Trends
Sci.
2025; 22(11): 10652
Effect of Guanosine 5-Monophosphate Supplementation to Flaxseed Oil-Based Diet on Growth and Intestinal Morphology of Juvenile Nile Tilapia (Oreochromis sp.)
Anita Septiyani1, Asep Ridwanudin3, Lintang Dion Pangestu1,
I Made Dedi Mahariawan1, Rahmi Nurdiani2 and Anik Martinah Hariati1,*
1Department of Aquaculture, Faculty of Fisheries and Marine Science, Universitas Brawijaya,
East Java 65145, Indonesia
2Department of Fish Product Technology, Faculty of Fisheries and Marine Science, Universitas Brawijaya,
East Java 65145, Indonesia
3Research Center for Applied Zoology, National Research and Innovation Agency, West Java 16911, Indonesia
(*Corresponding author’s e-mail: [email protected])
Received: 14 May 2025, Revised: 21 June 2025, Accepted: 1 July 2025, Published: 20 August 2025
Abstract
Suboptimal feed utilization efficiency and feed containing low nutrients are aquaculture problems. Many studies have demonstrated that nucleotides contribute for growth and gut health. Guanosine 5’-monophosphate with flaxseed oil combination can enhance feed efficiency and nutrient absorption. There does not seem to be a study that looks at how GMP and flaxseed oil work together to improve the growth and intestinal morphology juvenile Nile tilapia. The purpose of the research was to evaluate the effect combination of GMP supplementation and flaxseed oil at an appropriate dose on growth, intestinal structure (villous width), feed efficiency, and digestive enzyme activity in tilapia (Oreochromis sp.) juveniles. Juvenile Nile tilapia with an initial mean body weight of 1.42 ± 0.12 g and a shell length of 4.45 ± 0.12 cm were employed in this experimental study. Fish were fed 3% of their total body weight per day and kept in rectangular tanks at a density of 20. In addition to controls of flaxseed oil (LO) and fish oil (FO), juvenile fish were provided diets containing 0.2% (L-0.2) and 0.4% (L-0.4) GMP, alongside controls of flaxseed oil (LO) and fish oil (FO). After eight weeks, the findings showed that fish fed a diet enriched with 0.2% GMP (L-0.2) and flaxseed oil had improved final body weight, AGR, and SGR. Additionally, fish fed the L-0.2 than other diets. Thus, our study indicates that the inclusion of GMP in a flaxseed oil-based diet improves growth performance, intestinal villus height, and digestive enzyme activities.
Keywords: Digestive enzyme, Fish oil, Flaxseed oil, Nucleotide, Purine
Introduction
Pentose sugar, phosphate groups, and nitrogenous bases make up the basic biological components known as nucleotides which are essential for DNA and RNA structure, protein synthesis, and physiological regulations [1-3]. In addition, GMP also serves as a building block for enzymes, signaling molecules, encoding genetic information, RNA monomers, and contributes to metabolism [4,5]. Types of purine nucleotides, guanosine 5’-monophospate (GMP) and adenine 5’-monophospate (IMP), function as RNA monomers and are involved in various metabolic and physiological activities in aquatic animals [6,7]. It is mainly studied as a component of mixed nucleotides to support feed utilization, growth, and possible health advantages [8,9].
Supplementing with nucleotides boosted the growth of salmon (Salmo salar Linnaeus) and grouper (Epinephelus malabaricus) [10]. Red seabream development and feed intake improved with purine nucleotide supplementation [11]. Supplementing fingerling rainbow trout with dietary nucleotides promotes growth and resilience to stress [12]. In juvenile tilapia, nucleotides also improve disease resistance and immunological response [13]. High feed digestibility supports fish growth [14]. Additionally, supplementation of guanosine 5’-monophospate increases intestinal surface area, improving nutrient absorption and accelerating growth [15].
GMP is the end product of de novo nucleotide synthesis [16]. The research of Song et al. [17] shows that 0.4% GMP supplementation improves the growth performance of red snapper. According to Hossain et al. [18], GMP 0.2% exhibits ideal levels of oxidative stress, with abundant antioxidants and minimal oxidative stress. However, flaxseed oil is a rich source of omega-3 fatty acids, including alpha-linolenic acid (ALA) [19]. The body may transform omega-3 fatty acids, such as ALA and EPA (Eicosapentaenoic acid) into DHA (Docosahexaenoic acid) [20]. Flaxseed oil contains omega-3 ALA, while fish oil is rich in EPA and DHA [21]. Additionally, the growing and abundant production of vegetable oils makes them a cost-effective alternative to FO [22].
Fish oil is a significant source of lipids in aquaculture feeds [23]. As aquaculture production rises annually, so does the demand for oil [24]. Additionally, due to marine pollution and diminishing global fisheries resources, fish oil quality is uncertain, causing supply shortages and price hikes [25]. Therefore, flaxseed oil is needed as a replace for fish oil [26]. Previous research have demonstrated that plant oils can replace fish oil in crustaceans, like red claw crayfish (Cherax quadricarinatus), without affecting their growth [27], Chinese mitten crab (Eriocheir sinensis) [28], Pacific white shrimp (Litopenaeus vannamei) [29], swimming crab (Portunus trituberculatus) [30-34] and Scylla paramamosain [35]. For instance, when flaxseed oil is used in place of fish oil has been studied in rainbow trout (Onchorynchus mykiss) to increase growth [20]. Furthermore, flaxseed oil is a unique oil plant in the world, producing approximately 400,000 tons of vegetable oil annually [24].
