Start Bootstrap Logo

Trends Sci. 2025; 22(12): 10981

Immunomodulatory and Histoprotective Effects of Luteolin and Related Flavonoids in Autoimmune Thyroiditis: Evidence from A Rat Model


Khasan Kayumov1,* , Lubov Kuchkarova1, , Teodoro Durá-Travé2, , Sergei Petrenko3, ,

Nurali Ergashev4, , Jakhongir Abdurakhmonov1, , Rashidbek Achilov1, ,

Shoaib Khan5, , Visola Pulatova1, and Mirsaid Ernazarov1,


1National University of Uzbekistan named after Mirza Ulugbek, Tashkent, Uzbekistan

2Faculty of Medicine, University of Navarra, Pamplona, Spain

3International Sakharov Environmental Institute of Belarusian State University, Minsk Region, Belarus

4Institute Biophysics and Biochemistry at National University of Uzbekistan named after Mirza Ulugbek,

Tashkent, Uzbekistan

5Department of Chemistry, Abbottabad University of Science and Technology, Abbottabad 22500, Pakistan


(*Corresponding author’s e-mail: [email protected])


Received: 18 June 2025, Revised: 22 July 2025, Accepted: 29 July 2025, Published: 20 September 2025


Abstract

Autoimmune thyroiditis (AIT), particularly Hashimoto’s thyroiditis, is a common endocrine disorder characterized by immune-mediated follicular destruction, lymphocytic infiltration, and hormonal imbalance. Current management relies mainly on hormone replacement therapy, which does not address underlying immune dysregulation.

This study evaluated the immunomodulatory, antioxidant, and histoprotective effects of 3 plant-derived flavonoids - quercetin, dihydroquercetin, and luteolin - in an experimental rat model of AIT.

Thirty male Wistar rats were divided into 5 groups: Healthy control, untreated AIT, and AIT treated with quercetin (25 mg/kg/day), dihydroquercetin (20 mg/kg/day), or luteolin (10 mg/kg/day) for 14 days. AIT was induced by bovine thyroglobulin with Freund’s adjuvant. Serum anti-thyroid peroxidase (anti-TPO) antibodies, thyroid-stimulating hormone (TSH), metabolic parameters, and liver/pancreatic enzyme activity were measured. Histological analysis assessed thyroid architecture and lymphocytic infiltration.

All flavonoids significantly reduced anti-TPO titers and normalized TSH, glucose, lipid, and uric acid levels. Luteolin showed the strongest effect, decreasing anti-TPO by 63%, restoring liver enzyme activity, improving lipid/glucose metabolism, and reducing lymphocytic infiltration. Histologically, luteolin preserved thyroid follicular integrity and prevented tertiary lymphoid structure formation.

Luteolin demonstrated superior immunomodulatory and metabolic benefits compared to quercetin and dihydroquercetin, highlighting its translational potential as an adjunctive therapy for autoimmune thyroiditis.


Keywords: Autoimmune thyroiditis, Hashimoto’s thyroiditis, Luteolin, Quercetin, Dihydroquercetin, Anti-TPO, Thyroid hormones, Immunomodulation, Oxidative stress, Thyroid histology


Introduction

With a significant sex disparity (5% - 15% in women and 1% - 5% in men), autoimmune thyroiditis (AIT) is one of the most prevalent organ-specific autoimmune diseases, affecting 2% - 5% of the general


population [1]. Conditions like Graves disease (GD) and Hashimotos thyroiditis (HT), the main causes of hyperthyroidism and hypothyroidism, respectively, are included in the category of autoimmune thyroid disorders. The emergence of humoral and cellular immune responses against thyroid antigens and a decline in immunological tolerance are the hallmarks of these disorders. Autoantibody production, clinical manifestations, and the infiltration of reactive T and B lymphocytes are all part of this process [2,3].

HT is a chronic autoimmune disease mediated by both cellular and humoral immune mechanisms that target thyroid follicular cells. It is also known also as chronic autoimmune thyroiditis or chronic lymphocytic thyroiditis, HT is the leading cause of hypothyroidism in developed countries [4]. Initially described in 1912 by Japanese physician Haruto Hashimoto, the disease is associated with lymphocytic infiltration in enlarged thyroid glands [5]. HT has a female predominance (female-to-male ratio of 7 - 10:1) and is most commonly diagnosed between the ages of 45 - 55. It is more prevalent in iodine-sufficient regions [6,7].

Excessive reactive oxygen species (ROS) and nitrogen species (RNS) and other free radicals contribute to the pathogenesis of HT by inducing oxidative stress, which disrupts biomolecular integrity and genomic stability [8,9,10]. Oxidative stress promotes the formation of advanced glycation end-products (AGEs), contributing to immune activation and tissue damage [11]. Elevated oxidative stress markers and AGEs have been found in euthyroid HT patients [8]. Hydrogen peroxide (H2O2), produced by NADPH oxidases (NOX), is essential for thyroid hormone biosynthesis and may also enhance immunogenicity of thyroid peroxidase (TPO) and thyroglobulin (TG), playing a role in AIT pathophysiology [12,13].

Currently, there are no fully effective therapies available for the prevention and treatment of Hashimoto’s thyroiditis (HT). The primary approach to managing hypothyroidism resulting from HT is thyroid hormone replacement therapy. The most commonly prescribed medication is levothyroxine sodium, which is administered orally. Due to its 7-day half-life, the recommended daily dose is 1.4 - 1.8 µg/kg for individuals under 60 years of age, whereas a lower dose of 25 µg/day is often prescribed for patients over 60 years of age. To ensure the effectiveness of levothyroxine therapy, it is essential for patients to regularly monitor thyroid-stimulating hormone (TSH) levels.

Given the limitations of current treatments, the discovery of effective natural compounds is considered a promising alternative. Among the most promising candidates are plant-derived natural polyphenols.


Quercetin

One such compound is quercetin, a naturally occurring biochemical substance belonging to the flavonoid group. Its name is derived from the Latin word “quercus”, meaning “oak” [14]. It belongs to the class of compounds known as vitamin P. Its chemical formula is C₁₅H₁₀O₇, with a molecular weight of 302.236 g/mol and a density of 1.8 g/cm³ (Figure 2). According to IUPAC nomenclature, quercetin is known as 3,3,4,5,7-pentahydroxyflavone or 3,3,4,5,7-pentahydroxy-2-phenylchromen-4-one [15] (Figure 1). Quercetin is an aglycone, meaning it lacks an attached glucose residue. It is widely distributed in nature and can be found in flowers, bark, stems, roots, wine, vegetables, tea, apples, dill, berries, coriander, beans, and onions [14,16].

Quercetin is a yellow crystalline compound that is completely insoluble in cold water, poorly soluble in hot water, but well soluble in alcohol and lipids, and has a bitter taste. Being an aglycone, it does not contain carbohydrate molecules and contributes to the vivid coloration of various flowers [17]. It is well established that many chronic diseases arise due to oxidative stress caused by free radicals. Among quercetin’s biological effects, its antioxidant property is the most well-known. Quercetin protects the body from free radicals and is considered one of the most powerful natural antioxidant flavonoids. According to literature, the hydroxyl groups at positions 3, 5, 7, 3 and 4 on the A and B rings, the double bond between carbon 2 and 3, and the carbonyl group at position 4 play a major role in quercetin’s antioxidant activity [18].



Figure 1 Chemical structure of quercetin [14].


Quercetin exhibits strong anti-inflammatory effects, primarily by inhibiting cytokine production and reducing the expression of cyclooxygenase (COX) and lipoxygenase (LOX) enzymes [19]. It has been shown to suppress the production of pro-inflammatory cytokines such as tumor necrosis factor-alpha (TNF-α), interleukin-1 beta (IL-1β), and interleukin-6 (IL-6) [20].

In addition to its anti-inflammatory role, quercetin exerts potent antioxidant activity, which is largely attributed to its regulation of glutathione levels, modulation of oxidative stress-related enzymes, and scavenging of reactive oxygen species (ROS). Furthermore, it influences key cellular signaling pathways including heme oxygenase-1 (HO-1)/nuclear factor erythroid 2-related factor 2 (Nrf2), mitogen-activated protein kinases (MAPKs), Toll-like receptor 4 (TLR4)/phosphatidylinositol-3-kinase (PI3K), and AMP-activated protein kinase (AMPK) pathways [21].

Quercetin also contributes to reducing inflammation by chelating high-valent iron ions, thereby preventing lipid peroxidation and neutralizing ROS [22], which play a critical role in the progression of inflammatory disorders. Its anti-inflammatory effects have also been observed in clinical studies, where quercetin has demonstrated the ability to inhibit the progression of various cancer types [23].

However, to better understand and confirm its therapeutic potential, especially in the context of autoimmune diseases, further clinical investigations are needed. These studies should aim to elucidate the underlying molecular mechanisms of quercetin’s beneficial effects and verify its efficacy in human subjects.


Dihydroquercetin

Dihydroquercetin (DHQ), also known as taxifolin (3,5,7,3,4-pentahydroxyflavanone), is a flavonoid commonly extracted from onions, milk thistle, French maritime pine bark, and Douglas fir bark (Figure 2). It occurs in various plant families, but is found in the highest concentrations (up to 4.5%) only in Siberian larch (Larix sibirica) and Gmelin larch (Larix gmelinii) [24].

Figure 2 Chemical structure of Dihydroquercetin [25].


