Start Bootstrap Logo

Trends Sci. 2026; 23(3): 11615

Fish Protein Hydrolysate from Lemuru (Sardinella lemuru) Scales as a Food Protein: Isolation, Characterization, Antibacterial and Antioxidant Activities


Evi Susanti1,2,*, Jannatul Firdaus2, Safriza Lailatul Hikmah2,

Norazlinaliza Salim3,4,5, Nuniek Herdyastuti6, Elisa Herawati7,

Noer Laily8, Fatim Illaningtyas9, Muh. Ade Artasasta1 and Wira Eka Putra1


1Biotechnology Program, Department of Applied Science, Faculty of Mathematics and Natural Sciences,

State University of Malang, Malang 65145, Indonesia

2Department of Chemistry, Faculty of Mathematics and Natural Sciences, State University of Malang,

Malang 65145, Indonesia

3Laboratory of Halal Science Research, Halal Products Research Institute, Universiti Putra Malaysia,

UPM Serdang, Selangor 43400, Malaysia

4Centre of Foundation Studies for Agricultural Science, Universiti Putra Malaysia, Selangor 43400, Malaysia

5Integrated Chemical Biophysics Research (ICheBP), Faculty of Science, Universiti Putra Malaysia, 43400 UPM Serdang, Selangor, Malaysia

6Department of Chemistry, Faculty of Mathematics and Natural Sciences, State University of Surabaya,

Surabaya 60231, Indonesia 

7Department of Biology, Faculty of Mathematics and Natural Sciences, Sebelas Maret University,

Surakarta 57126, Indonesia

8Research Center for Food Technology and Processing, National Research and Innovation Agency,

KST Soekarno Cibinong, West Java 16911, Indonesia

9Research Center for Sustainable Industrial and Manufacturing Systems, National Research and Innovation Agency, KST B.J. Habibie, Banten 15314, Indonesia


(*Corresponding author’s e-mail: [email protected])


Received: 15 August 2025, Revised: 9 September 2025, Accepted: 19 September 2025, Published: 30 November 2025


Abstract

Fish protein hydrolysates (FPHs) have attracted significant interest owing to their robust nutritional composition, including glutamic acid, aspartic acid, leucine, lysine, and valine. The scales of lemuru (Sardinella lemuru) are currently underutilized. Therefore, in this research, FPHs from lemuru scales were produced by using papain through various stages including pretreatment of fish scales waste; optimization enzymatically of the FPHs production from waste scales of lemuru fish using papain includes the incubation time and the quantity of papain; characterization includes proximate analysis, FTIR, and SDS-PAGE; and determination of FPHs antibacterial and antioxidant activities. The results showed that the optimum FPHs production at 90 min incubation time with 0.705 U papain produced FPHs as much as 21.43%, with the molecular weight achieved less than 37 kDa. The proximate analysis of the prepared FPHs showed moisture, protein, fat and ash content of 16.85, 36.52, 0.298 and 46.34%, respectively. FTIR results showed that identical hydroxyl, carbonyl, and amide functional groups indicated the presence of peptide bonds. These findings suggest the complete enzymatic hydrolysis, and at the same time the presence of the functional groups supporting the bioactivity potencies of the hydrolysates which are involved in antibacterial and antioxidant activities. Interestingly, FPHs from lemuru scales with a concentration of 10,000 ppm could inhibit the growth of Escherichia coli bacteria indicating clear zone as much as 5.62 ± 0.19 mm and Staphylococcus aureus bacteria was 7.50 ± 0.14 mm. The IC50 value for inhibiting DPPH free radical oxidation was 60.441 µg/mL for the FPHs of lemuru scales powder. Thus, in conclusion, the FPHs from the lemuru scales has the potential to be developed as a raw material for food protein with antibacterial and antioxidant activities.


Keywords: Antibacterial, Antioxidant, Biopeptide, Enzymatic bioprocess, Fish protein hydrolysate, Lemuru fish scales



Introduction

Production of FPHs become interguing and interesting important field has emerged as an important field of research due to their bioactivities and technological properties as food protein as functional food proteins. FPHs are rich in essential amino acids and bioactive peptides, making them potential ingredients for functional foods and dietary supplements [1,2]. Which contribute to health-promoting effects such as antioxidant, antihypertensive, and antimicrobial activities. These properties make FPHs promising candidates for use in nutraceuticals, dietary supplements, and value-added functional foods, providing both biological significance and economic benefits to the food and pharmaceutical industries [1-3].

FPHs can be produced via acid, alkaline, or enzymatic hydrolysis methods [3]. Enzymatic hydrolysis is the preferred method compared to acid and alkaline hydrolysis, due to the fact that it occurs under milder conditions, such as moderate temperature and pH, which results in no loss of amino acids. Furthermore, proteases operate with a high degree of specificity, thereby enabling greater precision in the control of the degree of peptide bond breaking. Some protease enzymes are easily inactivated after hydrolysis, for example by heating at 85 °C for 3 min [4]. Among these, enzymatic hydrolysis is generally preferred because it is conducted under mild conditions, thereby minimizing amino acid loss while allowing better control over peptide bond cleavage [4]. Previous studies have compared enzymatic hydrolysis with acid or autolysis methods, consistently showing that enzymatic approaches yield higher degrees of hydrolysis and improved amino acid availability compared to non-enzymatic methods [5]. This reinforces the advantages of enzymatic hydrolysis as a more efficient and reliable process.

Type and conditions of the enzymatic reaction including the incubation time influence the characteristics of the hydrolysis products. Different proteases, such as papain, pepsin, alcalase, neutrase, and trypsin, have been widely used for protein hydrolysis, with papain often reported to produce higher hydrolysis efficiency compared to other enzymes [6]. Papain has also long been used to prepare hydrolysates from fish proteins [6]. Another study discovered that papain enzyme was very good in producing protein hydrolysate of snakehead fish (Channa striata). The results showed that the degree of hydrolysis value with the addition of 5% papain enzyme was better than without enzyme [7]. The increase in the degree of hydrolysis is due to the presence of papain enzymes which help break down proteins into peptides or amino acids during protein hydrolysis. This proves that the addition of papain enzymes is better at producing hydrolyzed protein products. The incubation time also plays a significant role in the production of FPHs during the hydrolysis process. Furthermore, the optimum conditions for FPH production from yellow pike conger (Congresox talabon) using papain enzyme at 0.15% with a hydrolysis time of 4 h, resulting in a yield of 50.07% [8]. A study obtained the optimum conditions for enzymatic hydrolysis of eel protein with the addition of 0.49% papain enzyme for 9 h, resulting in a yield of 14.72% [9]. Several studies on different fish species, including milkfish and eel, have reported that hydrolysis conditions such as enzyme concentration and incubation time play a critical role in determining the yield and quality of FPHs [9-11].

