Start Bootstrap Logo

Trends Sci. 2026; 23(3): 11645

Rapid On-Site Detection of Hepatitis A and Norovirus in Fresh Food Using Duplex RT-RPA and Lateral Flow Assay


Uraiwan Intamaso1,*, Palatip Chutoam1, Sani Jirasatid2,

Nisakorn Wiwekwin3, Kween Saimuang4, Sakaorat Lertjuthaporn4,

Marisa Kaewdum4 and Kulachart Jangpatarapongsa4


1Faculty of Allied Health Sciences, Burapha University, Chonburi 20131, Thailand

2Faculty of Food Science, Burapha University, Chonburi 20131, Thailand

3Saensuk Municipality, Chonburi 20130, Thailand

4Center for Research Innovation and Biomedical Informatics, Faculty of Medical Technology, Mahidol University,

Nakhon Pathom 73170, Thailand


(*Corresponding author’s e-mail: [email protected])


Received: 20 August 2025, Revised: 17 September 2025, Accepted: 5 October 2025, Published: 5 December 2025


Abstract

Foodborne viruses, such as hepatitis A virus (HAV) and norovirus (NoV), are major public health threats, highlighting the need for rapid, affordable, and user-friendly detection methods. This study introduces a new method that simplifies food extraction and uses duplex RT-RPA combined with a lateral flow assay (LFA) to detect HAV and NoV simultaneously in fresh foods like fresh shellfish, meats, and produce. The RT-RPA conditions and LFA strip design were optimized to improve sensitivity and accuracy. The method was validated for cross-reactivity, sensitivity, and accuracy through interlaboratory testing. It achieved a detection limit of 104 RNA copies per reaction in purified RNA for both HAV and NoV, with no cross-reactivity observed. Among 200 fresh food samples tested, 76.5% (153/200) were contaminated, and 45% (90/200) showed co-contamination with HAV and NoV. Additionally, blind testing by a non-expert achieved 96% accuracy. Compared to existing molecular methods, the main advantages of RT-RPA over RT-PCR and RT-LAMP are its speed, low-temperature operation, robustness and simplicity. Combining RT-RPA with LFA offers a practical and efficient solution for on-site detection of foodborne viruses, with the potential to enhance food safety and reduce virus transmission.


Keywords: Food safety, Foodborne viruses, Hepatitis A virus, Lateral flow test, Norovirus, Rapid detection, RT-RPA-LFA


Introduction

Foodborne illnesses pose a significant global public health challenge, with the World Health Organization estimating that 600 million people contract such illnesses annually, leading to 420,000 deaths worldwide [1]. In Asia, diarrheal diseases are particularly severe in South and Southeast Asia, where hepatitis A virus (HAV) and norovirus (NoV) remain major public health threats. The incidence of HAV is strongly influenced by socioeconomic conditions, access to safe water, and hygiene practices. Low- and middle-income countries account for 60% of acute HAV cases and 97% of related deaths, with Southeast Asia alone contributing 26% of global cases, 60% of deaths, and an annual mortality rate of 12 per million [2]. NoV, recognized as the leading cause of gastroenteritis globally and in Southeast Asia, is responsible for an estimated 685 million cases and up to 278,000 deaths each year [3,4], resulting in a substantial global economic burden of approximately $60 billion [5].

Given this substantial health and economic impact, understanding the primary routes of transmission is essential for effective prevention and control. Both HAV and NoV are transmitted primarily through contaminated food and water, particularly uncooked produce and bivalve mollusks [6-9]. Their persistence in the environment further increases risks for vulnerable populations, such as those in hospitals and care homes [10,11]. Despite existing prevention guidelines, including those implemented in Thailand, tracing outbreak sources remains challenging due to HAV’s long incubation period and NoV’s rapid spread. This highlights the critical need for continuous monitoring to strengthen food safety systems.