Direct studies investigating the effects of DHQ in Hashimoto’s thyroiditis (autoimmune thyroiditis) are limited. However, several articles report its anti-inflammatory and immunomodulatory properties, suggesting potential therapeutic benefits in autoimmune diseases such as Hashimoto’s thyroiditis [26]. Dihydroquercetin has been shown to restore T-cell balance and reduce inflammation—mechanisms that play a critical role in the pathogenesis of Hashimoto’s thyroiditis [27]. Furthermore, it may attenuate autoimmune responses by alleviating oxidative stress in thyroid tissues [28]. The biggest difference between dihydroquercetin and quercetin is that they have different chemical makeups. DHQ has 2 additional atoms of hydrogen per molecule, which makes it a more powerful antioxidant, according to pre-clinical studies [29]. The additional hydrogen atoms in DHQ are believed to contribute to its enhanced antioxidant properties. While both compounds are potent antioxidants, DHQ appears to be more effective in some studies, particularly in protecting against oxidative stress. However, in in vitro studies, quercetin generally demonstrates stronger antioxidant activity compared to dihydroquercetin [30,31]. This is attributed to the presence of a C2-C3 double bond in quercetin, which enhances its ability to scavenge free radicals [32]. Isoquercitrin is absorbed more efficiently than its aglycone form. Therefore, in in vivo studies, DHQ demonstrates stronger antioxidant activity compared to quercetin. The fact that isoquercitrin is hydrolyzed by cytosolic β-glucosidase [33,34], rather than being limited by hydrolysis through lactase-phlorizin hydrolase (LPH), indicates that this step is not a rate-limiting factor in its intestinal metabolism [35]. Dihydroquercetin (DHQ), a flavonoid compound, exhibits both antioxidant and anti-inflammatory properties through several mechanisms. It acts by scavenging free radicals, regulating pro-inflammatory pathways, and modulating key signaling pathways like AMPK/Nrf2/HO-1 and NF-κB [36]. DHQ can activate antioxidant enzymes like superoxide dismutase (SOD) and glutathione peroxidase, further enhancing the body’s natural defense against oxidative stress [37]. DHQ regulates the TLR4/NF-κB signaling pathway, which is a key player in inflammatory processes. By inhibiting this pathway, DHQ can reduce the production of pro-inflammatory cytokines, such as TNF-α and IL-6 [25, 38], DHQ activates the Nrf2 pathway, which leads to the upregulation of antioxidant and anti-inflammatory genes, including HO-1 (hemoxygenase-1). DHQ induces the expression of HO-1, an enzyme that plays a role in reducing inflammation and protecting cells from oxidative stress [26,36].


Luteolin

One such compound is luteolin, a flavonoid chemically named 3’,4’,5,7-tetrahydroxyflavone or 2-(3,4-dihydroxyphenyl)-5,7-dihydroxy-4H-chromen-4-one (Figure 3). Luteolin, a naturally occurring flavonoid found in various fruits, vegetables, and herbs, has demonstrated in vitro and in vivo anti-inflammatory activity [39].


Figure 3 Chemical structure of luteolin [40].


Luteolin is a tetrahydroxyflavone, containing 4 hydroxyl groups at positions 3’, 4’, 5, and 7. It plays a vital role in the human body as an antioxidant, free radical scavenger, anti-inflammatory agent, and immune system modulator. Additionally, luteolin has been identified as a bioactive compound with anticancer properties [40].

The gut microbiome significantly affects immune regulation and thyroid hormone metabolism, and dysbiosis may increase AIT risk [41,42]. It is supposed that the some flavonoids including luteolin exhibit their anti-inflammatory effect though changing the gut microbiota [43].

However, natural compounds such as plant-derived polyphenols, including luteolin, have shown promise due to their anti-inflammatory and antioxidant properties [44]. In AIT, NF-κB is excessively activated and amplifies the Th1/Th17-type immune response. NF-κB is a key transcription factor that regulates the expression of pro-inflammatory genes and cytokines (TNF-α, IL-6, IL-1β), thereby promoting lymphocyte infiltration into the thyroid gland and enhancing immune-mediated follicular destruction. Luteolin inhibits NF-κB signaling by preventing IκBα degradation, thereby reducing the production of inflammatory mediators. As a result, the formation of tertiary lymphoid structures and the development of ectopic germinal centers are suppressed [45,46].

The well-known STAT3 (Signal Transducer and Activator of Transcription 3) pathway promotes Th17 cell differentiation through IL-6 and IL-23 signaling. Th17 cells, in turn, contribute to autoantibody production and thyroid tissue inflammation [47]. Luteolin suppresses STAT3 phosphorylation, leading to a reduction in Th17 cell populations and the restoration of Treg (regulatory T cell) activity. Through this mechanism, luteolin attenuates autoantibody production and dampens the immune attack on the thyroid gland [48,49].

In AIT, excessive production of H₂O₂ and other reactive oxygen species (ROS) within the thyroid enhances follicular immunogenicity, triggering autoantibody generation. Luteolin activates the Nrf2 (Nuclear factor erythroid 2-related factor 2) pathway, a central antioxidant defense mechanism, thereby upregulating antioxidant enzymes such as HO-1, SOD, and catalase and reducing oxidative stress. Consequently, the immunogenicity of key autoantigens such as TPO and TG is diminished, limiting aberrant immune activation [50,51].

Notably, luteolin also downregulates CXCL13 and lymphotoxin-β, mediators that promote the formation of lymphoid structures [52,53]. Furthermore, through AMPK activation, luteolin improves lipid and glucose metabolism, thereby alleviating the metabolic disturbances commonly associated with AIT [54].

Collectively, these multi-targeted mechanisms explain luteolin’s superior ability to prevent the development of tertiary lymphoid structures, preserve thyroid follicular architecture, and attenuate autoimmune inflammation. It modulates T cell function and suppresses pro-inflammatory cytokine synthesis via inhibition of JNK and AP-1 signaling [55].

As a naturally occurring flavonoid belonging to the flavone subclass, luteolin is found in plants in either aglycone or glycosylated forms. Experimental studies have shown that luteolin inhibits the production of tumor necrosis factor-alpha (TNF-α), interleukin-6 (IL-6), and nitric oxide (NO) in lipopolysaccharide (LPS)-stimulated murine macrophages [40]. [46]. Similarly, in the presence of luteolin, alveolar and peripheral macrophages (RAW 264.7 cell line) exhibited a significant reduction in the secretion of TNF-α, IL-6, cyclooxygenase-2 (COX-2), and inducible nitric oxide synthase (iNOS) [56].

Another promising effect of luteolin is its ability to inhibit angiogenesis and tumor cell metastasis. Luteolin exhibits multiple bioactive properties, including anticancer, antimicrobial, and anti-inflammatory activities. By targeting apoptosis, cell cycle progression, and angiogenesis, luteolin has been shown to suppress tumor growth. It induces cancer cell death by downregulating Akt, PLK-1, cyclin B1, and cyclin A, while simultaneously upregulating BAX, caspase-3, and p21 [52].

In summary, autoimmune thyroiditis remains a challenging condition with limited therapeutic options. Plant-derived flavonoids such as quercetin, dihydroquercetin, and luteolin offer promising antioxidant and immunomodulatory potential. Further research is needed to validate their clinical efficacy in managing autoimmune thyroid disorders.

Previous studies have described the antioxidant and immunomodulatory effects of quercetin and dihydroquercetin in autoimmune conditions; however, they did not fully elucidate their relative efficacy in modulating key pathological mechanisms of AIT. Our study advances beyond prior findings by directly comparing luteolin with quercetin and DHQ in a unified experimental setting and identifying luteolin as the most potent flavonoid.

This research also extends the understanding of flavonoid action by showing luteolin’s unique ability to inhibit NF-κB and STAT3 signaling, restore Th17/Treg balance, and suppress CXCL13- and lymphotoxin-β-mediated tertiary lymphoid organogenesis-mechanistic aspects that have not been systematically reported for quercetin or DHQ in AIT models. Furthermore, we demonstrate that luteolin exerts broader systemic benefits by normalizing glucose and lipid metabolism through AMPK activation, a feature scarcely addressed in earlier thyroiditis studies.

Thus, this is the 1st comprehensive work to reveal luteolin’s multi-targeted superiority over quercetin and DHQ in autoimmune thyroiditis, bridging local thyroid protection with systemic metabolic improvements.

The aim of this study is to analyse the protective effect of various flavonoids (quercentin, dihydroquercentin and luteolin) in an experimental model of autoimmune thyroiditis.


Materials and methods

Experimental animals and housing conditions

Adult male Wistar rats weighing 200 - 220 g were used in this study. Animals were housed in ventilated plastic cages (50×30×28 cm3) with wood shavings, 4 per cage, maintained under natural light and temperature conditions. They were fed a standard vivarium diet including wheat, corn, boiled vegetables, iodised salt and minced meat scraps. Water and food were replaced daily at the same time (9 - 10 a.m.) and provided ad libitum. All animal procedures were carried out in accordance with the 1975 Declaration of Helsinki on Ethical Principles for Medical Research, as revised in 2000 [57]. Ethical Approval: All animal experiments were conducted in compliance with institutional and international guidelines for the care and use of laboratory animals. Formal ethical approval has been obtained from the Institutional Animal Ethics Committee, and the approval number will be provided upon final confirmation (pending).


AIT model induction

The experimental AIT model was induced following the methodology of Kong Y.M.-2021 [58]. Rats were subcutaneously injected with 0.1 mL of a 1:1 mixture of complete Freund’s adjuvant (MP Biomedical, USA) and bovine thyroglobulin (50 µg/100 g body weight, Sigma-Aldrich, Germany). On days 0, 1 and 7, an additional subcutaneous injection of thyroglobulin emulsified in incomplete Freund’s adjuvant (0.1 mL) was administered (Figure 4). On day 21, blood samples were collected from the submandibular gingival vein.

Final blood sampling was performed on day 35 following decapitation, and serum anti-TPO concentrations were subsequently analyzed to assess the progression and severity of autoimmune thyroiditis.


Experimental design

Rats were divided into 5 groups:

  1. Control group (0.5% CMC) (n=6).

  2. Experimental AIT group (negative control) (n=6).

  3. AIT + Quercetin group (25 mg/kg/day) (n=6).

  4. AIT + Dihydroquercetin group (20 mg/kg/day) (n=6).

  5. AIT + Luteolin group (10 mg/kg/day) (n=6).

Each group comprised 6 rats (n = 6), consistent with previous studies of experimental autoimmune thyroiditis and related endpoints in rat models, which have demonstrated adequate statistical validity [59].