Enzymes such as papain, bromelain, and alcalase have been widely used for protein hydrolysis. Among them, papain is particularly attractive because it is inexpensive, widely available, thermostable, and highly efficient in breaking down fish proteins into peptides with desirable functional properties [5,6,12]. Previous studies also reported that papain-produced hydrolysates tend to exhibit stronger bioactivities than those generated by other proteases, highlighting its relevance for industrial applications [7].

Lemuru (S. lemuru) is a high-value commodity in the Indonesian fishing industry. It is particularly rich in high-quality proteins, essential minerals, and vitamins. Notably, it contains cholesterol-reducing omega-3 fatty acids, as well as calcium, iron, and vitamins A, E, and K [13]. These nutritional properties make lemuru a valuable raw material for producing protein hydrolysates with promising functional and nutritional applications. It has been proven that the Bali Strait produces quite large catches of lemuru, that is 25,107.32 tonnes per year, with a permitted catch limit of 20,085.86 tonnes per year [14]. Regrettably, not all components of lemuru are effectively utilized. Notably, the scales, which are frequently discarded as waste, contain a significant protein content of approximately 27% that can be processed into FPHs.

This research aims to optimize the enzymatic production of protein hydrolysate from scales of lemuru by utilizing papain. Variations in enzyme concentration and hydrolysis incubation time will be investigated. Fourier transform infrared spectroscopy (FTIR), sodium dodecyl sulphate-polyacrylamide gel electrophoresis (SDS-PAGE), proximate analysis, as well as antibacterial and antioxidant activity test of FPHs were performed to study its characterization and the potentially as functional food. Importantly, evaluating the antibacterial and antioxidant properties of FPHs offers vital information about their ability to promote health and preserve food, making them useful indicators for the development of functional foods.

The hydrolysates were further characterized using proximate analysis, Fourier-transform infrared spectroscopy (FTIR), sodium dodecyl sulfate-polyacrylamide gel electrophoresis (SDS-PAGE), and bioactivity assays including antibacterial and antioxidant activity. The study provides scientific insights into the functional potential of fish scale-derived hydrolysates and supports their application as sustainable raw materials for food and nutraceutical industries.


Materials and methods

Materials

The lemuru fish scales used in this research were obtained from fish processing by-products from the lemuru fish canning industry of PT. Blambangan Foodpackers Indonesia (PT. BFPI) (Banyuwangi, East Java, Indonesia). The enzyme used in this study is sourced from dried papaya fruit latex, the chemicals with pro-analysis (p.a) used in this research: disodium hydrogen phosphate dihydrate (Na2HPO4.2H2O), sodium metabisulfite (Na2S2O5), sodium hydroxide (NaOH), trichloroacetic acid, Folin-Ciocalteu, tyrosine, casein, bovine serum albumin, sodium carbonate (Na2CO3), dimethyl sulfoxide (DMSO), and ethanol were purchased from Sigma-Aldrich Corp. (St. Louis, Mo., U.S.A.).


Lemuru scales pretreatment

The treatment of lemuru scales was conducted based on previous study [15]. First, the lemuru scales were cleaned. Then, it is immersed in a 0.1 M NaOH solution (1:10 w/v) and stirred continuously for 6 h to eliminate non-collagen proteins, replenishing the NaOH solution every 2 h. Afterward, the scales are washed with sterile distilled water at a neutral pH and then dried for 6 - 7 h in an oven at 70 °C. The dried scales then ground to a fine powder.


Isolation of papain crude extract

The papaya latex is derived from young papaya fruit through tapping [11]. The selected papaya fruit is typically about 2.5 - 3 months old, and tapping occurs in the early morning, around 6 a.m. because latex collected at this time is generally more abundant, contains higher enzyme activity, and is less affected by heat or sunlight that may cause partial denaturation of papain [16]. Using a knife, 1 - 2 mm incisions are made to collect the latex in a plastic container. Then, a 0.5% (w/w) ratio of sodium metabisulfite (Na2S2O5) is added. The collected latex is subsequently dried in an oven at 45 °C until a constant weight is attained. The dried papaya latex is dissolved in 0.1 M pH 7 phosphate buffer at a ratio of 1:10. After filtration through Whatman No. 1 filter paper, the resulting filtrate is centrifuged at 10,000 rpm for 30 min at a temperature of 4 °C. This process yields crude extract papain in the form of a supernatant. The protein content and protease activity of the diluted papain are then tested. Protein content was determined using the Lowry method [17].


Protease assay of papain

A set of steps was carried out to assess the protease activity of the papain [11]. Initially, 0.2 mL of the 1:1 diluted supernatant obtained from the crude papain extract was mixed with 0.5 mL of a 1% (w/v) casein substrate solution in a pH 7 phosphate buffer. The mixture was incubated at 37 °C for 20 min. One mL of a trichloroacetic acid (TCA) 10% was added to stop the reaction. The solution was then allowed to sit for 15 min at room temperature. Next, the solution was centrifuged at 10,000 rpm and a temperature of 4 °C for 10 min, separating the supernatant. Next, 2.5 mL of a Na2CO3 solution with a concentration of 0.4 M and 1 mL of Folin-Ciocalteu reagent in a 1:1 ratio was added to the supernatant. The mixture was homogenized, followed by an incubation period of 30 min in a dark room at room temperature. Subsequently, the solution’s absorbance was measured at a wavelength of λ = 660 nm to evaluate the protease activity of the crude extract of papain by utilizing Eq. (1).

where:

C = Tyrosine concentration (ppm)*.

V = Used volume after centrifugation (mL).

T = Incubation time (min).

Ve = Enzyme volume (mL).

Vc = Volume for measurements (mL).


*The free tyrosine concentration resulting from protease activity was calculated by extrapolating the absorbance values to the standard curve. A standard curve for tyrosine was established using the same method, with tyrosine concentrations ranging from 10 to 110 ppm.


