Start Bootstrap Logo

Trends Sci. 2025; 22(12): 10638

Exploring the Therapeutic Effects of Allium chinense G. Don Extract on Pancreatic Histopathology and Apoptosis Biomarker Modulation in Diabetic Rat Models


Husnarika Febriani1, Syafruddin Ilyas1,*, Ramlan Silaban2 and Elimasni Elimasni1


1Department of Biology, Faculty of Mathematics and Natural Sciences, Universitas Sumatera Utara,

Medan 20155, Indonesia

2Department of Chemistry Education, Faculty of Mathematics and Natural Sciences, Universitas Negeri Medan,

Medan 20221, Indonesia


(*Corresponding author’s e-mail: [email protected])


Received: 12 May 2025, Revised: 20 June 2025, Accepted: 30 June 2025, Published: 30 August 2025


Abstract

Diabetes mellitus is a chronic metabolic disorder characterized by persistent hyperglycemia due to insulin resistance and β cell dysfunction. This study aimed to evaluate the antidiabetic activity of an ethanolic extract of Allium chinense. Phytochemical analysis using thin-layer chromatography (TLC) and liquid chromatography-high-resolution mass spectrometry (LC-HRMS) confirmed the presence of bioactive flavonoids and phenolic compounds, including quercetin and 3-hydroxyflavanone, in the extracts. The extract exhibited moderate antioxidant activity (IC₅₀ = 232.0 ± 15.2 μg/mL), with total phenolic and flavonoid contents of 18.06 ± 0.05 mg GAE/g and 5.73 ± 0.04 mg QE/g, respectively. In vivo evaluation was conducted using 30 male Wistar rats divided into 6 groups: Normal group (N), diabetic control (K−), glibenclamide-treated group (K+, 0.45 mg/kg BW), and treatment groups P1, P2, and P3 receiving 200, 400 and 600 mg/kg BW of extract, respectively, for 28 days. The measured parameters included fasting blood glucose, HbA1c, superoxide dismutase (SOD), pancreatic histopathology, and expression of insulin, inducible nitric oxide synthase (iNOS), and caspase-3. The results showed that extract significantly reduced blood glucose and HbA1c levels, increased SOD activity, improved pancreatic structure, and modulated insulin, iNOS, and caspase-3 expression. The most effective response was observed in group P3 (600 mg/kg BW), which showed outcomes comparable to those of group K(+). In conclusion, A. chinense demonstrated significant antidiabetic effects through antioxidant, anti-inflammatory, and antiapoptotic mechanisms and may serve as a promising natural adjuvant in the management of diabetes.


Keywords: Allium chinense, Polyphenol, Antioxidant, Antidiabetic, Histopathology, Apoptosis


Introduction

The chronic metabolic disease known as diabetes mellitus is characterized by high blood glucose levels (hyperglycemia) caused by the body’s inability to produce or utilize sufficient insulin. Diabetes has become an increasingly significant global health concern, with approximately 537 million adults affected worldwide as of 2023, and the number is projected to rise to 783 million by 2045 [1,2]. People with diabetes primarily inhabit in low- and middle-income nations, and if left untreated, it can lead to serious problems and significant medical expenses [3]. The most prevalent type of diabetes, type 2, is caused by a confluence of factors, including decreased pancreatic insulin output and insulin resistance[4]. Approximately 90% of diabetes cases worldwide are type 2, and the condition is frequently worsened by poor diet, obesity, and physical inactivity [5]. Type 2 diabetes develops due to insulin resistance and β-cell dysfunction, impairing glucose uptake and leading to chronic hyperglycemia [6]. Over time, this metabolic imbalance can lead to complications such as renal failure, nerve damage, heart disease, and loss of eyesight [7].

Despite advancements in pharmacological interventions, traditional therapies have limitations in preventing the long-term complications associated with diabetes, particularly in advanced cases [8]. Oral antidiabetic drugs such as SGLT-2 inhibitors, metformin, and sulfonylureas are commonly prescribed, yet they may have serious side effects including hypoglycemia, heart palpitations, and gastrointestinal distress discomfort [9,10]. There is growing interest in herbal medicines due to their potential benefits and reduced adverse effects [11]. The hypoglycemic properties of herbal remedies have been extensively studied, with species from the genus Allium, such as garlic and onions, showing promising effects due to their bioactive compounds [12]. Streptozotocin (STZ) is widely recognized as a pancreatic β-cell-specific cytotoxic agent and is commonly used to induce diabetes in rodent models [13]. The diabetogenic effect of STZ is due to GLUT2-mediated uptake into pancreatic cells. Although the precise mechanism of cytotoxicity remains unclear, both apoptotic and necrotic pathways of β-cell death have been reported [14].

Common plants in the genus Allium, including onions and garlic, have long been utilized for their ability to enhance insulin sensitivity and lower blood sugar levels [15,16]. The local Indonesian onion, A. chinense has elicited interest due to its possible antidiabetic effects [17]. A. chinense is rich in bioactive substances, including flavonoids, alkaloids, and saponins, with flavonoids acting as antioxidants that can protect cells from oxidative damage, a major contributor to diabetes-related complications [18,19]. Conversely, alkaloids and saponins can lower blood sugar levels and reduce inflammation, thereby lessening the damage caused by hyperglycemia [20,21]. These phytochemicals support the use of A. chinense as a natural medicine to lower insulin resistance and restore pancreatic function [22]. Diabetes mellitus is becoming increasingly common, emphasizing the critical need for novel therapeutic strategies to enhance current therapies. While traditional medications for diabetes control help to maintain glycemic control, their adverse side effects and poor ability to deal with complications make it imperative to search for natural alternatives [23]. A. chinense demonstrates significant potential as an adjuvant therapeutic agent, being capable of reducing insulin resistance and enhancing pancreatic function, thereby potentially delaying the onset and progression of diabetes [24]. In this study, the ability of A. chinense extract to protect pancreatic cells from apoptosis was examined by investigating the effects of the ethanol extract on diabetic rats.


Materials and methods

Materials

A. chinense was purchased from local markets.The chemical reagents used in the experiments included chemical reagents involved ethanol, ethyl acetate, acetone, aluminum chloride, aquadest, formic acid, chloroform, methanol, Folin-Ciocalteu reagent, gallic acid, quercetin, and DPPH (1,1-diphenyl-2-picrylhydrazyl). Additionally, streptozotocin (STZ), sodium carboxymethyl cellulose (Na-CMC), and related compounds were utilized. For biochemical analysis purposes, HbA1C, SOD, insulin, iNOS, and caspase-3 assay kits were purchased from Merck.


Preparation of extract

Ethanolic extract of A. chinense was prepared by the maceration method. A total of 300 g of dried powder was immersed in 2,250 mL of 96% ethanol (analytical grade) for 5 days with periodic stirring in the dark using a sample-to-solvent ratio 1:7.5, w/v. After filtration, the residue was re-macerated for 2 additional days using 750 mL of 96% ethanol (ratio 1:2.5, w/v). The first and second filtrates were combined and concentrated using a rotary vacuum evaporator to obtain a thick extract with a total sample-to-solvent ratio of 1:10 (w/v) [25].


