Start Bootstrap Logo

Trends Sci. 2025; 22(11): 10681

Nephroprotective Effect of Naringenin and Bromelain Against Cisplatin-Induced Renal Toxicity in Rats


Kajal Pansare*, Yogesh Ahire and Vinod Bairagi


Department of Pharmacology, Savitribai Phule Pune University Affiliated, KBHSS Trust's Institute of Pharmacy, Malegaon 423105, India


(*Corresponding author’s e-mail: [email protected])


Received: 17 May 2025, Revised: 23 June 2025, Accepted: 3 July 2025, Published: 5 August 2025


Abstract

Cisplatin is a widely used chemotherapeutic agent known for its dose-limiting nephrotoxicity, which significantly hampers its clinical utility. The present study evaluates the nephroprotective potential of Naringenin and Bromelain, natural compounds with established antioxidant and anti-inflammatory properties, administered alone and in combination against cisplatin-induced nephropathy in rats. Adult Wistar rats were divided into eight groups: normal control, cisplatin control, standard treatment with N-acetylcysteine (NAC) and various treatment groups receiving Naringenin and Bromelain at low and high doses, both alone and in combination. Nephropathy was induced using a single intraperitoneal dose of cisplatin (7 mg/kg) at day 0. Treatments were administered orally for 14 consecutive days. Parameters like body and kidney weight, kidney hypertrophy index, serum biochemical markers (urea, creatinine, uric acid), oxidative stress markers (LPO, NO), pro-inflammatory cytokines (TNF-α, IL-6) and histopathological changes in renal tissue were evaluated. Cisplatin administration resulted in significant renal impairment, as indicated by weight alterations, elevated serum biochemical markers, increased oxidative and inflammatory markers and marked renal histological damage. Treatment with NAC and both natural compounds ameliorated these pathological changes. Notably, the combination of high-dose Naringenin and Bromelain demonstrated the most substantial nephroprotective effects, restoring biochemical and inflammatory parameters near normal levels and preserving renal histoarchitecture. These findings suggest a synergistic effect likely mediated through combined antioxidant and anti-inflammatory mechanisms. The study concludes that Naringenin and Bromelain, particularly when administered together at higher doses, exert significant protective effects against cisplatin-induced nephropathy. These natural agents may serve as promising adjunctive therapies to mitigate cisplatin-associated renal damage.


Keywords: Cisplatin, Nephropathy, Naringenin, Bromelain, N-Acetyl cysteine, Oxidative stress, Nephroprotective agents, Combination therapy


Introduction

Cisplatin is a widely used chemotherapeutic agent effective against various solid tumors, including testicular, ovarian, bladder and lung cancers. However, its clinical utility is significantly limited due to its dose-dependent nephrotoxicity, which exhibits as acute kidney injury characterized by inflammation, tubular necrosis and oxidative stress [1,2]. Cisplatin-induced nephropathy mainly affects the proximal renal tubules, leading to acute kidney injury characterized by elevated serum creatinine and blood urea nitrogen, decreased glomerular filtration rate and structural damage to renal tissues [3-5].

The nephrotoxic effects of cisplatin are multifactorial, with oxidative stress, inflammation and apoptosis being central to its pathogenesis [6]. Cisplatin produces excessive reactive oxygen species (ROS), which disrupt mitochondrial function and cause lipid peroxidation (LPO), DNA damage and protein oxidation. Simultaneously, it induces the release of pro-inflammatory cytokines such as tumor necrosis factor-alpha (TNF-α) and interleukins, further aggravating renal injury. The activation of apoptotic pathways finally disrupt renal homeostasis and contribute to structural and functional damage [7-10].

Given the essential role of oxidative stress and inflammation in cisplatin-induced nephropathy, the use of natural antioxidants and anti-inflammatory agents has gained significant attention as a potential protective strategy [11]. Naringenin, a flavonoid essentially found in citrus fruits, exhibits strong antioxidant properties by scavenging free radicals, upregulating endogenous antioxidants like glutathione (GSH) and modulating nuclear factor erythroid 2–related factor 2 (Nrf2) signaling. It also exerts anti-inflammatory effects by inhibiting NF-κB activation and reducing cytokine production. Previous studies have demonstrated its protective effects in various models of organ toxicity, including hepatic, cardiac and renal damage [12,13].

Bromelain, a cysteine proteolytic enzyme complex derived from Ananas comosus (pineapple), is known for its anti-inflammatory, immunomodulatory and antioxidant effects. It has been shown to decrease inflammatory cytokine levels and enhance antioxidant defenses in different pathological conditions. Despite the promising individual pharmacological profiles of Naringenin and Bromelain, there is limited scientific evidence evaluating their nephroprotective effects in the context of cisplatin-induced nephropathy, particularly in combination [14-16].

While, NAC, a precursor to glutathione, is a well-established antioxidant that serves as a standard reference compound in nephroprotective studies. Its mechanism of action includes replenishment of intracellular glutathione levels, ROS scavenging and inhibition of inflammatory pathways [17,18].

Considering the potential benefits of natural compounds in mitigating nephrotoxicity and their complementary mechanisms, the combination of Naringenin and Bromelain may exert synergistic nephroprotective effects, potentially surpassing the efficacy of NAC. This study was designed to evaluate this potential synergism in a cisplatin-induced nephropathy model in rats, assessing both biochemical and histopathological parameters.




Materials and methods

Drugs and chemicals

Cisplatin was obtained from Hetero Healthcare Ltd. and N-Acetyl Cysteine (standard) from Sigma-Aldrich, USA. Naringenin and Bromelain were purchased from Yucca Enterprises and Biolaxi Enzymes Pvt. Ltd., Mumbai, respectively. Biochemical and spectrophotometric assay kits for serum (urea, uric acid, creatinine, total protein, albumin) and antioxidant (LPO, NO, GSH, SOD, CAT) parameters, along with ELISA kits for inflammatory markers, were procured from Krishgen Biosystems, Mumbai. All other reagents were of analytical grade.


