Start Bootstrap Logo

Trends Sci. 2025; 22(12): 10867

Acute Toxicity Evaluation of A Combined Extract (Mitragyna Speciosa and

Lagerstroemia Speciosa) Leaves in Rats: Hematological, Biochemical and

Histopathological Examinations


Janejira Pusarattanawong1, Warit Ruanglertboon1,4, Boonyakorn Boonsri2,

Supattra Limsuwanchote1, Juraithip Wungsintaweekul3 and Kornsuda Thipart1,*


1Pharmacology Program, Division of Health and Applied Sciences, Faculty of Science, Prince of Songkla University,

Songkhla 90110, Thailand

2Anatomy Program, Division of Health and Applied Sciences, Faculty of Science, Prince of Songkla University,

Songkhla 90110, Thailand

3Department of Pharmacognosy and Pharmaceutical Botany, Faculty of Pharmaceutical Sciences,

Prince of Songkla University, Songkhla 90110, Thailand

4Research Center in Mathematics and Statistics with Applications, Discipline of Statistics,

Division of Computational Science, Faculty of Science, Prince of Songkla University, Songkhla 90110, Thailand


(*Corresponding author’s e-mail: [email protected])


Received: 6 June 2025, Revised: 21 July 2025, Accepted: 28 July 2025, Published: 10 September 2025


Abstract

Mitragyna speciosa and Lagerstroemia speciosa are traditional herbal medicines and are claimed to possess hypoglycemic effects. The current study aimed to evaluate the acute toxicity of a 1:1 ratio combined extract (CE) of these herbal medicines, using an animal model, to provide a safety assessment for concomitant use. Methanolic extractions were performed on the dried powder of each herb, followed by quantification of the active compounds (mitragynine and corosolic acid) using high-performance liquid chromatography (HPLC) techniques. For the acute toxicity study, a total of 12 adult female Sprague-Dawley rats (5 weeks old, weighing 200 - 250 g) were randomly assigned to control and CE groups, with 6 rats in each group. A single oral dose of 2,000 mg/kg body weight of the CE was orally administered to the animals, with monitoring conducted in accordance with OECD Guideline 420. Behavioral, hematological and biochemical profiles were collected at the end of the 14-day study period, followed by a post-mortem histopathological examination to assess tissue integrity in vital organs. Statistical analyses were conducted to identify significant differences in all available parameters. The results demonstrated no signs of aberrant toxicity in any of the collected parameters, which was further confirmed by histopathological examination, focusing on the liver and kidneys. The study concluded that the CE at a 1:1 ratio exhibited a favorable safety profile and could be classified as having low toxicity based on the Globally Harmonized System. However, long-term studies are recommended to further confirm their safety profile.


Keywords: Mitragyna speciosa, Lagerstroemia speciosa, Acute toxicity, Single dose, Rats, Hematological, Biochemical, Histopathological examinations


Introduction

Non-communicable diseases (NCDs) are a major cause of chronic morbidity, placing a significant burden on healthcare systems at both national and international levels [1]. These diseases not only contribute substantially to chronic morbidity but also create


significant challenges for healthcare management on a global scale [2]. Treatment approaches for NCDs primarily rely on pharmacotherapy, utilizing globally approved standard medicines as the core of treatment strategies. Among these conditions, diabetes mellitus (DM) stands out, playing a crucial role both as an intrinsic disease and as a factor contributing to poor prognosis in other medical conditions [3,4]. The currently available medicines for the treatment of DM range from enhancing insulin sensitivity to modulating sodium-glucose cotransporter (SGLT) proteins to regulate glycemic levels [5]. Despite current advancements, the pursuit of novel therapies to fully treat or improve the management of DM continues to be a key research focus.

Herbal medicine for the treatment of NCDs, particularly DM, has gained significant interest in recent years [6]. In Thailand, the deregulation of Mitragyna speciosa has raised concerns about unorthodox use, stemming from misunderstandings about its effects on diseases [7]. Meanwhile, Lagerstroemia speciosa, another local herbal medicine well-known for its glycemic reduction effects, warrants attention, particularly if used concomitantly with M. speciosa, due to the assumption of additive glycemic control effects raises concerns, as it could potentially lead to unintended harm [8-10]. To address this issue, preemptive scientific testing of the potential compounds of interest should be conducted swiftly, followed by providing a safety statement to the public. In vitro and in vivo studies on M. speciosa extract have revealed mechanisms for controlling blood sugar [11]. Additionally, a human study suggested that M. speciosa tea could reduce blood sugar [12]. Meanwhile, L. speciosa is well-known for its traditional use as a supplement for glycemic control within the Southeast Asia community [13-15]. According to the literature, Thai folk healers commonly prescribed a combination of M. speciosa and L. speciosa for DM [15]. Furthermore, traditional folk healers in southern Thailand have documented a formula containing both plants, emphasizing the previously mentioned concerns regarding its use among patients who strongly rely on herbal medicine in their daily lives. Given this context, it is highly likely that the concomitant use of these two plants occurs in the community, driven by the belief that they enhance each other’s pharmacodynamic effects [16,17]. The toxicity profiles of each individual herbal plant have been previously studied. In vivo studies have directly demonstrated the toxic effects of single use of kratom (M. speciosa) on the liver, kidneys and brain after 28 days of treatment [18,19]. By contrast, oral administration of a single dose of L. speciosa did not result in any mortality, nor did it cause significant changes in hematological and biochemical parameters or histological alterations in both acute and sub-acute toxicity tests in rats [20,21]. However, despite these perceived benefits, this combination may also pose a potential risk of toxicity, as no scientific reports currently exist on its safety or combined use. The primary objective of the current study was to evaluate the oral acute toxicity of an equal proportion combined extracts (CE) from both M. speciosa and L. speciosa, simulating their combined use in real-life scenarios, using Sprague-Dawley rats.