Thin-layer chromatography (TLC)-based detection of flavonoids in A. chinense

Phytochemical screening for flavonoids in A. chinense extract was performed using TLC on silica gel 60 F₂₅₄ plates. Three different mobile phases were employed: Ethyl acetate:Acetone:Formic acid (5:4:1 v/v/v), Chloroform:Methanol (90:10 v/v), and Chloroform:Methanol:Formic acid (80:10:10 v/v/v). The developed chromatograms were observed under UV light at 366 nm, where flavonoid compounds were indicated by bluish-green fluorescent spots. To further confirm the presence of flavonoids, plates were sprayed with 10% FeCl3 reagent, resulting in the appearance of dark green to bluish-colored spots. Retention factor (Rf) values for each spot were calculated to support the identification of flavonoid components. [26].


Analysis of flavonoids and phenolic compounds in the extract using LC-HRMS

The phenolic compounds in the ethanolic extract of A. chinense were identified using Liquid Chromatography-High Resolution Mass Spectrometry (LC-HRMS). The process began with the preparation of the A. chinense extract, which was filtered and injected into the LC-HRMS system. The liquid chromatography (LC) phase separated the sample’s chemical components based on their affinity for the stationary phase of the chromatographic column. Following this separation, the high-resolution mass spectrometry (HRMS) phase analyzed the eluted compounds, determining their molecular masses with exceptional accuracy. This dual-phase technique enabled precise identification of the phenolic compounds in the extract.


Determination of total phenolic and flavonoid contents

The total phenolic and flavonoid contents of A. chinense extract were determined using spectrophotometric assays. The total phenolic content (TPC) was measured using the Folin–Ciocalteu method, with gallic acid as the standard. The absorbance was recorded at 765 nm, and TPC was expressed in mg gallic acid equivalents (GAE) per gram of extract [27]. The total flavonoid content (TFC) was determined using a colorimetric aluminum chloride method, with quercetin as the reference compound and the absorbance was measured at 415 nm, TFC was expressed in mg quercetin equivalents (QE) per gram of extract [28].




Determination of antioxidant activity

The antioxidant activity of the A. chinense ethanol extract was evaluated using a DPPH radical scavenging assay. Various concentrations of the extract were prepared and mixed with a DPPH solution, while distilled water served as the reference. The mixtures were incubated under controlled conditions, and the absorbance was measured at 517 nm using a UV-Vis spectrophotometer (UV-2101PC, Shimadzu, Kyoto, Japan). The percentage of free radical scavenging activity was calculated using the following formula [29]:

Experimental design

The study received approval from the Ethics Committee of Universitas Sumatera Utara (Ethical Approval No. 065/KP-USU/2024). Thirty male rats were acclimatized under standard laboratory conditions with unrestricted access to food and water for 1 week. Prior to induction, the animals underwent an 18-hour fasting period with water available ad libitum, and baseline blood glucose levels were measured using EasyTouch test strips. Diabetes was induced through intraperitoneal injection of STZ at a dose of 65 mg/kg BW, followed by administration of 10% sucrose for 24 h to prevent hypoglycemia. After 72 h, the fasting blood glucose levels were reassessed, and those rats with glucose levels ≥ 250 mg/dL were classified as diabetic and included in the study [30]. The diabetic rats were randomly assigned to 5 groups (n = 5 per group), along with 1 non-diabetic normal control group (N). The experimental groups received oral treatment for 28 consecutive days as follows: (1) The negative control group (K−) was administered only CMC-Na; (2) treatment group P1 was administered 200 mg/kg BW of A. chinense extract; (3) treatment group P2 was administered 400 mg/kg BW of the extract; (4) treatment group P3 was administered 600 mg/kg BW of the extract; (5) the positive control group (K+) was given 0.45 mg/kg BW of glibenclamide, and (6) the normal control group (N) was neither induced with STZ nor treated. Blood glucose levels were monitored every 3 days during the treatment period. At the conclusion of the experiment, all rats were fasted for 18 h and euthanized via intraperitoneal injection of ketamine (70 mg/kg BW). The parameters assessed to evaluate antidiabetic activity included blood glucose, SOD, and HbA1c levels, as well as the expression of insulin, iNOS, and caspase-3. Subsequently, 30 diabetic rats were randomly allocated into 6 groups (n = 5 per group) and administered oral treatment over 28 days as follows: (1) a negative control group (K−) that received only CMC-Na; (2) treatment group P1 that received 200 mg/kg BW of A. chinense extract; (3) treatment group P2 that received 400 mg/kg BW of the extract; (4) treatment group P3 that received 600 mg/kg BW of the extract; (5) a positive control group (K+) that received 0.45 mg/kg BW of glibenclamide, and (6) a normal control group (N) that was neither induced with STZ nor treated. Blood glucose levels were monitored every 3 days throughout the experimental period. At the end of the treatment period, all rats were fasted for 18 h and subsequently euthanized via intraperitoneal injection of ketamine (70 mg/kg BW). The parameters assessed to evaluate antidiabetic activity were the same as those measured in the first experiment [31].


Histopathological analysis

In this study, changes in the histopathological appearance of the pancreas were observed by measuring the area of the islets of Langerhans, the number of islets of Langerhans, and the number of β cells. Measurements were carried out using an Olympus BX51 Olympus BX51 light microscope with the Optilab Advance application and documented using a digital camera.


Statistical analysis

The data were analyzed using GraphPad Prism Version 9.0. Data are expressed as mean ± standard deviation (SD). Differences between groups were examined using 1-way ANOVA followed by Tukey’s HSD test, with p < 0.05 considered significant.


Results and discussion

Flavonoid identification by TLC

The presence of flavonoids in the ethanolic ex­tract of A. chinense (Batak onion) was verified through TLC. Flavonoids were indicated by the appearance of green-blue fluorescent spots on the TLC plate when observed under ultraviolet light at 366 nm. The separation of compounds was achieved using 3 distinct mobile phases: ethyl acetate:acetone:formic acid, chloroform:methanol, and chloroform:methanol:formic acid (Figure 1).


Figure 1 Identification of phytochemical compounds in ethanolic extract of A. chinense using TLC with citroborate spots visible under 366 nm UV light. (A) TLC chromatogram of the ethanolic extract of Batak onion (A. chinense) using the mobile phase of Ethyl Acetate: Acetone: Formic Acid showed spots at Rf1 = 0.50; Rf2 = 0.75; Rf3 = 0.97; and the reference standard (RfP) = 0.97. (B) TLC chromatogram using the mobile phase of Chloroform: Methanol showed spots at Rf1 = 0.48; Rf2 = 0.68; Rf3 = 0.75; Rf4 = 0.91; and the reference standard (RfP) = 0.68. (C) TLC chromatogram using the mobile phase of Chloroform: Methanol: Formic Acid showed spots at Rf1 = 0.36; Rf2 = 0.41; Rf3 = 0.72; Rf4 = 0.97; and the reference standard (RfP) = 0.98.


