both (G) areas with normal hepatopancreatic features and (H) areas with melanized necrotic cells, haemocyte infiltration, and hepatopancreatic epithelium collapse. Scale bar = 50 µm.
Figure 3 Photomicrographs illustrating the skeletal muscle of shrimp after immersion in V. harveyi (VH1114). Oblique sections of skeletal muscles in (A) control, uninfected shrimp (B0) and in (B) BG-V, (C) B25-V, and (D) B50-V shrimp displaying normal muscle features. (E) and (F) Transverse sections of skeletal muscle in B0-V shrimp showing muscle damage, necrotic muscle fibers (n), and haemocyte infiltration (hi). (G) and (H) Longitudinal sections of skeletal muscles in B75-V and B100-V shrimp exhibiting both (G) areas with normal muscle features and (H) areas with muscle damage and haemocyte infiltration. Scale bar = 50 µm.
Discussion
Fishmeal protein is a vital nutritional requirement in aquaculture feed [30]. However, fishmeal has become increasingly expensive due to limited supply. This shortage is driven by climate change, overfishing, and the collapse of ocean fishery stocks [31]. Thus, there is a pressing need to find alternative protein sources that are environmentally friendly and cost-effective for aquaculture feed formulations. This study proposes the substitution of bioflocs for fishmeal in shrimp diets. We demonstrate that bioflocs collected from shrimp ponds utilizing liquid molasses as a carbon source can serve as a viable protein source, comparable to commercial feed. This substitution supports shrimp growth comparable to commercial feed containing fishmeal. Additionally, bioflocs have significant potential to enhance shrimp immune parameters and protect shrimp from mortality from V. harveyi infection.
According to [32], standard juvenile penaeid shrimp feed pellets should contain high protein (> 400 g/kg), sufficient lipid (100 g/kg), and low ash contents (160 g/kg). In this study, our biofloc powder has amino acid and fatty acid profiles similar to those of commercial fishmeal, containing a crude protein content of approximately 480 g/kg, with crude lipid, moisture, and ash levels within the FAOʼs recommended range [19]. We formulated feed pellets to test the effects of bioflocs on growth and immunity in P. vannamei. Each pellet contained a different level of biofloc meal replacing fishmeal. Our feeding trial showed that biofloc substituted for fishmeal enhanced weight gain, SGR, and decreased FCR at levels comparable to those of fishmeal and β-glucan-supplemented feeds. These results suggest that biofloc meal effectively supports shrimp growth similar to commercial feeds.
In P. vannamei, the enhanced growth performance by bioflocs is associated with an increased production of digestive enzymes [33]. This effect is attributed to probiotics presented in bioflocs, which may modulate microbial community in the shrimp gastrointestinal tract by promoting the growth of beneficial bacteria and suppressing the growth of pathogenic species [34]. Probiotics such as Bacillus and Lactobacillus are known to stimulate the production of endogenous enzymes in the hepatopancreas and gastrointestinal tract. This stimulation improves nutrient absorption and feed utilization. As a result, shrimp exhibit higher growth rates and a reduced FCR [9]. In our previous study, we used 16S rRNA sequencing to identify probiotics in biofloc samples. The analysis revealed that Bacillus species made up approximately 2 % of the microbial population [35]. This may help explain why the B25 and B50 diets resulted in optimal growth performance in juvenile P. vannamei. Our findings are consistent with previous reports showing that biofloc-based diets improve growth performance and feed efficiency. These improvements are typically reflected by increased SGR and reduced FCR. Similar results have been observed in Penaeus monodon [19], P. vannamei [20], Penaeus indicus [21], Macrobrachium rosenbergii [36], and Nile tilapia [15]. These consistent outcomes across species support the broader application of bioflocs as a fishmeal substitute in aquaculture.