Experimental animals

Healthy male adult Wistar albino rats, weighing 200 - 250 g, were procured from a certified animal house facility. The animals were housed in standard polypropylene cages with 12-h light/dark cycles, temperature of 22 ± 2 °C and relative humidity of 55 - 65%. All animals had free access to standard pellet diet and water ad libitum [19,20]. All experimental procedures in this study were conducted in accordance with the guidelines of the Committee for the Control and Supervision of Experiments on Animals (CCSEA), Government of India, for the care and use of laboratory animals. The study protocol was approved by the Institutional Animal Ethics Committee (IAEC) under reference number KBH/IAEC/2024/07-02.


Preparation of drug solutions

Cisplatin (7 mg/kg) was dissolved in normal saline and administered intraperitoneally (i.p.) as a single dose to induce nephropathy [21]. NAC (250 mg/kg, p.o.) was dissolved in saline and administered orally [22]. Naringenin was suspended in 0.5% carboxymethylcellulose (CMC) for oral administration. Bromelain was also suspended in 0.5% CMC for oral dosing. All drug preparations were made freshly each day before administration.


Dose selection for naringenin and bromelain

Dose of Naringenin and Bromelain was selected from the previously reported literature. The same dose was also standardized in our laboratory in the Cisplatin model. Based on this the dose of Naringenin (10 and 20 mg/kg/p.o) and Bromelain (15 and 30 mg/kg/p.o) was selected in the present study [23].


Induction of nephropathy

Nephropathy was experimentally induced in male Wistar rats by administering a single i.p. dose of cisplatin at 7 mg/kg body weight on Day 0. This procedure was carried out in all groups except the normal control group (Group I). Cisplatin was freshly prepared in sterile normal saline and injected using an insulin syringe under light anesthesia to minimize discomfort. Following the induction, animals were monitored daily for signs of toxicity, including changes in behavior, food and water intake and general activity level. The successful induction of nephropathy was confirmed by decreased urine output, weight loss and through biochemical evaluations showing elevated levels of serum creatinine, uric acid and urea, as well as histopathological alterations in kidney tissues at the end of the treatment period [24].


Experimental protocol

A total of 48 rats were selected and randomly divided into eight groups (n = 6) as, Group I: Normal control and received no treatment; Group II: Disease control and was administered a single intraperitoneal dose of cisplatin (7 mg/kg) on Day 0 to induce nephropathy, without any further treatment; Group III: Received cisplatin and was subsequently treated with the standard drug, NAC, orally for 14 consecutive days; Group IV: Naringenin at a dose of 10 mg/kg (low dose); Group V: Naringenin at a dose of 20 mg/kg (high dose); Groups VI: Bromelain at a dose of 15 mg/kg (low dose); Group VII: Bromelain at a dose 30 mg/kg (high dose); and Group VIII: Combination therapy of Naringenin (20 mg/kg) and Bromelain (30 mg/kg).

All treatments were given orally once daily, starting from Day 1 following cisplatin administration and continued for 14 days. Initial and final body weights and urine volumes were recorded weekly to monitor nephrotoxic effects and treatment responses. On Day 15, animals were anesthetized and sacrificed and both kidneys were carefully excised. One kidney from each animal was used to prepare homogenates for estimation of antioxidant and inflammatory marker, while the other was fixed in 10% formalin for histopathological examination. The study protocol was carefully followed to assess and compare the nephroprotective potential of Naringenin and Bromelain, alone as well as in combination. To minimize bias, group allocation was performed using a randomization method. All interventions, sample collections, and outcome assessments were conducted by personnel blinded to the treatment groups in order to minimize performance and detection bias throughout the study.

Tissue homogenization

Kidneys were quickly excised, washed with ice-cold saline, blotted and weighed. A portion of kidney tissue was homogenized in 0.1 M phosphate buffer (pH 7.4) using a homogenizer to prepare 10% tissue homogenate. The homogenate was centrifuged at 10,000 rpm for 15 min at 4 °C and the supernatant was used for antioxidant and inflammatory marker estimations [25].


Estimation of biochemical parameters

Animals were anesthetized and blood samples were collected via the retro-orbital plexus using capillary tubes. The collected blood was transferred into commercially available tubes, either with or without EDTA. For serum-based analyses, samples were centrifuged at 3,000 rpm for 10 min to separate the serum. The obtained serum was used for the estimation of various biochemical parameters using standard protocols [26].


Estimation of antioxidant parameters

Kidney tissues were excised, minced and homogenized in phosphate buffer (pH 7.0) containing a protease inhibitor to prevent protein degradation. A 10% (w/v) tissue homogenate was prepared following the protocols outlined by the respective antioxidant assay kit manufacturers. The homogenate was centrifuged at 10,000 rpm for 20 min at 4 °C and the resulting supernatant was collected for the estimation of oxidative stress and antioxidant markers. Lipid peroxidation (LPO) was assessed by measuring thiobarbituric acid reactive substances (TBARS) and the results were expressed as malondialdehyde (MDA) equivalents. Nitric oxide (NO) levels were estimated based on the accumulation of nitrite using the Griess reagent. Antioxidant enzymes measured were superoxide dismutase (SOD), evaluated by its ability to inhibit the reduction of nitroblue tetrazolium (NBT); catalase (CAT), determined by monitoring the decomposition of hydrogen peroxide spectrophotometrically at 240 nm; and reduced glutathione (GSH), estimated as protein-free sulfhydryl groups using 5,5-dithiobis-2-nitrobenzoic acid (DTNB) [27].


Estimation of anti-inflammatory parameters

Kidney tissues collected for enzyme-linked immunosorbent assay (ELISA) were stored at −80 °C until further analysis. Before processing, tissues were thawed at room temperature for 15 min and homogenized in an ice-cold buffer supplied with the ELISA kits. The homogenates were centrifuged at 12,000 rpm for 30 min at 4 °C and the supernatants were collected and aliquoted for cytokine estimation. Levels of pro-inflammatory cytokines- tumor necrosis factor-alpha (TNF-α) and interleukin-6 (IL-6) were quantified using ELISA kit. Absorbance was measured using a micro-plate reader, and cytokine concentrations were determined based on the standard curves generated during each assay [28].