Optimization of incubation time for FPHs extraction

Following the procedures outlined in previous study, experimentation was conducted by weighing 1 g of lemuru scales powder that had been treated with NaOH, then mixed with crude papain extract in 20 µL volume (equivalent to 0.291 U) and pH 7 phosphate buffer [11]. The resulting mixture was brought to a total volume of 8 mL and sealed with aluminum foil. The 1st incubation was carried out at room temperature for 3 h, after which a second incubation was performed at 75 °C for various durations of 30, 60, 90, and 120 min, and a final incubation was conducted at 90 °C for 5 min. The resulting mixture was filtered to collect the filtrate. The filtrate was subsequently oven-dried at 70 °C for 24 h. The resulting FPHs is in the form of powder from the pulverized dried filtrate. All experiments were performed in 3 independent runs. Data were analyzed using one-way analysis of variance (ANOVA) followed by Tukey’s post-hoc test at a significance level of p < 0.05 to determine statistical differences among treatments.


Optimization of enzyme amount for FPHs extraction

The method followed the previously outlined protocol for optimizing incubation time. Crude papain extract was introduced into the mixtures at varying quantities of 0.235, 0.471, 0.705, 0.941, and 1.175 U. After the designated incubation period, the mixtures were filtered to obtain the filtrate. The filtrate was subsequently oven-dried at 70 °C for 24 h. The resulting FPHs is in the form of powder from the pulverized dried filtrate. All experiments were performed in 3 independent runs. Data were analyzed using one-way analysis of variance (ANOVA) followed by Tukey’s post-hoc test at a significance level of p < 0.05 to determine statistical differences among treatments.


FPHs yield determination

The yield of FPHs was calculated based on the proportion of the dry weight of FPHs produced to the total lemuru waste scales used [18]. This calculation can be represented by Eq. (2).

Protein hydrolysate characterization

Characterizing protein hydrolysate from lemuru scales involves several key analyses, including FTIR, proximate, and SDS-PAGE analyses. FTIR analysis was conducted at the Laboratory of Minerals and Advanced Materials (Central Laboratory), State University of Malang, Indonesia. Proximate analysis, which includes determination of protein content using SNI 01 2354.2006 method, fat content using SNI 01-2354.3-2006 method, and moisture content using SNI 2354.2-2015 method, was performed at the Integrated Laboratory Facility of Diponegoro University, Semarang, Indonesia. The molecular weight was determined by using SDS-PAGE (Sodium Dodecyl Sulfate Polyacrylamide Gel Electrophoresis).


Antibacterial activity test using the disc diffusion method

Antibacterial activity testing was conducted according to previous study [19]. In this antibacterial activity test, each of the 2 bacteria (S. aureus and E. coli) was inoculated into sterile nutrient broth media, incubated at 37 °C for 24 h until the optical density reached 0.6, then spread evenly using a cotton bud. The positive control (30 µg chloramphenicol) was placed in nutrient agar that had previously been inoculated with bacteria. After applying protein hydrolysate samples at concentrations of 10,000; 1,000; and 100 ppm; the Petri dishes were incubated at 37 °C for 48 h. The diameter of the inhibition zone surrounding the disk was then measured. Each treatment was conducted in 3 independent experimental runs.


Antioxidant activity test using DPPH method

Antioxidant activity testing was performed based on previous study with modifications, involved measuring the absorbance of a 0.1 mM DPPH solution at 400 - 700 nm to determine the maximum wavelength [20]. Subsequently, 1 mL each of samples with concentrations of 100, 80, 60, 40, 20, and 0 ppm were placed into aluminum foil-wrapped bottles, followed by the addition of 1 mL of 0.1 mM DPPH solution. Each sample was then incubated for 30 min. After incubation, the absorbance was measured at a wavelength of 517 nm, and the resulting data were used to calculate the IC50 value.


Results and discussion

Results

Optimal incubation time for enzymatic FPHs production from lemuru scales using papain

In this study, incubation time optimization was carried out to achieve maximum FPHs yield from lemuru fish scales powder at temperature of 75 °C. The results reveal that as the incubation time increases, the yield of FPHs produced also increases, as shown in Figure 1. Preliminary assumption tests confirmed that the data met the criteria of normality and homogeneity of variance (Shapiro-Wilk and Levene, p > 0.05), allowing for further ANOVA analysis. One-way ANOVA revealed that incubation time had a significant effect on yield (F = 28.23; p < 0.001), with a model contribution of 91.87% (R²). The highest mean yield was obtained at 90 min of incubation (13.64 ± 0.33%), which differed significantly from 30 min (p < 0.05), but was not significantly different from 120 and 150 min. An increase in hydrolysate production was observed within the incubation time of 30 - 90 min. This happens due to the hydrolysis of more peptide bonds into short peptides or amino acids by papain enzymes as the incubation time increases. Papain enzymes optimally hydrolyze peptide bonds in 90 min, resulting in the production of more protein hydrolysates. The papain enzyme remains active for 90 - 150 min since 75 °C is the ideal temperature for its activity. This temperature promotes hydrolysis of peptide bonds and facilitates the breakdown of bonds in the protein hydrolysate, resulting in its dissolution. As a result, the quantity of protein hydrolysate produced during incubation at this time is reduced. This suggests that a shorter incubation time leads to incomplete enzymatic reactions, whereas prolonged incubation does not further enhance yield, likely due to substrate saturation or partial enzyme deactivation.



Figure 1 Results of incubation time optimization on lemuru fish (S. lemuru) scales powder.


Optimal enzyme quantity for enzymatic FPHs production from lemuru scales using papain

Enzyme concentration also significantly affected yield (F = 13.55; p < 0.001) with an R² of 84.42%. The treatment with 0.705 U enzyme produced the highest yield (21.43 ± 0.72%), significantly higher than 0.235 U (p < 0.05), but not significantly different from 0.471 U. This pattern indicates an optimal enzyme dosage, where initial increases enhance yield, but further addition (≥0.941 U) does not provide additional benefits, possibly due to substrate limitation or product inhibition as shown in Figure 2.


Figure 2 Result of enzyme amount optimization on lemuru scales powder.