The TLC analysis using the initial mobile phase system comprising ethyl acetate, acetone, and formic acid identified 3 spots with Rf values of 0.50 (Rf1), 0.75 (Rf2), and 0.97 (Rf3), all of which exhibited blue fluorescence. The reference compound (RfP) was observed at an Rf of 0.97, with a green hue. In the second mobile phase system utilizing chloroform and methanol, 4 spots were detected with Rf values of 0.48 (Rf1) blue, 0.68 (Rf2) green, 0.75 (Rf3) blue, and 0.91 (Rf4) blue, whereas the reference compound (RfP) was identified at an Rf of 0.68, with green coloration. In the third mobile phase system, consisting of chloroform, methanol, and formic acid, 3 spots appeared with Rf values of 0.36 (Rf1), 0.41 (Rf2), and 0.72 (Rf3), all displaying a blue color, and the reference compound (RfP) was detected at an Rf of 0.98, with a green color. The blue spots that emerged following the application of the citroborate reagent were presumed to be flavonoid compounds present in the ethanolic extract of A. chinense, whereas the green spots corresponded to the flavonoid standard compounds quercetin and rutin. These findings ware in accord with those of Lin et al. [32], who confirmed the presence of flavonoid compounds, including quercetin, in A. chinense.


LC-HRMS analysis of flavonoids and phenolic compounds in A. chinense extract

LC-HRMS analysis of the ethanolic extract of A. chinense identified several flavonoids and phenolic compounds, as illustrated in Figure 2 and Table 1. The flavonoids detected included quercetin (C15H10O7, RT = 7.462 min), flavokawain A (C18H18O5, RT = 9.663 min), and 3-hydroxyflavanone (C15H12O3, RT = 8.953 min), all of which are known for their substantial antioxidant and anti-inflammatory activities. In addition, several phenolic acids and their derivatives, including homovanillic acid (C9H10O4, RT = 5.359 min), hymecromone (C10H8O3, RT = 8.958 min), and shogaol (C17H24O3, RT = 10.206 min), were identified. The presence of these bioactive compounds suggests that A. chinense extract is a promising natural source of therapeutic agents with diverse biological activities, particularly those associated with oxidative stress and inflammation


Figure 2 LC-HRMS chromatogram of the ethanolic extract of A. chinense.


Table 1 Compounds in ethanolic extract of A. chinense.

Name

Formula

RT (min)

L-Tyrosine

C9H11NO3

1.025

Quercetin

C15H10O7

7.462

Homovanillic acid

C9H10O4

5.359

Flavokawain A

C18H18O5

9.663

3-Hydroxyflavanone

C15H12O3

8.953

Hymecromone

C10H8O3

8.958

Shogaol

C17H24O3

10.206


The LC-HRMS analysis identified several phenolic and flavonoid compounds with potential antidiabetic effects. Quercetin exhibits vigorous antioxidant activity, reducing oxidative stress and enhancing insulin sensitivity in diabetic conditions [33]. Homovanillic acid may influence inflammatory responses linked to complications involved in diabetes [34]. Flavokawain A exerts antidiabetic effects by modulating cellular signaling pathways [35], while hymecromone supports liver function that is often impaired in diabetes [36]. The 3-Hydroxyflavanone regulates glucose and lipid metabolism through its antioxidant properties [37]. These observations support previous findings on the crucial roles of flavonoids and phenolics in the antidiabetic effects of herbal medicines.


Total phenolic, total flavonoid contents, and antioxidant activity of A. chinense extract

The TPC and TFC of the ethanolic extract of A. chinense were 18.06 ± 0.05 mg GAE/g extract and 5.73 ± 0.04 mg QE/g extract, respectively (Table 2). These concentrations indicated the substantial presence of antioxidant compounds in the extract. These values were relatively high compared to those of other Allium species. For example, the aqueous extract of A. mongolicum showed a TPC of 10.20 mg GAE/g and a TFC of 4.02 mg QE/g [38], whereas the ethanolic extract of A. cepa contained only approximately 2.72 mg QE/g [39]. The observed differences may have resulted from variation in species characteristics, environmental conditions, extraction solvents, and processing methods. These findings support the strong antioxidant potential of A. chinense, making it a promising candidate for application in functional food and pharmaceutical formulations.


Table 2 Antioxidant activity, total phenolic content and total flavonoid content.

Sample

Antioxidant activity (IC50) µg/mL

Total phenolic content (mg GAE/g)

Total flavonoid content (mg QE/g)

Ethanolic extract of A. chinense

232.0 ± 15.2

18.0566 ± 0.046

5.7257 ± 0.039


Figure 3 The effect of A. chinense ethanol extract on DPPH radical scavenging activity. A significant concentration-dependent inhibition of DPPH radicals was observed (p < 0.0001).


The antioxidant activity of the ethanolic extract of A. chinense was evaluated based on its DPPH radical-scavenging ability, as shown in Figure 3 and Table 2. The extract resulted in a concentration-dependent increase in inhibition, ranging from 8.70 ± 1.51% at 12.5 μg/mL to 77.53 ± 1.86% at 200 μg/mL. These findings indicate a clear dose-dependent relationship, with an IC₅₀ value of 232.0 ± 15.2 μg/mL and a strong positive correlation (R2 = 0.9839), suggesting moderate antioxidant capacity attributable to its phenolic and flavonoid contents. Compared to other Allium species, A. paradoxum exhibited weaker antioxidant activity, with an IC₅₀ of 890.9 ± 43.2 μg/mL [40], while A. flavum extracts showed more vigorous activity, with IC₅₀ values ranging from 206.0 to 424.1 μg/mL, depending on the plant part and the extraction method [41]. These differences may be attributed to variation in phytochemical profiles, the plant parts used, and the solvent polarity. Therefore, the antioxidant activity of A. chinense observed in this study can be considered moderate, suggesting its potential as a natural source of antioxidants for the development of functional foods or nutraceuticals.


Effect of A. chinense extract on blood glucose, SOD and HbA1C levels in STZ-induced diabetic rats

The antihyperglycemic effects of the A. chinense ethanolic extract were reflected in the blood glucose levels in STZ-induced diabetic rats on day 28 (Figure 4(A)). The diabetic control group (K−) exhibited persistently elevated glucose levels (365.9 ± 11.77 mg/dL), confirming the successful induction of hyperglycemia. Administration of A. chinense at doses of 200 mg/kg BW (224.1 ± 3.12 mg/dL) and 400 mg/kg BW (224.7 ± 4.72 mg/dL) significantly reduced glucose levels compared to the K(−) group (p < 0.05), although the doses had similar effects. A more pronounced reduction was observed at 600 mg/kg BW (186.7 ± 8.26 mg/dL), and the effect was not significantly different from that in the glibenclamide group (K+: 175.2 ± 3.61 mg/dL), suggesting comparable therapeutic efficacy. In contrast, the normal group (N) maintained the lowest glucose level (81.05 ± 1.30 mg/dL), which was significantly different from all diabetic groups (p < 0.05). The potent antioxidant properties of A. chinense extract may underlie its antihyperglycemic activity, as oxidative stress impairs insulin signaling, promotes β-cell dysfunction, and contributes to the chronic inflammation associated with diabetes. Elevated reactive oxygen species (ROS) levels in diabetic patients can exacerbate insulin resistance and glucose intolerance through lipid peroxidation, protein oxidation, and DNA damage [42-44]. These findings suggest that A. chinense may improve glycemic control in a dose-dependent manner by attenuating oxidative stress and enhancing β-cell function, with the highest dose showing an efficacy comparable to that of glibenclamide. This aligns with previous studies on other Allium species that have reported improved insulin sensitivity and pancreatic regeneration linked to the plants’ phytochemical content.