Histopathology

For histopathological examination, Kidney tissues were fixed in 10% formalin, embedded in paraffin and sectioned at 5 µm thickness. The sections were stained with hematoxylin and eosin (H&E) to highlight cellular structures. After staining, the slides were examined under a light microscope for structural changes such as tubular necrosis, glomerular damage and inflammation [29]. A blinded pathologist performed a semi-quantitative assessment of renal histological damage using a standardized 0 - 4 scale, where 0 indicated no abnormality detected (NAD), 1 represented minimal changes, 2 denoted mild changes, 3 reflected moderate changes and 4 indicated severe pathological alterations. Scoring was carried out independently for glomerular atrophy, tubular degeneration and inflammatory infiltration.

Statistical Analysis

All data were expressed as mean ± standard error of the mean (SEM). Statistical significance was evaluated using one-way analysis of variance (ANOVA) followed by Tukey’s multiple comparison post hoc test. A p-value < 0.05 was considered statistically significant. GraphPad Prism software (Version 5.0) was used for analysis and graphical representation.


Results and discussion

General parameters

Bodyweight, kidney weight and hypertrophy index from all the groups were monitored. Table 1 summarizes the effects of various treatments on body weight, kidney weight and hypertrophy index in a rat model of cisplatin-induced nephropathy. Administration of cisplatin (Group II) resulted in a significant reduction in final body weight compared to the control group, along with a marked increase in kidney weight and hypertrophy index, indicating renal hypertrophy and nephrotoxicity [30]. Treatment with NAC (Group III) significantly mitigated these effects, with final body weight, kidney weight and hypertrophy index approaching normal control values, thereby confirming its established antioxidant and renoprotective efficacy [31]. Groups treated with Naringenin and Bromelain (Groups IV - VII) exhibited dose-dependent improvements, with high-dose treatments demonstrating greater protective effects than low doses. Notably, the combination therapy (Group VIII) showed synergistic benefits, with all measured parameters nearing those of the control group. These results suggest that Naringenin and Bromelain, particularly in combination at higher doses, showed promising nephroprotective effects in cisplatin-induced nephrotoxicity, as evidenced by improvements in physiological, biochemical and histological parameters [32]. While findings suggest antioxidant and anti-inflammatory potential, further molecular studies are needed to confirm the underlying mechanisms.


Table 1 Effect of various treatments on body weight, kidney weight and hypertrophy index in cisplatin-induced nephropathy in rats.

Group

Treatment

Final body weight

(g)

Kidney weight

(g)

Hypertrophy index

I

Control

269.24 ± 4.779

1.77 ± 0.066

0.007 ± 0.000

II

Cisplatin (Disease control)

224.21 ± 7.274 ↓

2.40 ± 0.103 ↑

0.012 ± 0.001 ↑

III

NAC (Standard)

251.67 ± 2.777 ↑

1.73 ± 0.165 ↓

0.007 ± 0.001 ↓

IV

Naringenin (Low dose)

235.70 ± 7.548 ↑

2.21 ± 0.100 ↓

0.010 ± 0.001 ↓

V

Naringenin (High dose)

250.57 ± 4.268 ↑

1.96 ± 0.088 ↓

0.008 ± 0.000 ↓

VI

Bromelain (Low dose)

236.95 ± 8.075 ↑

2.26 ± 0.093 ↓

0.010 ± 0.000 ↓

VII

Bromelain (High dose)

243.45 ± 3.583 ↑

1.93 ± 0.119 ↓

0.009 ± 0.001 ↓

VIII

Naringenin + Bromelain (High dose)

250.87 ± 3.421 ↑

1.80 ± 0.233 ↓

0.007 ± 0.001 ↓

Note: Values are expressed as Mean ± SEM; ↑: Significant improvement compared to Group II (Cisplatin); ↓: Significant improvement compared to Group II (Cisplatin).


Biochemical parameters in blood

The biochemical evaluation of serum parameters across various treatment groups as shown in Figures 1(a) - 1(e) and summarized in Table 2 highlights the nephroprotective efficacy of Naringenin and Bromelain in a cisplatin-induced nephropathy model. Cisplatin administration (Group II) significantly elevated serum urea, creatinine and uric acid levels, while markedly reducing total protein and albumin levels, confirming the onset of renal dysfunction [33]. Treatment with the standard antioxidant, NAC (Group III), significantly ameliorated these alterations, indicating effective nephroprotection [34]. Naringenin and Bromelain, when administered individually, showed dose-dependent improvements across all biochemical markers. High doses of both agents (Groups V and VII) led to significant reductions in urea, creatinine and uric acid levels, alongside notable restoration of protein and albumin levels. Remarkably, the combination therapy group (Group VIII), which received high doses of both Naringenin and Bromelain, demonstrated the most beneficial effects. These findings suggest a synergistic effect of Naringenin and Bromelain, particularly when used in combination, in counteracting cisplatin-induced renal injury by preserving biochemical homeostasis and renal function. Naringenin has been shown to modulate renal transporters and mitochondrial function, possibly via activation of the PI3K/Akt pathway, promoting cell survival and reducing apoptosis [35]. Bromelain, on the other hand, is reported to suppress pro-inflammatory mediators and improve renal microcirculation by modulating MAPK signaling cascades [36]. Their combination may thus confer multi-targeted nephroprotection via complementary mechanisms.


Table 2 Effect of different experimental groups on serum urea, uric acid, creatinine, total protein and albumin levels.

Group

Serum urea

(mg/dL)

Uric acid

(mg/dL)

Serum creatinine

(mg/dL)

Total protein

(g/L)

Serum albumin

(g/L)

Group I

16.5 ± 2.72

21.f37 ± 4.82

0.48 ± 0.084

7.56 ± 0.59

4.51 ± 0.86

Group II

47.93 ± 5.72###

48.89 ± 3.43##

6.11 ± 1.03###

3.03 ± 0.48##

1.85 ± 0.40##

Group III

30.33 ± 3.92**

28.21 ± 2.35**

2.95 ± 0.39**

6.31 ± 0.75**

3.64 ± 0.74**

Group IV

43.48 ± 3.83

42.04 ± 6.82

5.06 ± 1.11

4.00 ± 0.59

2.40 ± 0.69

Group V

38.82 ± 4.84*

37.68 ± 2.97*

4.05 ± 0.58*

5.19 ± 0.63*

3.07 ± 0.52*

Group VI

44.48 ± 2.99

44.32 ± 2.75

5.13 ± 0.91

3.93 ± 0.82

2.26 ± 0.64*

Group VII

40.32 ± 4.08*

38.7 ± 4.67*

4.47 ± 0.60**

5.23 ± 0.96*

3.12 ± 0.39*

Group VIII

32.82± 2.90**

30.04 ± 3.68**

3.34 ± 0.65**

6.01 ± 0.77**

3.50 ± 0.74**

Note: Values are expressed as mean ± SEM; n = 6. One-way ANOVA followed by Tukey’s multiple comparison tests. Significance levels: Compared to Control (Group I): # p-value < 0.05, ## p-value < 0.01, ### p-value < 0.001; Compared to Disease (Group II): * p-value < 0.05, ** p-value < 0.01, *** p-value < 0.001.