In Figure 2, the optimal enzyme amount of 30 µL (0,705 U) resulted in the highest FPHs yield at 21.43%. Incrementally increasing the amount of enzyme to 10 µL (0.235 U), 20 µL (0.471 U), and 30 µL (0.705 U) led to a corresponding increase in the production of protein hydrolysates. As the number of enzymes increases, more peptide bonds are hydrolyzed into short peptides or amino acids, resulting in a greater yield of protein hydrolysates. At 30 µL, the optimal amount of enzyme for hydrolyzing peptide bonds in fish scales powder was found. This is believed to be due to favorable working conditions with heating at the ideal temperature of 75 °C, leading to optimal formation of protein hydrolysates. However, protein hydrolysate production decreased at enzyme amounts of 40 µL (0.941 U) and 50 µL (1.175 U). The excessive presence of papain enzymes is believed to negatively impact the formation of protein hydrolysates. A study has shown that enzymes typically act on a specific substrate, meaning that when the substrate is limited and the enzyme is abundant, enzymatic activity ceases once the substrate is depleted. This limitation results in suboptimal enzyme efficiency, significantly reducing protein hydrolysate yield [21].


Proximate analysis of FPHs from lemuru scales

Table 1 shows the results of measuring the proximate analysis of FPHs including moisture, protein and fat content of 16.85, 36.52 and 0.298%, respectively.


Table 1 Chemical composition of FPHs from lemuru scales powder.

No.

Parameter

Amount (% b/b)

1

Moisture content

16.84

2

Protein content

36.52

3

4

Fat content

Ash content

0.30

46.34


Moisture content was tested as it significantly impacts the material’s shelf life. Higher moisture content leads to lower shelf life of the FPHs produced. The protein content indicates the amount of protein present in the food ingredients. Lemuru scales powder’s hydrolyzed protein has low fat content. FPHs with low fat content typically exhibit greater stability against fat oxidation reactions that FPHs with high fat content [22]. FPHs produced from lemuru fish scales showed a high ash content of 46.34%, it is suspected that FPHs contain high minerals because mineral separation was not carried out before deproteination. Minerals contained in FPHs when tested for ash content will not disappear, but become ash, thus increasing the amount of ash. The high ash content may be an opportunity to contain high minerals the human body needs [23].


FPHs function group analysis using FTIR

The protein hydrolysates derived from lemuru scales powder displays functional group traits similar to gelatin. Gelatin possesses carbonyl, amine, and hydroxyl functional groups, which are important in the protein structure. Figure 3 displays the FTIR results of protein hydrolysates obtained from lemuru scales powder (B) compared to the FTIR of gelatin (A). As illustrated in Figure 3, the analyzed sample exhibits spectral absorption at approximately 3543 cm–1. This absorption peak is believed to arise from the presence of N-H stretch bonds from amide groups associated with hydrogen bonds and OH groups [24]. Another absorption peak appears in the spectra at around 1642 cm–1. It is reported that the absorption observed at wave numbers 1656 - 1535 cm–1 is attributed to the double bond strain in the C=O carbonyl group, bending the NH bond, and the CN strain [25].


Figure 3 FTIR spectrum of gelatin (A) and FTIR spectrum results of FPHs from lemuru scales powder (B).

Furthermore, the molecules absorbed in this region indicate the presence of secondary protein structures. It is suggested that the absorption spectra at wave numbers 1700 - 1600 cm–1 are the most significant parameters for analyzing protein structures [26]. The absorption curve next appears at wave numbers approximately 1029 cm–1, which indicates the C-O group. Collagen, a protein with a triple helix structure, still indicates a small portion of it [24]. FTIR analysis confirmed that the compound was a protein hydrolysate by comparing its spectrum results with other proteins, including gelatin.


Molecular weight analysis using SDS-PAGE

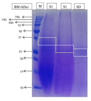
Molecular weight was determined using the SDS-PAGE (Sodium dodecyl sulphate polyacrylamide gel electrophoresis). To achieve this, 0.1 g of protein hydrolysates was dissolved in 1 mL of 0.1 M phosphate buffer pH 7. It should be noted that samples with S1 code are FPHs samples from scales powder that have not been dialyzed, while samples with SD code are FPHs samples from scales powder that have already been dialyzed. The samples were then analyzed by SDS-PAGE using a 15% separating gel and a 4% stacking gel. The SDS-PAGE results are shown in Figure 4.


Figure 4 SDS-PAGE results of FPHs from lemuru scales.


FPHs electrophoresis results detected a polished, narrow protein band measuring below 37 kDa. The molecular weight of the marker was calculated by measuring the distance from the starting point on the separating gel and plotting it against the logarithm of the molecular weight of the marker. This method provided the molecular weight value for FPHs, shown in Figure 5.

The molecular weight of FPHs identified through sample codes S1A, S1B, and SD extracted from Lemuru ranges from 25.87 - 26.56 kDa, implying the presence of a protein with a small size. A study demonstrated the effective use of papain enzymes in breaking down complex protein peptide bonds in catfish bones [27]. The resulting protein hydrolysates were found to have molecular weights ranging from 11.90 - 65.20 kDa, indicating the synthesis of short peptides and amino acids with low molecular weight.


Figure 5 SDS-PAGE curve of molecular weight calculation of FPHs from lemuru scales.


Antibacterial activity test

The diffusion method was utilized to conduct the antibacterial activity test of FPHs against E. coli and S. aureus bacteria. A clear zone of inhibition surrounding the disc characterizes antibacterial activity. Table 2 demonstrated inhibition zone diameter (mm) of antibacterial activity test results on E. coli and S. aureus bacteria.


Table 2 Antibacterial activity test results on E. coli and S. aureus test bacteria.

No.

Sample concentration (ppm)

Inhibition zone diameter (mm)

E. coli

S. aureus

1

Control (+)

27.22 ± 0.17

23.43 ± 0.12

2

10,000

5.62 ± 0.19

7.50 ± 0.14

3

1,000

4.38 ± 0.33

5.16 ± 0.19

4

100

2.06 ± 0.75

1.64 ± 0.15


Table 2 presence inhibition zone diameter (mm) of antibacterial activity test results on E. coli and S. aureus bacteria. The findings from the antibacterial activity testing indicate that the concentration of protein hydrolysates significantly influences the extent of the inhibition zone; the higher the concentration employed, the broader the inhibition zone becomes. This finding is consistent with previous study that the potency of antibacterial activity increases with higher concentrations of antibacterial materials. To greater extent, the antibacterial test shows 3 different levels of inhibition zone formation: Weak (0 - 3 mm), medium (3 - 6 mm), and strong (>6 mm) [14]. The antibacterial activity of the protein hydrolysate in this study is still weaker than that of the sardine protein hydrolysate [28], which exhibited an inhibition zone against E. coli measuring 16.0 ± 1.0 mm with a FPHs concentration of 200,000 ppm.