We also investigated whether bioflocs exhibit immune-stimulating activity in P. vannamei by comparing their effects with β-glucan supplementation. Several studies have identified THC and phagocytic activity as reliable indicators for immune status in shrimp [12,37,38]. In this study, we specifically focused on assessing these two immune parameters. Hemocyte cells play a central role in the innate immunity of shrimp by participating in phagocytosis, prophenoloxidase activity, and encapsulation of invading pathogens. These activities are key components of the nonspecific immune response of shrimp [39]. Previous research has reported that bioflocs contain microbial-associated molecular patterns (MAMPs), such as lipopolysaccharides and peptidoglycan, both of which are crucial components for the pattern-recognition receptor system in shrimp. This system stimulates cellular and humoral immune responses, including an increased number of hemocytes [40]. In our study, biofloc-supplemented diets increased THC and phagocytic index to levels comparable to those induced by β-glucan supplementation. In particular, the 25 % and 50 % biofloc substitution diets (B25 and B50) produced marked increases in THC after 7 days of feeding. These elevated levels were sustained throughout the experiment period. Shrimp fed the B25 and B50 diets also exhibited improved survival rate of approximately 60 % following V. harveyi infection, comparable to shrimp receiving β-glucan supplementation. These findings are consistent with previous studies reporting improved survival in shrimp fed biofloc diets and challenged with Vibrio parahaemolyticus [19,21]. Furthermore, daily feeding with biofloc diets containing 25 and 50 % fishmeal substitution also enhanced immune parameters. This immune stimulation was correlated with higher survival in shrimp challenged with V. harveyi. Similar immune-boosting effects have been observed in other cultured shrimp species [40,41].
In crustaceans, the hepatopancreas is a typical target of V. harveyi. Histopathological signs of V. harveyi infection include separation of HP epithelial cells, HP tubule damage/rupture, melanized haemocytic nodules, melanized necrotic cells, and haemocyte infiltration within interstitial tissue and sinuses [1]. Additionally, Vibrio spp. has been shown to destroy skeletal muscles in shrimp, demonstrating necrotic (melanized necrotic) muscle fibers, haemocytic nodules, and severe haemocyte infiltration [42-44]. Our histological findings in the B25 and B50 shrimp revealed close-to-normal features of the hepatopancreas and skeletal muscle. Hence, this evidence suggests that biofloc substitution for fishmeal at 25 and 50 % enhances the immune response in penaeid shrimp and effectively protects them from Vibrio species. Further investigation into the underlined enhanced immune parameters in shrimp and the protective mechanisms of bioflocs against V. harveyi would help in understanding the role of bioflocs and identifying the optimum biofloc regimens for controlling vibriosis in aquatic farms.
Conclusions
This study demonstrates that partial replacement of fishmeal with biofloc meal at levels of 25 - 50 % supports the growth of P. vannamei, significantly enhances immune responses, and improves survival against V. harveyi infection. Shrimp fed biofloc-based diets showed growth performance comparable to those receiving conventional commercial feed, with increases in total hemocyte count and phagocytic activity. Notably, the 25% biofloc substitution diet protects V. harveyi, comparable to the β-glucan-supplemented diet. These findings highlight the potential of biofloc meal as a sustainable, functional feed ingredient in shrimp aquaculture, reducing dependence on antibiotics and supporting environmentally responsible farming practices.
Acknowledgments
This research project was supported by Mahidol University, Thailand (Fundamental Fund, Grant no. FF-056/2566), and the APC was funded by the Research Institute of Rangsit University, 12000, Thailand. We would like to thank the CIF and CNI, Faculty of Science, Mahidol University, 10400, Thailand. Center of Excellence for Shrimp Molecular Biology and Biotechnology (CENTEX SHRIMP, the Shrimp Genetic Improvement Center (SGIC), Surat Thani for providing laboratory facilities and Charoen Pokpand Food Public Co.Ltd. (CPF) for providing shrimp samples.
Declaration of Generative AI in Scientific Writing
No content generation or data interpretation was performed by AI. The authors take full responsibility for the content and conclusions of this work.
CRediT Author Statement
Phennapa Promthale: Conceptualization, Methodology, Investigation, Formal analysis, and Writing-original draft. Boonsirm Withyachumnarnkul: Resources, Investigation, and Methodology. Arnon Pudgerd: Investigation and Formal analysis. Watchara Chongsa: Formal analysis and Validation. Benjamart Pratoomthai: Formal analysis and Validation. Warachin Gangnonngiw: Investigation and Validation. Rapeepun Vanichviriyakit: Methodology, Resources, Supervision, and Formal analysis. Kanokpan Wongprasert: Conceptualization, Methodology, Resources, Supervision, Formal analysis, Funding acquisition, Writing-review, and Editing.