Figure 1 Effect of various treatments on (a) serum urea, (b) uric acid, (c) creatinine, (d) total protein and (e) albumin levels in cisplatin-induced nephropathy in rats.


Estimation of antioxidant parameters

Cisplatin-induced nephrotoxicity is marked by profound oxidative stress, as evidenced by significant alterations in multiple antioxidant parameters as shown in Figures 2(a) - 2(e) and summarized in Table 3. Elevated levels of LPO and NO in the cisplatin-treated group indicate enhanced reactive oxygen and nitrogen species generation, leading to membrane lipid damage and nitrosative stress. Simultaneously, there is a marked depletion in GSH, a key intracellular antioxidant, reflecting compromised redox homeostasis [37]. Additionally, cisplatin causes a compensatory upregulation of antioxidant enzymes such as SOD and CAT, signaling the body’s attempt to counteract oxidative insult. Treatment with NAC significantly restored GSH, SOD and CAT levels while reducing LPO and NO levels, confirming its potent antioxidant and renoprotective effects [38]. Both Naringenin and Bromelain demonstrated dose-dependent improvements in all antioxidant parameters, with high doses offering greater efficacy. Notably, the combination of high-dose Naringenin and Bromelain exhibited the most substantial protective effects by significantly reducing LPO and NO levels, enhancing GSH content, and improving SOD and CAT activities. This synergistic interaction highlights the potential of combining natural antioxidants to offer superior protection against cisplatin-induced renal oxidative damage. Mechanistically, Naringenin increases GSH synthesis and activates the Nrf2 pathway, resulting in upregulation of SOD, CAT and phase II detoxification enzymes [39]. Antioxidant activity of Bromelain may involve suppression of ROS production and enhancement of intracellular GSH through regulation of redox-sensitive transcription factors [40]. The observed improvements in LPO, NO and enzymatic antioxidants suggest that these compounds re-establish oxidative balance at both enzymatic and molecular levels


Table 3 Effect of different experimental groups on LPO, NO, SOD, CAT and GSH levels.

Group

LPO level

(nmol MDA/mg protein)

NO level

(µmol/g tissue)

GSH level

(µmol/g tissue)

SOD level

(U/mg protein)

CAT level

(U/mg protein)

Group I

5.41 ± 1.04

4.67 ± 0.98

6.41 ± 0.79

19.3 ± 2.86

18.22 ± 2.91

Group II

31.83 ± 5.11###

12.68 ± 0.74###

2.36 ± 0.43###

5.77 ± 1.33###

4.67 ± 1.33###

Group III

18.69 ± 3.60**

8.70± 0.97**

4.02 ± 0.95**

11.64 ± 0.96**

10.19 ± 1.07**

Group IV

27.95 ± 3.02

11.44 ± 0.82

2.88 ± 0.31

7.82 ± 1.24

6.81 ± 0.68

Group V

23.36 ± 3.48*

10.03 ± 0.67*

3.77 ± 0.37*

9.57 ± 1.11*

8.28 ± 0.85*

Group VI

28.42 ± 2.15

11.46± 0.69

2.83 ± 0.28

8.55 ± 1.20

6.27 ± 0.74

Group VII

25.42 ± 3.88*

10.04 ± 0.78*

3.39 ± 0.58*

9.55 ± 1.15*

8.29 ± 0.72*

Group VIII

21.42 ± 3.17**

8.60± 0.82**

3.88 ± 0.27**

11.41 ± 1.37**

10.86 ± 1.24**

Note: Values are expressed as mean ± SEM; n = 6. One-way ANOVA followed by Tukey’s multiple comparison tests. Significance Levels: Compared to Control (Group I): # p-value < 0.05, ## p-value < 0.01, ### p-value < 0.001; Compared to Disease (Group II): * p-value < 0.05, ** p-value < 0.01, *** p-value < 0.001.


Figure 2 Effect of various treatments on (a) LPO, (b) NO, (c) GSH, (d) SOD and (e) CAT levels in cisplatin-induced nephropathy in rats.


Estimation of anti-inflammatory parameters

Cisplatin-induced nephropathy was associated with a marked increase in pro-inflammatory cytokines TNF-α and IL-6, as shown in Figures 3(a) - 3(b) and summarized in Table 4. In the disease control group (Group II), TNF-α and IL-6 levels were significantly elevated, indicating a strong inflammatory response due to oxidative stress and tissue injury [41]. Treatment with NAC (Group III) significantly reduced both TNF-α and IL-6 levels, reflecting its potent antioxidant and anti-inflammatory effects. Naringenin exhibited a dose-dependent reduction in both cytokines, with the high dose (Group V) producing significant effects. Bromelain also demonstrated a similar dose-dependent anti-inflammatory effect, with the high dose (Group VII) significantly reducing TNF-α and IL-6 levels [42]. The most notable improvement was observed in the combination group (Group VIII), where co-administration of high doses of Naringenin and Bromelain led to a more pronounced reduction in TNF-α and IL-6 levels (Group II), suggesting a potent synergistic effect in suppressing inflammation and providing enhanced renal protection. This anti-inflammatory response may be mediated by inhibition of the NF-κB signaling pathway, which regulates transcription of pro-inflammatory cytokines such as TNF-α and IL-6 [43]. Naringenin is known to block NF-κB nuclear translocation [44], while Bromelain degrades bradykinin and reduces neutrophil migration, together attenuating the inflammatory cascade [45]. These results highlight the role of these phytochemicals in targeting upstream mediators of renal inflammation.