According to those of previous studies, flaxseed oil improves energy metabolism and protein synthesis, flaxseed oil supplies vital omega-3 fatty acids for fish growth and health [36]. However, limited information on the synergistic effect of GMP supplementation in combination replacement fish oil to flaxseed oil-based diet and the optimal dose of GMP supplementation is not yet known. Therefore, the objective of this research was to evaluate the effect combination of GMP supplementation and flaxseed oil at an appropriate dose on growth, intestinal structure (villous width), feed efficiency, and digestive enzyme activity in tilapia (Oreochromis sp.) juveniles.
Materials and methods
Experimental diets
Four experimental diets were created, each of which was designed to include 28% crude protein and 9.2% crude lipid to fulfill the nutritional needs of tilapia. Fish meal, meat and bone meal, and soybean meal were the primary protein source in Table 1. The main sources of lipids were flaxseed oil and fish oil. Corn and tapioca flours, served as the sources of carbohydrates, and carboxymethyl cellulose used as a binder. A flouring machine was used to crush all of the dry ingredients into a fine powder (Disk mill model; FFC-23 stainless steel; China) fitted with a 0.5, 0.8, 1.5 mm screen. The ingredients were mixed thoroughly for 10 min, followed by the addition of premix aquavita® and carboxymethyl cellulose. Fish oil, flaxseed oil, and GMP were premixed and incorporated into the mixture, which was then blended for an additional 10 min. A laboratory meat grinder (Screw system: Ulir horizontal model; CTK-P 75; China) was used pellet the stiff dough after adding 10% water to make it firm. Dried for 2 h at in an at 40 °C in oven. Table 2 displays the results of the proximate component analysis of the experimental diets.
Table 1 Formula (% dry matter) for Nile tilapia Oreochromis niloticus of the experimental diets.
Ingredients |
Diets |
|||
FO |
LO |
L-0.2 |
L0.4 |
|
Fish meal |
28 |
28 |
28 |
28 |
Soybean meal |
22 |
22 |
22 |
22 |
Meat and bone meal |
6 |
6 |
6 |
6 |
Corn flour |
20 |
20 |
20 |
20 |
Tapioca flour |
15 |
15 |
15 |
15 |
Guanosine 5’-monophosphate |
0 |
0 |
0.2 |
0.4 |
Fish oil |
4 |
0 |
0 |
0 |
Flaxseed oil |
0 |
4 |
4 |
4 |
Vitamin and mineral mixturea |
3 |
3 |
3 |
3 |
Carboxymethyl cellulose |
2 |
2 |
1.8 |
1.6 |
aPremix Aquavita® (unit/kg): Retinol 3,000,000 IU; vitamin D 1,000,000 IU; Vit. E, 7,500 mg; menadione 1,200 mg; thiamine 3,000 mg; riboflavin 4,500 mg; cobalamin 3.0 mg; Vit. C, 8,000 mg; calcium pantothenate 4,000 mg; folic acid 1,500 mg; lactic acid 1.0 kg; nicotinamide 20,000 mg; amino acid 10,000 mg; biotin 1.0 mg; inositol 12,500 mg; manganese sulphate 2.0 mg; zinc sulphate 25.0 mg; copper sulphate 2.0 mg, cobalt chlorine 50.0 mg; potassium iodide 1.75 mg; sodium selenite 50.0 mg.
Table 2 The experimental diets approximate composition (percent dry matter).
Components |
Diets |
|||
FO |
LO |
L-0.2 |
L-0.4 |
|
Dry matter |
90.45 |
90.45 |
90.46 |
90.46 |
Crude protein |
28.81 |
28.81 |
28.81 |
28.81 |
Crude lipid |
9.25 |
9.21 |
9.21 |
9.21 |
Crude fiber |
7.12 |
7.12 |
7.12 |
7.12 |
Ash |
10.35 |
10.35 |
10.35 |
10.35 |
Experimental conditions
Juvenile Nile tilapia were sourced from the freshwater fish laboratory at Brawijaya University in Malang, Indonesia, and for 2 weeks they were transported to the Faculty of Fisheries and Marine Science during which they were fed a commercial diet to help in their acclimate. A total of 320 fish, averaging 1.42 ± 0.12 g in weight and 4.45 ± 0.12 cm in length, were randomly allocated into 16 tanks, each containing 50 L of water and holding 20 fish. For 8 weeks, the fish were fed 3 times a day at rate of 3% of their body weight from one of several experimental diets. Daily feed intake and remaining feed were noted daily, and weekly weigh-ins following at 24 h fast were used to track fish growth. The study conducted in freshwater circulation system that was continuously aerated to guarantee was enough dissolved oxygen. The experimental conditions were consistently maintained at a temperature of 25.5 ± 0.5 °C and DO levels of 7.9 ± 0.3 mg/L.
Sample collection and chemical analyses
Two fish were chosen at random from each tank at the end of the experiment and sampled for histological examination (The olympus CX23) of the mid-intestinal tract. Haematoxylin and eosin (H&E) was used to produce and stain 5 µm slices of the sample after they had formalin fixation, dried in ethanol, and paraffin embedding. The evaluation involved measuring intestinal circumference ratios, counting intraepithelial leukocytes (IELs), and quantifying goblet cells over a standardized distance. The Nile tilapia intestine samples were mounted and examined microscopically for the extent of intestinal villi. Additionally, proximate analysis was carried out to ascertain the contents of moisture, crude protein, fat, crude fiber, and ash contents through various established methods, including drying, burning at high temperatures, and using the Micro-Kjeldahl method for crude protein assessment, alongside quantitative extraction of lipids [37].