After administration of bovine thyroglobulin and complete Freund’s adjuvant on days 0, 1, and 7, blood samples were collected from the gingival vein on day 21 to confirm the development of autoimmune thyroiditis (AIT) in rats. The presence of AIT was verified by ELISA analysis of anti-TPO and TSH levels. Based on the ELISA results, rats diagnosed with AIT were selected and randomly divided into 5 groups, each consisting of 6 Wistar rats. Only rats with confirmed development of autoimmune disease were included in the experimental groups, while those in which induction was unsuccessful were excluded from the study. Group 1 consisted of intact control rats that received no treatment. Group 2 included negative control rats with induced AIT but without treatment. Starting from day 21 after the induction of experimental autoimmune thyroiditis (EAT), the rats were randomly assigned into 5 groups (n = 6 per group). Groups 3, 4 and 5 received quercetin, dihydroquercetin, or luteolin, respectively, at the indicated doses via intragastric administration once daily at 9:00 a.m. for 14 consecutive days.

The flavonoid compounds used in this study (quercetin, dihydroquercetin, and luteolin) were obtained from the Laboratory of Terpenoids and Phenolic Compounds, Institute of Chemistry of Plant Substances, Academy of Sciences of Uzbekistan. All compounds had a purity greater than 98%, as confirmed by HPLC. Before administration, each flavonoid was freshly dissolved in 0.5% carboxymethylcellulose (CMC) aqueous solution, which served as the vehicle control for the untreated groups.

On day 35 of the experiment, all animals were euthanized by decapitation under light anesthesia, and blood and thyroid tissue samples were collected immediately for subsequent biochemical, immunological, and histopathological analyses.


Measurement of plasma anti-thyroid peroxidase antibodies (anti-TPO) and thyroid-stimulating hormone (TSH)

Plasma concentrations of anti-thyroid peroxidase antibodies (anti-TPO) and thyroid-stimulating hormone (TSH) were measured using rat-specific enzyme-linked immunosorbent assay (ELISA) kits (Assay Genie, Dublin, Ireland). Anti-TPO levels were quantified using the Rat Anti-Thyroid Peroxidase Antibody ELISA Kit (Assay Genie, Dublin, Ireland; Catalog No. RTEB0017), with a detection range of 5 - 1,000 pg/mL and a sensitivity of 2 pg/mL. TSH levels were determined using the Rat Thyroid Stimulating Hormone ELISA Kit (Assay Genie, Dublin, Ireland; Catalog No. RTEB0042), detection range 10 - 2,000 pg/mL and sensitivity 5 pg/mL [60].

All assays were performed in duplicate according to the manufacturer’s instructions. Optical density was read at 450 nm using a RT-2100C microplate reader (Rayto, China). Hormone concentrations were calculated from the standard curves provided with each kit.

All biochemical analyses of blood metabolites and enzymes were performed using reagents from Human Diagnostics Worldwide (Germany).


Determination of glucose in plasma

The GOD-PAP method is a widely used enzymatic colorimetric technique for the determination of glucose [61]. In this assay, the key enzyme glucose oxidase (GOD) catalyzes the oxidation of glucose to gluconic acid and hydrogen peroxide (H₂O₂). Subsequently, the hydrogen peroxide formed reacts with phenol and 4-aminoantipyrine in the presence of the enzyme peroxidase (POD), resulting in the formation of a red-colored quinoneimine dye. The intensity of the colored complex is directly proportional to the glucose concentration and is measured photometrically, typically at a wavelength of 546 nm. This method is characterized by high accuracy and sensitivity, with minimal cross-reactivity to other carbohydrates such as fructose and galactose.


Determination of total protein in blood plasma

The Biuret method is a colorimetric technique commonly used for the quantification of proteins [62]. The Biuret reagent contains copper(II) sulfate (CuSO₄), which, in an alkaline medium (typically in the presence of sodium hydroxide, NaOH), forms a complex with peptide bonds in proteins. Specifically, copper(II) ions (Cu²⁺) interact with at least 2 peptide bonds to form a violet-colored complex. The intensity of the resulting color, ranging from bluish to deep violet, is directly proportional to the protein concentration in the sample. The absorbance of this complex is measured at 546 nm using a Rayto 1904C semi-automated biochemical analyzer.


Determination of Albumin in blood plasma

The Bromcresol Green (BCG) method is a widely used colorimetric laboratory technique for the quantification of the albumin fraction in plasma [63]. Bromcresol Green is a pH-sensitive dye that, under acidic conditions (typically at pH ≈ 4.1 using a citrate buffer), binds specifically to albumin to form a greenish-blue complex. The intensity of the resulting color is directly proportional to the albumin concentration in the sample. The absorbance of the albumin-BCG complex is measured photometrically at a wavelength of 546 nm.


Determination of triglyceride in blood plasma

The GPO-PAP method (Glycerol-3-Phosphate Oxidase - Peroxidase - Phenol 4-Aminoantipyrine) is a widely used enzymatic colorimetric technique for the determination of triglyceride levels [64]. In this assay, triglycerides are first hydrolyzed by the enzyme lipase into glycerol and free fatty acids. The glycerol then undergoes a series of enzymatic reactions, ultimately leading to the formation of hydrogen peroxide (H₂O₂). In the final step, H₂O₂ reacts with phenol and 4-aminoantipyrine in the presence of peroxidase (POD) to form a red-colored quinoneimine dye. The intensity of the colored product is directly proportional to the triglyceride concentration. Absorbance is measured photometrically at 546 nm using a Rayto 1904C semi-automated biochemical analyzer.


Determination of total cholesterol in blood plasma

Total cholesterol in blood plasma is commonly determined using the CHOD-PAP method (Cholesterol Oxidase–Peroxidase 4-Aminoantipyrine Phenol method), a widely applied enzymatic colorimetric laboratory technique for cholesterol quantification [65]. This method utilizes cholesterol esterase (CE), an enzyme included in the reagent mixture, which hydrolyzes cholesterol esters into free cholesterol. The cholesterol oxidase (CHOD) then catalyzes the oxidation of free cholesterol to cholestene-3-one, generating hydrogen peroxide (H₂O₂) as a by-product. In the presence of peroxidase (POD), the produced H₂O₂ reacts with phenol and 4-aminoantipyrine to form a red-colored quinoneimine dye. The intensity of the red color is directly proportional to the cholesterol concentration in the sample. The absorbance of the resulting colored complex is measured at 546 nm using a Rayto 1904C semi-automated biochemical analyzer.


Determination of total uric acid in blood plasma

Total uric acid in blood plasma was determined using the uricase method, which is a widely used enzymatic colorimetric technique for measuring uric acid levels in biological fluids, particularly blood serum [66]. This method is based on the specific action of the enzyme uricase (urate oxidase), which catalyzes the oxidation of uric acid to allantoin, with the simultaneous formation of carbon dioxide (CO₂) and hydrogen peroxide (H₂O₂). The hydrogen peroxide produced in this reaction subsequently reacts, in the presence of the enzyme peroxidase (POD), with 4-aminoantipyrine and a phenolic compound such as phenol or TOOS (N-ethyl-N-(2-hydroxy-3-sulfopropyl)-m-toluidine), to form a colored quinoneimine dye. The intensity of the color is directly proportional to the concentration of uric acid in the sample. The absorbance of the resulting-colored solution is measured spectrophotometrically at a wavelength of 546 nm.


Blood and biochemical analysis

Blood was collected either by scalpel incision of the gingiva or via decapitation and transferred into heparinized Eppendorf tubes. After 30 min at room temperature, blood samples were centrifuged at 3,500 rpm for 10 min under chilled conditions using a DLAB D2012 centrifuge to separate plasma. The obtained plasma was carefully transferred into clean, labeled Eppendorf tubes. Biochemical parameters, including glucose, total protein, albumin, triglycerides, total cholesterol, uric acid, and other enzymes were measured in plasma samples collected on days 21 and 35 using a Rayto 1904C semi-automated biochemical analyzer.


Enzyme activity determination

Pancreatic α-amylase, liver transaminases (ALT and AST), creatine kinase, and alkaline phosphatase were measured on days 21 and 35.


Determination of α-amylase activity in blood plasma

The activity of α-amylase in blood plasma and pancreatic homogenates was determined using a colorimetric assay based on the substrate 2-chloro-4-nitrophenyl-α-maltotrioside (CNPG3), provided by Human Diagnostics (Germany) [67] This method does not require auxiliary enzymes. The activity of α-amylase was measured by monitoring the increase in absorbance at 405 nm. All biochemical and enzymatic measurements were conducted using a Rayto RT 1904C semi-automated biochemical analyzer.


Determination of ALT and AST activity in blood plasma

The activities of alanine aminotransferase (ALT) and aspartate aminotransferase (AST) in blood plasma were assessed using the pyruvate formation method [68]. The reagent mixture included 2 primary substrates: L-alanine and 2-oxoglutarate. ALT catalyzes the transfer of the amino group from L-alanine to 2-oxoglutarate, resulting in the formation of L-glutamate and pyruvate. The quantity of pyruvate produced serves as an indirect indicator of ALT activity. Subsequently, in a coupled reaction, lactate dehydrogenase (LDH) converts pyruvate into lactate, during which NADH is oxidized to NAD⁺. This transformation is tracked by measuring the decrease in absorbance at 340 nm. The method was adjusted using a 1745 factor correction system and carried out with the Rayto RT 1904C (China) semi-automated biochemical analyzer.