References
[1] CDS Valente and AHL Wan. Vibrio and major commercially important vibriosis diseases in decapod crustaceans. Journal of Invertebrate Pathology 2021; 181, 107527.
[2] WO Haifa-Haryani, MA Amatul-Samahah, M Azzam-Sayuti, YK Chin, M Zamri-Saad, I Natrah, MNA Amal, WH Satyantini and MY Ina-Salwany. Prevalence antibiotics resistance and plasmid profiling of Vibrio spp. isolated from cultured shrimp in Peninsular Malaysia. Microorganisms 2022; 10(9), 1851.
[3] SV Alavandi, V Manoranjita, KK Vijayan, N Kalaimani and TC Santiago. Phenotypic and molecular typing of Vibrio harveyi isolates and their pathogenicity to tiger shrimp larvae. Letters in Applied Microbiology 2006; 43(5), 566-570.
[4] I Karunasagar, R Pai, GR Malathi and I Karunasagar. Mass mortality of Penaeus monodon larvae due to antibiotic-resistant Vibrio harveyi infection. Aquaculture 1994; 128(3-4), 203-209.
[5] T Defoirdt, N Boon, P Sorgeloos, W Verstraete and P Bossier. Short-chain fatty acids and poly-β-hydroxyalkanoates: (New) biocontrol agents for a sustainable animal production. Biotechnology Advances 2009; 27(6), 680-685.
[6] BM Marshall and SB Levy. Food animals and antimicrobials: Impacts on human health. Clinical Microbiology Reviews 2011; 24(4), 718-733.
[7] RH Reboucas, OVD Sousa, AS Lima, FR Vasconcelos, PBD Carvalho and RHSDF Vieira. Antimicrobial resistance profile of Vibrio species isolated from marine shrimp farming environments (Litopenaeus vannamei) at Ceará, Brazil. Environmental Research 2011; 111(1), 21-24.
[8] WA Bray, RR Williams, DV Lightner and A Lawrence. Growth, survival and histological responses of the marine shrimp, Litopenaeus vannamei, to three dosage levels of oxytetracycline. Aquaculture 2006; 258(1-4), 97-108.
[9] JXH Goh, LTH Tan, JWF Law, KY Khaw, G Zengin, KG Chan, V Letchumanan, LH Lee and BH Goh. Probiotics: Comprehensive exploration of the growth promotion mechanisms in shrimps. Progress in Microbes & Molecular Biology 2023; 6(1), 0000324.
[10] G Agurto-Rodriguez, C Dominguez-Borbor, C Tomala-Beltran, R Malave and J Rodriguez. Immunomodulatory and anti-vibrio properties of plant extract to manage the health of the shrimp Penaeus vannamei. AquaTechnica, Revista Iberoamericana de Acuicultura 2022; 4(2), 109-123.
[11] G Wei, H Tan, S Ma, G Sun, Y Zhang, Y Wu, S Cai, Y Huang and J Jian. Protective effects of β-glucan as adjuvant combined inactivated Vibrio harveyi vaccine in pearl gentian grouper. Fish & Shellfish Immunology 2020; 106, 1025-1030.
[12] Y Kilawati and RA Islamy. Immunostimulant activity of Gracilaria sp. and Padina sp. on immune system of vannamei shrimp (Litopenaeus vannamei) against Vibrio harveyi. Journal of Aquaculture and Fish Health 2021; 10(2), 252-257.
[13] MH Khanjani, M Sharifinia and MGC Emerenciano. Biofloc Technology (BFT) in aquaculture: What goes right, what goes wrong? a scientific-based snapshot. Aquaculture Nutrition 2024; 2024(1), 7496572.