Antioxidant activity test

The antioxidant activity test was conducted in this study using the DPPH method. This method is known as a valid, accurate, simple, and economical technique for assessing the ability of a compound to act as a free radical scavenger or hydrogen donor. In addition, this method can be applied to measure antioxidant activity in complex biological systems, both in solid and liquid samples [29]. The yielded results in the form of percentage inhibition and IC50 value. A smaller IC50 value indicates higher antioxidant activity [30]. Results are shown in Figure 6.


Figure 6 Concentration relationship of FPHs lemuru scales powder with % inhibition.


The findings presented in Figure 6 illustrates that at a concentration of 100 ppm, the percent inhibition is at its peak with a value of 65.871%. The greater the sample concentration added, the higher the resultant inhibition. These outcomes align with another study which state that with an increasing concentration of extract the percentage of inhibition (% inhibition) of free radical activity increases [31]. Additionally, an IC50 value of 60.44 µg/mL was determined through this analysis. The obtained IC50 value falls into the category of strong antioxidant activity as it exceeds 50 ppm. Previous research revealed that peptides with a molecular weight greater than 30 kDa displayed an IC50 value of 84.15 ± 0.01 µg/mL [32]. Another study demonstrated that peptide molecular weight directly impacts antioxidant activity, indicating that lower molecular weight fractions possess higher antioxidant activity [33].


Discussion

The optimal condition to achieve the highest FPHs yield in this study was a hydrolysis time of 90 min at 75 °C using 0.705 U papain, which resulted in a yield of 21.43%. In terms of yield, the result of this study (21.43%) is notably higher compared to the 11.41% yield reported by Wijayanti et al. [10] for milkfish meat protein hydrolysate using bromelain. We suggested that the increased yield in the present study can be attributed to multiple factors, including the use of lemuru as the raw material, which may contain more accessible or hydrolysis-prone proteins, and the application of papain, a broad-spectrum protease known for its effectiveness in hydrolyzing fish proteins. Moreover, the hydrolysis conditions used in this study, particularly the optimized temperature and enzyme concentration, may have further enhanced protein breakdown efficiency, leading to optimum yield. Similar to the previous study, several key factors that could promote the FPHs yield include the nature and pretreatment of materials, enzyme types and concentration, pH condition, or hydrolysis time and temperature [34-37].

Although the yield obtained in this study was lower than that reported for yellow pike conger (50.07%) and milkfish scales (45.70%) [8,11], it is important to consider the differences in raw material properties. Fish scales possess a highly collagenous and mineral-dense matrix compared to softer tissues, which requires more rigorous hydrolysis conditions to release proteins effectively [38-39]. Despite this, the results highlight lemuru scales as a valuable and underutilized source of bioactive protein hydrolysates. FPHs are increasingly recognized as value-added products due to their improved digestibility, bioavailability, and functional properties after hydrolysis. These small peptides and amino acids enhance nutrient absorption and exhibit diverse bioactivities [40]. Importantly, utilizing lemuru scales aligns with the principles of sustainable seafood processing by valorizing a low-cost by-product and reducing environmental waste.

An increase in hydrolysates production was observed in the incubation period of 30 - 90 min. This increase was due to the papain enzyme hydrolyzing more collagen peptide bonds into biopeptides as the incubation time increased. Optimal hydrolysis by papain occurs at 90 min, leading to increased production of protein hydrolysates. The papain enzyme remains active between 90 to 150 min at 75 °C, its ideal temperature range. This temperature promotes the hydrolysis of peptide bonds and facilitates the breaking of bonds within the protein hydrolysates into amino acids, thus aiding their solubilization. As a result, the amount of protein hydrolysate produced decreased as the incubation time exceeded the optimal period. Although a greater yield is advantageous, it is equally essential for assessing the bioactivity of the produced peptides. Prior research indicates that peptides with a molecular weight under 3 kDa exhibit enhanced antioxidant capabilities, but excessively hydrolyzed peptides may compromise their functional integrity. This underscores the necessity of meticulously regulating incubation duration and temperature throughout hydrolysis [41].

The antibacterial activity of FPHs produced in this study showed that the inhibition zone area was strongly influenced by the concentration of protein hydrolysate used. The higher the concentration, the wider the inhibition zone. Consistent with this, a study demonstrated that FPH contains antibacterial peptides capable of inhibiting both Gram-positive and Gram-negative bacteria in a concentration-dependent manner [42]. However, in the present study, we demonstrated the antibacterial activity of FPHs is still weaker than the sardine protein hydrolysates reported by Jemil et al. [28], which showed an inhibition zone against E. coli of 16.0 ± 1.0 mm with a FPHs concentration of 200,000 ppm. The zone of inhibition of FPHs in this study was at a moderate to strong level depending on the concentration, thus still showing potential as an antibacterial bioactive ingredient, although it needs to be further optimized. Importantly, as previously noted, the yield and properties of the resulting products can be influenced by several factors, including the type of enzyme used, hydrolysis conditions, peptide size, and the extent of purification which then could determine the antibacterial activities [38,40,41]. Antimicrobial peptides primarily disrupt bacterial membranes through different models such as pore formation (toroidal, barrel-stave), membrane covering (carpet model), or aggregate complexes with lipids. At sufficient concentrations, these mechanisms increase membrane permeability and cause cell lysis. In addition, some peptides act on intracellular targets by inhibiting DNA/RNA or protein synthesis, disrupting essential enzymes, or blocking cell wall formation [43].

From an application standpoint, the antibacterial activity of FPHs underscores their potential in food preservation. By reducing foodborne pathogens, they may extend shelf-life and improve food safety. Incorporating FPHs into food matrices could be a natural preservative, reducing dependence on synthetic additives. Although their activity is moderate, combining FPHs with other preservation strategies such as refrigeration or vacuum packaging could create a synergistic effect.

In addition, the antioxidant activity of FPHs from lemuru scales was promising, with a maximum inhibition of 65.87% at 100 ppm and an IC₅₀ of 60.44 µg/mL, which falls into the strong antioxidant activity category. This activity is consistent with SDS-PAGE results showing molecular weights below 37 kDa, since lower molecular weight peptides generally exhibit stronger antioxidant potential [32,33]. Such antioxidant activity is highly relevant for functional foods, as it contributes to health-promoting effects and may enhance oxidative stability in food systems.

This study has some limitations that should be acknowledged. First, the degree of hydrolysis (DH), a key parameter to characterize the extent of protein breakdown, was not determined and should be included in future research for more comprehensive insights. Second, the antibacterial activity, although measurable, was relatively moderate, and only 2 bacterial strains were tested. Broader microbial screening and peptide purification would provide deeper understanding of functional potential. Third, the study was conducted at laboratory scale, and scalability under industrial conditions remains to be validated.