Figure 4 (A) shows blood glucose levels, (B) shows SOD levels, and (C) shows HbA1c levels in STZ-induced diabetic rats. K(−) refers to diabetic rats administered 0.5% CMC-Na suspension; P1 refers to diabetic rats treated with ethanolic extract of A. chinense at a dose of 200 mg/kg BW; P2 refers to diabetic rats treated with the extract at a dose of 400 mg/kg BW; P3 refers to diabetic rats treated with the extract at a dose of 600 mg/kg BW; K(+) refers to diabetic rats treated with glibenclamide at a dose of 0.45 mg/kg BW; and N refers to the normal group that received neither STZ induction nor any treatment. Different letters in each graph indicate statistically significant differences between treatments (p < 0.05; ANOVA followed by Tukey’s test).


The SOD levels following treatment with A. chinense extract are shown in Figure 4(B). Quantification was conducted based on absorbance measurements interpolated using a logarithmic regression curve (y = 0.0024 ln(x) + 0.2716; r2 = 0.8525) derived from standard concentrations ranging from 15.625 to 1,000 µg/mL. The diabetic control group (K−), which received a 0.5% CMC-Na suspension, exhibited the lowest SOD level, indicating severe oxidative stress due to the STZ injection. In contrast, administration of A. chinense extract at doses of 200 mg/kg BW (P1), 400 mg/kg BW (P2), and 600 mg/kg BW (P3) significantly elevated SOD levels, to 67.528 ± 13.826, 91.556 ± 1.980 and 137.597 ± 2.956 µg/mL, respectively. Treatment with glibenclamide at 0.45 mg/kg BW (K+) further increased SOD levels to 162.389 ± 11.427 µg/mL, whereas the normal group (N) that received no STZ induction or treatment maintained a physiologically high antioxidant activity. These findings suggest that A. chinense extract enhanced the antioxidant capacity in the diabetic rats, with its highest dose approaching the efficacy of standard antidiabetic treatments.

Consistent with these effects, the A. chinense extract also reduced HbA1c levels (Figure 4(C)). The diabetic control group (K−) showed a marked increase in HbA1c (72.353 ± 5.194 µg/mL), significantly higher than the normal group (N: 28.080 ± 0.790 µg/mL; p < 0.0001), reflecting the extent of chronic hyperglycemia and oxidative damage. Treatment with A. chinense at 200, 400 and 600 mg/kg BW (P1 - P3) reduced the respective HbA1c levels to 39.603 ± 3.797, 37.563 ± 0.856, and 32.716 ± 1.468 µg/mL, whereas glibenclamide (K+) produced a further reduction to 27.803 ± 0.360 µg/mL. Although A. chinense lowered HbA1c levels, its efficacy remained slightly inferior to that of glibenclamide. The consistency of HbA1c reduction and SOD elevation supports the dual mechanism of A. chinense in improving the glycemic status and attenuating oxidative stress. These effects are likely mediated by its phytochemical constituents, including flavonoids, tannins, and saponins, as previously reported in studies using A. cepa [45]. Quercetin enhances SOD activity [46], while tannins and saponins act as free radical scavengers and antioxidants, protecting against oxidative damage in diabetic states [47,48]. Taken together, the findings indicate that A. chinense at a dose of 600 mg/kg BW (P3) demonstrated the most pronounced therapeutic effects among all tested doses, showing comparable outcomes to glibenclamide in reducing blood glucose and enhancing antioxidant defense. However, although HbA1c levels were significantly lower in the P3 group, they remained slightly elevated compared to the group given glibenclamide, suggesting that a more extended treatment duration or combination therapy may be required to achieve maximal glycemic normalization. Nonetheless, these results highlight the potential of A. chinense as a promising natural adjuvant for managing hyperglycemia and oxidative stress in patients with diabetes.


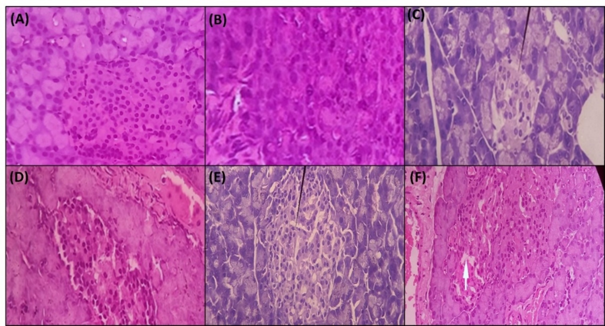
Effect of A. chinense extract on rat pancreas histopathology

Histopathological analysis of pancreatic tissue after 28 days of treatment was conducted using hema­toxylin and eosin (HE) staining under 40× magnifica­tion. Figures 5(A) - 5(F) and Table 3 present the ob­served morphological changes in pancreatic cells. The negative control group K(−) (TBI + CMC-Na; Figure 5(A)) exhibited severe tissue disruption, characterized by a reduced number of islets (4.667 ± 4.163) along with extensive necrosis (70.000 ± 30.000%) and de­generation (73.333 ± 23.094%). In contrast, the normal group N (Figure 5(F)), which did not undergo STZ induction, retained a normal pancreatic architecture, with densely packed β-cells in the islets of Langerhans (15.667 ± 0.577) and no evident damage. The group treated with A. chinense at a dose of 200 mg/kg BW (P1; Figure 5B) showed moderate improvement in tissue morphology, as reflected by an increased islet count (10.333 ± 1.528) and partial reductions in necrosis and degeneration. A further increase in dose to 400 mg/kg BW (P2; Figure 5(C)) slightly improved the islet number (11.333 ± 1.155), although necrotic and degenerative features remained relatively high. The best outcomes were observed in the 600 mg/kg BW group (P3; Figure 5(D)), which showed substantial structural restoration with 12.333 ± 0.577 islets and reduced necrosis (33.333 ± 20.817%) and degeneration (40.000 ± 10.000%), values that were significantly different from those of the K(−), P1, and P2 groups.


Figure 5 HE staining of pancreatic tissue at 40× magnification: (A) K(−) = TBI + CMC-Na, (B) P1 = TBI + A. chinense 200 mg/kg BW, (C) P2 = TBI + A. chinense 400 mg/kg BW, (D) P3 = TBI + A. chinense 600 mg/kg BW, (E) K(+) = TBI + glibenclamide 0.45 mg/kg BW, (F) N = normal control (no TBI, no treatment).


Table 3 Effect of administering test samples on parameters of pancreatic organ damage on day 28.

Sample

Parameters

Number of Islet Langerhans

% Necrosis

% Degeneration

K(−)

4.667 ± 4.163a

70.000 ± 30.000a

73.333 ± 23.094a

P1

10.333 ± 1.528a

36.667 ± 37.859a

50.000 ± 34.641a

P2

11.333 ± 1.155a

63.333 ± 20.817a

53.333 ± 20.817a

P3

12.333 ± 0.577a

33.333 ± 20.817a

40.000 ± 10.000a

K(+)

13.667 ± 0.577 a

23.333 ± 5.774a

23.333 ± 5.774a

N

15.667 ± 0.577 a

0.000 ± 0.000a

0.000 ± 0.000a

Note: (K(−): TBI + CMC-Na; P1: TBI + A. chinense 200 mg/kg BW; P2: TBI + A. chinense 400 mg/kg BW; P3: TBI + A. chinense 600 mg/kg BW; K(+): TBI + glibenclamide 0.45 mg/kg BW; N: normal control). Superscripts a,b indicate significant differences between groups (p < 0.05).