Materials and methods

Preparation of M. speciosa and L. speciosa extract

Leaves of M. speciosa and L. speciosa were collected from Surat Thani and Songkhla provinces, Thailand, respectively. The voucher specimens (N5/001 and 019995) were authenticated and deposited at PSU Herbarium, Division of Biological Science, Faculty of Science, Prince of Songkla University, Songkhla, Thailand. For extract preparation, the leaves of M. speciosa and L. speciosa were separately submerged in 80% methanol, sonicated for 30 min and macerated at room temperature for 72 h. The resulting mixture was filtered and this process was repeated three times consecutively to ensure optimal extraction. The combined filtrates were concentrated using a rotary evaporator, followed by freeze-drying to obtain the powdered extracts. The extraction yields were 30.56% for M. speciosa and 11.09% for L. speciosa. To formulate the M. speciosa and L. speciosa combination, the powdered extracts were mixed in a 1:1 ratio and specified as CE. The extracts were stored at 4 °C until further experimentation.


High-performance liquid chromatography analysis

The quantification of mitragynine and corosolic acid in the M. speciosa extract, L. speciosa extract and the CE was performed using high-performance liquid chromatography (HPLC). The HPLC analysis for mitragynine content as described in a previous study [22]. The analysis was conducted using a Shimadzu Prominence-i LC-2030C 3D Plus system (Shimadzu Corporation, Kyoto, Japan), equipped with an autosampler, pump, column oven and photodiode array detector. Separation was achieved using an Ascentis® Express C18 column (25 cm × 4.6 mm, 5 µm) (Supelco, MO, USA), with isocratic elution using a mobile phase of 20 mM ammonium acetate buffer (pH 6.0) and acetonitrile (35:65) at a flow rate of 1 mL/min. The injection volume was 10 µL and detection was set at 225 nm. Mitragynine content was determined using linear regression equation and expressed as mg/g dry weight. For corosolic acid quantification, HPLC analysis was conducted according to the protocol described in a previous study [23]. The same HPLC system and column were used as in the mitragynine analysis. Corosolic acid was eluted using an isocratic mobile phase of 0.1% v/v phosphoric acid in water and acetonitrile (30:70) at a flow rate of 1 mL/min. The injection volume was 20 µL and detection was performed at 204 nm. Corosolic acid content was calculated using linear regression equation and expressed as mg/g dry weight.


Experimental animals

A total of 12 adult female Sprague-Dawley (SD) rats (5 weeks old, weighing 200 - 250 g) were obtained from Nomura Siam International Co., Ltd, Bangkok, Thailand. The animals were maintained under controlled temperature conditions (25 ± 2 °C) with a 12-h light-dark cycle at Laboratory Animal Service Center, Prince of Songkla University and had free access to standard diet and water ad libitum. The animals were acclimatized to the laboratory conditions for one week prior to the commencement of the experiments. All procedures involving the animals and their care were conducted in accordance with the guidelines of the Ethics of Animal Experimentation of the National Research Council of Thailand. The study was approved by the Institutional Animal Care and Use Committee of Prince of Songkla University, (MHESI 68014/140, Ref. AR013/2024).


Acute toxicity study

An acute oral toxicity study was performed following the OECD Guideline 420 for acute toxicity [24], incorporating necessary appendices and procedural adaptations based on the official documentation, to mimic the potential risks associated with simultaneous use of these herbal extracts in community settings. Randomized allocation was performed to assign the animals into two groups, the control and the CE-treated group (n = 6 per group). The control group was orally given a vehicle (40% polyethylene glycol (PEG) in distilled water), while the CE group received a single oral gavage of CE at a dose of 2,000 mg/kg body weight (BW). The study was conducted under a single-blinded protocol, in which only the project manager (KT) oversaw the allocation of CE to individual animals. Toxic signs and mortality were closely monitored at the beginning (0.5, 1, 2, 3, 4, 8, 12 and 24 h) after the administration of CE, followed by daily monitoring for an additional 14 days. For the observation checklist of toxic signs used in this study, please refer to Supplementary Material A. Daily measurements of BW (g), food intake (g) and water consumption (mL) were consistently performed throughout the entire study period. At the end of the experiment, all rats were fasted overnight and anesthetized with an intraperitoneal injection of thiopental sodium (Scott-Edil Pharmacia Ltd., Solan, India) at a dose of 80 mg/kg BW.


Relative organ weight

Following animal sacrifice, several vital organs were collected; however, only the liver and kidneys were subjected to staining and subsequently examined histopathological changes. The relative organ weight for each animal was calculated using the following equation:


[absolute organ weight (g)/body weight of rat (g)]×100.