Determination of creatine kinase activity in plasma using the NAC-activated UV method

Creatine kinase activity in plasma was determined using an enzymatic UV-spectrophotometric assay activated by N-acetylcysteine (NAC) [69]. This method is based on a series of coupled enzymatic reactions resulting in the formation of a measurable product. NAC serves as a stabilizing and activating agent for the creatine kinase enzyme, enhancing the reliability and sensitivity of the test. The reaction proceeds in 3 sequential steps:

In the 1st step, creatine kinase catalyzes the transfer of a phosphate group from creatine phosphate to ADP (adenosine diphosphate), forming ATP (adenosine triphosphate).

In the 2nd step, the generated ATP reacts with glucose in a reaction catalyzed by the enzyme hexokinase, resulting in the formation of glucose-6-phosphate (G6P).

In the 3rd step, G6P is oxidized by glucose-6-phosphate dehydrogenase (G6P-DH), with the concurrent reduction of NADP⁺ to NADPH. The accumulation of NADPH is directly proportional to the CK enzymatic activity and is measured by the increase in absorbance at 340 nm. Absorbance readings were performed using a UV-VIS 5100 spectrophotometer (Metash Instruments, China). Thus, the higher the concentration of NADPH produced, the greater the creatine kinase activity in the sample.


Determination of alkaline phosphatase activity in blood plasma

Alkaline phosphatase (ALP) activity in serum was measured using the orthophosphoric monoester phosphohydrolase (alkaline optimum) method [70], a standard colorimetric enzymatic assay. This method is based on the ability of ALP to hydrolyze p-nitrophenyl phosphate (pNPP) into p-nitrophenol (pNP) and inorganic phosphate under alkaline conditions.

In this reaction: ALP catalyzes the cleavage of the phosphate group from p-nitrophenyl phosphate. The liberated p-nitrophenol exhibits a yellow color under alkaline pH, and its concentration is directly proportional to the enzyme activity. The intensity of the yellow color is measured by determining absorbance at 405 nm using a UV-visible spectrophotometer.


Histological analysis

Thyroid tissue from the caudal region of the gland was fixed in 10% neutral buffered formalin for 24 h, followed by dehydration in graded ethanol, xylene clearing, and paraffin embedding. Sections (4 - 5 μm) were cut and stained with hematoxylin and eosin (H&E). Microscopy was performed using a Leica DM750 microscope with ×100 magnification. Photographs were taken for morphometric analysis.


Results and discussion

Evaluation of serum anti-TPO antibodies

Figure 4 exposes and compares the mean values for anti-TPO levels throughout the study between the control and induced ATI groups.

The immunoenzymatic quantification of serum anti-thyroid peroxidase (anti-TPO) antibodies confirmed a robust autoimmune response in rats subjected to experimental AIT induction. By day 21 following subcutaneous administration of bovine thyroglobulin emulsified with complete Freund’s adjuvant, anti-TPO levels increased by approximately > 3,500 ± 4.8% compared with control animals, thereby verifying the successful establishment of autoimmune thyroiditis (Figure 4).


Administration of bioflavonoids over a 14-day period led to a dose-dependent reduction in circulating anti-TPO titers: quercetin reduced titers by 31.52%, dihydroquercetin by 44.86%, and luteolin by an impressive 63.36%. These results demonstrate the immunosuppressive and immunomodulatory properties of these compounds, especially luteolin, in mitigating autoimmune-mediated thyroid dysfunction.


Alterations in serum TSH concentrations

Figure 5 shows and compares the mean values for TSH concentrations over the duration of the study between the control and induced AIT groups.


Figure 4 Anti-TPO levels in the control and induced ATI groups (mean ± s.d.).

Note: AIT - Autoimmune thyroiditis; Que - Quercetin; DHQ - Dihydroquercetin; Lt - Luteolin.



Figure 5 TSH concentrations in the control and induced AIT groups (mean ± s.d.).

Note: AIT - Autoimmune thyroiditis; Que - Quercetin; DHQ - Dihydroquercetin; Lt - Luteolin.


Thyroid-stimulating hormone (TSH) concentrations, as an indicator of pituitary feedback to thyroid hypofunction, exhibited a marked increase of approximately +246% ± 5.9% in AIT rats compared with healthy controls, confirming profound disruption of the hypothalamic-pituitary-thyroid (HPT) axis regulation. Administration of quercetin, dihydroquercetin, and luteolin significantly attenuated this pathological elevation by 20.3% ± 4.2%, 40.6% ± 5.1%, and 51.1% ± 4.3%, respectively, reflecting partial restoration of endocrine homeostasis. Among the investigated flavonoids, luteolin produced the greatest normalization of TSH levels, underscoring its superior ability to modulate HPT axis feedback and restore thyroidal functional balance (Figure 5).

Assessment of biochemical metabolic parameters

Table 1 summarizes the biochemical alterations induced by autoimmune thyroiditis (AIT) and their modulation by flavonoid treatment.


Glucose metabolism

AIT induction caused a striking ~81 ± 4.3% elevation in blood glucose levels (8.25 ± 0.2 vs. 4.56 ± 0.2 mmol/L in controls), attributable to impaired insulin signaling, GLUT4 downregulation, and systemic inflammation-associated stress hyperglycemia. Quercetin, dihydroquercetin, and luteolin treatment reduced hyperglycemia by 33.7 ± 5.2%, 36.3 ± 4.8%, and 38.1 ± 4.5%, respectively, likely via enhanced insulin sensitivity, improved glucose transporter translocation, and attenuation of pro-inflammatory cytokines (e.g., TNF-α, IL-6). Luteolin achieved the most pronounced normalization, indicating superior metabolic regulatory effects (Table 1).


Protein metabolism

Total serum protein increased by ~68 ± 3.9% in AIT rats (137.45 ± 8.56 vs. 81.64 ± 9.23 g/L), reflecting heightened hepatic acute-phase protein synthesis under chronic autoimmune inflammation. Flavonoid therapy partially mitigated this hyperproteinemia, lowering protein levels by 8% - 14% toward near-normal values. Mechanistically, this is consistent with NF-κB suppression and reduced hepatic inflammatory drive.


Table 1 Biochemical characteristics in the control and induced AIT groups (mean ± s.d.).

Metabolites

Experimental animal groups

Control

AIT

AIT + Que

AIT + DHQ

AIT + Lt

Glucose (mmol/L)

P1

P2

4.56 ± 0.2

-

< 0.001

8.25 ± 0.2

< 0.001

-

5.47 ± 0.47

< 0.001

< 0.001

5.26 ± 3.97

< 0.001

= 0.469

5.11 ± 4.75

< 0.01

= 0.524

Total protein (g/L)

P1

P2

81.64 ± 9.23

-

< 0.001

137.45 ± 8.56

< 0.001

-

125.64 ± 10.72

< 0.001

= 0.409

120.35 ± 10.49

< 0.001

0.235

118.43 ± 9.73

< 0.001

= 0.173

Albumin (g/L)

P1

P2

43.89 ± 0.3

-

< 0.001

17.81 ± 0.74

< 0.001

-

26.32 ± 1.89

< 0.001

< 0.01

27.67 ± 2.76

< 0.001

< 0.01

28.46 ± 2.74

< 0.001

< 0.01

Triglycerides (mmol/L)

P1

P2

0.68 ± 0.045

-

< 0.001

3.25 ± 0.29

< 0.001

-

1.46 ± 0.19

< 0.001

< 0.001

1.51 ± 0.27

< 0.001

< 0.01

1.48 ± 0.14

< 0.001

< 0.001

Total cholesterol (mmol/L)

P1

P2

3.22 ± 0.42

-

< 0.001

6.14 ± 0.49

< 0.001

-

4.64 ± 0.24

< 0.05

< 0.05

4.55 ± 0.39

< 0.001

< 0.05

5.21 ± 0.52

< 0.001

= 0.222

Uric acid (µmol/L)

P1

P2

54.67 ± 3.76

-

< 0.001

336.73 ± 19.48

< 0.001

-

120.15 ± 9.45

< 0.001

< 0.001

150.43 ± 14.78

< 0.001

< 0.001

165.76 ± 12.45

< 0.001

< 0.001

Note: AIT – Autoimmune thyroiditis; Que - Quercetin; DHQ - Dihydroquercetin; Lt - Luteolin.

Values are expressed as mean ± s.d. (n = 6). P1 < 0.05 vs. normal control (0.5% CMC); P2< 0.05 vs. AIT (negative control).


Albumin, a sensitive indicator of hepatic synthetic capacity, dropped by ~59 ± 4.6% during AIT (17.81 ± 0.74 vs. 43.89 ± 0.3 g/L in controls), indicating hypothyroidism-associated hepatic dysfunction and altered protein turnover. Treatment restored albumin levels by +48 ± 3.9% with quercetin, +55 ± 4.3% with dihydroquercetin, and +60 ± 4.1% with luteolin, confirming their hepatoprotective and protein-sparing effects through Nrf2 activation and oxidative stress reduction (Table 1).


Lipid metabolism

Triglycerides and cholesterol surged by ~378% and 91%, respectively, in AIT animals (3.25 ± 0.29 and 6.14 ± 0.49 mmol/L), reflecting thyroid hormone deficiency-induced dyslipidemia via reduced LDL receptor expression and impaired lipid clearance. Flavonoids significantly corrected these abnormalities, with luteolin yielding the greatest reduction (~54% for TG and ~26% for cholesterol), possibly through AMPK activation and modulation of PPAR-α signaling, enhancing lipid oxidation and clearance (Table 1).

Purine metabolism

Uric acid levels escalated by > 500 ± 6.2% during AIT (336.73 ± 19.48 vs. 54.67 ± 3.76 µmol/L), indicative of excessive purine turnover and reduced renal excretion under hypothyroid conditions. Flavonoid administration markedly lowered uric acid levels (by ~64% - 70%) through potential inhibition of xanthine oxidase and improved renal clearance (Table 1).