The glibenclamide group K(+) (Figure 5(E)) demonstrated marked recovery, with 13.667 ± 0.577 islets and the lowest necrosis and degeneration values (23.333 ± 5.774%), close to the histological profile of the control group. These improvements suggest that A. chinense can have a protective effect on pancreatic tissue comparable to the pharmacological standard. This histological recovery is likely driven by the flavonoids and saponins in A. chinense [32]. Previous studies on other Allium species have demonstrated similar effects through the modulation of oxidative and inflammatory pathways [46], reinforcing the therapeutic potential of A. chinense in diabetic models.


Therapeutic effects of the ethanolic extract of A. chinense on insulin, iNOS, and caspase-3 expression

The immunoreactivity score (IRS) for insulin (Figure 6(A)) illustrates the therapeutic effects of the ethanolic extract of A. chinense on pancreatic β-cell injury in diabetic rats induced by NA and STZ. The group administered the CMC-Na suspension (K−) exhibited a significant reduction in insulin IRS (0.66 ± 0.57) compared to the untreated normal group (N, 11.00 ± 0.57, p < 0.05), indicating severe β-cell impairment. Administration of the extract at 200 mg/kg BW (P1) resulted in a modest increase (2.33 ± 0.57), although this was not significantly different from the K(−) group (p > 0.05). A dose of 400 mg/kg BW (P2) further improved the IRS to 3.00 ± 1.00 (p < 0.05 vs. K(−)), but was not statistically different from P1, suggesting a potential plateau effect. The highest dose, 600 mg/kg BW (P3), significantly enhanced insulin expression (8.00 ± 1.00), with no significant difference from the glibenclamide-treated group (K+, 7.66 ± 0.57, p > 0.05) that received glibenclamide at 0.45 mg/kg BW. These findings suggest that A. chinense extract can promote β-cell regeneration and modulate oxidative and inflammatory pathways in STZ-induced diabetic rats. Among all treatment groups, P3 (600 mg/kg body weight) demonstrated the best outcome, indicating that this was the most effective dose for restoring insulin expression, potentially through mechanisms involving antioxidant defense, suppression of inflammation, and protection of pancreatic β-cells.

Administration of the ethanolic extract of A. chinense resulted in a dose-dependent reduction in iNOS expression within the pancreatic tissue of diabetic rats induced by NA and STZ (Figure 6(B)). The negative control group (K−) demonstrated significantly elevated iNOS IRS scores (10.67 ± 1.15) compared to the normal group (N, 2.00 ± 1.00; p < 0.05), indicating a pronounced inflammatory response. Treatment with the extract at 200 mg/kg BW (P1) slightly reduced the IRS score to 8.66 ± 0.57, although this reduction was not significantly different from that of the K(−) group (p > 0.05). There was a further decrease at 400 mg/kg BW (P2), resulting in an IRS score of 6.00 ± 1.00, significantly lower than that of the K− and P1 groups (p < 0.05). The most pronounced effect was achieved at 600 mg/kg BW (P3), with an IRS score of 3.33 ± 0.57, which was significantly lower than those of all other extract-treated groups (p < 0.05) and comparable to that of the glibenclamide-treated group (K(+), 3.00 ± 1.00; p > 0.05), which also showed no significant difference from the normal group. These findings suggest that a high dose of ethanolic A. chinense extract may effectively suppress iNOS expression, potentially through anti-inflammatory mechanisms comparable to those of standard pharmacological treatments.


Figure 6 IRS score of protein insulin (A), iNOS (B), and Caspase-3 (C) on day 28 of NA and STZ-induced hyperglycemic rats. The arrow indicates the expression of insulin protein marked in brown. Description: K(−) is the administration of CMC-Na suspension, P1 is ethanolic extract of A. chinense dose of 200 mg/kg BW, P2 is ethanolic extract of A. chinense dose of 400 mg/kg BW, P3 is ethanolic extract of A. chinense dose of 600 mg/kg BW, K(+) is glibenclamide dose of 0.45 mg/kg BW, and N is the group without treatment. The same letter indicates that the groups are not significantly different, with p > 0.05.




The inhibitory effect of the ethanolic extract of A. chinense on pancreatic cell apoptosis was further investigated by evaluating caspase-3 expression (Figure 6(C)). The negative control group (K−) demonstrated a significantly elevated IRS score (9.66 ± 0.57) compared to the normal group (N, 1.00 ± 1.00; p < 0.05), indicating increased apoptotic activity due to oxidative stress induced by NA and STZ. Administration of the extract at 200 mg/kg BW (P1) resulted in a slight reduction in caspase-3 expression (9.00 ± 1.00), although this was not significantly different from that in the K(−) group (p > 0.05). Increasing the dose to 400 mg/kg BW (P2) further reduced the IRS score to 6.66 ± 1.15, which was significantly lower than that in the K(−) group (p < 0.05), although not significantly different from the P1 group (p > 0.05). The most substantial reduction was observed at 600 mg/kg BW (P3), with an IRS score of 5.00 ± 1.00, significantly lower than those of the K(−) and P1 groups (p < 0.05) but comparable to that of P2 (p > 0.05). This result was similar to that of the glibenclamide-treated group (K+, 4.33 ± 0.57; p > 0.05), suggesting that the highest dose of A. chinense extract exhibited an anti-apoptotic effect equivalent to that of the standard pharmacological treatment. However, none of the treatment groups restored caspase-3 expression to the levels observed in the normal group, suggesting that a more extended treatment duration may be necessary to achieve full normalization.

An integrated analysis of immunoreactivity scores (IRS) for insulin, iNOS, and Caspase-3 indicated that the administration of an ethanolic extract of A. chinense at a dosage of 600 mg/kg BW elicited the most effective therapeutic responses in STZ-induced diabetic rats. This specific dosage significantly enhanced insulin expression while concurrently reducing iNOS and caspase-3 levels, indicating a multifaceted protective effect on pancreatic tissue. The IRS results reflected a coordinated mechanism of STZ-induced β-cell dysfunction characterized by diminished insulin production and elevated oxidative and apoptotic markers [49,50]. The inverse relationship among these markers underscores the involvement of inflammatory and apoptotic pathways in β-cell dysfunction. Treatment with A. chinense mitigated these effects, with the 600 mg/kg BW dose restoring insulin levels and reducing iNOS and caspase-3 expression to values comparable to those achieved with glibenclamide. These outcomes are likely attributable to the flavonoids and saponins in A. chinense, as these compounds are known for their antioxidant, anti-inflammatory, and anti-apoptotic properties [51-53]. Flavonoids such as quercetin have been reported to enhance insulin secretion, increase the number of islets of Langerhans, and stimulate insulin production in STZ-induced diabetic models [54-56]. These effects are mediated through the inhibition of NF-κB activation and suppression of iNOS expression, while also improving metabolic parameters, including blood glucose levels, lipid profiles, and insulin sensitivity [57,58]. Other flavonoids, including genistein, daidzein, kaempferol, and glabridin, exert similar anti-inflammatory effects by modulating the expression levels of STAT-1, NF-κB, and iNOS [59]. Furthermore, flavonoids such as naringenin, morin, and quercetin attenuate caspase-3 activation and regulate apoptosis-related proteins, including Bcl-2 and Bax, thereby preserving cellular integrity in diabetic tissues [60-64]. These findings are consistent with those of previous studies on A. sativum and A. hookeri that demonstrated protective effects against oxidative stress-induced damage [65,66]. Although A. chinense at 600 mg/kg BW exhibited efficacy comparable to that of glibenclamide, the IRS values for caspase-3 did not fully return to normal, suggesting that a prolonged treatment period may be necessary for the complete restoration of pancreatic cellular homeostasis.