Biochemical and hematological analysis

Blood samples were collected via cardiac puncture into non-heparinized blood tubes and then centrifuged at 4,000 rpm at 4 °C for 10 min. Biochemical analysis was conducted to measure fasting blood sugar (FBS), aspartate aminotransferase (AST), alanine aminotransferase (ALT), alkaline phosphatase (ALP), total bilirubin (TB), direct bilirubin (DB), blood urea nitrogen (BUN) and creatinine (CRE) using a BS-20 Chemistry Analyzer (Mindray, Shenzhen, China). For hematological analysis, a separate set of blood samples was collected into EDTA tubes for the measurement of white blood cell count (WBC), red blood cell count (RBC), hematocrit (Hct), hemoglobin concentration (HB), mean corpuscular volume (MCV), mean corpuscular hemoglobin (MCH), mean corpuscular hemoglobin concentration (MCHC) and lymphocyte count (LYM) using an automated hematology analyzer (Mindray, Shenzhen, China).


Histopathological studies

The liver and renal tissues were collected and fixed in 10% neutral-buffered formalin. The tissues were routinely processed and embedded in paraffin. The paraffin-embedded tissues were sectioned to a thickness of 5 μm using rotary microtome (Leica Microsystems, Wetzlar, Germany) and then stained with hematoxylin and eosin (H&E) following the standard protocol. The histopathological changes were visualized under a DP73 light microscope (Olympus, Tokyo, Japan).


Statistical analysis

All data were presented as mean ± standard error of the mean (SEM). Statistical analyses were performed using R software (version 4.4.2; R Core Team, 2024) with the necessary statistical packages. Descriptive analysis was used to summarize the parameters. Inferential statistics, specifically Student’s t-test, were conducted to compare the means of parameters between the control and CE groups, with a significance level of p-value < 0.05. Analyses across time periods were performed for water and food intake using appropriate statistical tests based on the assumptions of each dataset.


Results and discussion

HPLC analysis of active ingredients in M. speciosa and L. speciosa

M. speciosa contains a diverse range of alkaloids, with mitragynine and 7-hydroxymitragynine identified as the principal constituents [25]. Similarly, L. speciosa leaves contain a wide array of phytochemicals, including triterpenes, tannins, ellagic acids, glycosides and flavones [26]. Among these, corosolic acid, a pentacyclic triterpenoid, have been extensively studied as key bioactive compounds with anti-diabetic effects. In this study, mitragynine and corosolic acid were selected as marker compounds for quantitative analysis, as they represent the major bioactive constituents most directly associated with the characteristic pharmacological activities of M. speciosa and L. speciosa, respectively. The HPLC chromatogram (Figure 1) identified mitragynine with retention times of 6.336 min in M. speciosa extract and 6.328 min in the CE. The quantified mitragynine content was 30.70 ± 0.22 mg/g dry weight in M. speciosa extract and 14.43 ± 0.24 mg/g dry weight in the CE. Similarly, corosolic acid was detected at retention times of 6.390 min in L. speciosa extract and 6.387 min in the CE (Figure 2). The quantified corosolic acid content was 2.74 ± 0.00 mg/g dry weight in L. speciosa extract and 1.44 ± 0.00 mg/g dry weight in the CE. These findings align with previous reports, which showed mitragynine levels of 0.39% - 3.46% in M. speciosa leaves [27] and corosolic acid levels of 0.010% - 0.75% in L. speciosa leaves [28].


Figure 1 Chromatogram of standard mitragynine (40 µg/mL) (A), mitragynine extract (B) and combined extract (C).


Figure 2 Chromatogram of standard corosolic acid (40 µg/mL) (A), corosolic extract (B) and combined extract (C).


Behavioral observations (toxic signs) and mortality

The animals’ behavior was observed toward the end of the experiment based on the predefined checklists, which included assessments of movement patterns, physical and behavioral parameters, general appearance, salivation and lacrimation, as previously described [29]. According to two independent field researchers, no abnormal signs deviating from normal behavior were observed in any of the animals, in both the control and CE-treated groups, from the time of administration until day 14. These apparent results suggest a favorable safety profile for the oral administration of CE at the high dose of 2,000 mg/kg, as no mortality observed in the experimental group, similar to the control group. In accordance with OECD Guideline 420 and the absence of lethal effects, the extract is classified under the Globally Harmonized System (GHS) Acute Toxicity Category 5 (LD50 > 2,000 mg/kg), indicating that it poses minimal acute toxicity risk.