In a study examining the activities of lipase, protease, and amylase enzymes, fish intestines were collected from aquariums, with a 1 g sample used for each enzyme assessment. The intestinal enzyme supernatant was prepared by adding distilled water and centrifuging. For protease activity, 1 g of crushed intestinal tissue was added to 1.5 cc of eppendorf tube for crude extraction. Therefore, it continued by centrifugation at 10,000 rpm for 10 min with roughly 1 cc of pure water added. To create the blank solution, 1,000 µL of distilled water was mixed by 300 µL of phosphate buffer. A microtube containing 200 µL of casein, 300 µL of phosphate buffer, and 100 µL of sample were put into a microtube. The buffer solution consisted of 300 µL of phosphate buffer at pH 7. The 4 tubes were incubated at 37 °C for 60 min. After chilling, 0.75 mL of 4% TCA was added to the blank and sample tubes and 0.75% casein solution was added to the control tube. After centrifuging the tubes at 10,000 rpm for 10 min, all samples were examined spectrophotometrically at 230 - 320 nm. Protease activity should be expressed in µmol tyrosine/mL min.
The activity of the amylase enzyme was measured using the methodology described in [38]. Amylase activity in the digestive system was also carried out by spectrophotometry. Initially, 0.80 mL of distilled water was added to the blank tube. The control tube was given 0.10 mL of distilled water and 0.70 mL of 2% DNS solution. The sample tube was added 0.70 mL of 1% amylum and 0.10 mL of enzyme supernatant. The 4 tubes were then incubated at 37 °C for 30 min. Furthermore, 0.70 mL of 2% DNS was added and 0.70 mL of 1% amylum substrate was added to the control tube. The 3 tubes were then heated in boiling water for 5 min, then cooled and centrifuged at 12,000 rpm for 10 min. The wavelength required in absorbance was determined by reacting 1 mL of maltose 0.2 mg. mL–1 with DNS and then measuring the absorbance using a spectrophotometer in the wavelength range of 400 - 600 nm. Amylase activity should be expressed in µmol glucose/mL min.
Lipase enzyme activity was determined according to method of [39]. The 1st step was to make an oleic acid standard curve. The 0.007 M oleic acid standard solution was utilized to make concentration variations of the solution. The solutions used were 0.5, 1, 1.5, 2 and 2.5 mL which diluted using hexane to 10 mL. After mixing, 4 mL of the solution was added, followed by 1 mL of copper (II) acetate reagent, and the mixture was homogenized for 1 min. One point five mL of oleic acid substrate, 1 mL of phosphate buffer pH 7, and 1 mL of enzyme supernatant were mixed in each tube, and the tubes were then incubated for 30 min at 120 rpm. After incubation, 1 mL of 6 N HCl and 5 mL of hexane were added to the liquid to homogenize the mixture. One mL of copper (II) acetate reagent was then added to the solution after it was reduced to 4 mL. After 1 min of stirring, 1 mL of copper (II) acetate reagent was added and then stirred for 1 min. The mixture was measured using a spectrophotometer with a wavelength of 715 nm. Lipase activity should be expressed in µmol fatty acid/mL min.
Calculation and statistical analyses
The parameters for growth performance and feed utilization were computed using, [40]:
Statistical analysis
To identify differences between the eating regimens, one-way analysis of variance was used to analyzed the data. Tukey’s multiple range test was used to compare the treatment means if significant differences were found. Rejection of the null hypothesis occurred at a probability level of 0.05. SPSS version 26 software (IBM SPSS) was used for all the statistical analyses.
Results and discussion
Growth and feed utilization
The results compared to fish fed the control diet, the Nile tilapia fed a flaxseed oil-based diet supplemented with 0.2% GMP (L-0.2) showed significantly improved growth parameters, including growth rate and final body weight, compared to those fed the control diet (p < 0.05). However, there were no significant differences between the L-0.2 and L-0.4 diet, or between the L-0.4 group and the FO and LO diets. Additionally, there was no discernible difference between FO and LO diets of growth performance indicators. There was no significant difference in feed intake metrics, such as feed conversion ratio, across the feed regimens (p > 0.05).
Table 1 Nile tilapia growth performance and feed utilization the experimental diets.
Parameters |
Diets |
|||
FO |
LO |
L-0.2 |
L-0.4 |
|
Initial body weight (g) |
1.48 ± 0.37 |
1.47 ± 0.29 |
1.45 ± 0.12 |
1.29 ± 0.15 |
Final body weight (g) |
2.99 ± 0.30b |
3.10 ± 0.28b |
3.77 ± 0.32a |
3.19 ± 0.27ab |
Absolute growth (g) |
1.50 ± 0.14b |
1.62 ± 0.25b |
2.32 ± 0.42a |
1.90 ± 0.28ab |
Specific growth rate (% day–1) |
1.08 ± 0.09b |
1.12 ± 0.09b |
1.32 ± 0.09a |
1.15 ± 0.08ab |
Feed conversion ratio (FCR) |
2.00 ± 0.37 |
1.99 ± 0.20 |
1.61 ± 0.16 |
1.67 ± 0.33 |
Feed efficiency (%) |
51.12 ± 8.56 |
50.58 ± 5.28 |
62.52 ± 5.80 |
61.72 ± 12.25 |
Survival Rate (%) |
80.00 |
80.00 |
85.00 |
75.00 |
Values are presented as mean ± SD (n = 4). Tukey’s test indicated a significant difference between dietary regimens at p < 0.05, when there were different superscripts in a row.
The current study demonstrates that guanosine 5’-monophosphate (GMP) supplementation at 0.2% in a flaxseed oil-based diet significantly enhances the Nile tilapia growth. The fish fed this diet showed notable increase in ultimate body weight, absolute growth rate, and specific growth rate. This result is consistent with earlier research demonstrating the inclusion 0.2 - 0.4% purified AMP, IMP and GMP was effective in improving the growth of red sea bream (Pagrus major) [6]. Mohebbi et al. [41] also found that supplementing 0.15 - 0.2% mixed-nucleotides enhanced the rainbow trout (Oncorhynchus mykiss) growth.