Conclusions

The present study demonstrates that the ethanolic extract of A. chinense exhibits significant antidiabetic effects in STZ-induced diabetic rats through its multifaceted antioxidant and antiapoptotic mechanisms. The extract, rich in phenolic and flavonoid compounds such as quercetin and 3-hydroxyflavanone, showed dose-dependent efficacy in reducing blood glucose and HbA1c levels, enhancing SOD activity, and ameliorating histopathological damage in pancreatic tissue. Furthermore, the extract modulated key molecular markers of diabetes pathogenesis, including increased insulin expression and decreased expression of iNOS and caspase-3, particularly at the 600 mg/kg BW dose, which exhibited comparable effects to glibenclamide. These findings suggest that A. chinense has promising therapeutic potential as a natural adjuvant for managing diabetes and mitigating its associated pancreatic complications. Further studies, including the isolation of active constituents, elucidation of mechanistic pathways, and long-term clinical safety evaluation, are warranted to support its development as a complementary antidiabetic agent.


Acknowledgements

The authors were pleased that Universitas Sumatera Utara and National Research and Innovation Agency (BRIN, Indonesia) facilitated this research.


References

  1. S Mohan and AM Egan. Diagnosis and treatment of hyperglycemia in pregnancy: Type 2 diabetes mellitus and gestational diabetes. Endocrinology and Metabolism Clinics 2024; 53(3), 335-347.

  2. J Blahova, M Martiniakova, M Babikova, V Kovacova, V Mondockova and R Omelka. Pharmaceutical drugs and natural therapeutic products for the treatment of type 2 diabetes mellitus. Pharmaceuticals 2021; 14(8), 806.

  3. G Tomar, M Singh, I Sharma, A Nautiyal, S Aggarwal, S Chandra, HR Chitme, CR Medeiros, M de Azevedo Lima, L Raquel de Lima, HDM Coutinho and B Kumar. Metformin reduces testosterone level in type 2 diabetes mellitus patients and its therapy by traditional medicine. Clinical Traditional Medicine and Pharmacology 2024; 5, 200167.

  4. E Arora, R Regan, VU Surendra and A Arumugam. Prevalence of peripheral arterial disease among individuals with type 2 diabetes mellitus in India - A systematic review and meta-analysis. Diabetes and Metabolic Syndrome: Clinical Research and Reviews 2024; 18(9), 103124.

  5. Y Sakamoto, K Kawamura, H Yoshimatsu, T Doi and T Miyake. Analysis of the impact of periodontal disease management before the onset of type 2 diabetes mellitus on medical costs using administrative claims database. Journal of Oral and Maxillofacial Surgery, Medicine, and Pathology 2024; 37(3), 493-499.

  6. B Chen, L Tao, M Tian and Z Ji. Efficacy and safety of combination of semaglutide and basal insulin in patients with of type 2 diabetes mellitus: A systematic review and meta-analysis. Clinical Nutrition ESPEN 2025; 66, 564-572.

  7. A Vignarajah, MC Tan, N Vigneswaramoorthy, K Tamirisa, LR Scott, O Wazni and JZ Lee. Cardiovascular outcomes with GLP-1 RAs in patients with type 2 diabetes mellitus and atrial fibrillation. Heart Rhythm 2025. https://doi.org/10.1016/j.hrthm.2025.01.023

  8. RF Hu and XB Sun. Design of new traditional Chinese medicine herbal formulae for treatment of type 2 diabetes mellitus based on network pharmacology. Chinese Journal of Natural Medicines 2017; 15(6), 436-441.

  9. LEO Ramirez, DFÁ Ibáñez, CCA Morales, LKO Arango, M Plazas and ID Escobar. Cost-effectiveness analysis of pharmacological treatment with insulin and insulin analogs for type 1 and type 2 diabetes mellitus in Colombia. Value in Health Regional Issues 2025; 47, 101073.

  10. C Ye, Y Li, J Shi, L He, X Shi, W Yang, W Lei, S Quan, X Lan and S Liu. Network pharmacology analysis revealed the mechanism and active compounds of jiao tai wan in the treatment of type 2 diabetes mellitus via SRC/PI3K/AKT signaling. Journal of Ethnopharmacology 2025; 337(P2), 118898.

  11. S Kumari, R Patil and BR Tubaki. Efficacy of integrated Ayurveda treatment protocol in uncontrolled type 2 diabetes mellitus: A randomized controlled study. European Journal of Integrative Medicine 2025; 73, 102424.

  12. C Xie, W Gao, X Li, S Luo, D Wu and FY Chye. Garlic (Allium sativum L.) polysaccharide ameliorates type 2 diabetes mellitus (T2DM) via the regulation of hepatic glycogen metabolism. NFS Journal 2023; 31, 19-27.

  13. HY Lukman, Y Kuo, MS Owolabi, B Lawal, LC Chen, OT Ajenifujah, AO Fadaka, F Olawale, SA Onikanni, S Sani, MD Waard, D Fouad, G El-Saber Batiha, S Sabiu, ATH Wu and HS Huang. Evaluation of terpenes rich Hura crepitans extract on glucose regulation and diabetic complications in STZ-induced diabetic rats. Biomedicine and Pharmacotherapy 2024; 179, 117308.

  14. P Sun, X Wang, M An, Q Feng, S Huang, Y Wang and B Li. The ethanol extract of Garcinia kola seeds ameliorates renal injury in HFD/STZ-induced diabetic rats and inhibits mesangial cells apoptosis via improving mitochondrial dysfunction. Journal of Functional Foods 2024; 119, 106341.

  15. M Rahimi-Madiseh, E Heidarian, S Kheiri and M Rafieian-Kopaei. Effect of hydroalcoholic Allium ampeloprasum extract on oxidative stress, diabetes mellitus and dyslipidemia in alloxan-induced diabetic rats. Biomedicine and Pharmacotherapy 2017; 86, 363-367.

  16. KA Obaid. Anti-angiogenesis efficacy of the aqueous extract of Allium sativum and its combination with melatonin in an animal model: In vivo and ex vivo studies. Pharmacia 2024; 71, 1-8.

  17. J Li, G Ye, Z Zhou, J Wang, J Wang, T Ju, A Cifuentes, E Ibañez, D Baranenko, H Zhao and W Lu. Ultrasound-assisted extraction of polysaccharide from Allium chinense G. Don epidermal waste: Evaluation of extraction mechanism, physicochemical properties, and bioactivities. Ultrasonics Sonochemistry 2025; 112, 107210.