Body weight, relative organ weight, food intake and water consumption

Figure 3 shows a time-series line plot illustrating the changes in body weight, food intake and water consumption of animals in both groups. There was no statistically significant difference observed in the mean body weight between the control and CE groups (Figure 3(A)). Likewise, food intake and water consumption also exhibited a similar trend, with no statistically significant difference observed (Figure 3(B)). Relative organ weights were calculated and are presented in Table 1. No significant difference was observed in relative liver weight, whereas relative kidney (control: 0.61 ± 0.02 vs. CE: 0.76 ± 0.04, p-value = 0.007) and heart weight (control: 0.42 ± 0.01 vs. CE: 0.30 ± 0.01, p-value = 0.000) showed a statistically significant increase. Due to the non-normal distribution of the food intake data, as indicated by the Shapiro-Wilk normality test (p-value = 0.007) and the repeated measures design with daily measurements across two groups, the Friedman test was chosen as the appropriate non-parametric analysis. The Friedman test revealed no statistically significant difference in food intake across the 14 days between the control and CE groups (Friedman chi-squared = 19.759, df = 13, p-value = 0.1014). This result suggests that the overall pattern of food consumption remained consistent over time, with no marked variation between the experimental groups. Water consumption was measured as a total per group, similar to food intake. Unlike food intake, the water consumption data followed a normal distribution, as confirmed by the Shapiro-Wilk test (w = 0.931, p-value = 0.067), enabling the use of a linear mixed-effects model to assess differences over time. The model revealed no significant main effects of day (estimate = −1.070, p-value > 0.05) or group (estimate = −32.978, p-value > 0.05), nor a significant interaction effect (estimate = 6.235, p-value > 0.05), indicating consistent water consumption patterns between the control and CE groups across the 14-day period. Regarding food intake, water consumption, relative organ weights and body weight as shown in the present study, it can be summarized that no statistically significant differences were observed in these parameters following rigorous statistical analysis, suggesting that the CE had no influence on these variables. Clinically, this is interpreted as acceptable according to toxicity test criteria.


Figure 3 Body weight (A), food intake and water consumption (B) of animals (n = 6 per group) in both groups are presented as line graphs with dashed error bars displayed at each time point. No statistically significant difference in body weight was observed on day 14 of the acute toxicity observation period. The linear mixed-effects model indicated no significant main effects of day (estimate = –1.070, p-value > 0.05) or group (estimate = –32.978, p-value > 0.05) and no significant interaction effect (estimate = 6.235, p-value > 0.05) on water consumption. Similarly, food intake showed no significant difference (Friedman chi-squared = 19.759, df = 13, p-value = 0.1014)


Table 1 Comparison of organ weights and relative weights between control and CE groups.

Groups

Organ weights

Liver

Renal

Heart

Lung

Spleen

Ovary

Control

8.55 ± 0.36

1.66 ± 0.04

1.14 ± 0.01

1.62 ± 0.09

0.60 ± 0.02

1.29 ± 0.17

CE

9.02 ± 0.36

2.06 ± 0.08

0.83 ± 0.02

1.41 ± 0.10

0.56 ± 0.02

0.85 ± 0.10

p

0.379

0.001*

0.000*

0.145

0.130

0.053

Groups

Relative organ weights

Liver

Renal

Heart

Lung

Spleen

Ovary

Control

3.15 ± 0.18

0.61 ± 0.02

0.42 ± 0.01

0.59 ± 0.03

0.22 ± 0.00

0.47 ± 0.06

CE

3.32 ± 0.19

0.76 ± 0.04

0.30 ± 0.01

0.52 ± 0.04

0.20 ± 0.01

0.31 ± 0.04

p

0.532

0.007*

0.000*

0.149

0.179

0.056

Data were expressed as mean ± SEM. CE = combined extract, *indicates significant difference of mean at p-value < 0.05.


Serum biochemical and hematological parameters

The biochemical parameters evaluated in the acute toxicity investigation were presented in Table 2. All measured parameters demonstrated values within the normal reference range for both the control and CE groups. Additionally, statistical analysis revealed that AST (control: 104 ± 5.75, CE: 176.33 ± 4.70 U/L, p-value < 0.05) and direct bilirubin (control: 0.04 ± ng, CE: 0.03 ± ng mg/dL, p-value < 0.05) exhibited a statistically significant difference between groups. For hematological parameters were measured in both groups following the acute toxicity evaluation were presented in Table 3. Similar to the biochemical parameters, all hematological parameters remained within the normal range in both groups. However, when the mean differences between parameters were considered, HB (control: 16.85 ± 0.39, CE: 15.43 ± 0.26 g/dL) and MCV (control: 56 ± 0.68, CE: 54 ± 0.52 fL) showed a statistically significant difference (p-value < 0.05). All biochemical and hematological parameters examined in the acute toxicity evaluation were within the normal reference limits. While HB, MCV, AST and direct bilirubin showed statistically significant differences between control and CE groups, these differences were not clinically significant, as all values remained within the normal range. Of all the parameters, AST levels warrant particular attention, necessitating further investigation. The CE group exhibited significantly higher AST levels compared to the control group, a phenomenon previously reported in other studies, where elevated AST was observed without additional signs of toxicity [30,31]. Furthermore, previous toxicity studies found no abnormal parameters for the individual extracts, with no mortality observed during the 14-day observation period for acute toxicity. Additionally, rats treated with L. speciosa extract showed no significant alterations in organ weights, hematological profiles, or biochemical parameters [20,21]. However, one study reported that an orally administered single dose of 1,000 mg/kg of M. speciosa standardized methanolic extract induced acute signs of hepatotoxicity and mild nephrotoxicity, while no effects were observed on behavior, relative organ weights, or other parameters after 14 days of observation [32]. However, significant increases in ALT, AST and urea were observed following daily treatment with a subchronic dose of standardized methanolic extract of M. speciosa for 28 days, along with histopathological evidence of toxicity [33]. Notably, this discrepancy may arise from variations in extraction methods, which can lead to differences in the final extract composition. These findings suggest that the observed elevation in AST levels during the 14-day observation period may not be directly indicative of hepatotoxicity as supported by the absence of histopathological abnormalities in liver tissue. Additionally, ALT levels, which are considered a more specific biomarker for hepatic injury, did not differ significantly between groups. Taken together, these results suggest that CE does not cause evident liver toxicity within the parameters of this study [34].