Current nucleic acid detection methods, such as polymerase chain reaction (PCR), are widely recognized for their high sensitivity and specificity. However, despite these advantages, PCR-based assays are labor-intensive, require RNA extraction, and depend on specialized equipment, which restricts their use to centralized laboratories [12,13]. To overcome these limitations, researchers have developed isothermal amplification methods, including reverse transcription loop-mediated isothermal amplification (RT-LAMP) and reverse transcription recombinase polymerase amplification (RT-RPA). Both techniques enable nucleic acid amplification at constant temperatures, making them suitable for decentralized and point-of-care testing [14]. Notably, RT-RPA is generally faster and more robust than RT-LAMP, featuring simpler primer design and lower operational requirements [15]. In contrast, RT-LAMP, while highly specific, is often hindered by complex primer design and limited multiplexing capability.

Building on these advances, the integration of CRISPR-based detection with RPA has led to assays with even greater specificity and sensitivity, as well as advanced detection capabilities [16-18]. Nevertheless, these CRISPR-RPA systems introduce additional complexity and require more reagents, which can increase both cost and operational demands. In addition to improving sensitivity and specificity, there is a growing need for methods that can detect multiple targets simultaneously. Multiplex RPA assays address this need by enabling the detection of several targets in a single reaction, thereby improving efficiency and reducing costs [19]. However, our previous work and other studies have shown that while multiplexing (e.g., duplex RT-RPA) is more cost-effective and time-saving [20], it often results in decreased sensitivity compared to simplex (single-target) RT-RPA - a common limitation in multiplex amplification assays.

For the detection of nucleic acid amplification products, lateral flow assays (LFA) offer a straightforward, equipment-free, and visual readout by employing specific antibodies to capture target analytes and generate a distinct colorimetric signal [21,22]. While LFA has been extensively applied in food safety testing, existing research has predominantly concentrated on bacterial pathogens. In contrast, studies targeting viral foodborne pathogens are still limited, particularly those leveraging duplex RT-RPA coupled with LFA. To overcome the aforementioned limitations and address the critical need for rapid, multiplexed, and field-deployable diagnostics for viral foodborne pathogens, this study introduces a novel duplex RT-RPA-LFA method. To the best of our knowledge, this work represents one of the first attempts to advance RPA-based detection beyond single-virus systems, demonstrating a duplex platform for the simultaneous detection of viral foodborne pathogens. This innovation highlights the potential of our approach to expand rapid, field-deployable diagnostics in virological food safety monitoring.

Given these considerations, the present study aimed to develop a simplified RT-RPA-LFA method for the simultaneous detection of hepatitis A virus (HAV) and norovirus (NoV) in various fresh foods. The method was optimized for sensitivity and specificity and evaluated for accuracy through blind testing by an independent operator. Our results demonstrate the potential of this approach as a rapid, user-friendly, and decentralized tool for on-site food safety testing.