According to research of Hossain et al. [6], supplementing diets of red sea bream (Pagrus major) with purine compounds significantly enhances growth performance, with 0.4% inosine 5’-monophosphate (IMP) yielding the best results [6]. In comparison, GMP and AMP also improved growth rates in various fish species [7]. However, when supplemented in practical seaweed diets for abalone (Haliotis squamata), IMP did not improve growth but positively influenced the immune response [42]. Additional findings suggest that replacing a portion of fish meal with soybean meal while maintaining GMP supplementation can further enhance juvenile red sea bream (Pagrus major) growth [18]. AMP, IMP, CMP, and UMP were all present in optimum Chemoforma® (August, Switzerland), which was added to the control diet at the 0.2% manufacturer’s recommended level [43]. Thus, 0.2% is the ideal nucleotide (GMP, IMP, UMP, and CMP) to boost feed digestibility, enhance feed efficiency, and accelerate growth.
In this study, fish on a flaxseed oil control diet exhibited greater growth than those on a fish oil control diet [36]. In agreement with previous studies, effects of flaxseed oil (Linum usitatissimum) flaxseed oil supplementation boost fish growth performance, enhances cytokine gene expression, and improves the immune response against Yersinia ruckeri infection. When flaxseed oil was added, the fish’s final weight and SGR both increased significantly (p < 0.05) [36]. Essential fatty acids (EFA’s), such as alpha linoleic acid (ALA) and linoleic acid (LA) which support membrane integrity and vital for fish growth, development, general health, energy storage, and hormone production are abundant in plant oils, such as soybean canola, and flaxseed oil [20].
Our study demonstrated that the lowest FCR occurred in fish fed the L-0.2 diet. Nile tilapia receiving nucleotide-supplemented diets with flaxseed oil exhibited improved FCR compared to control diet. Previous research indicates that turbot fed diets enriched with IMP or GMP also experienced a reduction in FCR [44]. The highest feed efficiency in Nile tilapia was noted in those given 0.2% nucleotide supplementation with flaxseed oil, although there were no discernible variations across the treatment. The L-0.2 diet yielded optimal FCR and feed efficiency, further supporting the notion that 0.2% nucleotide supplementation is beneficial for growth. After eight weeks, Atlantic salmon supplemented with 0.25% showed similar beneficial benefits on weight increase [43]. Another study by Huu [45] found that black tiger shrimp indicated enhanced growth rates when fed with purine nucleotides, while juvenile Pacific white shrimp showed significant increases in weight gain and SGR with a 0.4 g/kg nucleotide diet. Based from our results, we conclude that increasing feed efficiency led to faster growth in fish fed with guanosine 5’-monophosphate.
Intestinal morphology
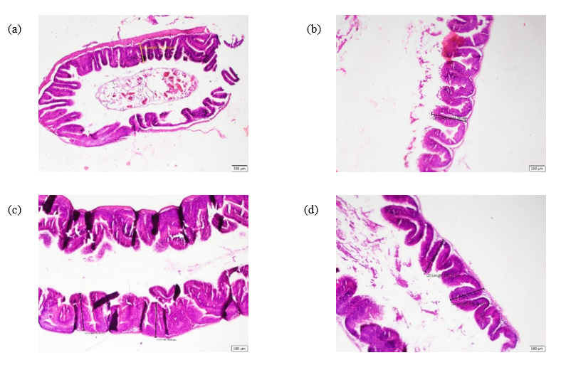
The effect of dietary nucleotide supplementation on the intestinal morphology of Nile tilapia is shown in Table 4. The intestinal villus height was highest in fish fed a meal containing 0.2% nucleotide and 4% long chain omega-3 fatty acids (LO), whereas the villus height was lowest in the control group. Those who received LO and 0% nucleotide came next. Nucleotide supplementation significantly enhanced the intestinal villus height when compared to the control group (p < 0.05), indicating that feeding tilapia species with 0.2% nucleotides and 4% LO has a positive impact on their intestinal structure
Table 4 Intestinal villus height (midgut) of Oreochromis niloticus fed the experimental diets.
Diets |
Villus |
Height (µm) |
|
FO |
234.74 ± 1.84b |
LO |
251.18 ± 2.11ab |
L-0.2 |
254.95 ± 4.63a |
L-0.4 |
238.49 ± 5.97ab |
Values are mean ± SD (n = 4). Tukey’s test indicates a significant difference between dietary regimens at p < 0.05 when there are different superscripts in a row.
Figure 1 Intestinal morphology of Oreochromis niloticus fed the experimental diets: (a) FO; (b) LO; (c) L-0.2; (d) L-0.4.
This study investigates the effects of a 0.2% GMP and 4% lipid oil (LO) supplementation on the intestinal structure of Nile tilapia. The results indicate that this combination significantly enhances the area and height of intestinal villi compared to the control group (p < 0.05). An increase in enterocyte height in both distal and proximal intestines, as well as in the pyloric caeca, has also been reported in juvenile red drum (Sciaenops ocellatus) [46]. Hossain et al. [47] found that findings, revealing that nucleotide supplementation also improves intestinal morphology in various fish species, including juvenile red drum and amberjack. Moreover, it influences intestinal microbiota and cytokine levels in Nile tilapia, while similar enhancements in shrimp have been documented, dietary nucleotides also influenced the intestinal microbiota by decreasing the abundance of butyrate-producing species juvenile hybrid tilapia (Oreochromis x O. aureus) [48]. Dietary nucleotides significantly affects intestinal cytokines in Nile tilapia [49]. Overall, histological examinations confirm that dietary nucleotides positively affect intestinal morphology in marine species. Nucleotide supplementation in fish feed can increase cell proliferation in the gastrointestinal tract, including intestinal epithelial cells, accelerate the regeneration and repair of damaged intestinal tissue, and increase the length and surface area of the intestine, which favors better nutrient absorption [50].