Table 2 Biochemical profiles between control and CE groups.

Control group

Parameters

FBG

(mg/dL)

AST

(U/L)

ALT

(U/L)

ALP

(U/L)

BUN

(mg/dL)

Creatinine

(mg/dL)

Direct

Bilirubin

(mg/dL)

Total

Bilirubin

(mg/dL)

Normal range

89 - 163

64 - 222

14 - 64

40 - 130

11.7 - 26.4

0.51 - 0.95

0.03 - 0.07

0.07 - 0.21

1

106

107

19

98

27

0.46

0.04

0.12

2

101

98

23

85

20.8

0.39

0.03

0.11

3

108

85

26

92

25.2

0.76

0.05

0.14

4

104

116

21

78

23

0.69

0.06

0.08

5

98

95

25

96

23.7

0.45

0.04

0.13

6

102

123

29

103

24.3

0.51

0.05

0.12

Mean

103.17

104*

23.83

92.00

24.00

0.54

0.05*

0.12

SEM

1.47

5.75

1.47

3.73

0.85

0.06

ng

0.01

CE group

Parameters

FBG

(mg/dL)

AST

(U/L)

ALT

(U/L)

ALP

(U/L)

BUN

(mg/dL)

Creatinine

(mg/dL)

Direct

Bilirubin

(mg/dL)

Total

Bilirubin

(mg/dL)

Normal range

89 - 163

64 - 222

14 - 64

40 - 130

11.7 - 26.4

0.51 - 0.95

0.03 - 0.07

0.07 - 0.21

1

96

195

31

101

26.5

0.54

0.04

0.12

2

108

181

39

105

25.3

0.51

0.02

0.06

3

119

176

30

98

26.1

0.59

0.04

0.12

4

84

162

38

106

24.6

0.49

0.03

0.09

5

109

177

22

97

26.9

0.58

0.02

0.08

6

104

167

19

69

23.4

0.65

0.02

0.08

Mean

103.33

176.33*

29.83

96

25.47

0.56

0.03*

0.09

SEM

4.92

4.70

3.32

5.60

0.53

0.02

ng

0.01

FBG = fasting blood glucose, AST = aspartate aminotransferase, ALT = alanine aminotransferase, ALP = alanine phosphatase, BUN = blood urea nitrogen, mg = milligram, dL = deciliter, U/L = units per liter, ng = negligible (SEM = 0.00), CE = combined extract. * indicates significant difference of mean at p-value < 0.05.


Table 3 Hematological profiles between control and CE groups.

Control group

Parameters

WBC

(×103/mm3)

RBC

(×106/mm3)

Hct

(%)

HB

(g/dL)

MCV

(fL)

MCH

(pg)

MCHC

(%)

LYMPH

(%)

Normal range

2.5 - 3.6

5.1 - 8.1

38.5 - 49.2

10.7 - 17.7

50 - 60

18.7 - 22

36.8 - 40.8

48.9 - 88.1

1

3.1

7.16

41

16.8

56

21

38

61

2

2.9

8.8

48

17.1

55

20

37

63

3

3.3

7.79

45

16.3

58

21

39

67

4

3.5

7.92

42

15.8

54

19

36

67

5

2.6

6.9

46

18.6

55

16

39

49

6

3.2

8.14

44

16.5

58

20

38

59

Mean

3.10

7.79

44.33

16.85*

56*

19.50

37.83

61.00

SEM

0.13

0.28

1.05

0.39

0.68

0.76

0.48

2.73

CE group

Parameters

WBC

(×103/mm3)

RBC

(×106/mm3)

Hct

(%)

HB

(g/dL)

MCV

(fL)

MCH

(pg)

MCHC

(%)

LYMPH

(%)

Normal range

2.5 - 3.6

5.1 - 8.1

38.5 - 49.2

10.7 - 17.7

50 - 60

18.7 - 22

36.8 - 40.8

48.9 - 88.1

1

2.9

8.73

43

15.2

53

16

36

61

2

3.1

7.16

47

14.8

55

17

37

63

3

3.3

7.2

41

15.1

56

22

39

64

4

4.3

7.89

45

15.3

53

21

35

62

5

4.1

8.11

43

15.6

53

21

38

61

6

3.6

7.4

42

16.6

54

23

38

65

Mean

3.55

7.75

43.50

15.43*

54*

20.00

37.17

62.67

SEM

0.23

0.25

0.89

0.26

0.52

1.15

0.60

0.67

mm = millimeter, g = gram, dL = deciliter, pg = picograms per cell, fL = femtoliters, CE = combined extract. * indicates significant difference of mean at p-value < 0.05.