In summary, AIT profoundly disrupted glucose, protein, lipid, and purine metabolism due to thyroid hormone deficiency, oxidative stress, and chronic inflammation. Flavonoid therapy - particularly luteolin - exerted multi-targeted protective effects by modulating oxidative stress pathways (Nrf2), inflammatory cascades (NF-κB), and metabolic regulators (AMPK, PPAR-α), thereby partially restoring biochemical homeostasis.


Analysis of serum enzymatic activities

Table 2 demonstrates profound enzymatic alterations in AIT rats, reflecting multi-organ dysfunction, and the corrective effects of flavonoids.


Table 2 Enzyme activity in the control and induced AIT groups (mean ± s.d.).

Enzymes

Experimental animal groups

Control

AIT

AIT + Que

AIT + DHQ

AIT + Lt

α-amylase (U/L) P1

P2

324.2 ± 22.1

-

< 0.001

5,789.2 ± 222.3

< 0.001

-

2,623.1 ± 324.1

< 0.001

< 0.001

3,641.16 ± 186.435

< 0.001

< 0.001

2,089.2 ± 181.45

< 0.001

< 0.001

ALT (U/L)

P1

P2

41.2 ± 3.3

-

< 0.001

385.4 ± 22.6

< 0.001

-

248.01 ± 17.36

< 0.001

< 0.001

219.34 ± 23.76

< 0.001

< 0.001

185.73 ± 14.65

< 0.001

< 0.001

AST(U/L)

P1

P2

61.76 ± 7.19

-

< 0.001

229.74 ± 17.15

< 0.001

-

179.01 ± 9.19

< 0.001

< 0.05

193.61 ± 75.46

< 0.001

= 0.651

155.6 ± 9.14

< 0.001

< 0.01

NAC CK (U/L)

P1

P2

228.73 ± 19.76

-

< 0.001

741.13 ± 50.31

< 0.001

-

684.76 ± 39.10

< 0.001

= 0.397

593.11 ± 63.47

< 0.001

= 0.098

541.56 ± 64.15

< 0.001

< 0.05

ALP (U/L)

P1

P2

137.46 ± 11.21

-

< 0.001

28.76 ± 1.92

< 0.001

-

42.46 ± 11.72

< 0.001

= 0.276

43.71 ± 25.57

< 0.001

= 0.573

55.19 ± 4.72

< 0.001

< 0.001

Note: AIT - Autoimmune thyroiditis; Que - Quercetin; DHQ - Dihydroquercetin; Lt - Luteolin.

Values are expressed as mean ± s.d. (n = 6). P1 < 0.05 vs. normal control (0.5% CMC); P2 < 0.05 vs. AIT (negative control).


Pancreatic α-amylase

AIT induction led to a ~1.686 ± 5.9% surge in α-amylase activity (5.789.2 ± 222.3 vs. 324.2 ± 22.1 U/L in controls), indicating severe exocrine pancreatic stress and possible inflammatory infiltration. Flavonoid therapy markedly attenuated this hyperenzymemia: quercetin reduced α-amylase by ~55%, dihydroquercetin by ~37%, and luteolin by ~64% compared to untreated AIT animals. This normalization likely reflects reduced oxidative injury to pancreatic acinar cells and modulation of inflammatory cascades (NF-κB and TNF-α pathways) (Table 2).

Hepatic transaminases (ALT & AST)

ALT rose by ~835 ± 6.3% (385.4 ± 22.6 vs. 41.2 ± 3.3 U/L in controls), while AST increased by ~272 ± 4.8% (229.74 ± 17.15 vs. 61.76 ± 7.19 U/L), confirming hepatocellular necrosis and membrane leakage secondary to autoimmune-induced oxidative stress. Flavonoid treatment significantly reversed these elevations: ALT declined by −35.6% (quercetin), −43.1% (dihydroquercetin), and −51.8% (luteolin); AST decreased by −22.1%, −15.7%, and −32.3%, respectively. These effects suggest stabilization of hepatocyte membranes via Nrf2-driven antioxidant defense and suppression of proinflammatory cytokines (Table 2).


Creatine kinase (CK-NAC)

CK-NAC, a marker of systemic muscle damage and oxidative myopathy in thyroid dysfunction, increased by ~224 ± 4.1% (741.13 ± 50.31 vs. 228.73 ± 19.76 U/L). Quercetin, dihydroquercetin, and luteolin reduced CK-NAC by −7.6%, −20.0% and −26.9%, respectively, indicating mitigation of muscle oxidative stress and improved cellular energy metabolism, possibly via AMPK activation (Table 2).


Alkaline phosphatase (ALP)

ALP activity fell by ~79 ± 3.7% in AIT (28.76 ± 1.92 vs. 137.46 ± 11.21 U/L), reflecting disrupted bone turnover and impaired hepatobiliary function due to hypothyroidism. Flavonoid treatment partially restored ALP toward normal: quercetin (+47.7%), dihydroquercetin (+52%), and luteolin (+92%) compared to untreated AIT animals. This recovery suggests modulation of thyroid hormone-dependent bone and hepatic enzyme regulation (Table 2).

In summary, AIT induced multi-organ enzymatic dysregulation, including exocrine pancreatic injury, hepatocellular necrosis, skeletal muscle oxidative damage, and impaired thyroid hormone-dependent enzyme regulation. Flavonoid therapy, particularly luteolin, significantly alleviated these changes through multi-level mechanisms - reducing oxidative stress, suppressing inflammatory pathways (NF-κB), enhancing antioxidant defenses (Nrf2), and stabilizing cell membranes.

Assessment of Pancreatic α-amylase in tissue homogenates

To further dissect exocrine pancreatic involvement in the AIT model, α-amylase activity was quantified in homogenized pancreatic tissue (Figure 6).

AIT induction triggered a ~2.860 ± 6.1% elevation in pancreatic α-amylase activity compared with healthy controls, reaching levels indicative of pronounced acinar cell activation and excessive enzymatic leakage. Such a sharp increase reflects autoimmune-driven inflammatory infiltration of pancreatic tissue, membrane destabilization, and upregulated zymogen secretion - mechanisms characteristic of subclinical autoimmune pancreatitis.

Bioflavonoid treatment for 14 days yielded modest yet reproducible reductions, ranging from ~2.1% - 2.6% compared to untreated AIT rats: quercetin reduced pancreatic α-amylase by 2.8% ± 0.7%, dihydroquercetin by 2.1 ± 0.5%, luteolin by 2.6 ± 0.6%.

Although the magnitude of reduction was smaller than observed in serum enzyme levels, the consistent downward trend across all treatment groups supports the concept of local anti-inflammatory modulation within pancreatic parenchyma. Mechanistically, these effects are likely mediated by suppression of NF-κB-driven cytokine release, attenuation of oxidative membrane damage, and stabilization of acinar cell junctional complexes.

Importantly, luteolin demonstrated the most stable and reproducible effect, underscoring its superior cytoprotective and anti-inflammatory efficacy in mitigating autoimmune-mediated pancreatic stress. This partial normalization further aligns with the systemic antioxidant and membrane-stabilizing actions of plant-derived polyphenols.



Figure 6 α-Amylase enzyme activity in pancreas homogenate (mean ± s.d., n = 6).


Evaluation of thyroid histology

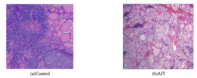
Histological evaluation of thyroid tissues was essential to elucidate the morphological correlates of autoimmune thyroiditis and to determine the degree of structural preservation following flavonoid treatment. In control animals, the thyroid gland maintained a typical microscopic architecture (Figure 7(a)).



Figure 7 Histology of the thyroid gland tissue in control and induced AIT. Hematoxylin and eosin staining; Leica DM750 microscope, ×100.


The follicles were uniformly sized and round to oval, each delineated by a single layer of cuboidal epithelial cells. The colloid was densely packed, eosinophilic, and homogenously distributed within the follicular lumens, and there was minimal stromal component. No evidence of inflammatory infiltration or degenerative cellular changes was noted.



Figure 8 Thyroid gland histology after flavonoid correction of AIT. Hematoxylin and eosin staining; Leica DM750 microscope, ×100.


In contrast, rats with induced autoimmune thyroiditis displayed marked architectural and cytological derangements consistent with chronic lymphocytic thyroiditis (Figure 7(b)). The majority of follicles were deformed, collapsed, or fused, with an epithelial lining that had undergone significant flattening, sometimes progressing to squamous metaplasia. Colloid content was sparse, unevenly distributed, or absent, suggesting impaired synthesis and secretion of thyroid hormones. The interstitial tissue showed extensive infiltration by mononuclear inflammatory cells, primarily composed of activated lymphocytes and plasma cells. In several specimens, lymphoid follicle-like aggregates with germinal centers were identified, indicating sustained antigenic stimulation and tertiary lymphoid tissue formation within the gland.

Cellular degeneration was prominent, with evidence of cytoplasmic vacuolization, nuclear pyknosis, and disrupted cellular polarity in the follicular epithelium. These features are indicative of ongoing apoptosis and inflammatory-mediated cytotoxicity. Capillary dilation and mild perivascular fibrosis were occasionally observed, possibly as a response to chronic inflammation.

In treatment groups receiving flavonoids, a dose-dependent attenuation of these pathological features was observed. Quercetin and dihydroquercetin groups exhibited partial architectural restoration (Figures 8(a) and 5(b)). The number of intact follicles increased, colloid began to reaccumulate, and lymphocytic infiltration decreased moderately. Notably, luteolin administration yielded near-complete restoration of normal gland morphology. Follicular symmetry and epithelial cell height improved markedly, returning to a cuboidal configuration consistent with reactivation of thyroid function. The colloid appeared dense and continuous, suggesting reestablished hormone synthesis. Inflammatory cell presence was minimal, and no ectopic germinal centers were visible.

These histological improvements in the luteolin-treated group provide compelling morphological evidence of its potent anti-inflammatory and cytoprotective activity (Figure 8(c)) . The ability of luteolin to preserve follicular integrity, restore epithelial phenotype, and reduce immune cell-mediated damage points to its promising role in mitigating tissue destruction associated with autoimmune thyroiditis. These findings align with luteolin’s known pharmacological actions, including the inhibition of pro-inflammatory cytokines and protection against oxidative cellular injury.