  18. Q He, S Huang, Y Wu, W Zhang, F Wang, J Cao, Q Sheng, Z Liang, L Liu and WB Ou. Comparative study on the composition of free amino acids and derivatives in the 2 botanical origins of an edible Chinese herb “Xiebai”, i.e., Allium chinense G. Don and Allium macrostemon Bunge species. Food Research International 2018; 106, 446-457.

  19. Y Wang, J Ma, Y Tong, N Li, J Li and Z Qi. Antidiabetic effects and mechanisms of Cyclocarya paliurus leaf flavonoids via PIK3CA. Journal of Functional Foods 2024; 113, 106031.

  20. SP Subramanian and GS Prasath. Antidiabetic and antidyslipidemic nature of trigonelline, a major alkaloid of fenugreek seeds studied in high-fat-fed and low-dose streptozotocin-induced experimental diabetic rats. Biomedicine and Preventive Nutrition 2014; 4(4), 475-480.

  21. S Jiang, L Xu, Y Xu, Y Guo, L Wei, X Li and W Song. Antidiabetic effect of Momordica charantia saponins in rats induced by high-fat diet combined with STZ. Electronic Journal of Biotechnology 2020; 43, 41-47.

  22. YH Yu, F Liu, LQ Li, MY Jin, X Yu, X Liu, Y Li, L Li and JK Yan. Recent advances in dietary polysaccharides from Allium species: Preparation, characterization, and bioactivity. International Journal of Biological Macromolecules 2024; 277(P1), 134130.

  23. A Laabar, I Kabach, S El Asri, A Kchikich, S Drioua, A El Hamri and M El Abbes Faouzi. Investigation of antioxidant, antidiabetic, and antiglycation properties of Sonchus oleraceus and Lobularia maritima (L.) Desv. extracts from Taza, Morocco. Food Chemistry Advances 2025; 6, 100912.

  24. N Zekeya, M Ibrahim, B Mamiro, H Ndossi, M Kilonzo, M Mkangara, M Chacha, J Chilongola and J Kideghesho. Potential of natural phenolic antioxidant compounds from Bersama abyssinica (Meliathacea) for treatment of chronic diseases. Saudi Journal of Biological Sciences 2022; 29(6), 103273.

  25. MF Lubis, PAZ Hasibuan, VE Kaban and R Astyka. Phytochemicals analysis and cytotoxic activity of lansium domesticum corr extract-cisplatin combination against panc-1 cell line. Rasayan Journal of Chemistry 2023; 16(1), 32-37.

  26. PAZ Hasibuan, JM Keliat and MF Lubis. Microwave-assisted extraction impacts on pharmacological activity of vernonia amygdalina delile leaf extracts and FT-IR application for phytochemicals analysis. Rasayan Journal of Chemistry 2023; 16(3), 1677-1685.

  27. MF Lubis, S Sumaiyah, LD Lubis, K Fitri and R Astyka. Application of Box-Behnken design for optimization of Vernonia amygdalina stem bark extract in relation to its antioxidant and anti-colon cancer activity: The Effect of Vernonia amygdalina stem bark extract against WiDR cells. Arabian Journal of Chemistry 2024; 17(4), 105702.

  28. LD Lubis, AT Prananda, NA Juwita, MA Nasution, RA Syahputra, S Sumaiya, RR Lubish, MF Lubisc, R Astykac and JF Atiqahi. Unveiling antioxidant capacity of standardized chitosan-tripolyphosphate microcapsules containing polyphenol-rich extract of Portulaca oleraceae. Heliyon 2024; 10(8), e29541.

  29. MF Lubis, H Syahputra, DN Illian and VE Kaban. Antioxidant activity and nephroprotective effect of Lansium parasiticum leaves in doxorubicin-induced rats. Journal of Research in Pharmacy 2022; 26(3), 565-573.

  30. AS Dias, M Porawski, M Alonso, N Marroni, PS Collad and J González-Gallego. Quercetin decreases oxidative stress, NF-κB activation, and iNOS overexpression in liver of streptozotocin-induced diabetic rats. Journal of Nutrition 2005; 135(10), 2299-2304.

  31. MS Othman, AM Khaled, AH Al-Bagawi, MA Fareid, RA Ghany, OA Habotta and AEA Moneim. Hepatorenal protective efficacy of flavonoids from Ocimum basilicum extract in diabetic albino rats: A focus on hypoglycemic, antioxidant, anti-inflammatory and anti-apoptotic activities. Biomedicine and Pharmacotherapy 2021; 144, 112287.

  32. YP Lin, LY Lin, HY Yeh, CH Chuang, SW Tseng and YH Yen. Antihyperlipidemic activity of Allium chinense bulbs. Journal of Food and Drug Analysis 2016; 24(3), 516-526.

  33. N Oršolić, G Gajski, V Garaj-Vrhovac, D Crossed D Signikić, ZŠ Prskalo and D Sirovina. DNA-protective effects of quercetin or naringenin in alloxan-induced diabetic mice. European Journal of Pharmacology 2011; 656(1-3), 110-118.

  34. I Ibero-Baraibar, A Perez-Cornago, MJ Ramirez, JA Martínez and MA Zulet. An increase in plasma homovanillic acid with cocoa extract consumption is associated with the alleviation of depressive symptoms in overweight or obese adults on an energy restricted diet in a randomized controlled trial. Journal of Nutrition 2016; 146(4), 897S-904S.

  35. Z Wei, X Gu, J Zhang, Y Chen, T Jiang, D Hu, M Miao, H Zhou, R Cheng, AT Teichmann and Y Yang. Beneficial biological effects of Flavokawain A, a chalcone constituent from kava, on surgically induced endometriosis rat model. Journal of Ethnopharmacology 2024; 318(PA), 116896.

  36. N Nagy, KS Czepiel, G Kaber, D Stefanovski, A Hargil, N Pennetzdorfer, R Targ, SC Reghupaty, TN Wight, RB Vernon, RL Hull-Meichle, P Marshall, CO Medina, H Martinez, A Kalinowski, RD Paladini, S Garantziotis, JW Knowles and PL Bollyky. Hymecromone promotes longevity and insulin sensitivity in mice. Cells 2024; 13(20), 1-14.

  37. SI Pillai, SP Subramanian and M Kandaswamy. Evaluation of antioxidant efficacy of vanadium-3-hydroxyflavone complex in streptozotocin-diabetic rats. Chemico-Biological Interactions 2013; 204(2), 67-74.

  38. W Wang, J Li, H Zhang, X Wang, J Fan and X Zhang. Phenolic compounds and bioactivity evaluation of aqueous and methanol extracts of Allium mongolicum Regel. Food Science and Nutrition 2019; 7(2), 779-787.

  39. H Nurcahyo, SA Sumiwi, E Halimah and G Wilar. Total flavonoid levels of ethanol extract and ethyl acetate fraction dry shallots (Allium cepa L. var. Garden Onion of Brebes) with maceration methods using UV-Vis spectrophotometry. Systematic Reviews in Pharmacy 2020; 11(10), 286-289.

  40. MA Ebrahimzadeh, SF Nabavi, SM Nabavi and B Eslami. Antihemolytic and antioxidant activities of Allium paradoxum. Central European Journal of Biology 2010; 5(3), 338-345.