Histopathological studies

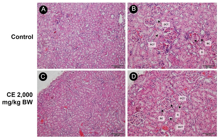
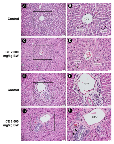
Post-mortem histological analysis revealed no significant anomalies between the control and CE groups based on the H&E staining results. The microscopic anatomy of the liver, including the central vein (CV), hepatocytes and hepatic sinusoids, in the CE group (Figures 4(C) - 4(D)) was comparable to the control group (Figures 4(A) - 4(B)) and 4(E) - 4(F)). The portal triad, consisting of the hepatic portal vein (HPV), hepatic artery (HA) and bile duct (BD) system, remained normal in the CE group (Figures 4(G) - 4(H)). Meanwhile, the liver tissue of the CE group exhibited mild fatty changes (Figure 4(C), green arrowhead) and immune cell infiltration around the bile duct (BD) (Figure 4(H), black arrowhead). On the other hand, renal tissue in the CE groups (Figures 5(C) - 5(D)) showed no significant microscopic alterations compared to the control group (Figures 5(A) - 5(B)). Interestingly, close examination revealed improvements in renal morphology in the treated rats, which exhibited normal glomeruli (G), Bowman’s capsules (BC) and intact renal tubules, including proximal (PCT) and distal convoluted tubules (DCT). It is well established that the liver and kidneys are primary target organs for exposure to substances, including herbal extracts, due to their central roles in metabolism, detoxification and excretion [35]. Several studies have reported that exposure to various herbs and plant extracts can lead to elevated serum levels of AST and ALT, which are commonly recognized as biochemical indicators of hepatocellular injury. These elevations tend to correspond with associated histological findings, such as increased liver tissue edema, lighter coloration and brittleness, inflammatory infiltration, hepatocyte degeneration and collagen accumulation [36-38]. Similarly, BUN and creatinine, which are markers of renal impairment, are regarded as important indicators of kidney function, reflecting changes such as damage, atrophy, or inflammation of the glomerulus, Bowman’s capsule and renal tubules attributed to kidney injury [39]. Although the present study observed changes in liver enzyme levels, particularly AST following administration of both PEG and CE at doses up to 2,000 mg/kg, similar to those reported in previous studies, these changes remained within normal ranges. Correspondingly, histopathological examination revealed no abnormalities in either liver or renal tissues. Therefore, it can be concluded that CE-treated group exhibited no aberrant pathological deformities in both liver and renal tissues, despite differences in the aforementioned biochemical parameters, further supporting the robust safety profile of the CE.



Figure 4 Photomicrographs of rat liver sections stained with H&E (scale bars: 200 µm and 50 µm). Control group (A), (B), (E), (F) and rats treated with 2,000 mg/kg of CE (C), (D), (G), (H). Labels indicate the central vein (CV), bile duct (BD), hepatic artery (HA), hepatic portal vein (HPV), immune cell aggregations in the portal triad (black arrows head) and fat cells (green arrows head).


Figure 5 Photomicrographs of rat renal sections with H&E (scale bars: 200 µm and 100 µm). Sections from the control group (A), (B) and 2,000 mg/kg CE-treated rat (C), (D) display the glomerulus (G), Bowman’s capsule (BC), proximal convoluted tubule (PCT) and distal convoluted tubule (DCT).


Conclusions

The combined methanolic extracts of M. speciosa and L. speciosa, at a 1:1 ratio, demonstrated no toxicity at the behavioral, well-being, hematological and biochemical levels. These results were also consistent with the histopathological findings, which revealed no deformities in the examined tissues. The current findings indicate no safety concerns when these two herbal medicines are used concomitantly, even following a single high-dose administration. Furthermore, this study demonstrates its strength through adherence to rigorous testing guidelines and the appropriate use of statistical analyses at each phase of the study. Nevertheless, it must be acknowledged that the current results were based on a single-dose administration of the herbal extract. To fully elucidate the comprehensive safety profile of this herbal extract mixture, it would be necessary to conduct a long-term study, such as a repeated-dose study with a multiple dosing regimen, prior to advancing to efficacy studies.


Acknowledgements

This research was supported by National Science, Research and Innovation Fund (NSRF) and Prince of Songkla University, Thailand (Grant No. PHA6701139c). The authors would like to express their deepest gratitude to the Laboratory Animal Service Center, PSU Herbarium, Discipline of Anatomy, Faculty of Science and the Department of Pharmacognosy and Pharmaceutical Botany, Faculty of Pharmaceutical Sciences, Prince of Songkla University, Thailand for their support, technical assistance and facilitation.


Declaration of Generative AI in Scientific Writing

The authors acknowledge the use of generative AI (ChatGPT) solely for language editing and grammar correction during the preparation of this manuscript. The tool was not used for content generation, data analysis, or interpretation. Following its use, the authors carefully reviewed and revised the manuscript and accept full responsibility for the content and conclusions of the publication.


CRediT Author Statement

Janejira Pusarattanawong: Methodology, Data curation, Validation, Investigation, Visualization, and Writing – review & editing.

Warit Ruanglertboon: Conceptualization, Validation, Data Curation, Formal analysis, Software, Visualization, and Writing – original draft.

Boonyakorn Boonsri: Methodology, Validation, Formal analysis, Resources, and Writing – review & editing.

Supattra Limsuwanchote: Conceptualization, Formal analysis, Validation, Resources, and Writing – review & editing.

Juraithip Wungsintaweekul: Conceptualization, Resources, Funding acquisition, and Writing – review & editing.

Kornsuda Thipart: Conceptualization, Investigation, Validation, Data Curation, Formal analysis, Resources, Supervision, Project administration, Funding acquisition, and Writing – review & editing.

Janejira Pusarattanawong and Warit Ruanglertboon have equal contribution.