Digestive enzymes activity
Digestive enzymes activities of Oreochromis niloticus in this study are shown in Table 5. The findings showed that fish fed flaxseed-based diets (LO, L-0.2, and L-0.4) had considerably higher protease activity (p < 0.05) than fish fed a fish oil (FO) diets. Similar findings were observed for lipase enzyme activity, where fish on LO and L-0.2 diets out performed those on FO and L-0.4 diets (p < 0.05). Moreover, there were also no significantly differences (p > 0.05) in lipase enzyme activity between fish fed with LO and L-0.2 diets. Finally, there were no discernible variations in amylase enzyme activity between the food regimens (> 0.05).
Table 2 Digestive enzymes activities of Oreochromis sp. fed the experimental diets.
Parameters |
Diets |
|||
FO |
LO |
L-0.2 |
L-0.4 |
|
Protease (µmol tyrosine/mL min) |
1.34 ± 0.19b |
2.10 ± 0.18a |
2.14 ± 0.15a |
1.83 ± 0.25a |
Amylase (µmol glucose/mL min) |
30.44 ± 4.44 |
34.30 ± 2.62 |
35.41 ± 2.00 |
33.09 ± 0.41 |
Lipase (µmol fatty acid/mL min) |
199.52 ± 3.75b |
396.07 ± 3.24a |
407.44 ± 3.75a |
361.96 ± 3.75b |
Values are mean ± SD (n = 4). Tukey’s test indicates a significant difference between dietary regimens at p < 0.05 when there are different superscripts in a row.
As a result, fish fed diets based on flaxseed oil had greater levels of protease enzyme activity than fish oil-containing diets. Omega-3 fatty acids, particularly alpha linolenic acid (ALA), are abundant in flaxseed oil. Protease enzymes help break down protein in feed into amino acids that fish can more easily absorb, while omega-3 fatty acids are essential for the immune system and muscular growth of fish. The protease enzyme facilitates the breakdown. Since nucleotides increase villus breadth and height, they may also promote the growth, development, and maturation of epithelial cells and their associated brush border, as evidenced by higher brush border secretion and enzyme activity in mice given nucleotides. A study found that S. maximus fed nucleotides had greater intestinal protease activity in the gut [7]. Similar results were observed in Oreochromis sp. and Oncorhynchus mykiss, respectively [51]. Similarly, fish fed a combination of probiotic and nucleotide diets showed noticeably higher levels of lysozyme and protease activity (P. acidilactici) [52]. In line with the study, intestinal protease activity, body weight gain and feed conversion ratio showed relatively better conditions when nucleotides were given at supplementation level of 1 g/kg [44]. In summary, flaxseed oil can also affect protein digestion, when fish consume feed containing healthy fats such as flaxseed oil, increased energy consumption from healthy fats can accelerate the overall metabolic process, including stimulating the production of digestive enzymes, including proteases, to improve protein digestion in the intestine.
However, different results were observed in amylase enzyme activity, which revealed no discernible variations across the treatments in the current investigation. Amylase activity results in the injection of GMP or IMP were also negligible in earlier studies [7]. However, differing from result this study [51], showed in rainbow trout that diets supplemented with nucleotides boosted intestinal enzyme activities like trypsin, lipase, and gastric pepsin activity, but did not affect amylase enzyme activity. Furthermore, differing from result this research [53] dietary nucleotide supplementation significantly reduced amylase activity in both the intestinal segments, with the most notable decrease at 2% (p < 0.05) in Larimichthys crocea larvae. In line with the study, it was shown in Rainbow trout feed supplemented with nucleotides increased intestinal enzymes such as trypsin, lipase, and gastric pepsin activity, but didn’t affect amylase enzyme activity [54]. Since flaxseed oil is primarily a fat source for energy, the fish’s body may be less concerned with digesting the carbohydrates in the feed [55]. Thus, the enzyme amylase, which converts carbohydrates (mainly starch) into simple sugars, may be less active as a result.
Lipase enzyme activity showed the same trend as protease enzyme activity, showing higher in flaxseed oil-based diet. A similar study also showed an increase in lipase enzyme activity with flaxseed oil and canola oil of rainbow trout (Oncorhynchus mykiss) [56]. In addition, the same results were also shown in the research of [57], results showed that lipase activity increased when flaxseed oil was used in place of fish oil in tilapia fed, which helps in the metabolism and lipid transportation processes. Lipase enzymes hydrolyze fats into glycerol and free fatty acids, which the fish body can absorb more readily [58]. For improved fat breakdown and digestion, flaxseed oil, which contains unsaturated fatty acids, requires more lipase enzyme activity. In line with previous research, supplementation with 2.5 g/kg nucleotide resulted in the highest lipase activity in Sterlet sturgeon (Aciper ruthenus) [59]. A similar result was also observed in another study [60], which reported that flaxseed oil, used as a substitute for fish oil in tilapia feed, led to an increase in lipase activity, thereby enhancing lipid metabolism and transportation.
Fish oil feedstocks are limited and expensive, primarily due to the unpredictability of fishery resources in fishing zones and overexploitation of marine ecosystems, highlighting the need for alternatives sources [20]. Flaxseed oil present a potentially more cost-effective alternative to the exclusive use of fish oil and offers an economical and sustainable lipid sources for aquaculture feeds. As a plant-based source of essential fatty acids, flaxseed oil reduces reliance on limited marine resources. The combination of GMP with a flaxseed oil-based diet has shown positive effects on growth performance, digestive enzyme activity (protease and lipase), and the intestinal villi structure of Nile tilapia.
Conclusions
In conclusion, supplementation of a flaxseed oil-based diet with 0.2% purified guanosine 5’-monophosphate had a favorable effect on Nile tilapia growth performance and feed efficiency by improving intestinal digestive function, either by elevating intestinal morphology or enhancing digestive enzymes activities.