Primer design

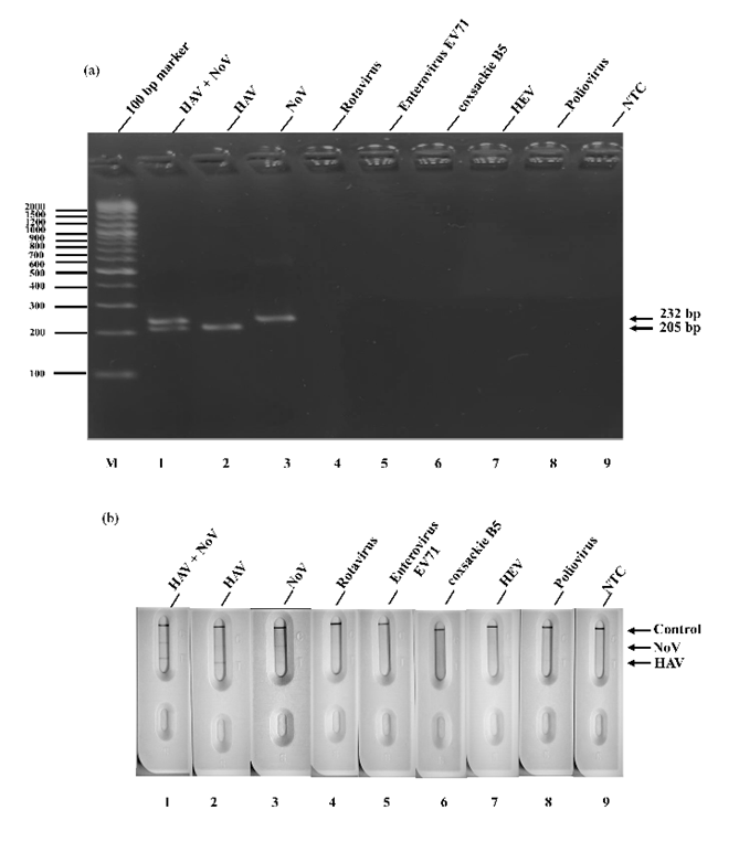
Following the recommendations from TwistAmp (TwistDX, UK), we designed forward and reverse RT‑RPA primers targeting the conserved region of the VP1 coat protein gene in HAV and NoV. For duplex detection, the selected primers yielded amplicons that allowed clear size separation by agarose gel electrophoresis (232 bp for NoV and 205 bp for HAV). Each primer was 35 nucleotides in length and evaluated using the Oligonucleotide Properties Calculator [23]. To ensure broad detection of all known HAV and NoV strains, we selected only primers with a 100% nucleotide match. The GC content of the primers ranged from 29% to 57%, and synthesis was performed by Macrogen (Seoul, South Korea) (Table S1).

The 5’ ends of the HAV and NoV forward primers were labeled with DIG (IDT Corporation, New Jersey, USA) and FITC (GenScript Biotech, New Jersey, USA), respectively. The reverse primers were tagged with biotin (IDT Corporation, New Jersey, USA) instead of a probe, due to the discontinuation of the TwistAmp nfo kit (TwistDX, Cambridge, UK).


Preparation of in vitro transcribed (IVT) RNA

RNA templates were generated by in vitro transcription from RNA expression plasmids, pET-HAV and pET-NoV. These plasmids were constructed by amplifying fragments of the VP1 gene from HAV (Accession No. EF207320) and NoV (Accession No. MG78678) using PCR [20]. In vitro transcription was performed using the HiScribe T7 Quick High Yield RNA Synthesis Kit (New England Biolabs, Hitchin, UK) according to the manufacturer’s instructions. Each 20 μL reaction contained 2 μL of T7 RNA Polymerase Mix, 10 μL of NTP buffer, 1 μg of plasmid DNA, and 8 μL of nuclease-free water. The reaction mixtures were incubated at 37 °C for 4 h, followed by treatment with DNase I at 37 °C for 15 min to remove template DNA. The resulting RNA transcripts were purified and assessed for quantity and quality using a NanoDrop spectrophotometer (ND-2800-ODJ Nano DOT Nucleic Acid Analyzer, Hercuvan Lab System, Malaysia) and denaturing RNA electrophoresis. All RNA samples were aliquoted and stored at −80 °C until use.


Optimization of duplex RT-RPA assay

Duplex reactions were prepared in a 50 μL volume following the manufacturer’s guidelines (TwistDX, UK). Each reaction contained 2.4 μL of HAV forward primer, HAV reverse primer, NoV forward primer, and NoV reverse primer (10 mM each; total primer volume 9.6 μL). The mixture also included 29.5 μL of rehydrated freeze-dried pellets, 1.0 μL of reverse transcriptase (200 U/μL), and 6.4 μL of nuclease-free water. RNA templates (0.5 μL of each target at 1010 copies) were added, and the reaction was initiated with 2.5 μL of 280 nM MgOAc.