From an economic perspective, using lemuru scales, often discarded as waste, provides a low-cost and sustainable raw material. The use of papain, an inexpensive and widely available protease, further supports feasibility. However, downstream processes such as drying, purification, and characterization may add significant costs. Improving economic viability will require optimization of processing steps, integration with existing fish-processing industries, and valorization of mineral-rich residues to achieve a zero-waste approach. If successfully scaled, FPHs from lemuru could deliver both biological significance and economic benefits, contributing to functional food development and supporting circular economy principles.

The antioxidant activity of FPHs from lemuru scales showed promising results. At a concentration of 100 ppm, the percent inhibition was at its peak with a value of 65.871%, which is higher than the results of Nurilmala et al. [33], who reported an IC50 value of 84.15 ± 0.01 µg/mL for peptides with molecular weights greater than 30 kDa. The IC50 value obtained in this study was 60.441 µg/mL, falling into the category of strong antioxidant activity. Previous studies have also shown that peptides’ molecular weight directly influences antioxidant activity, where peptides with lower molecular weight have higher activity. This result is consistent with the SDS-PAGE analysis in this study, which showed the molecular weight of the peptide was below 37 kDa. Additionally, a study demonstrated that factors such as the hydrolysis enzyme type, reaction time optimization, and pH conditions significantly influence the antioxidant properties of sardine-derived protein hydrolysates. For example, hydrolysates produced using enzyme preparations from Bacillus mojavensis A21 (SPHA21) achieved optimal DPPH radical scavenging activity of up to 89% at a concentration of 6 mg/mL, outperforming those produced with other enzymes [44].

Beyond the primary focus on FPH extraction, the generated residual fish scales represent a valuable secondary resource. Owing to their high mineral and organic content, these residues can be repurposed into sustainable materials for environmental applications, particularly wastewater treatment. Previous studies have shown that biomass-derived adsorbents and bio-coagulants effectively remove heavy metals and turbidity, offering cost-effective, eco-friendly alternatives that align with Sustainable Development Goals (SDGs). Bio-coagulants/flocculants of plant origin, such as extracts from Austrocylindropuntia subulata, have been optimized as natural alternatives to conventional chemical coagulants, significantly reducing environmental risks. Comparable efficiency has been observed for bio-coagulants extracted from Opuntia ficus-indica, where post-harvest storage directly influences flocculation capacity, highlighting the importance of preservation conditions for product stability and efficacy. Finally, a recent mini-review on cactus powder as a bio-flocculant further emphasized its biodegradability, non-toxicity, low cost, and high effectiveness in turbidity and contaminant removal from water systems. Moreover, simple thermal or chemical treatments can convert such residues into activated carbon or biochar with good recyclability and regeneration potential, reinforcing circular economy principles. These insights suggest that the residual scales from FPH production could be further valorized, enhancing the process’s sustainability and economic feasibility [45-51].


Conclusions

The optimum FPHs production at 90 min incubation time with 0.705 U papain produced FPHs as much as 21.43%. SDS-PAGE analysis indicated a molecular weight of less than 37 kDa. The proximate analysis of the prepared FPHs showed moisture, protein, and fat content of 16.85, 36.52 and 0.298%, respectively. The functional group analysis using FTIR demonstrated the presence of peptide bonds, with identical hydroxyl and amide functional groups. FPHs from lemuru scales with a concentration of 10,000 ppm could inhibit the growth of E. coli bacteria indicating clear zone as much as 5.62 ± 0.1 mm and S. aureus bacteria was 7.50 ± 0.14 mm. The IC50 value required to inhibit DPPH free radical oxidation was measured at 60.441 µg/mL. These findings highlight lemuru scales as an underutilized but valuable raw material for developing bioactive hydrolysates with potential applications in functional foods and natural preservatives. While the results are encouraging, several limitations remain, including the absence of degree of hydrolysis measurements, limited antibacterial testing, and laboratory-scale constraints. Future research should address these aspects while also considering economic feasibility and process scalability. The valorization of lemuru scales supports the production of functional food ingredients and contributes to sustainable seafood processing and circular economy practices.


Acknowledgements

This work was financially supported by State University of Malang, Universitas Sebelas Maret, Universitas Negeri Surabaya and National Research and Innovation Agency through Riset Kolaborasi Indonesia (RKI) 2023 with Contract No. 11.5.20/UN32.20/LT/2023.


Declaration of Generative AI in Scientific Writing

Generative AI tools were not used in this article.


CRediT Author Statement

Evi Susanti: Conceptualization; Methodology; Validation; Supervision; Writing - Original draft preparation. Jannatul Firdaus: Investigation; Data curation; Visualization; Methodology; Software; Writing - Original draft preparation. Safriza Lailatul Hikmah: Investigation; Data curation; Visualization; Methodology; Software; Writing - Original draft preparation. Norazlinaliza Salim: Validation; Writing - Reviewing and Editing. Nuniek Herdyastuti: Methodology; Software; Writing - Original draft preparation. Elisa Herawati: Methodology; Supervision; Validation; Writing - Reviewing and Editing. Noer Laily: Methodology; Supervision; Validation; Writing - Reviewing and Editing. Fatim Illaningtyas: Methodology; Validation; Writing - Reviewing and Editing. Muh. Ade Artasasta: Methodology; Software; Writing - Original draft preparation. Wira Eka Putra: Validation; Writing - Reviewing and Editing.

References

  1. Y Dinakarkumar, S Krishnamoorthy, G Margavelu, G Ramakrishnan and M Chandran. Production and characterization of fish protein hydrolysate: Effective utilization of trawl by-catch. Food Chemistry Advances 2022; 1, 100138.

  2. A Honrado, M Miguel, P Ardila, JA Beltrán and JB Calanche. From waste to value: Fish protein hydrolysates as a technological and functional ingredient in human nutrition. Foods 2024; 13(19), 3120.

  3. A Das, Y Nayak and S Dash. Fish protein hydrolysate production, treatment methods and current potential uses: A review. International Journal of Fisheries and Aquatic Studies 2021; 9(2), 195-200.

  4. Y Hou, Z Wu, Z Dai, G Wang and G Wu. Protein hydrolysates in animal nutrition: Industrial production, bioactive peptides, and functional significance. Journal of Animal Science and Biotechnology 2017; 8, 24.