Acknowledgements
This research was financially supported by the UB Stars Program of Brawijaya University with the decree of the rector number 476 2025.
Declaration of Generative AI in Scientific Writing
The authors confirm that generative AI tools (such as QuillBot and ChatGPT by OpenAI) were utilized solely for language refinement and grammatical improvements during the preparation of this manuscript. These tools were not used for generating content or interpreting data. The authors take full responsibility for the content and conclusions of this work.
CRediT Author Statement
Anita Septiyani: Conceptualization, Methodology, Investigation, Writing original draft, and Visualization.
Asep Ridwanudin: Supervision, Validation, and Writing review & editing.
Lintang Dion Pangestu: Data curation, Formal analysis, and Investigation.
I Made Dedi Mahariawan: Methodology, Project administration, and Resources.
Rahmi Nurdiani: Supervision, Validation, and Funding acquisition.
Anik Martinah Hariati: Conceptualization, Supervision, Validation, and Writing review & editing.
References
[1] M Yadav, R Kumar and R Krishnamurthy. Chemistry of abiotic nucleotide synthesis. Chemical Reviews 2020, 120(11), 4766-4805.
[2] Bootstrep. Essential building blocks of DNA/RNA: Nucleotides and their roles in genetic information and protein synthesis. Bootstrep. 2023.
[3] T Suganuma and JL Workman. Nucleotide metabolism behind epigenetics. Frontiers in Endocrinology 2021; 12, 731648.
[4] J Liu. Nucleic acids: The building blocks of life. Cellular and Molecular Biology 2025; 71(1), 367.
[5] JH Schroader, MT Handley and K Reddy. Inosine triphosphate pyrophosphatase: A guardian of the cellular nucleotide pool and potential mediator of RNA function. 2023; 14(5), e1790.
[6] S Hossain, NM Sony, S Koshio, M Ishikawa, S Mian and V Kumar. Comparative assessment of purine nucleotides adenosine, guanosine and inosine monophosphates as functional supplements on growth and health performances of red sea bream, Pagrus major juvenile. Aquaculture Nutrition 2020; 27(1), 187-197.
[7] S Xia, W Zhao, M Li, D Zhang, L Nan, H Qian, C Guo, L Yang and G Xuyun. Influence of 5’-inosine monophosphate and 5’-guanosine monophosphate on growth, feed digestibility and activity of digestive enzymes in turbot Scophthalmus maximus. Aquaculture Nutrition 2020; 26(1), 165-173.
[8] R Novriadi, O Roige and S Segarra. Effects of dietary nucleotide supplementation on performance, profitability, and disease resistance of Litopenaeus vannamei cultured in Indonesia under intensive outdoor pond conditions. Animals 2022; 12(16), 2036.
[9] NE Khedr, TE Ahmed and R Hamed. Effect of dietary nucleotide supplementation on broiler performance and economic efficiency. Benha Veterinary Medical Journal 2020; 39, 34-39.
[10] P Li and DM Gartin. Nucleotide nutrition in fish: Current knowledge and future applications. Aquaculture 2006; 251(2-4), 141-152.
[11] MS Hossain, S Koshio and P Kestemont. Recent advances of nucleotide nutrition research in aquaculture: A review. Review Aquaculture 2020; 12(2), 1028-1053.
[12] A Tahmasebi-Kohyani, S Keyvanshokooh, A Nematollahi, N Mahmoudi and H Pasha-Zanoosi. Effects of dietary nucleotides supplementation on rainbow trout (Oncorhynchus mykiss) performance and acute stress response. Fish Physiology and Biochemistry 2012; 38(2), 431-440.
[13] S Shiau, J Gabaudan and Y Lin. Dietary nucleotide supplementation enhances immune responses and survival to Streptococcus iniae in hybrid tilapia fed diet containing low fish meal. Aquaculture Reports 2015; 2, 77-81.
[14] NF Pelusio, L Parma, E Volpe, S Ciulli, F Errani, S Natale, AD Cesare, V Indio, P Carcano, O Mordenti, PP Gatta and A Bonaldo. Yeast- extracted nucleotides and nucleic acids as promising feed additives for European sea bass (Dicentrarchus labrax) juvenile. Frontiers in Marine Science 2023; 10, 1145660.
[15] WY Mok, ASK Yong, MTM Lal, R Shapawi and YS Kim. Dietary guanosine‐monophosphate improves growth performance, feed utilization and intestinal morphology of whiteleg shrimp (Litopenaeus vannamei) maintained on soybean meal‐based diets. Aquaculture Research 2020; 51(4), 1453-1462.
[16] J Xiong, M Jin, Y Yuan, JX Luo, Y Lu, QC Zhou, C Liang and ZL Tan. Dietary nucleotide-rich yeast supplementation improves growth, innate immunity and intestinal morphology of Pacific white shrimp (Litopenaeus vannamei). Aquaculture Nutrition 2018; 24(5), 1425-1435.
[17] X Song, H Ye, F Jin, H Li, Y Kim, J Xiao and Z Guo. Effects of fermented soybean meal and guanosine 5’-monophosphate on growth, intestinal health and anti-stress capability of Penaeus vannamei in low fish meal diet. Aquaculture 2022; 548, 737591.
[18] S Hossain, S Koshio, M Ishikawa, S Yokoyama and NM Sony. Effects of dietary administration of guanosine monophosphate on the growth, digestibility, innate immune responses and stress resistance of juvenile red sea bream, Pagrus major. Fish Shellfish Immunology 2016; 57, 96-106.
[19] S Al-Madhagy, NS Ashmawy, A Mamdouh, OA Eldahshan and MA Farang. A comprehensive review of the health benefits of flaxseed oil in relation to its chemical composition and comparison with other omega‑3‑rich oils. European Journal of Medical Research 2023; 28(1), 240.