Primer ratios were optimized by varying concentrations while maintaining a constant RNA input (1010 copies/μL for both targets). The best performance was obtained with 0.48 μM HAV primers and 0.7 μM NoV primers. To reduce costs, identical reaction mixtures were divided into four tubes. Reactions were incubated at 37 °C for 20 min, purified with the GenepHlowTM Gel/PCR Kit (Geneaid, Taiwan), and analyzed by agarose gel electrophoresis to confirm successful amplification.


Fabrication and assembly of LFA test strips

The LFA test strips were composed of a sample pad (Ahlstrom grade 319), a conjugate pad (GF33), a wicking pad (WhatmanTM Grade 470), a backing card, and a nitrocellulose (NC) membrane (Unisart® CN140). Antibody concentrations for the test lines were optimized by immobilizing anti-digoxigenin (DIG) antibodies (Bio-Rad, UK: 3210-0488) for the HAV line and fluorescein isothiocyanate (FITC) polyclonal antibodies (Bio-Rad, UK: 4510-7804) for the NoV line at concentrations of 1, 2, and 3 mg/mL. Biotinylated anti-mouse IgG polyclonal antibodies (Sigma-Aldrich, US) at 2 mg/mL were used to capture colloidal gold particles labeled with streptavidin (AuNP-SA) on the control line. The 40-nm AuNP-SA particles were purchased from Kestrel BioSciences (Thailand).

Using the XYZ3210TM Dispense System (Biodot), capture antibodies were dispensed onto the NC membrane at the test and control lines, while AuNP-SA was sprayed onto the conjugate pad. All pads were dried at 37 °C for 4 h before assembly on the backing card. The strips were cut to a width of 4 mm and stored in a desiccator at 25 °C and 25% humidity until use.


Optimization of LFA conditions

To optimize the food extraction process, we evaluated the efficiency of several commonly used laboratory reagents. Oysters were artificially spiked with 1 μL of RNA (1010 copies) and processed using different extraction reagents and food sample masses. Bacteriophage Qβ virus-like particles (VLPs), generated in previous experiments, were added as positive extraction controls [24], while dH2O served as the negative control. Fresh food samples of 2, 1, 0.5 and 0.2 g were each extracted with 500 μL of a solution containing 3% alcohol (methylbutanol, ethanol, or isopropanol), 60 mM guanidinium chloride, and 100 μg/mL proteinase K.

The extraction protocol consisted of incubation at 37 °C for 1 h to promote enzymatic digestion, followed by heating at 65 °C for 15 min to inactivate the enzymes and improve extraction efficiency. Samples were then centrifuged at 12,000× g for 5 min, and the resulting supernatant containing the extracted material was collected. Nucleic acids recovered with 3% butanol exhibited yields and quality comparable to those obtained with 60 mM guanidinium chloride, showing consistent performance across sample inputs ranging from 0.2 to 2 g (Figure S1). However, due to the strong odor of butanol, guanidinium chloride was selected as the extraction reagent for subsequent food extraction experiments, using 0.25 g of food per reaction.


Sensitivity of duplex RT-RPA-LFA

The detection limit (LOD) was assessed using 10-fold serial dilutions of in vitro-transcribed HAV and NoV RNA (initially quantified at 1.96×1010 and 1.53×1010 copies, respectively). Spiked food samples (0.25 g of oyster or salad vegetables) were extracted with 500 μL of 60 mM guanidinium chloride, followed by centrifugation. One microliter of the crude RNA extract was used as template for RT-RPA.

Amplified products were evaluated using agarose gel electrophoresis and LFA. In LFA, positive samples displayed both a control line and a test line for the target, while negative controls (no RNA template) showed only the control line, confirming assay validity and the absence of the target. RNA copy numbers were calculated using an online tool (http://sciprim.com/html/copyNumb.v2.0.html).