References

[1] H Wang, Y Song, J Ma, S Ma, L Shen, Y Huang, P Thangaraju, Z Basharat, Y Hu, Y Lin, AE Peden, SM Sawyer, H Zhang and Z Zou. Burden of non-communicable diseases among adolescents and young adults aged 10-24 years in the South-East Asia and Western Pacific regions, 1990-2019: A systematic analysis for the global burden of disease study 2019. Lancet Child Adolesc Health 2023; 7(9), 621-635.

[2] J Bai, J Cui, F Shi and C Yu. Global epidemiological patterns in the burden of main non-communicable diseases, 1990-2019: Relationships with socio-demographic index. International Journal of Public Health 2023; 68, 1605502.

[3] ED Canto, A Ceriello, L Ryden, M Ferrini, TB Hansen, O Schnell, E Standl and JW Beulens. Diabetes as a cardiovascular risk factor: An overview of global trends of macro and micro vascular complications. European Journal of Preventive Cardiology 2019; 26, 25-32.

[4] W Fan. Epidemiology in diabetes mellitus and cardiovascular disease. Cardiovasc Endocrinol 2017; 6(1), 8-16.

[5] G Piazzolla, A Vozza, S Volpe, A Bergamasco, V Triggiani, G Lisco, M Falconieri, C Tortorella, V Solfrizzi and C Sabba. Effectiveness and clinical benefits of new anti-diabetic drugs: A real life experience. Open Medicine (Warsaw) 2022; 17(1), 1203-1215.

[6] AD Kinghorn, L Pan, JN Fletcher and H Chai. The relevance of higher plants in lead compound discovery programs. Journal of Natural Products 2011; 74(6), 1539-1555.

[7] S Charoenratana, C Anukul and A Aramrattana. Attitudes towards Kratom use, decriminalization and the development of a community-based Kratom control mechanism in Southern Thailand. International Journal of Drug Policy 2021; 95, 103197.

[8] K Peltzer and S Pengpid. The use of herbal medicines among chronic disease patients in Thailand: A cross-sectional survey. Journal of Multidisciplinary Healthcare 2019; 12, 573-582.

[9] M Phumthum, K Srithi, A Inta, A Junsongduang, K Tangjitman, W Pongamornkul, C Trisonthi and H Balslev. Ethnomedicinal plant diversity in Thailand. Journal of Ethnopharmacology 2018; 214, 90-98.

[10] N Kanjanahattakij, P Kwankhao, P Vathesatogkit, N Thongmung, Y Gleebbua, P Sritara and C Kitiyakara. Herbal or traditional medicine consumption in a Thai worker population: Pattern of use and therapeutic control in chronic diseases. BMC Complementary Medicine and Therapies 2019; 19(1), 258.

[11] M Niyomdecha, T Kuttiyod and S Sanongkiet. α-glucosidase inhibition activities of crude extract and mitragynine from Mitragyna Speciosa Korth. International Journal of Health Sciences 2022; 6, 10254-10261.

[12] D Fadly. Blood glucose response to kratom tea (Mitragyna speciosa Korth.). BIO Web of Conferences 2025; 153, 03015.

[13] LD López-Murillo, M Gonzalez-Ortiz, E Martinez-Abundis, M Cortez-Navarrete and KG Perez-Rubio. Effect of banaba (Lagerstroemia speciosa) on metabolic syndrome, insulin sensitivity and insulin secretion. Journal of Medicinal Food 2022; 25(2), 177-182.

[14] SJ Stohs, H Miller and GR Kaats. A review of the efficacy and safety of banaba (Lagerstroemia speciosa L.) and corosolic acid. Phytotherapy Research 2012; 26(3), 317-324.

[15] T Nakaphan, M Teerachaisakul, S Puttum, K Sompimai and P Nootim. Traditional use of kratom (Mitragyna speciosa Korth) among folk healers in southern Thailand. Journal of Thai Traditional & Alternative Medicine 2018; 14(3), 274-285.

[16] N Wiwatkunupakarn, C Aramrat, P Sanguanwai, Y Choksomngam, ME Gilder, W Jiraporncharoen, R McGready and C Angkurawaranon. The use of herbal medicine for hypertension in rural and urban Thailand: A cross sectional study. Journal of Herbal Medicine 2024; 47, 100916.

[17] A Prasopthum, T Insawek and P Pouyfung. Herbal medicine use in Thai patients with type 2 diabetes mellitus and its association with glycemic control: A cross-sectional evaluation. Heliyon 2022; 8(10), e10790.

[18] Z Hassan, D Singh, FW Suhaimi, NJY Chear, N Harun, CP See, G Kaur, NH Mat, SNS Bakar, NSM Yusof, VB Kasinather, MC Chawarski, V Murugaiyah and S Ramanathan. Evaluation of toxicity profile of kratom (Mitragyna speciosa Korth) decoction in rats. Regulatory Toxicology and Pharmacology 2023; 143, 105466.

[19] N Thongsepee, S Amonyingcharoen, P Chamod, W Himakhun, K Sangpairoj, P Martviset, P Chantree and P Sornchuer. Modulatory effects of kratom extract on the gut microbiota of rats: Implications for health. BMC Complementary Medicine and Therapies 2025; 25(1), 85.

[20] S Alkahtani, MS Hasnain, H Algamdy, NH Aljarba and A AlKahtane. Acute and sub-acute oral toxicity Lagerstroemia speciosa in sprague-dawley rats. Saudi Journal of Biological Sciences 2022; 29(3), 1585-1591.