[20] D Kandathil, R Isamma, K Velayudhannair and HJ Liew. Exploring the role of plant oils in aquaculture practices: An overview. Aquaculture International 2024; 32(6), 7719-7745.
[21] A Goyal, V Sharma, N Upadhyay, S Gill and M Sihag. A comprehensive review of the health benefits of flaxseed oil in relation to bone health. European Journal of Medical Research 2023; 28(1), 240.
[22] DK Radhakrishnan, I AkbarAli, K Velayudhannair, ZA Kari and HJ Liew. Exploring the role of plant oils in aquaculture practices: An overview. Aquaculture International 2024; 32, 7719-7745.
[23] AR Hodar, RJ Vasava, DR Mahavadiya and NH Joshi. Fish meal and fish oil replacement for aqua feed formulation by using alternative sources: A review. Journal of Experimental Zoology, India 2020; 23(1), 13-21.
[24] Z Yang, Q Zhou, C Guo, S Xie, Y Zhang, T Zhu and W Zhao. Application evaluation of linseed oil as a substitute for fish oil in the commercial diet for juvenile Portunus trituberculatus. Aquaculture Reports 2023; 29, 101504.
[25] J Holland. Drop in fish oil production causing aquaculture bottleneck. 2023, Available at: https:// www.seafoodsource.com/news/premium/aquaculture/drop-in-fish-oil-production-causing-aquaculture-bottleneck, accessed March 2025.
[26] M Saez-Royuela, T García, JM Carral and JD Celada. Fish oil replacement by a blend of vegetable oils in diets for juvenile Tench (Tinca tinca Linnaeus, 1758): Effects on growth performance and whole-body composition. Animals 2022; 12(9), 1113.
[27] C Chen, C Xu, X Yang, D Qian, Z Gu, Y Jia and E Li. Growth, antioxidant capacity, intestine histology and lipid metabolism of juvenile red claw crayfish, Cherax quadricarinatus, fed different lipid sources. Aquaculture Nutrition 2021; 27(1), 261-273.
[28] Y Chen, L Chen, JG Qin, Z Ding, M Li, H Jiang, S Sun, Y Kong and E Li. Growth and immune response of Chinese mitten crab (Eriocheir sinensis) fed diets containing different lipid sources. Aquaculture Research 2016; 47(6), 1984-1995.
[29] K Chen, E Li, C Xu, X Wang, H Lin, JG Qin and L Chen. Evaluation of different lipid sources in diet of pacific white shrimp Litopenaeus vannamei at low salinity. Aquaculture Reports 2015; 2, 163-168.
[30] H Tao, W Jiteng and HU Shuixin. Effects of different dietary lipid sources on growth performance and tissue fatty acid composition of juvenile swimming crab Portunus trituberculatus. Chinese Journal Oceanology Limnology 2015; 33, 957-965.
[31] T Zhu, M Jin, Y Hou, C Li, J Luo, P Sun and QC Zhou. Effects of different dietary lipid sources on growth performance, antioxidant enzyme activities and biochemical composition of juvenile swimming crab, Portunus trituberculatus. Aquaculture Nutrition 2019; 25(6), 1440-1450.
[32] J Lu, M Jin, J Luo, Y Hou and Q Zhou. Effects of dietary fish oil substitution with blending vegetable oils on growth performance, antioxidant enzyme activities and tissue fatty acid composition of juvenile swimming crab, Portunus trituberculatus. Aquaculture Nutrition 2020; 26(4), 1394-1404.
[33] F Fang, Y Yuan, M Jin, B Shi, T Zhu, J Luo, J Lu, X Wang, L Jiao and Q Zhou. Hepatopancreas transcriptome analysis reveals the molecular responses to different dietary n-3 PUFA lipid sources in the swimming crab Portunus trituberculatus. Aquaculture 2021; 543, 737016.
[34] Y Yuan, P Sun, M Jin, X Wang and Q Zhou. Regulation of dietary lipid sources on tissue lipid classes and mitochondrial energy metabolism of juvenile swimming crab, Portunus trituberculatus. Frotiers in Physiology 2019; 10, 454.
[35] J Zhao, X Wen, S Li, D Zhu and Y Li. Effects of different dietary lipid sources on tissue fatty acid composition, serum biochemical parameters and fatty acid synthase of juvenile mud crab Scylla paramamosain (Estampador 1949). Aquaculture Research 2014; 47(3), 887-899.
[36] MOA Salem, Y Taştan, S Bilen, E Terzi and AY Sönmez. Fish and shellfish immunology dietary flaxseed (Linum usitatissimum) oil supplementation affects growth, oxidative stress, immune response, and diseases resistance in rainbow trout (Oncorhynchus mykiss). Fish Shellfish Immunology 2023; 138, 108798.
[37] M Maliki, EU Ikhuoria and P Aluyor. Proximate analysis of selected agricultural waste for their nutritional potential. North African Journal of Food and Nutrition Research 2023; 7(15), 117-125.
[38] A Amrullah. 2018, Pengaruh pemberian probiotik komersil terhadap aktivitas enzim pencernaan pada usus ikan koi (Cyprinus carpio) (in Indonesian). Undergraduate Thesis. Universitas Brawijaya, Malang, Indonesia.
[39] A Kurniawati and N Kuswytasari. Pengaruh medium limbah organik terhadap aktivitas enzim lipase dari isolat kapang tanah wonorejo (in Indonesian). Jurnal Teknik Pomits 2014; 2(1), 1-5.
[40] CY Cho. Feeding systems for rainbow trout and other salmonids with reference to current estimates of energy and protein requirements. Aquaculture 1992; 100(1-3), 107-123.
[41] A Mohebbi, A Nematollahi, A Gholamhoseini, A Tahmasebi-Kohyani and S Keyvanshokooh. Effects of dietary nucleotides on the antioxidant status and serum lipids of rainbow trout (Oncorhynchus mykiss). Aquaculture Nutrition 2013; 19(4), 506-514.