The sensitivity of the conventional duplex RT-PCR

Equal volumes of serially diluted HAV and NoV RNA (1010 copies/μL initial stock) were combined and used as templates in duplex RT-PCR. Each 50 μL reaction contained 0.5 μL of each RNA template, 0.1 μM NoV primers, 0.2 μM HAV primers, 200 μM dNTPs, 2 mM MgCl2, and 1.25 U of Phusion high-fidelity DNA polymerase (Thermo Scientific, USA).

PCR cycling conditions were: 94 °C for 5 min; 35 cycles of 94 °C for 30 s, 67 °C for 30 s, and 72 °C for 2 min; then a final extension at 72 °C for 5 min. Amplification products were confirmed by agarose gel electrophoresis.

Specificity of Duplex RT-RPA-LFA

Specificity was evaluated against 5 enteric viruses: Hepatitis E virus, poliovirus, rotavirus, enterovirus EV71, and coxsackievirus B5 (1010 copies RNA each). Negative controls consisted of water without added exogenous RNA. Duplex RT-RPA reactions were performed, and products analyzed by both agarose gel electrophoresis and LFA.

In LFA, negative controls (water only) produced only the control line without a test line, ensuring that target-specific results were not due to cross-reactivity. All assays were performed in triplicate.


Sample testing and blind verification

A total of 200 food samples including oysters, cockles, chicken, pork, salad vegetables, and grapes were collected from markets in 3 Thai provinces: Prachin Buri, Trad, and Chon Buri. Oysters and cockles, which were purchased fresh but not alive, were included along with chicken and pork, with forty samples of each type collected from each province. Additionally, 20 samples each of salad vegetables and grapes were obtained exclusively from 2 markets in Chon Buri. All samples were transported under refrigeration and tested within 48 h of collection. Sample processing was performed as previously described, and RT-RPA products were analyzed using LFA.

To assess the reproducibility of the LFA results, 50 RNA extracts were randomly selected from the 200 food samples. These extracts, with results already determined by the primary operator, were provided to an independent operator for blind testing. The independent operator was unaware of the original LFA results, allowing for an unbiased comparison between the 2 sets of results.


Statistics

A total of 200 fresh food samples comprising oysters, cockles, chicken, pork, grapes, and salad vegetables were analyzed for HAV and NoV contamination. The association between food type and the presence of viral contamination was examined using IBM SPSS Statistics. Pearson’s chi-square test (2-sided) was applied to determine whether viral contamination differed significantly across food categories. A p-value of less than 0.05 was considered statistically significant for all analyses.

Results and discussion

Optimization of LFA conditions

The effect of running buffer composition on lateral flow detection was first examined. Both PBS and PBS supplemented with 5% skim milk yielded a visible control line within 5 min; however, PBS alone provided clear test and control signals and was adopted as the standard buffer (Figure S2). Buffer volume was further optimized to ensure reliable signal development. When 50, 70 and 100 μL of PBS were tested, a consistent control line appeared only at ≥ 70 μL (Figure S3). Thus, 70 μL was selected as the optimal volume.

Next, we optimized the concentration of capture antibodies. For HAV detection, anti-digoxigenin IgG concentrations of 1, 2, and 3 mg/mL were tested. A clear HAV test line was observed at concentrations of 2 mg/mL, and above (Figure 1). For NoV detection, anti-FITC IgG performed best at 1 mg/mL. These findings highlight the importance of optimizing both the running buffer and antibody concentrations for high-sensitivity detection.


Figure 1 Optimization of anti-digoxigenin IgG concentration at the test line for detecting HAV RT-RPA amplicons. Test lines were coated with anti-digoxigenin at 1, 2, and 3 mg/mL (a-c), while the control line was coated with 2 mg/mL biotinylated anti-mouse IgG. PBS was used as the running buffer, and each condition was tested in triplicate.