[21] AK Azad, MK Rahman and NK Sunzida. Acute oral toxicity study on Malaysian traditional herb: Lagerstroemia speciosa (Banaba). Journal of Pharmacognosy and Phytochemistry 2015; 4(4), 228-232.

[22] S Limsuwanchote, J Wungsintaweekul, N Keawpradub, W Putalun, S Morimoto and H Tanaka. Development of indirect competitive ELISA for quantification of mitragynine in kratom (Mitragyna speciosa (Roxb.) Korth.). Forensic Science International 2014; 244, 70-77.

[23] G Yusakul, P Saensom, N Mitsantia, C Pengdee and W Putalun. Development of a high-performance liquid chromatography for analysis of corosolic acid in Lagerstroemia species and their hypoglycemic potentials. Songklanakarin Journal of Science and Technology 2020; 42(2), 314-320.

[24] Organisation for Economic Co-operation and Development. Test no. 420: Acute oral toxicity - fixed dose procedure. Organisation for Economic Co-operation and Development, Paris, France, 2002.

[25] T Begum, MH Arzmi, MN Sarian, SAA Shah, SNH Azmi, ABMH Uddin, A Khatib and QU Ahmed. A review on multi-therapeutic potential of the (kratom) alkaloids mitragynine and 7-hydroxymitragynine: Experimental evidence and future perspectives. Kuwait Journal of Science 2025; 52(2), 100381.

[26] BC An, SH Kwak, JY Ahn, HY Won, TH Kim, Y Ryu and MJ Chung. Identification of bioactive substances derived from the probiotic-induced bioconversion of Lagerstroemia speciosa Pers. leaf extract that have beneficial effects on diabetes and obesity. Microorganisms 2024; 12(9), 1848.

[27] N Sengnon, P Vonghirundecha, W Chaichan, T Juengwatanatrakul, J Onthong, P Kitprasong, S Sriwiriyajan, S Chittrakarn, S Limsuwanchote and J Wungsintaweekul. Seasonal and geographic variation in alkaloid content of kratom (Korth.) Havil. from Thailand. Plants-Basel 2023; 12(4), 949.

[28] W Thitikornpong, T Phadungcharoen and S Sukrong. Pharmacognostic evaluations of leaves. Journal of Medicinal Plants Research 2011; 5(8), 1330-1337.

[29] R Ballesteros-Ramirez, P Lasso, C Uruena, J Saturno and S Fiorentino. Assessment of acute and chronic toxicity in Wistar rats (Rattus norvegicus) and New Zealand rabbits (Oryctolagus cuniculus) of an enriched polyphenol extract obtained from Caesalpinia spinosa. Journal of Toxicology 2024; 2024, 3769933.

[30] A Bemidinezhad, SA Zojaji, S Taraz Jamshidi, M Mohammadi, MS Alavi and A Ghorbani. Evaluation of acute, subacute and subchronic toxicity of a hepatoprotective herbal formulation. Toxicology Reports 2023; 11, 452-459.

[31] C Patel, P Shukla, S Pande, R Punamiya, K Ranch and SHS Boddu. Acute and sub-acute toxicity study of anti-obesity herbal granules in Sprague Dawley rats. Brazilian Journal of Biology 2022; 84, e264320.

[32] SN Harizal, SM Mansor, J Hasnan, JKJ Tharakan and J Abdullah. Acute toxicity study of the standardized methanolic extract of Mitragyna speciosa Korth in rodent. Journal of Ethnopharmacology 2010; 131(2), 404-409.

[33] MU Ilmie, H Jaafar, SM Mansor and JM Abdullah. Subchronic toxicity study of standardized methanolic extract of Korth in Sprague-Dawley Rats. Frontiers in Neuroscience 2015; 9, 189.

[34] I Rafter, T Graberg, A Kotronen, L Strommer, CM Mattson, RW Kim, E Ehrenborg, HB Andersson, H Yki-Jarvinen, I Schuppe-Koistinen, B Ekblom, I Cotgreave and B Glinghammar. Isoform-specific alanine aminotransferase measurement can distinguish hepatic from extrahepatic injury in humans. International Journal of Molecular Medicine 2012; 30(5), 1241-1249.

[35] MU Ilmie, H Jaafar, SM Mansor and JM Abdullah. Subchronic toxicity study of standardized methanolic extract of Mitragyna speciosa Korth in Sprague-Dawley Rats. Frontiers in Neuroscience 2015; 9, 189.

[36] J Yang, YL Yu, Y Jin, Y Zhang and CQ Zheng. Clinical characteristics of drug-induced liver injury and primary biliary cirrhosis. World Journal of Gastroenterology 2016; 22(33), 7579-7586.

[37] R Li, W Yang, Y Yin, X Ma, P Zhang and K Tao. 4-OI attenuates carbon tetrachloride-induced hepatic injury via regulating oxidative stress and the inflammatory response. Frontiers in Pharmacology 2021; 12, 651444.

[38] L Zhang, C Liu, L Yin, C Huang and S Fan. Mangiferin relieves CCl4-induced liver fibrosis in mice. Scientific Reports 2023; 13(1), 4172.

[39] X Xu, R Zhu, J Ying, M Zhao, X Wu, G Cao and K Wang. Nephrotoxicity of herbal medicine and its prevention. Frontiers in Pharmacology 2020; 11, 569551.