  41. C Moldovan, O Frumuzachi, M Babotă, J Pinela, L Barros, G Rocchetti, V López, L Lucini, G Crișan and A Mocan. Untargeted phytochemical profiling and biological activity of small yellow onion (Allium flavum L.) from different regions of Romania. Food Chemistry 2023; 426, 136503.

  42. TL Abreu, GS Silva, ADJ de Farias Marques, JS de Espindola, BBT de Assis, KB Sampaio, T Mariano, R de Albuquerque, MTB Pacheco, FAB Galland, EL de Souza, M Magnani, MS Madruga and TK Alencar Bezerra. Organic arabic coffee husk: Antioxidant and cytoprotective properties and potential impacts on selected human intestinal bacterial populations of individuals with diabetes. Food Research International 2024; 192, 114730.

  43. S Nzekwe, A Morakinyo, M Ntwasa, S Lebelo, O Oguntibeju, O Oyedapo and A Ayeleso. Flavonoid-rich fraction of Monodora tenuifolia Benth seeds improves antioxidant status in male Wistar rats with streptozotocin-induced Diabetes mellitus. Phytomedicine Plus 2024; 4(4), 100646.

  44. F Nasirian, M Dadkhah, N Moradi-Kor and Z Obeidavi. Effects of Spirulina platensis microalgae on antioxidant and anti-inflammatory factors in diabetic rats. Diabetes, Metabolic Syndrome and Obesity: Targets and Therapy 2018; 11, 375-380.

  45. AV González‐de‐peredo, M Vázquez‐espinosa, E Espada‐bellido, C Carrera, M Ferreiro‐gonzález, GF Barbero and M Palma. Flavonol composition and antioxidant activity of onions (Allium cepa l.) based on the development of new analytical ultrasound‐assisted extraction methods. Antioxidants 2021; 10(2), 273.

  46. J Xie, W Song, X Liang, Q Zhang, Y Shi, W Liu and X Shi. Protective effect of quercetin on streptozotocin-induced diabetic peripheral neuropathy rats through modulating gut microbiota and reactive oxygen species level. Biomedicine and Pharmacotherapy 2020; 127, 110147.

  47. N Omar, CAN Ismail and I Long. Tannins in the treatment of diabetic neuropathic pain: Research progress and future challenges. Frontiers in Pharmacology 2022; 12, 805854.

  48. AR El Barky, SA Hussein, AA Alm-Eldeen, YA Hafez and TM Mohamed. Anti-diabetic activity of Holothuria thomasi saponin. Biomedicine and Pharmacotherapy 2016; 84, 1472-1487.

  49. ME Cerf. Beta cell dysfunction and insulin resistance. Frontiers in Endocrinology 2013; 4, 37.

  50. U Fırat, S Kaya, A Çim, H Büyükbayram, O Gökalp, MS Dal and MN Tamer. Increased caspase-3 immunoreactivity of erythrocytes in STZ diabetic rats. Experimental Diabetes Research 2012; 2012(1), 316384.

  51. S Mallik, B Paria, SM Firdous, HS Ghazzawy, NK Alqahtani, Y He, X Li and MM Gouda. The positive implication of natural antioxidants on oxidative stress-mediated diabetes mellitus complications. Journal of Genetic Engineering and Biotechnology 2024; 22(4), 100424.

  52. DA Omoboyowa, MD Agoi, SA Shodehinde, OA Saibu and JA Saliu. Antidiabetes study of Spondias mombin (Linn) stem bark fractions in high-sucrose diet-induced diabetes in Drosophila melanogaster. Journal of Taibah University Medical Sciences 2023; 18(4), 663-675.

  53. S Ismail, TI Chandel, J Ramakrishnan, RH Khan, K Poomani and N Devarajan. Phytochemical profiling, human insulin stability and alpha glucosidase inhibition of Gymnema latifolium leaves aqueous extract: Exploring through experimental and in silico approach. Computational Biology and Chemistry 2023; 107, 107964.

  54. SM Jeong, MJ Kang, HN Choi, JH Kim and JI Kim. Quercetin ameliorates hyperglycemia and dyslipidemia and improves antioxidant status in type 2 diabetic db/db mice. Nutrition Research and Practice 2012; 6(3), 201-207.

  55. F Aghababaei and M Hadidi. Recent advances in potential health benefits of quercetin. Pharmaceuticals 2023; 16(7), 1020.

  56. AH Rahmani, MA Alsahli, AA Khan and SA Almatroodi. Quercetin, a plant flavonol attenuates diabetic complications, renal tissue damage, renal oxidative stress and inflammation in streptozotocin-induced diabetic rats. Metabolites 2023; 13(1), 130.

  57. HOA Alharbi, M Alshebremi, AY Babiker and AH Rahmani. The role of quercetin, a flavonoid in the management of pathogenesis through regulation of oxidative stress, inflammation, and biological activities. Biomolecules 2025; 15(1), 151.

  58. Q Jin, T Liu, Y Qiao, D Liu, L Yang, H Mao, F Ma, Y Wang, L Peng and Y Zhan. Oxidative stress and inflammation in diabetic nephropathy: Role of polyphenols. Frontiers in Immunology 2023; 14, 1185317.

  59. I Yehuda, Z Madar, A Leikin-Frenkel and S Tamir. Glabridin, an isoflavan from licorice root, downregulates iNOS expression and activity under high-glucose stress and inflammation. Molecular Nutrition and Food Research 2015; 59(6), 1041-1052.

  60. CH Wu, CF Wu, HW Huang, YC Jao and GC Yen. Naturally occurring flavonoids attenuate high glucose-induced expression of proinflammatory cytokines in human monocytic THP-1 cells. Molecular Nutrition and Food Research 2009; 53(8), 984-995.

  61. RK Al-Ishaq, M Abotaleb, P Kubatka, K Kajo and D Büsselberg. Flavonoids and their anti-diabetic effects: Cellular mechanisms and effects to improve blood sugar levels. Biomolecules 2019; 9(9), 430.

  62. M Azeem, M Hanif, K Mahmood, N Ameer, FRS Chughtai and U Abid. An insight into anticancer, antioxidant, antimicrobial, antidiabetic and anti-inflammatory effects of quercetin: A review. Polymer Bulletin 2023; 80(1), 241-262.

  63. DP Wati and S Ilyas. Renoprotective potential of flavonoids-rich against doxorubicin-induced in animal models : A review. International Journal of Applied Pharmaceutics 2024; 16(6), 28-37.

  64. L Zhang, LY Xu, F Tang, D Liu, XL Zhao, JN Zhang, J Xia, JJ Wu, Y Yang, C Peng and H Ao. New perspectives on the therapeutic potential of quercetin in non-communicable diseases: Targeting Nrf2 to counteract oxidative stress and inflammation. Journal of Pharmaceutical Analysis 2024; 14(6), 100930.

  65. A Eidi, M Eidi and E Esmaeili. Antidiabetic effect of garlic (Allium sativum L.) in normal and streptozotocin-induced diabetic rats. Phytomedicine 2006; 13(9-10), 624-629.

  66. SS Roh, OJ Kwon, JH Yang, YS Kim, SH Lee, JS Jin, YD Jeon, T Yokozawa and HJ Kim. Allium hookeri root protects oxidative stress-induced inflammatory responses and β-cell damage in pancreas of streptozotocin-induced diabetic rats. BMC Complementary and Alternative Medicine 2016; 16(1), 63.