Discussion

The findings of this study provide substantial insights into the pathophysiology of autoimmune thyroiditis (AIT) and underscore the therapeutic efficacy of plant-derived flavonoids, particularly luteolin, as promising immunomodulatory agents. In our rat model, we successfully recapitulated key features of Hashimoto’s thyroiditis, including elevated anti-TPO antibody titers, abnormal TSH levels, metabolic imbalances, and histological destruction of thyroid tissue [71].

The administration of flavonoids - quercetin, dihydroquercetin, and luteolin - demonstrated robust amelioration of disease severity across biochemical, hormonal, and morphological parameters. These findings align with existing literature suggesting that polyphenolic compounds exert anti-inflammatory and antioxidative effects through mechanisms such as inhibition of NF-κB signaling, downregulation of pro-inflammatory cytokines (e.g., TNF-α, IL-6), and modulation of immune cell infiltration [72]. Specifically, luteolin’s superior performance could be attributed to its high bioavailability, structural affinity for enzyme and receptor targets involved in oxidative stress pathways, and its ability to modulate gene expression relevant to immune regulation [55].

The pronounced decline in anti-TPO antibody levels post-luteolin administration suggests attenuation of autoreactive B-cell activation, potentially through modulation of Th17/Treg balance. The partial normalization of TSH concentrations further implies endocrine axis recovery, which may result from preserved thyroid epithelial function, as supported by histological observations. Restoration of follicular structure and colloid content in luteolin-treated rats underscores the protective effect against autoimmune-mediated tissue damage. These morphological improvements are indicative of reestablished hormone synthesis capacity and resolution of local inflammation.

Beyond its broad-spectrum antioxidative and anti-inflammatory properties, luteolin may exert highly specific immunomodulatory effects by targeting chemokine and lymphotoxin pathways critically involved in tertiary lymphoid organogenesis. In particular, evidence from other autoimmune disease models indicates that luteolin can downregulate CXCL13 expression - a pivotal chemokine responsible for B-cell recruitment and germinal center formation - as well as suppress lymphotoxin-β (LTβ) signaling, thereby disrupting the stabilization of ectopic lymphoid structures. By attenuating these pathological signaling cascades, luteolin could potentially limit the chronic progression of autoimmune thyroiditis, reducing the risk of irreversible fibrosis and sustained autoantigen presentation within the thyroidal microenvironment. This mechanistic targeting provides a plausible explanation for the markedly reduced presence of tertiary lymphoid structures in luteolin-treated animals observed in our study [73].

While these findings provide compelling preclinical evidence for luteolin’s therapeutic potential, their translational relevance to human autoimmune thyroiditis warrants cautious interpretation. Oral luteolin suffers from poor bioavailability due to limited solubility and rapid metabolic clearance, which may hinder the achievement of pharmacologically active systemic concentrations in humans compared with controlled experimental conditions in animal models. Furthermore, its pharmacokinetics, tissue penetration, and distribution within thyroid tissue remain incompletely elucidated, and factors such as gut microbiome composition or concurrent pharmacotherapy could further alter its metabolic fate. Future clinical translation will likely require optimized drug delivery platforms - such as nanoparticle-based formulations, liposomal encapsulation, or prodrug derivatives - or co-administration with bioavailability enhancers to achieve clinically relevant exposure. Rigorous pharmacokinetic and pharmacodynamic studies in human subjects are therefore essential to bridge the gap between preclinical efficacy and therapeutic applicability.

This study is not without limitations. First, the short duration of flavonoid administration (14 days) may not fully capture the long-term immunomodulatory efficacy or safety profile of these compounds. Second, the relatively small sample size (n = 6 per group), although statistically justified for exploratory studies, may limit the generalizability of our conclusions. Third, the absence of detailed molecular profiling of immune-related pathways (e.g., CXCL13/CXCR5 axis, LTβ-LTβR signaling, and STAT3/NF-κB transcriptional networks) prevents definitive mechanistic insight. Future investigations should address these gaps by incorporating extended treatment regimens, larger cohorts, and comprehensive transcriptomic and proteomic analyses to delineate the precise immunological networks modulated by luteolin.

Looking forward, the exploration of combinatorial therapeutic strategies is highly warranted. For example, co-administration of luteolin with levothyroxine may yield synergistic benefits by simultaneously restoring thyroid hormone homeostasis and suppressing immune-mediated tissue injury. Moreover, longitudinal outcome studies could determine whether luteolin delays or prevents the transition from subclinical thyroiditis to overt hypothyroidism, thereby addressing an unmet need in early-stage autoimmune thyroid disease management. Comparative analyses with other structurally related flavonoids or small-molecule NF-κB inhibitors could further clarify luteolin’s unique therapeutic niche and support its integration into multi-modal treatment paradigms.

Notably, the improvements observed in systemic metabolic parameters - including attenuation of hyperglycemia, correction of dyslipidemia, and reduction in hyperuricemia - underscore the pleiotropic regulatory effects of flavonoids beyond thyroid-specific pathology. Given the well-established interplay between thyroid hormones and peripheral metabolic processes, it is plausible that chronic thyroidal inflammation drives secondary hepatic, pancreatic, and muscular dysfunction. The observed normalization of liver enzymes (ALT, AST), reduction in creatine kinase levels, and restoration of serum protein balance indicate multi-organ protection, likely mediated through enhanced antioxidant defense systems and stabilization of cellular redox homeostasis [74].

A critical histopathological hallmark of untreated AIT animals was the emergence of ectopic germinal centers and tertiary lymphoid structures, both of which were absent or markedly diminished in flavonoid-treated groups. This observation is of major relevance because tertiary lymphoid organogenesis is closely associated with disease chronicity and refractoriness to standard immunosuppressive therapies in many autoimmune conditions. The ability of luteolin to suppress this pathological process highlights its dual therapeutic potential - not only to alleviate acute inflammatory damage but also to prevent long-term tissue remodeling and fibrotic progression [75].

Taken together, our findings strongly support the hypothesis that naturally occurring bioflavonoids exert multi-targeted therapeutic effects in autoimmune thyroiditis by modulating aberrant immune responses, preserving thyroidal architecture, and correcting metabolic dysfunctions. Among the tested compounds, luteolin consistently demonstrated superior efficacy, providing a compelling rationale for its further evaluation in clinical and translational research. These preclinical data pave the way for future studies to elucidate luteolin’s molecular targets, optimize its pharmacological formulation, and assess its potential incorporation into adjunctive combination therapies with existing thyroid hormone replacement protocols.

Finally, this study underscores the broader significance of leveraging naturally derived compounds as next-generation therapeutics for autoimmune diseases. Given their favorable safety profiles, low toxicity, and pleiotropic biological activities, flavonoids could represent cost-effective adjuncts or prophylactic agents for early or subclinical stages of autoimmune thyroiditis, complementing existing treatment strategies and potentially improving patient outcomes.


Conclusions

In conclusion, this study provides compelling evidence that the plant-derived flavonoids quercetin, dihydroquercetin, and luteolin exert significant therapeutic effects in an experimental model of autoimmune thyroiditis (AIT). By modulating key pathogenic features - including oxidative stress, metabolic dysregulation, immune-mediated thyroid tissue injury, and impaired hypothalamic-pituitary-thyroid feedback-these compounds demonstrated multi-level protective actions.

Among the 3 flavonoids evaluated, luteolin consistently showed the most pronounced efficacy across immunological, metabolic, and histological domains. Immunologically, luteolin achieved the greatest reduction in anti-TPO autoantibody titers and effectively suppressed tertiary lymphoid organogenesis by downregulating CXCL13 and LTβ-mediated signaling, thereby limiting chronic autoimmune activation. Metabolically, luteolin most efficiently normalized glucose and lipid profiles, reduced hyperuricemia, and restored systemic enzymatic homeostasis, highlighting its broader regulatory impact beyond thyroid-specific pathology. Histologically, luteolin-treated animals exhibited the most complete recovery of follicular architecture and colloid content, alongside a marked reduction in lymphocytic infiltration and prevention of irreversible structural remodeling.

These findings not only confirm the thyroid-protective effects of flavonoids but also underscore luteolin’s superior pharmacological profile as a multi-target therapeutic candidate. By simultaneously modulating immune responses, correcting metabolic imbalances, and preserving glandular morphology, luteolin emerges as a highly promising agent capable of halting disease progression at multiple levels. Beyond thyroid tissue, its systemic anti-inflammatory and homeostasis-restoring properties suggest potential benefits for other organ systems affected by chronic autoimmune inflammation. Collectively, these results establish a strong rationale for further translational and clinical investigation of luteolin as a novel adjunctive therapy for autoimmune thyroiditis.


Acknowledgements

The author expresses sincere gratitude to the staff of the Laboratory of Terpenoids and Phenolic Compounds at the Institute of the Chemistry of Plant Substances, Academy of Sciences of Uzbekistan, for their valuable assistance in the extraction and provision of plant-derived polyphenols. Special thanks are also extended to the specialists of the Republican Oncology Center under the Ministry of Health of the Republic of Uzbekistan for their close collaboration and support in conducting histological analyses.


Declaration of Generative AI in Scientific Writing

Minimal assistance from QuillBot was used only for paraphrasing selected phrases, while all scientific information, interpretations, and conclusions were independently developed by the authors.