[14] BCS Valle, JEM Dantas, JFX Silva, RS Bezerra, ES Correia, SRM Peixoto and RB Soares. Replacement of fishmeal by fish protein hydrolysate and biofloc in the diets of Litopenaeus vannamei postlarvae. Aquaculture Nutrition 2014; 21(1), 105-112.
[15] J Figueroa-Espinoza, ME Rivas-Vega, MA Mariscal-Lopez, MGC Emerenciano, M Martinez-Porchas and A Miranda-Baeza. Reusing water in a biofloc culture system favors the productive performance of the Nile tilapia (Oreochromis niloticus) without affecting the health status. Aquaculture 2022; 558, 738363.
[16] JA Hargreaves. Biofloc production systems for aquaculture. Southern Regional Aquaculture Center 2013; 1, 4503.
[17] Y Avnimelech. Biofloc technology a practical guide book. The World Aquaculture Society, Louisiana, 2009.
[18] MH Khanjani, M Sharifinia and S Hajirezaee. Biofloc: A sustainable alternative for improving the production of farmed cyprinid species. Aquaculture Reports 2023; 33, 101748.
[19] P Promthale, P Pongtippatee, B Withyachumnarnkul and K Wongprasert. Bioflocs substituted fishmeal feed stimulates immune response and protects shrimp from Vibrio parahaemolyticus infection. Fish & Shellfish Immunology 2019; 93, 1067-1075.
[20] M Nethaji, B Ahilan, A Kathirvelpandiyan, N Felix, A Uma, TS Mosses and RSS Lingam. Biofloc meal incorporated diet improves the growth and physiological responses of Penaeus vannamei. Aquaculture International 2022; 30(5), 2705-2724.
[21] A Panigrahi, RR Das, MR Sivakumar, A Saravanan, C Saranya, NS Sudheer and G Gopikrishna. Bio-augmentation of heterotrophic bacteria in biofloc system improves growth, survival, and immunity of Indian white shrimp Penaeus indicus. Fish & Shellfish Immunology 2020; 98, 477-487.
[22] B Raza, Z Zheng and W Yang. A review on biofloc system technology, history, types, and future economical perceptions in aquaculture. Animals 2024; 14(10), 1489.
[23] RD Miles and FA Chapman. The benefits of fish meal in aquaculture diets: FA122/FA122, 5/2006. EDIS 2006. https://doi.org/10.32473/edis-fa122-2006
[24] GB Misir, S Kutlu and S Çibuk. Determination of total lipid and fatty acid composition of pearl mullet (Chalcalburnus tarichi, Pallas 1811). Turkish Journal of Fisheries and Aquatic Sciences 2013; 13(5), 777-783.
[25] S Rahimnejad, X Yuan, L Wang, K Lu, K Song and C Zhang. Chitooligosaccharide supplementation in low-fish meal diets for Pacific white shrimp (Litopenaeus vannamei): Effects on growth, innate immunity, gut histology, and immune-related genes expression. Fish & Shellfish Immunology 2018; 80, 405-415.
[26] A Tacon, J Cody, L Conquest, S Divakaran, I Forster and O Decamp. Effect of culture system on the nutrition and growth performance of Pacific white shrimp Litopenaeus vannamei (Boone) fed different diets. Aquaculture Nutrition 2002; 8(2), 121-137.
[27] GL Moullac and Philippe Haffner. Environmental factors affecting immune responses in Crustacea. Aquaculture 2000; 191(1-3), 121-131.
[28] T Itami, Y Takahashi, E Tsuchihira, H Igusa and M Kondo. Enhancement of disease resistance of kuruma prawn Penaeus japonicus and increase in phagocytic activity of prawn hemocytes after oral administration of β-1,3-glucan. In Asian Fish Society 1994; 1, 375-378.
[29] J Joshi, J Srisala, VH Truong, I-T Chen, B Nuangsaeng, O Suthienkul, CF Lo, TW Flegel, K Sritunyalucksana and S Thitamadee. Variation in Vibrio parahaemolyticus isolates from a single Thai shrimp farm experiencing an outbreak of acute hepatopancreatic necrosis disease (AHPND). Aquaculture 2014; 428-429, 297-302.