  5. H Domínguez, B Iñarra, J Labidi, D Mendiola and C Bald. Comparison of amino acid release between enzymatic hydrolysis and acid autolysis of rainbow trout viscera. Heliyon 2024; 10(5), e27030.

  6. JM Kim and KY Yoon. Functional properties and biological activities of perilla seed meal protein hydrolysates obtained by using different proteolytic enzymes. Food Science and Biotechnology 2020; 29(11), 1553-1562.

  7. H Hariyati, M Mahendradatta, AB Tawali and J Langkong. Enzymatic hydrolysis of proteins from snakehead-fish (Channa striata). In: Proceedings of the 1st International Scientific Meeting on Engineering and its Vocational Education, Makassar, Indonesia. 2020, p. 12015.

  8. R Karnila, Dewita, D Ilham and SW Sidauruk. Utilization of papain enzymes in the production of protein hydrolysates of yellow pike conger (Congresox talabon). AACL Bioflux 2020; 13(3), 1285-1291.

  9. S Priatni, K Harimadi, E Buana, W Kosasih and R Rohmatussolihat. Production and characterization of spray-dried swamp eel (Monopterus albus) protein hydrolysate prepared by papain. Sains Malaysiana 2020; 49(3), 545-552.

  10. I Wijayanti, Romadhon and L Rianingsih. Karakteristik hidrolisat protein ikan bandeng (Chanos chanos Forsk) dengan konsentrasi enzim bromelin yang berbeda (in Indonesian). Indonesian Journal of Fisheries Science and Technology 2016; 11(2), 129-133.

  11. E Susanti, GA Wulansari, NA Arief and N Salim. Optimization and characterization of fish protein hydrolysate (FPH) from milkfish scales (Chanos chanos Forsskal) using papain enzyme. Journal of Bioprocessing and Biomass Technology 2023; 2(2), 55-62.

  12. VG Tacias-Pascacio, D Castañeda-Valbuena, R Morellon-Sterling, O Tavano, Á Berenguer-Murcia, G Vela-Gutiérrez, IA Rather and R Fernandez-Lafuente. Bioactive peptides from fisheries residues: A review of use of papain in proteolysis reactions. International Journal of Biological Macromolecules 2021; 184, 415-428.

  13. H Mahrus, A Syukur and L Zulkifli. Lemuru fish (Sardinella lemuru), rich in nutrients, has the potential as a medicine and health product: Review. AIP Conference Proceedings 2023; 2956, 040005.

  14. RP Aditia, D Desniar and W Trilaksani. Aktivitas antioksidan dan antibakteri hidrolisat protein hasil fermentasi telur ikan cakalang (in Indonesian). Jurnal Pengolahan Hasil Perikanan Indonesia 2018; 21(1), 1-12.

  15. D Liu, G Wei, T Li, J Hu, N Lu, JM Regenstein and P Zhou. Effects of alkaline pretreatments and acid extraction conditions on the acid-soluble collagen from grass carp (Ctenopharyngodon idella) skin. Food Chemistry 2015; 172, 836-843.

  16. D Ulfah, GAR Thamrin and TW Natanael. Pengaruh waktu penyadapan dan umur tanaman karet terhadap produksi getah (Lateks) (in Indonesian). Jurnal Hutan Tropis 2015; 3(3), 247-252.

  17. OH Lowry. Micromethods for the assay of enzymes. Methods in Enzymology 1957; 4, 366-381.

  18. J Jelita, B Wirjosentono, T Tamrin and L Marpaung. Characterization of gelatin from scapula (Os scapula) from Aceh cattle. AIP Conference Proceedings 2018; 2049, 20072.

  19. LS Nurhayati, N Yahdiyani and A Hidayatulloh. Perbandingan pengujian aktivitas antibakteri starter yogurt dengan metode difusi sumuran dan metode difusi cakram (in Indonesian). Jurnal Teknologi Hasil Peternakan 2020; 1(2), 41-46.

  20. S Baliyan, R Mukherjee, A Priyadarshini, A Vibhuti, A Gupta, RP Pandey and CM Chang. Determination of antioxidants by DPPH radical scavenging activity and quantitative phytochemical analysis of Ficus religiosa. Molecules 2022; 27(4), 1326.

  21. MH Pulungan, MM Kamilia and IA Dewi. Optimasi konsentrasi enzim papain dan suhu pemanasan pada pembuatan dangke dengan response surface method (RSM) (in Indonesian). Jurnal Teknologi Pertanian 2020; 21(1), 57-68.

  22. E Salamah, T Nurhayati and IR Widadi. Pembuatan dan karakterisasi hidrolisat protein dari ikan lele dumbo (Clarias gariepinus) menggunakan enzim papain (in Indonesian). Jurnal Pengolahan Hasil Perikanan Indonesia 2012; 15(1), 9-16.

  23. B Nurhidayah, E Soekendarsi and AE Erviani. Kandungan kolagen sisik ikan bandeng (Chanos-chanos) dan sisik ikan nila (Oreochromis niloticus) (in Indonesian). Bioma: Jurnal Biologi Makassar 2019; 4(1), 39-47.

  24. S Maryam, N Effendi and Kasmah. Produksi dan karakterisasi gelatin dari limbah tulang ayam dengan menggunakan spektrofotometer FTIR (Fourier Transform Infra Red) (in Indonesian). Majalah Farmaseutik 2019; 15(2), 96-104.

  25. V Niraputri, Romadhon and S Suharto. Pengaruh lama perendaman asam klorida terhadap kekuatan gel gelatin teripang hitam (Holothuria leucospilota) (in Indonesian). PENA Akuatika 2021; 20(1), 17-31.

  26. GS Al-Saidi, A Al-Alawi, MS Rahman and N Guizani. Fourier transform infrared (FTIR) spectroscopic study of extracted gelatin from shaari (Lithrinus microdon) skin: Effects of extraction conditions. International Food Research Journal 2012; 19(3), 1167-1173.

  27. A Baehaki, SD Lestari and AR Romadhoni. Hidrolisis protein ikan patin menggunakan enzim papain dan aktivitas antioksidan hidrolisatnya (in Indonesian). Pengolahan Hasil Perikanan Indonesia 2015; 18(3), 230-239.

  28. I Jemil, M Jridi, R Nasri, N Ktari, RBSB Salem, M Mehiri, M Hajji and M Nasri. Functional, antioxidant and antibacterial properties of protein hydrolysates prepared from fish meat fermented by Bacillus subtilis A26. Process Biochemistry 2014; 49(6), 963-972.