Table 4 Effect of different experimental groups on TNF-α and IL-6 levels.

Group

TNF-α level

(pg/mL protein)

IL-6 Level

(pg/mL protein)

Group I

97.46 ± 8.11

36.22 ± 7.33

Group II

291.8 ± 35.05###

129.6 ± 14.88###

Group III

190.5 ± 25.13**

87.44 ± 12.89**

Group IV

253.9 ± 31.26

111.9 ± 8.38

Group V

217 ± 34.21*

103.7 ± 4.69*

Group VI

259.2 ± 49.01

112.2 ± 10.29

Group VII

224.6 ± 37.15*

106.9 ± 10.47*

Group VIII

196.7 ± 34.81**

84.83 ± 7.84**

Note: Values are expressed as mean ± SEM; n = 6. One-way ANOVA followed by Tukey’s multiple comparison test. Significance Levels: Compared to Control (Group I): # p-value < 0.05, ## p-value < 0.01, ### p-value < 0.001; Compared to Disease (Group II): * p-value < 0.05, ** p-value < 0.01, *** p-value < 0.001.



Figure 3 Effect of different experimental groups on (a) TNF-α and (b) IL-6 levels.


Histopathology

The histopathological evaluation of kidney tissues across the experimental groups as illustrated in Figures 4(A) - 4(H) reveals significant insights into the nephroprotective potential of Naringenin and Bromelain against cisplatin-induced nephropathy. The control group (Group I) exhibited normal renal architecture with intact glomeruli and tubules, confirming the baseline of healthy kidney structure [46]. In contrast, the cisplatin-treated group (Group II) demonstrated extensive renal damage characterized by glomerular atrophy, tubular degeneration, and marked inflammatory infiltration, validating the induction of nephrotoxicity. Treatment with the standard antioxidant, NAC (Group III), showed noticeable structural recovery with reduced inflammation and preserved glomerular integrity, though not complete restoration. Administration of Naringenin and Bromelain individually at low doses (Groups IV and VI) resulted in modest protective effects with partial recovery of renal histology. However, their high-dose counterparts (Groups V and VII) displayed moderate improvements in tissue architecture, with better preservation of glomeruli and tubules and reduced inflammatory signs. Remarkably, the combination therapy group (Group VIII), receiving high doses of both Naringenin and Bromelain, exhibited significant improvement in kidney morphology, with minimal evidence of damage or inflammation, suggesting a synergistic protective effect [47]. These findings collectively indicate that both Naringenin and Bromelain possess nephroprotective properties and their combination provides enhanced protection against cisplatin-induced renal injury. The semi-quantitative histological scores are summarized in Table 5 highlighting significant reductions in glomerular atrophy, tubular degeneration and inflammatory infiltration, particularly in the combination group.

Recent evidence has highlighted the benefits of phytoconstituents such as naringenin and bromelain when used alone or in combination with other phytoconstituents in experimental models of nephrotoxicity. Individually, both agents exhibit potent antioxidant and anti-inflammatory properties, contributing to their renoprotective potential. For example, bromelain has recently been shown to ameliorate cisplatin-induced nephrotoxicity by restoring biochemical markers, reducing lipid peroxidation and preserving renal histoarchitecture, as demonstrated by Gounipalli and Yaidikar [48]. Similarly, naringenin has been reported to improve renal function and oxidative balance in multiple nephrotoxic models. Importantly, emerging studies now support the use of synergistic combinations for enhanced efficacy. Khaled et al. [49] showed that the combination of naringin and naringenin offered superior protection against paclitaxel-induced nephrotoxicity compared to either agent alone. Additionally, Al-Amer et al. [50] reported that co-administration of naringenin with Arabic gum and coconut water significantly reversed gentamicin-induced renal damage. These findings suggest that combining agents with complementary antioxidant and anti-inflammatory mechanisms may provide a more effective therapeutic strategy against cisplatin-induced nephrotoxicity. However, no previous study has evaluated the combined effect of naringenin and bromelain in cisplatin-induced renal injury. The present investigation addresses this gap by demonstrating that their co-administration confers synergistic nephroprotection, evidenced by greater normalization of biochemical parameters, antioxidant status, cytokine levels, and renal histopathology. This highlights a novel and effective phytotherapeutic approach of naringenin and bromelain in cisplatin-induced nephrotoxicity.


Table 5 Semi-quantitative histopathological scores of renal tissues in different treatment groups.

Group No.

Group Description

Glomerular Atrophy

Tubular Degeneration

Inflammatory Infiltration

I

Control

0

0

0

II

Cisplatin-treated

3

2

4

III

NAC

1

1

1

IV

Naringenin (10 mg/kg)

2

3

2

V

Naringenin (20 mg/kg)

1

2

1

VI

Bromelain (15 mg/kg)

2

3

2

VII

Bromelain (30 mg/kg)

1

2

1

VIII

Naringenin (20 mg/kg) + Bromelain (30 mg/kg)

0

1

1

Scoring Criteria: 0 = No abnormality detected (NAD); 1 = Minimal changes; 2 = Mild changes; 3 = Moderate changes; 4 = Severe changes.