[30] P Majluf, K Matthews, D Pauly, DJ Skerritt and MLD Palomares. A review of the global use of fishmeal and fish oil and the Fish In: Fish Out metric. Science Advances 2024; 10(42), 5650.
[31] U Nisar, D Peng, Y Mu and Y Sun. A solution for sustainable utilization of aquaculture waste: A comprehensive review of biofloc technology and aquamimicry. Frontiers in Nutrition 2022; 8, 791738.
[32] FAO. The state of world fisheries and aquaculture (SOFIA). Food and Agricultural Organization Fisheries, Rome, Italy, 2012.
[33] SA Hassan, ZZ Sharawy, AFE Nahas, SA Hemeda, E El‐Haroun and EM Abbas. Modulatory effects of various carbon sources on growth indices, digestive enzymes activity and expression of growth-related genes in Whiteleg shrimp, Litopenaeus vannamei reared under an outdoor zero-exchange system. Aquaculture Research 2022; 53(16), 5594-5605.
[34] M Menaga, P Rajasulochana, S Felix, S Sudarshan, A Kapoor, K Gandla, MM Saleh, AE Ibrahim and SE Deeb. Evaluation of biofloc-based probiotic isolates on growth performance and physiological responses in Litopenaeus vannamei. Water 2023; 15(16), 3010.
[35] P Promthale. 2020, Production of high-quality bioflocs as a protein substitute for fishmeal in shrimp pellets. Ph. D. Dissertation, Ghent University, Gent, Belgium.
[36] MA Islam, SS Islam, J Bir, P Debnath, MR Ullah and KA Huq. Effect on water quality, growth performance and economics of giant freshwater prawn, Macrobrachium rosenbergii with partial feed in biofloc system. Aquaculture, Fish and Fisheries 2023; 3(5), 435-446.
[37] DN Andrianti and A Baihani. The effectiveness of white turmeric extract (Curcuma zedoaria) against the immune system of Vannamei Shrimp (Litopenaeus vannamei). Journal of Fish Health 2022; 2(1), 14-23.
[38] F Azhar, A Mukhlis, DP Lestari and M Marzuki. Application of kappa-carrageenan as immunostimulant agent in non-specific defense system of vannamei shrimp. AACL Bioflux 2023; 16(1), 616-624.
[39] KV Rajendran, K Sreedharan, A Deepika and A Kulkarni. Shrimp immune system and immune responses. Fish Immune System and Vaccines 2022; 1, 17-43.
[40] M Gustilatov, W Widanarni, J Ekasari, PGS Julyantoro and DE Waturangi. Biofloc system supplemented by Pseudoalteromonas piscicida 1Ub protects the Pacific white shrimp Penaeus vannamei from Vibrio parahaemolyticus infection. Aquaculture and Fisheries 2024; 9(6), 967-974.
[41] B Hostins, W Wasielesky, OC Decamp, P Bossier and PD Schryver. Managing input C/N ratio to reduce the risk of Acute Hepatopancreatic Necrosis Disease (AHPND) outbreaks in biofloc systems - a laboratory study. Aquaculture 2019; 508, 60-65.
[42] L Gan, J Zheng, W Xu, J Lin, J Liu, Y Zhang, Z Wu, Z Lv, Y Jia, Q Guo, S Chen, C Liu, T Defoirdt, Q Qin and Y Liu. Deciphering the virulent Vibrio harveyi causing spoilage in muscle of aquatic crustacean Litopenaeus vannamei. Scientific Reports 2022; 12(1), 16296.
[43] SA Soto-Rodriguez, B Gomez-Gil, R Lozano, RD Rio-Rodriguez, AL Dieguez and JL Romalde. Virulence of Vibrio harveyi responsible for the “Bright-red” Syndrome in the Pacific white shrimp Litopenaeus vannamei. Journal of Invertebrate Pathology 2012; 109(3), 307-317.
[44] J Zhou, W Fang, X Yang, S Zhou, L Hu, X Li, X Qi, H Su and L Xie. A nonluminescent and highly virulent Vibrio harveyi strain is associated with “Bacterial white Tail Disease” of Litopenaeus vannamei shrimp. Plos One 2012; 7(2), 29961.