[42] A Ridwanudin and DA Anggorowati. Effect of inosine 5’-monophosphate supplementation on the growth of abalone Haliotis squamata. In: Proceedings of the 2nd International Conference on Applied Sciences, Technology, Engineering and Mathematics, Tangerang, Indonesia. 2023, p. 40010.
[43] C Burrells, PD Williams and PF Forno. Dietary nucleotides: A novel supplement in fish feeds 1. Effects on resistance to disease in salmonids. Aquaculture 2001; 199(1-2), 159-169.
[44] S Xia, W Zhao, M Li, D Zhang, L Nan, H Qian, C Guo, L Yang and G Xuyun. Influence of 5’-inosine monophosphate and 5’-guanosine monophosphate on growth, feed digestibility and activity of digestive enzymes in turbot Scophthalmus maximus. Aquaculture Nutrition 2020; 26(1), 165-173.
[45] HD Huu. Overview of the application of nucleotide in aquaculture. Journal of Coastal Life Medicine 2016; 4(10), 816-823.
[46] Z Cheng, A Buentello and DM Gatlin. Dietary nucleotides influence immune responses and intestinal morphology of red drum Sciaenops ocellatus. Fish Shellfish Immunology 2011; 30(1), 143-147.
[47] MS Hossain, S Koshio, M Ishikawa, S Yokoyama, NM Sony and T Fujieda. Nucleoside by-product dietary supplementation influences blood chemistry, immune response, oxidative stress resistance and intestinal morphology of juvenile amberjack, Seriola dumerili. Aquaculture Nutrition 2017; 23(6), 1390-1400.
[48] L Xu, C Ran, S He, J Zhang, J Hu, Y Yang and Z Zhou. Effects of dietary yeast nucleotides on growth, non-specific immunity, intestine growth and intestinal microbiota of juvenile hybrid tilapia Oreochromis niloticus ♀ × Oreochromis aureus ♂. Animal Nutrition 2015; 1(3), 244-251.
[49] RM Reda, KM Selim, R Mahmoud and IE El-Araby. Effect of dietary yeast nucleotide on antioxidant activity, non-specific immunity, intestinal cytokines, and disease resistance in Nile Tilapia. Fish Shellfish Immunology 2018; 80, 281-290.
[50] J Wang, P Lei, AAA Gamil, L Lagos, Y Yue, K Schirmer, LT Mydland, M Øverland, Å Krogdahl and TM Kortner. Rainbow trout (Oncorhynchus mykiss) intestinal epithelial cells as a model for studying gut immune function and effects of functional feed ingredients. Frontiers Immunology 2019; 10, 152.
[51] N Sookchaiyaporn, P Srisapoome, S Unajak and N Areechon. Efficacy of Bacillus spp. isolated from Nile tilapia Oreochromis niloticus Linn. on its growth and immunity, and control of pathogenic bacteria. Fisheries Science 2020; 86(2), 353-365.
[52] N Mehdinejad, MR Imanpour and V Jafari. Combined or individual effects of dietary probiotic Pedicoccus acidilactici and nucleotide on growth performance, intestinal microbiota, Hemato-biochemical parameters, and innate immune response in goldfish (Carassius auratus). Probiotics and Antimicrobial Proteins 2018; 10(3), 558-565.
[53] W Huang, W Xu, C Yao, Y Liu, N Xu, Z Yin, Y Miao, K Mai and Q Ai. Compound nucleotides as feed attractants improve the survival, growth, digestion, antioxidant capacity, and immunity of large yellow croaker (Larimichthys crocea) larvae. Fish and Shellfish Immunology 2025; 165, 110435.
[54] O Hunt, F Yilmaz, K Engin, M Berkoz, S Gunduz, S Yalin and N Sahin. The effects of fish meal replacement by yeast based nucleotides on growth, body composition and digestive enzyme activity in rainbow trout juveniles (Onchorchyncus mykiss). The Israeli Journal of Aquaculture 2014. https://doi.org/10.46989/001c.20745.
[55] J Yang, C Wen, Y Duan, Q Deng and D Peng. The composition, extraction, analysis, bioactivities, bioavailability and applications in food system of flaxseed (Linum usitatissimum L.) oil: A review. Trends Food Sci Technology 2021; 118, 252-260.
[56] AS Abdelhamid, AM Elnokrashy, NA Ebied, SHA Deriny, MF Abdelkader, NA Abozahra and RA Mohamed. Canola oil and/or linseed oil improved growth performance, immune physiological and metabolic responses of Nile tilapia. Journal of the Hellenic Veterinary Medical Society 2024; 75(2), 7457-7470.
[57] R Churriyah, O Sofjan and MH Natsir. Growth performance and digestive enzyme activity of broiler fed with microwaved flaxseed flour (Linum usitatissimum). Jurnal Ilmu Nutrisi dan Teknologi Pakan 2022; 20(2), 78-82.
[58] M Syahrir, W Kantun and I Cahyono. Kinerja enzim pencernaan ikan nila salin (Oreochromis niloticus) berdasarkan lingkungan budidaya (in Indonesian). Gorontalo Fish Journal 2020; 3(1), 42-55.
[59] M Taklu, H Rajabi, S Pezhman, S Abdolmajid and A Yousefi. Supplemental effect of dietary nucleotides on hematological profile, hepatic biomarkers, antioxidant capacity, and digestive function in Sterlet sturgeon, Acipenser ruthenus. Scientific Reports 2025; 15(1), 11408.
[60] X Peng, F Li, S Lin and Y Chen. Effects of total replacement of fish oil on growth performance, lipid metabolism and antioxidant capacity in tilapia (Oreochromis niloticus). Aquaculture International 2016; 24, 145-15