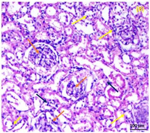
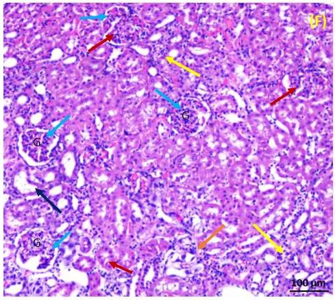
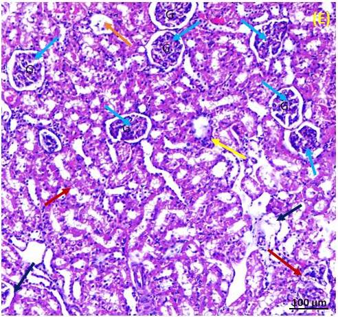
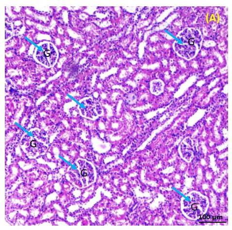
Figure 4 Representative photomicrographs of kidney sections stained with Hematoxylin and Eosin (H&E) illustrating renal histology. (A) Group I – Control: Normal renal architecture with intact glomerulus indicated by blue arrows. (B) Group II – Cisplatin-treated: Severe renal damage observed—orange arrows show glomerular atrophy, black arrows indicate tubular degeneration and yellow arrows highlight areas of inflammatory cell infiltration. (C) Group III – NAC: Noticeable structural recovery—blue arrows indicate preserved glomeruli, yellow arrows indicate mild residual inflammation, and red arrows show areas of histological improvement. (D) Group IV – Naringenin (Low Dose): Partial recovery noted—blue arrows denote glomeruli, black arrows show tubular degeneration, yellow arrows indicate inflammation and red arrows show areas of moderate recovery. (E) Group V – Naringenin (High Dose): Marked improvement—blue arrows denote glomeruli, yellow arrows indicate mild inflammation and red arrows highlight evident recovery. (F) Group VI – Bromelain (Low Dose): Moderate protective effect—blue arrows show glomeruli, yellow arrows indicate inflammation, orange arrows represent glomerular atrophy and red arrows point to recovering tissue. (G) Group VII – Bromelain (High Dose): Significant recovery—blue arrows show intact glomeruli, yellow arrows indicate mild inflammation and red arrows show histological improvement. (H) Group VIII – Naringenin + Bromelain (High Dose): Near-complete restoration of renal structure—blue arrows indicate preserved glomeruli and red arrows show minimal residual damage with substantial tissue recovery.



Conclusions

The present study demonstrates that Naringenin and Bromelain, particularly at higher doses and in combination, provide significant protection against cisplatin-induced nephrotoxicity in rats. This protective effect is evident through improvements in body and kidney weights, restoration of biochemical and antioxidant parameters, reduction of pro-inflammatory cytokines and preservation of renal histoarchitecture. Notably, the combination therapy outperformed individual treatments, suggesting a synergistic nephroprotective effect. Compared to the standard agent NAC, the Naringenin–Bromelain combination displayed comparable efficacy in reversing cisplatin-induced renal injury. Unlike NAC, which primarily acts by replenishing glutathione, this natural combination targets multiple pathways—offering a broader mechanism of action with potentially fewer side effects. This highlights a novel therapeutic insight: The co-administration of two natural agents can serve as an effective and safer adjunct or alternative to conventional synthetic antioxidants. Future studies should focus on elucidating the molecular mechanisms underlying the observed synergistic nephroprotection by employing gene expression and protein expression analyses. These approaches will help identify key molecular targets and pathways involved in oxidative stress and inflammation. Additionally, validating these findings in other models of nephrotoxicity and exploring their translational potential in clinical applications would further strengthen the therapeutic relevance of this combination.


Limitations

This study did not include molecular analyses, such as gene or protein expression studies, which restricts the mechanistic interpretation of the findings. Additionally, the absence of a treatment-only control group restricts the evaluation of the safety profile of the Naringenin and Bromelain combination in healthy animals. Moreover, prior assessment of the combination in healthy animals, as well as in vitro studies, would have helped elucidate safety profiles, underlying mechanisms and dose–response relationships.


Acknowledgements

The authors declare that there is no acknowledgement to be made.


Declaration of Generative AI in Scientific Writing The authors declare that AI tools, specifically ChatGPT (OpenAI), were used solely for language editing and formatting. No AI tools were used to generate data, perform analyses, or draw conclusions.


CRediT Author Statement

Kajal Pansare: Methodology, Investigation, Data curation, Conceptualization, Formal analysis, Validation, Visualization, Writing – original draft.

Yogesh Ahire: Conceptualization, Methodology, Validation, Supervision, Writing – review & editing.

Vinod Bairagi: Conceptualization, Methodology, Validation, Supervision, Writing – review & editing.


References

  1. R Ranasinghe, ML Mathai and A. Zulli. Cisplatin for cancer therapy and overcoming chemoresistance. Heliyon 2022; 8(9), 10608.

  2. F Chun-Yan, L Da-Yong, Z Li-Qin, W Jin-Cheng, B Yang, H Qiao-Jun, W Jia-Jia and Weng Qin-Jie. Natural products: Potential treatments for cisplatin-induced nephrotoxicity. Acta Pharmacologica Sinica 2021; 42(12), 1951-1969.

  3. JN Curry and JA McCormick. Cisplatin-induced kidney injury: Delivering the goods. Journal of the American Society of Nephrology 2022; 33(2), 255-256.

  4. C Tang, MJ Livingston, R Safirstein and Z Dong. Cisplatin nephrotoxicity: New insights and therapeutic implications. Nature Reviews Nephrology 2023; 19(1), 53-72.

  5. MA El-Kader and RI Taha. Comparative nephroprotective effects of curcumin and etoricoxib against cisplatin-induced acute kidney injury in rats. Acta Histochemica 2020; 122(4), 151534.

  6. Z Zeng-Lu, M Jun-Wei, Y Luo, L Gui-Jin, L Shi-Jie, Y Ke-Jin, M Hai-Bing and L Xiu-Juan. Mechanism of dexmedetomidine protection against cisplatin induced acute kidney injury in rats. Renal Failure 2024; 46(1), 2337287.

  7. K Pansare, C Upasani, A Upaganlwar, G Sonawane, C Patil. Lycopene alone and in combination with olive oil ameliorates streptozotocin-induced diabetic nephropathy in rats. Vidyabharati International Interdisciplinary Research Journal 2021; 1(SI), 320-332.

  8. K Pansare, C Upasani, A Upaganlwar, G Sonawane, C Patil. Streptozotocin and alloxan induced diabetic nephropathy: Protective role of natural products. Journal of the Maharaja Sayajirao University of Baroda 2021; 25, 422.

  9. V Ramkumar, D Mukherjea, A Dhukhwa, LP Rybak. Oxidative stress and inflammation caused by cisplatin ototoxicity. Antioxidants 2021; 10(12), 1919.