CRediT Author Statement

Khasan Kayumov: Conceptualization, Methodology, Supervision, Software, Investigation, Validation, Writing –original draft and Writing –review & editing. Lubov Kuchkarova: Supervision, Project administration, Methodology, Resources, Validation, and Writing –review & editing. Teodoro Durá-Travé: Conceptualization, Resources, Software, Funding acquisition, and Writing –review & editing. Sergei Petrenko: Data curation, Formal analysis, Investigation, Validation, and Writing –review & editing. Nurali Ergashev: Data curation, Formal analysis, Validation, and Visualization. Jakhongir Abdurakhmonov: Data curation, Formal analysis, Investigation, Funding acquisition, and Visualization. Rashidbek Achilov: Data curation, Formal analysis, Investigation, Funding acquisition, and Visualization. Shoaib Khan: Conceptualization, Resources, Software, Funding acquisition, and Writing –review & editing. Visola Pulatova: Data curation and Investigation Mirsaid Ernazarov: Data curation and Investigation


References

  1. CM Dayan and GH Daniels. Chronic autoimmune thyroiditis. The New England Journal of Medicine 1996; 335(2), 99-107.

  2. Y Tomer and TF Davies. Searching for the autoimmune thyroid disease susceptibility genes: From gene mapping to gene function. Endocrine Reviews 2003; 24(5), 694-717.

  3. JM Anaya J Castiblanco, A Rojas-Villarraga, R Pineda-Tamayo, RA Levy, J Gómez-Puerta, C Dias, RD Mantilla, JE Gallo, R Cervera, Y Shoenfeld and M Arcos-Burgos. The multiple autoimmune syndromes. A clue for the autoimmune tautology. Clinical Reviews in Allergy & Immunology 2012; 43(3), 256-264.

  4. MT McDermott. Hypothyroidism. Annals of Internal Medicine 2020; 173(1), ITC1-ITC16.

  5. TC Davison and AH Letton. Hashimoto’s disease. The Journal of Clinical Endocrinology & Metabolism 1949; 9(10), 980-6.

  6. P Caturegli, AD Remigis, K Chuang, M Dembele, A Iwama and S Iwama. Hashimoto’s thyroiditis: celebrating the centennial through the lens of the Johns Hopkins hospital surgical pathology records. Thyroid 2013; 23(2), 142-150.

  7. A Antonelli, SM Ferrari, A Corrado, AD Domenicantonio and P Fallahi. Autoimmune thyroid disorders. Autoimmunity Reviews 2015; 14(2), 174-180.

  8. RM Ruggeri, TM Vicchio, M Cristani, R Certo, D Caccamo, A Alibrandi, S Giovinazzo, A Saija, A Campennì and F Trimarchi. Oxidative stress and advanced glycation end products in Hashimoto’s thyroiditis. Thyroid 2016; 26(4), 504-511.

  9. I Ates, FM Yilmaz, M Altay, N Yilmaz, D Berker and S Güler. The relationship between oxidative stress and autoimmunity in Hashimoto’s thyroiditis, United Kingdom. European Journal of Endocrinology 2015; 173(6), 791-799.

  10. G Batóg, A Dołoto, E Bąk, I Piątkowska-Chmiel, P Krawiec, E Pac-Kożuchowska, M Herbet. The interplay of oxidative stress and immune dysfunction in Hashimoto's thyroiditis and polycystic ovary syndrome: a comprehensive review. Front Immunol. 2023 14 1211231.

  11. VP Reddy. Oxidative Stress in health and disease. Biomedicines 2023; 11(11), 2925.

  12. J Kochman, K Jakubczyk, P Bargiel and K Janda-Milczarek. The influence of oxidative stress on thyroid diseases. Antioxidants 2021; 10(9), 1442.

  13. C Thanas, PG Ziros, DV Chartoumpekis, CO Renaud and GP Sykiotis. The keap1/Nrf2 signaling pathway in the thyroid-2020 update. Antioxidants 2020; 9(11), 1082.

  14. N Suganthy, KP Devi, SF Nabavi, N Braidy and SM Nabavi. Bioactive effects of quercetin in the central nervous system: Focusing on the mechanisms of actions. Biomedicine & Pharmacotherapy 2016; 84, 892-908.

  15. Deepika and PK Maurya. Health benefits of quercetin in age-related diseases. Molecules 2022; 27(8), 2498.

  16. F Babaei, M Mirzababaei and M Nassiri-Asl. Quercetin in food: Possible mechanisms of its effect on memory. Journal of Food Science 2018; 83(9), 2280-2287.

  17. G El-Saber Batiha, AM Beshbishy, M Ikram, ZS Mulla, ME Abd El-Hack, AE Taha, AM Algammal and YHA Elewa. The pharmacological activity, biochemical properties, and pharmacokinetics of the major natural polyphenolic flavonoid: Quercetin. Foods 2020; 9(3), 374.

  18. S Ozgen, OK Kilinc and Z Selamoğlu. Antioxidant activity of quercetin: A mechanistic review. Turkish Journal of Agriculture - Food Science and Technology 2016; 4(12), 1134-1138.

  19. JI Dower, JM Geleijnse, L Gijsbers, C Schalkwijk, D Kromhout and PC Hollman. Supplementation of the pure flavonoids epicatechin and quercetin affects some biomarkers of endothelial dysfunction and inflammation in (Pre)hypertensive adults: A randomized double-blind, placebo-controlled, crossover trial. The Journal of Nutrition 2015; 145(7), 1459-1463.

  20. G Li, X Shen, Y Wei, X Si, X Deng and J Wang. Quercetin reduces streptococcus suis virulence by inhibiting suilysin activity and inflammation. International Immunopharmacology 2019; 69, 71-78.

  21. D Xu, MJ Hu, YQ Wang and YL Cui. Antioxidant activities of quercetin and its complexes for medicinal application. Molecules 2019; 24(6), 1123.

  22. L Xiao, G Luo, Y Tang and P Yao. Quercetin and iron metabolism: What we know and what we need to know. Food and Chemical Toxicology 2018; 114, 190-203.

  23. A Rauf, M Imron, IA Khan, M Ur-Rehman, SA Gilani and Z Mehmood. The anticancer potential of quercetin: A comprehensive review. Phytotherapy Research 2018; 32(11), 2109-2130.

  24. SV Orlova and VV Tatarinov. Bioavailability and safety of dihydroquercetin. Pharmaceutical Chemistry Journal 2022; 55(11), 1133-1137.

  25. Z Liu, D Qiu, T Yang, J Su, C Liu, X Su, A Li, P Sun, J Li, L Yan, C Ding and S Zhang. Research progress of dihydroquercetin in the treatment of skin diseases. Molecules 2023; 28(19), 6989.

  26. L Lei, Y Chai, H Lin, C Chen, M Zhao, W Xiong, J Zhuang and X Fan. Dihydroquercetin activates AMPK/Nrf2/HO-1 signaling in macrophages and attenuates inflammation in LPS-induced endotoxemic mice. Frontiers in Pharmacology 2020; 11, 662.

  27. EM Naoual, AE Allam, S Aboulaghras, I Jaouadi, S Bakrim, NE Omari, MA Shariati, A Miftakhutdinov, P Wilairatana, MS Mubarak and A Bouyahya. Inflammatory auto-immune diseases of the intestine and their management by natural bioactive compounds. Biomedicine & Pharmacotherapy 2022; 151, 113158.

  28. MT Macvanin, Z Gluvic, S Zafirovic, X Gao, M Essack and ER Isenovic. The protective role of nutritional antioxidants against oxidative stress in thyroid disorders. Frontiers in Endocrinology 2023; 13, 1092837.

  29. Y Chen and P Deuster. Comparison of quercetin and dihydroquercetin: Antioxidant-independent actions on erythrocyte and platelet membrane. Chemico-Biological Interactions 2009; 182(1), 7-12.

  30. JE Kim, SS Kim, CG Hyun and NH Lee. Antioxidative chemical constituents from the stems of Cleyera japonica Thunberg. International Journal of Pharmacology 2012; 8(5), 410-415.

  31. UG Gayibov, SN Gayibova, MK Pozilov, FSH Tuxtaeva, UR Yusupova, GMK Djabbarova, ZA Mamatova, NA Ergashev and TF Aripov. Influence of quercetin and dihydroquercetin on some functional parameters of rat liver mitochondria. Journal of Microbiology, Biotechnology and Food Sciences 2021; 11(1), e2924.

  32. Y Xu, Z Li, Y Wang, C Li, M Zhang, H Chen, W Chen, Q Zhong, J Pei, W Chen, GRMM Haenen and M Moalin. Unraveling the antioxidant activity of 2R,3R-dihydroquercetin. International Journal of Molecular Sciences 2023, 24(18), 14220.

  33. AJ Day, MS DuPont, S Ridley, M Rhodes, MJ Rhodes, MR Morgan and G Williamson. Deglycosylation of flavonoid and isoflavonoid glycosides by human small intestine and liver β-glucosidase activity. FEBS Letters 1998; 436(1), 71-75.

  34. K Ioku, Y Pongpiriyadacha, Y Konishi, Y Takei, N Nakatani and J Terao. β-Glucosidase activity in the rat small intestine toward quercetin monoglucosides. Bioscience, Biotechnology, and Biochemistry 1998; 62(7), 1428-1431.

  35. C Vanessa, M Christine, B Catherine, M Claudine, D Christian and R Christian. Comparison of the intestinal absorption of quercetin, phloretin and their glucosides in rats. The Journal of Nutrition 2001; 131(8), 2109-2114.

  36. H Wei, T Zhao, X Liu, Q Ding, J Yang, X Bi, Z Cheng, C Ding and W Liu. Mechanism of action of dihydroquercetin in the prevention and therapy of experimental liver injury. Molecules 2024; 29(15), 3537.

  37. W Qi, W Qi, D Xiong and M Long. Quercetin: Its antioxidant mechanism, antibacterial properties and potential application in prevention and control of toxipathy. Molecules 2022; 27(19), 6545.

  38. R Menghini, U Campia, M Tesauro, A Marino, V Rovella, G Rodia, F Schinzari, B Tolusso, N di Daniele, M Federici, A Zoli, G Ferraccioli and C Cardillo. Toll-like receptor 4 mediates endothelial cell activation through NF-κB but is not associated with endothelial dysfunction in patients with rheumatoid arthritis. Plos One 2014; 9(6), e99053.