  29. SB Kedare and RP Singh. Genesis and development of DPPH method of antioxidant assay. Journal of Food Science and Technology 2011; 48(4), 412-422.

  30. T Taslim and BW Efrianti. Uji daya larut kalsium oksalat dalam infus daun alpukat (in Indonesian). Jurnal Akademi Farmasi Prayoga 2016; 1(1), 19-28.

  31. N Nurjanah, T Nurhayati, A Latifah and T Hidayat. Aktivitas antioksidan dan komponen bioaktif hidrolisat protein jeroan ikan kakap putih (Lates calcalifer) (in Indonesian). Indonesian Journal of Industrial Research 2021; 38(1), 70-78.

  32. M Nurilmala, HH Hizbullah, E Karnia, E Kusumaningtyas and Y Ochiai. Characterization and antioxidant activity of collagen, gelatin, and the derived peptides from yellowfin tuna (Thunnus albacares) skin. Marine Drugs 2020; 18(2), 98.

  33. N Azizah, Y Ochiai and M Nurilmala. Collagen peptides from Pangasius fish skin as antioxidants. In: Proceedings of the 4th EMBRIO International Symposium and the 7th International Symposium of East Asia Fisheries and Technologists Association, Bogor, Indonesia. 2019, p. 12055.

  34. M Nemati, SR Shahosseini and P Ariaii. Review of fish protein hydrolysates: Production methods, antioxidant and antimicrobial activity and nanoencapsulation. Food Science and Biotechnology 2024; 33(8), 1789-1803.

  35. L Liu, Y Wang, C Peng and J Wang. Optimization of the preparation of fish protein anti-obesity hydrolysates using response surface methodology. International Journal of Molecular Sciences 2013; 14(2), 3124-3139.

  36. BSB Utomo, TD Suryanigrum and HR Harianto. Optimization of enzymatic hydrolysis of fish protein hydrolysate (FPH) processing from waste of catfish fillet production. Squalen Bulletin of Marine and Fisheries Postharvest and Biotechnology 2014; 9(3), 115-126.

  37. JA Vázquez, I Rodríguez-Amado, CG Sotelo, N Sanz, RI Pérez-Martín and J Valcárcel. Production, characterization, and bioactivity of fish protein hydrolysates from aquaculture turbot (Scophthalmus maximus) wastes. Biomolecules 2020; 10(2), 310.

  38. JM Joy, A Padmaprakashan, A Pradeep, PT Paul, RJ Mannuthy and S Mathew. A review on fish skin-derived gelatin: Elucidating the gelatin peptides-preparation, bioactivity, mechanistic insights, and strategies for stability improvement. Foods 2024; 13(17), 2793.

  39. P Kittiphattanabawon, S Benjakul, W Visessanguan and F Shahidi. Comparative study on the characteristics of gelatin from the skins of brownbanded bamboo shark and blacktip shark as affected by extraction conditions. Food Hydrocolloids 2010; 24(2-3), 164-171.

  40. TFM Moreira, OH Gonçalves, FV Leimann and RP Ribeiro. Fish protein hydrolysates: Bioactive properties, encapsulation and new technologies for enhancing peptides bioavailability. Current Pharmaceutical Design 2023; 29(11), 824-836.

  41. X Liu, Q Hu, Y Shen, Y Wu, L Gao, X Xu and G Hao. Research progress on antioxidant peptides from fish by-products: Purification, identification, and structure-activity relationship. Metabolites 2024; 14(10), 561.

  42. N Baco, SNH Oslan, R Shapawi, RAM Mohhtar, WNM Noordin and N Huda. Antibacterial activity of functional bioactive peptides derived from fish protein hydrolysate. In: Proceedings of the 3rd International Conference on Integrated Coastal Management and Marine Biotechnology, Bogor, Indonesia. 2021, p. 12019.

  43. H Jenssen, P Hamill and REW Hancock. Peptide antimicrobial agents. Clinical Microbiology Reviews 2006; 19(3), 491-511.

  44. HB Khaled, N Ktari, O Ghorbel-Bellaaj, M Jridi, I Lassoued and M Nasri. Composition, functional properties and in vitro antioxidant activity of protein hydrolysates prepared from sardinelle (Sardinella aurita) muscle. Journal of Food Science and Technology 2014; 51(4), 622-633.

  45. S Meftah, K Meftah, M Drissi, I Radah, K Malous, A Amahrous, A Chahid, T Tamri, A Rayyad, B Darkaoul, S Hanine, O El-Hassan and L Bouyazza. Heavy metal polluted water: Effects and sustainable treatment solutions using bio-adsorbents aligned with the SDGs. Discover Sustainability 2025; 6(1), 137.

  46. S Meftah, K Meftah, H Lamkhanter, T Mehdi, A Amahrouss, F Assadid, OE Hassan and L Bouyazza. The main types of derivatives of plant matter and agricultural waste used as bio-adsorbents for the removal of heavy metals and dyes: A review. Egyptian Journal of Chemistry 2024; 67(9), 185-207.

  47. K Meftah, S Meftah, H lamkhanter, T Bouzid, Y Rezzak, S Touil and A Abid. Extraction and optimization of Austrocylindropuntia subulata powder as a novel green coagulant. Desalination and Water Treatment 2024; 318, 100339.

  48. K Meftah, S Meftah, H lamkhanter, S Touil and A Abid. Study of Methylene Blue dye adsorption onto biochar derived from Austrocylindropuntia subulata plant. In: Proceedings of the 2nd Environment and Natural Resources: Challenges and Solutions, Khénifra, Morocco. 2024, p. 12006.

  49. K Meftah, S Meftah, I Ballou, I Hamzaoui, J Fatihi, O Kharifi, H Lamkhanter, S Touil and A Abid. Storage post-harvest of Opuntia ficus-indica and its impact on the efficiency of bio-coagulants/flocculants extracted. Water and Environment Journal 2025; 39(2), 245-255.

  50. S Meftah, K Meftah, OE Hassan and L Bouyazza. Eco-friendly adsorbents for the removal of heavy metals. Materials Internationals 2025; 7(1), 8.

  51. K Meftah, S Meftah, H lamkhanter, I Hamzaoui, S Touil and A Abid. Green flocculant performance for wastewater treatment using cactus plant powder: A mini-review. Journal of Analytical Science and Applied Biotechnology 2023; 5(1), 29-34.