  10. K Dong-Hyun, C Hoon-In, JS Park, CS Kim, EH Bae, SK Ma and SW Kim. Farnesoid X receptor protects against cisplatin-induced acute kidney injury by regulating the transcription of ferroptosis-related genes. Redox Biology 2022; 54, 102382.

  11. YJ Lim, NC Tonial, ED Hartjes, A Haig, TJ Velenosi and BL Urquhart. Metabolomics for the identification of early biomarkers of nephrotoxicity in a mouse model of cisplatin-induced acute kidney injury. Biomedicine & Pharmacotherapy 2023; 163, 114787.

  12. NK Alaqeel and MT Al-Hariri. Naringenin ameliorates cyclophosphamide-induced nephrotoxicity in experimental model. Saudi Journal of Biological Sciences 2023; 30(6), 103674.

  13. S Liu, X Gao, Y Yin, J Wang, K Dong, D Shi, X Wu and C Guo. Silk fibroin peptide self-assembled nanofibers delivered naringenin to alleviate cisplatin-induced acute kidney injury by inhibiting mtDNA-cGAS-STING pathway. Food and Chemical Toxicology 2023; 177, 113844.

  14. IF Okkay, U Okkay, C Bayram, B Cicek, S Sezen, IC Aydin, AS Mendil and A Hacimuftuoglu. Bromelain protects against cisplatin-induced ocular toxicity through mitigating oxidative stress and inflammation. Drug and Chemical Toxicology 2023; 46(1), 69-76.

  15. M Hidayat, R Pangastuti, S Prahastuti and K Hasan. Protein hydrolysate of green peas bromelain attenuates kidney fibrosis in cisplatin-induced nephrotoxicity rats: Emphasis on anti-inflammatory activities. HAYATI Journal of Biosciences 2023; 30(2), 347-357.

  16. FA Chermahini, E Raeisi, MH Aazami, A Mirzaei, E Heidarian and Y Lemoigne. Does bromelain-cisplatin combination afford in-vitro synergistic anticancer effects on human prostatic carcinoma cell line, PC3? Galen Medical Journal 2020; 9, 1749.

  17. H Fan, L Jian-Wei, M Sun and Z Jian-Hua. N-acetylcysteine protects septic acute kidney injury by inhibiting SIRT3-mediated mitochondrial dysfunction and apoptosis. Iranian Journal of Basic Medical Sciences 2024; 27(7), 850-856.

  18. K Okamoto, F Kitaichi, Y Saito, H Ueda, K Narumi, A Furugen and M Kobayashi. Antioxidant effect of ascorbic acid against cisplatin-induced nephrotoxicity and P-glycoprotein expression in rats. European Journal of Pharmacology 2021; 909, 174395.

  19. KA Mapuskar, CF Pulliam, D Zepeda-Orozco, BR Griffin, M Furqan, DR Spitz and BG Allen. Redox regulation of Nrf2 in cisplatin-induced kidney injury. Antioxidants 2023; 12(9), 1728.

  20. S Mirfendereski, M Taghipour, F Yadollahi, H Taghavinejad and M Ahmadnia. Administration of N-acetylcysteine for contrast-induced acute kidney injury; an updated mini-review. Journal of Nephropharmacology 2023; 13(1), 11658.

  21. MO Iqbal, MM Ahmed, S Arshad, U Javaid, IA Khan, M Manzoor, S Andleeb, R Riaz, SH Munawar, Z Manzoor, and A Mumtaz. Nephroprotective effects of Alhagi camelorum against cisplatin-induced nephrotoxicity in albino Wistar rats. Molecules 2022; 27(3), 941.

  22. AM Badr, LA Al-Kharashi, H Attia, S Alshehri, HN Alajami, RA Ali and YF Mahran. TLR4/inflammasomes cross-talk and pyroptosis contribute to N-acetyl cysteine and chlorogenic acid protection against cisplatin-induced nephrotoxicity. Pharmaceuticals (Basel) 2023; 16(3), 337.

  23. AO Bakare and BV Owoyele. Antinociceptive and neuroprotective effects of bromelain in chronic constriction injury-induced neuropathic pain in Wistar rats. The Korean Journal of Pain 2019; 33(1), 13-22.

  24. Z Li, R He, J Liu, X Jin, B Jiang, Y Lao and S Yang. JianPiYiShen formula prevents cisplatin-induced acute kidney injury in mice by improving necroptosis through MAPK pathway. BMC Complementary Medicine and Therapies 2024; 24(1), 101.

  25. FE Ali, EHM Hassanein, AH El-Bahrawy, ZMM Omar, EK Rashwan, BA Abdel-Wahab and TH Abd-Elhamid. Nephroprotective effect of umbelliferone against cisplatin-induced kidney damage is mediated by regulation of NRF2, cytoglobin, SIRT1/FOXO-3 and NF-kB-p65 signaling pathways. Journal of Biochemical and Molecular Toxicology 2021; 35(5), 22738.

  26. DC Guzmán, NO Brizuela, MO Herrera, AV Peraza, NL Ruíz, HJ Olguín, DS Angel and GB Mejía. N-acetylcysteine attenuates cisplatin toxicity in the cerebrum and lung of young rats with artificially induced protein deficiency. International Journal of Molecular Sciences 2024; 25(11), 6239.

  27. M Naushad, M Urooj, T Ahmad, GM Husain, MH Kazmi and M Zakir. Nephroprotective effect of Apium graveolens L. against cisplatin-induced nephrotoxicity. Journal of Ayurveda and Integrative Medicine 2021; 12(4), 607-615.

  28. SJ Gilani, MN Bin-Jumah, FA Al-Abbasi, MS Nadeem, SI Alzarea, MM Ahmed, N Sayyed and I Kazmi. Rosinidin protects against cisplatin-induced nephrotoxicity via subsiding proinflammatory and oxidative stress biomarkers in rats. International Journal of Environmental Research and Public Health 2022; 19(15), 9719.

  29. W Gong, L Lu, Y Zhou, J Liu, H Ma, L Fu, S Huang, Y Zhang, A Zhang and Z Jia. The novel STING antagonist H151 ameliorates cisplatin-induced acute kidney injury and mitochondrial dysfunction. American Journal of Physiology-Renal Physiology 2021; 320(4), 608-616.