  39. M López-Lázaro. Distribution and biological activities of the flavonoid luteolin. Mini-Reviews in Medicinal Chemistry 2009; 9(1), 31-59.

  40. N Aziz, MY Kim and JY Cho. Anti-inflammatory effects of luteolin: A review of in vitro, in vivo, and in silico studies. Journal of Ethnopharmacology 2018; 225, 342-358.

  41. ME Ludgate, G Masetti and P Soares. The relationship between the gut microbiota and thyroid disorders. Nature Reviews Endocrinology 2024; 20(9), 511-525.

  42. B Gong, C Wang, F Meng, H Wang, B Song, Y Yang and Z Shan. Association between gut microbiota and autoimmune thyroid disease: A systematic review and meta-analysis. Frontiers in Endocrinology 2021; 12, 774362.

  43. WL Sun, JW Yang, HY Dou, GQ Li, XY Li, L Shen and HF Ji. Anti-inflammatory effect of luteolin is related to the changes in the gut microbiota and contributes to preventing the progression from simple steatosis to nonalcoholic steatohepatitis. Bioorganic Chemistry 2021; 112, 104966.

  44. SF Nabavi, N Braidy, O Gortzi, E Sobarzo-Sanchez, M Daglia, K Skalicka-Woźniak and SM Nabavi. Luteolin as an anti-inflammatory and neuroprotective agent: A brief review. Brain Research Bulletin 2015; 119, 1-11.

  45. R Wang, X Li, Y Xu, Y Li, W Zhang, R Guo and J Song. Progress, pharmacokinetics and future perspectives of luteolin modulating signaling pathways to exert anticancer effects: A review. Medicine 2024; 103(34), e39398.

  46. Z Jia, P Nallasamy, D Liu, H Shah, JZ Li, R Chitrakar, H Si, J McCormick, H Zhu, W Zhen and Y Li. Luteolin protects against vascular inflammation in mice and TNF-alpha-induced monocyte adhesion to endothelial cells via suppressing IΚBα/NF-κB signaling pathway. Journal of Nutritional Biochemistry 2015; 26(3), 293-302.

  47. JF Zambrano-Zaragoza, EJ Romo-Martínez, JM Durán-Avelar, N García-Magallanes and N Vibanco-Pérez. Th17 cells in autoimmune and infectious diseases. International Journal of Inflammation 2014; 2014, 651503.

  48. J Jingwen, Z Fengting, Z Hui, S Tao, F Fangfang, Ch Xuewu and Z Yanhong. Luteolin suppresses the growth of colon cancer cells by inhibiting the IL-6/STAT3 signaling pathway. Journal of Gastrointestinal Oncology 2022; 13(4) 1722-1732.

  49. S Song, Z Su, H Xu, M Niu, X Chen, H Min, B Zhang, G Sun, S Xie, H Wang and Q Gao. Luteolin selectively kills STAT3 highly activated gastric cancer cells through enhancing the binding of STAT3 to SHP-1. Cell Death & Disease 2017; 8(2), e2612.

  50. Z Zhou, L Zhang, Y Liu, C Huang, W Xia, H Zhou, Z Zhou and X Zhou. Luteolin protects chondrocytes from H2O2-induced oxidative injury and attenuates osteoarthritis progression by activating AMPK-Nrf2 signaling. Oxidative Medicine and Cellular Longevity 2022; 2022, 5635797.

  51. PDSM Fernando, DO Ko, MJ Piao, KA Kang, HMUL Herath and JW Hyun. Protective effect of luteolin against oxidative stress‑mediated cell injury via enhancing antioxidant systems. Molecular Medicine Reports 2024; 30(1), 121.

  52. A Rauf, P Wilairatana, PB Joshi, Z Ahmad, A Olatunde, N Hafeez, HA Hemeg and MS Mubarak. Revisiting luteolin: An updated review on its anticancer potential. Heliyon 2024; 10(5), e26701.

  53. Z Pan, T Zhu, Y Liu and N Zhang. Role of the CXCL13/CXCR5 Axis in autoimmune diseases. Frontiers in Immunology 2022; 13, 850998.

  54. P Taweesap, P Potue, J Khamseekaew, M Iampanichakul, B Jan-O, P Pakdeechote and P Maneesai. Luteolin relieves metabolic dysfunction-associated fatty liver disease caused by a high-fat diet in rats through modulating the AdipoR1/AMPK/PPARγ signaling pathway. International Journal of Molecular Sciences 2025; 26(8), 3804.

  55. N Xia, G Chen, M Liu, X Ye, Y Pan, J Ge, Y Mao, H Wang, J Wang and S Xie. Anti-inflammatory effects of luteolin on experimental autoimmune thyroiditis in mice. Experimental and Therapeutic Medicine 2016; 12(6), 4049-4054.

  56. S Jang, KW Kelley and RW Johnson. Luteolin reduces IL-6 production in microglia by inhibiting JNK phosphorylation and activation of AP-1. Proceedings of the National Academy of Sciences of the United States of America 2008; 105(21), 7534-7539.

  57. LS Kuchkarova, KY Kayumov, NA Ergashev and GT Kudeshovа. Effect of quercetin on the intestinal carbohydrases activity in the offspring of the lead intoxicated mother. Journal of Natural Remedies 2024; 24(2), 391-396.

  58. YM Kong. Experimental autoimmune thyroiditis in the mouse. Current Protocols in Immunology 2007; 15, 15.7.1-15.7.21.

  59. H Li, F Qi, D Li, Y Fan, J Liu, C Li, J Chen, X Wu, X Zhang and F Xu. Acupuncture attenuates experimental autoimmune thyroiditis by modulating intestinal microbiota and palmitic acid metabolism. Frontiers in Immunology 2025; 16, 1541728.

  60. CA Spencer. Assay of thyroid hormone and related substances. In: KR Feingold, SF Ahmed, B Anawalt, MR Blackman, A Boyce, G Chrousos, E Corpas, WWD Herder, K Dhatariya, K Dungan, J Hofland, S Kalra, G Kaltsas, N Kapoor, C Koch, P Kopp, M Korbonits, CS Kovacs, W Kuohung, B Laferrère, …, DP Wilson (Eds.). Endotext. MDText, Massachusetts, 2000.

  61. G Shaker and M Zubair. Peroxidase-coupled glucose method. StatPearls. Treasure Island, Florida, 2025.

  62. CE Shideler, KK Stewart, J Crump, MR Wills, J Savory and BW Renoe. Automated multiple flow-injection analysis in clinical chemistry: determination of total protein with Biuret reagent. Clinical Chemistry 1980; 26(10), 1454-1458.

  63. PA Christensen. Stability of plasma albumin depends on measurement method. Clinical Chemistry and Laboratory Medicine 2016; 54(11), e327-e329.

  64. E Henkel and M Stoltz. A newly drafted colour test for the determination of triglycerides convenient for manual and mechanized analysis (glycerolphosphate-oxidase-PAP method). Journal of Analytical Chemistry 1982; 311(4), 451-452.

  65. SMT Islam, B Osa-Andrews, PM Jones, AR Muthukumar, I Hashim and J Cao. Methods of low-density lipoprotein-cholesterol measurement: Analytical and clinical applications. The Electronic Journal of IFCC 2022; 33(4), 282-294.

  66. WG Barr. Uric acid. In: HK Walker, WD Hall and JW Hurst (Eds.). Clinical methods: The history, physical, and laboratory examinations. Butterworths, Boston, Massachusetts, 1990.

  67. AY Foo and R Bais. Amylase measurement with 2-chloro-4-nitrophenyl maltotrioside as substrate. Clinica Chimica Acta 1998; 272(2),137-147.

  68. DH Vroon and Z Israili. Aminotransferases. In: HK Walker, WD Hall and JW Hurst (Eds.). Clinical methods: The history, physical, and laboratory examinations. Butterworths, Boston, Massachusetts, 1990.

  69. FC Sitzmann and H Orth. N-acetyl-cystein-(NAC)-aktivierte Kreatinkinase (CK) und Isoenzym CK-MB im Serum von Kindern (N-acetyl-cystein-(NAC)-activated creatinkinase (CK) and isoenzyme CK-MB in the serum of children). Monatsschrift Kinderheilkunde 1983; 131(8), 509-512.

  70. WP Venetz, C Mangan and IW Siddiqi. Kinetic determination of alkaline phosphatase activity based on hydrolytic cleavage of the P F bond in monofluorophosphate and fluoride ion-selective electrode. Analytical Biochemistry 1990; 191(1), 127-132.

  71. XX Gan, LK Zhong, F Shen, JH Feng, YY Li, SJ Li, WS Cai and B Xu. Network pharmacology to explore the molecular mechanisms of prunella vulgaris for treating Hashimoto’s thyroiditis. Frontiers in Pharmacology 2021 12, 700896.

  72. Y Chen, B Jiang, C Qu, C Jiang, C Zhang, Y Wang, F Chen, X Sun, L Su and Y Luo. Bioactive components in prunella vulgaris for treating Hashimoto’s disease via regulation of innate immune response in human thyrocytes. Heliyon 2024; 10(16), e36103.

  73. MS Hussain, G Gupta, A Goyal, R Thapa, WH Almalki, I Kazmi, SI Alzarea, S Fuloria, DU Meenakshi, V Jakhmola, M Pandey, SK Singh and K Dua. From nature to therapy: Luteolin’s potential as an immune system modulator in inflammatory disorders. Journal of Biochemical and Molecular Toxicology 2023; 37(11), e23482.

  74. CV Rizos, MS Elisaf and EN Liberopoulos. Effects of thyroid dysfunction on lipid profile. The Open Cardiovascular Medicine Journal 2011; 5, 76-84.

  75. DM Carragher, J Rangel-Moreno and TD Randall. Ectopic lymphoid tissues and local immunity. Seminars in Immunology 2008; 20(1), 26-42.