  30. MA Za’abi, SA Salam, YA Suleimani, M Ashique, P Manoj, A Nemmar and BH Ali. Effects of repeated increasing doses of cisplatin as models of acute kidney injury and chronic kidney disease in rats. Naunyn-Schmiedeberg’s Archives of Pharmacology 2021; 394(2), 249-259.

  31. Z Zhang, B Liang, W Jike, R Li, X Su, J Yu and T Liu. The protective effect of Marsdenia tenacissima against cisplatin-induced nephrotoxicity mediated by inhibiting oxidative stress, inflammation and apoptosis. Molecules 2023; 28(22), 7582.

  32. J Zhou, N Run-Cong, Y Yi-Xin, C Xiao-Xia, D Xie and C Mu-Yan. Protective effect of natural antioxidants on reducing cisplatin‐induced nephrotoxicity. Disease Markers 2022; 2022, 1612348.

  33. T Afsar, S Razak, D Aldisi, M Shabbir, A Almajwal, AAA Kheraif and M Arshad. Acacia hydaspica R. Parker ethyl-acetate extract abrogates cisplatin-induced nephrotoxicity by targeting ROS and inflammatory cytokines. Scientific Reports 2021; 11(1), 17248.

  34. A Elsayed, A Elkomy, R Elkammar, G Youssef, EY Abdelhiee, W Abdo, SE Fadl, A Soliman and M Aboubakr. Synergistic protective effects of lycopene and N-acetylcysteine against cisplatin-induced hepatorenal toxicity in rats. Scientific Reports 2021; 11(1), 13979.

  35. J Stabrauskiene, DM Kopustinskiene, R Lazauskas and J Bernatoniene. Naringin and naringenin: Their mechanisms of action and the potential anticancer activities. Biomedicines 2022; 10(7), 1686.

  36. U Kansakar, V Trimarco, MV Manzi, E Cervi, P Mone and G Santulli. Exploring the therapeutic potential of bromelain: Applications, benefits, and mechanisms. Nutrients 2024; 16(13), 2060.

  37. M Zhang, J Zhang, Y Ma, Y Jin, Y Li and W Xin’an. Nephropathy induced by cisplatin results from mitochondrial disruption, impaired energy metabolism, altered expression of renal transporters and accumulation of urinary toxins. Journal of Trace Elements in Medicine and Biology 2024; 86, 127553.

  38. S Dasari, S Njiki, A Mbemi, CG Yedjou and PB Tchounwou. Pharmacological effects of cisplatin combination with natural products in cancer chemotherapy. International Journal of Molecular Sciences 2022; 23(3), 1532.

  39. N Mehranfard, M Ghasemi, A Rajabian and L Ansari. Protective potential of naringenin and its nanoformulations in redox mechanisms of injury and disease. Heliyon 2023; 9(12), 22820.

  40. Y Hong, A Boiti, D Vallone and NS Foulkes. Reactive oxygen species signaling and oxidative stress: Transcriptional regulation and evolution. Antioxidants 2024; 13(3), 312.

  41. Y Fu, Y Xiang, Y Wang, Z Liu, D Yang, J Zha, C Tang, J Cai, G Chen and Z Dong. The STAT1/HMGB1/NF-κB pathway in chronic inflammation and kidney injury after cisplatin exposure. Theranostics 2023; 13(9), 2757-2773.

  42. X Li, J Shi, Y Teng and Z Liu. The preventative effect of Baihe Gujin Pill on cisplatin-induced acute kidney injury by activating the PI3K/AKT and suppressing the NF-κB/MAPK pathways. Journal of Ethnopharmacology 2024; 318(B), 117071.

  43. L Tonietti, M Esposito, M Cascone, B Barosa, S Fiscale, MT Muscari Tomajoli, T Sbaffi, R Santomartino, G Covone, A Cordonel, A Rotundi and D Giovannelli. Unveiling the bioleaching versatility of acidithiobacillus ferrooxidans. Microorganisms 2024; 12(12), 2407.

  44. J Stabrauskiene, DM Kopustinskiene, R Lazauskas and J Bernatoniene. Naringin and naringenin: Their mechanisms of action and the potential anticancer activities. Biomedicines 2022; 10(7), 1686.

  45. A Colletti, S Li, M Marengo, S Adinolfi and G Cravotto. Recent advances and insights into bromelain processing, pharmacokinetics and therapeutic uses. Applied Sciences 2021; 11(18), 8428.

  46. Z Pei, M Wu, H Yu, G Long, Z Gui, X Li, H Chen, Z Jia and W Xia. Isoliquiritin ameliorates cisplatin-induced renal proximal tubular cell injury by antagonizing apoptosis, oxidative stress and inflammation. Frontiers in Medicine 2022; 9, 873739.

  47. KR McSweeney, LK Gadanec, T Qaradakhi, BA Ali, A Zulli and V Apostolopoulos. Mechanisms of cisplatin-induced acute kidney injury: Pathological mechanisms, pharmacological interventions and genetic mitigations. Cancers 2021; 13(7), 1572.

  48. A Gounipalli and L Yaidikar. Ameliorative activity of bromelain, an active principle of pineapple, against cisplatin-induced nephrotoxicity. Asian Journal of Pharmaceutical and Clinical Research 2025; 15(88), 88422-88430.

  49. SS Khaled, HA Soliman, M Abdel-Gabbar, NA Ahmed, KAHA Attia, HA Mahran, ES El-Nahass and OM Ahmed. The preventive effects of naringin and naringenin against paclitaxel-induced nephrotoxicity and cardiotoxicity in male Wistar rats. Evidence-Based Complementary and Alternative Medicine 2022; 2022, 8739815.

  50. HA Al-Amer, NS Al-Sowayan, HA Alfheeaid, SA Althwab, SA Alrobaish, EM Hamad, KH Musa and HM Mousa. Oral administration of naringenin and a mixture of coconut water and arabic gum attenuate oxidative stress and lipid peroxidation in gentamicin-induced nephrotoxicity in rats. European Review for Medical and Pharmacological Sciences 2023; 27(21), 10427-10437.