Optimization of duplex RT-RPA conditions

Finally, primer ratios were optimized for balanced amplification of HAV and NoV. The strongest and most consistent signals were obtained with 480 nM HAV primers and 700 nM NoV primers, which were used in subsequent assays (Figure S4).


Sensitivity of the LFA test strips

The duplex RT‑RPA‑LFA assay was evaluated using purified RNA and spiked food samples. With purified RNA, RT‑RPA consistently detected 10⁵ RNA copies per reaction (1 µL of a 10−5 dilution from the 1010 copies/μL stock), comparable to conventional duplex RT‑PCR as confirmed by agarose gel electrophoresis (Figures 2(a) and 2(b)).

While both assays showed similar sensitivity by electrophoresis, only RT‑RPA was assessed on LFA strips, as the platform was developed for integrated, field use. On LFA, duplex RT‑RPA detected as few as 104 RNA copies per reaction (10−6 dilution), with test line intensity correlating with RNA concentration (Figure 2(c)). Positive samples displayed both control and test lines, whereas negative controls showed only the control line.

Thus, although RT‑PCR matches RT‑RPA in analytical sensitivity, it requires specialized equipment and lacks a simple visual readout. RT‑RPA‑LFA combines comparable sensitivity with speed, portability, and equipment‑free detection, making it more suitable for on‑site food safety testing.


Figure 2 Sensitivity of duplex RT-RPA-LFA and conventional RT-PCR for detecting purified HAV and NoV IVT RNAs. (a) RT-RPA products analyzed by 1% agarose gel electrophoresis using ten-fold serial dilutions of IVT RNAs (1.96×1010 and 1.53×1010 copies, respectively). Arrows indicate expected HAV (205 bp) and NoV (232 bp) amplicons. (b) Sensitivity of conventional RT-PCR performed under similar conditions. Lanes 1 - 7: 10-fold serial dilutions of RNA; lane 8: NTC (no template control); M: 100 bp DNA ladder. Results represent three independent experiments, with each condition tested in triplicate (c) Lateral flow assay (LFA) test strip. LFA test strips 1 - 10, 10-fold serial dilutions of total RNAs; strip 11, NTC, no template control contained water.


In spiked food samples, duplex RT‑RPA detected HAV and NoV with limits of 106 copies per reaction in oysters and 107 copies per reaction in salad vegetables, as confirmed by agarose gel electrophoresis (Figures 3(a) and 3(b)). By contrast, LFA exhibited higher sensitivity, with detection limits of 105 copies in oysters

and 106 copies in salad vegetables (Figures 3(c) and 3(d)). Overall, LFA achieved approximately ten‑fold greater sensitivity than agarose gel electrophoresis for detecting HAV and NoV in food matrices. A summary of sensitivities for all reactions is provided in Table S2.


Figure 3 Sensitivity of duplex RT-RPA-LFA in detecting HAV and NoV in spiked food samples. (a,c) Oysters and (b,d) salad vegetables were spiked with serial dilutions of HAV and NoV RNA (1.96×1010 and 1.53×1010, respectively). (a,b) RT-RPA products analyzed by 1% agarose gel electrophoresis. Lanes 1 - 10: 10-fold serial dilutions of RNA; lane 11: NTC (no template control); M: 1 kb DNA ladder. Arrows indicate expected HAV (205 bp) and NoV (232 bp) amplicons. (c,d) LFA test strips corresponding to ten-fold RNA dilutions (strips 1-10) and NTC (strip 11). Results represent three independent experiments.


Specificity of RT-RPA-LFA

The specificity of the duplex RT-RPA-LFA was evaluated using RNA from five common foodborne viruses (rotavirus, enterovirus, poliovirus, hepatitis E virus, and coxsackievirus B5). No cross-reactivity was observed, and the assay specifically amplified HAV and NoV (Figure 4). These results confirm the high specificity of the RT-RPA-LFA method.

Figure 4 Specificity of RT-RPA-LFA for detecting HAV and NoV. (a) RT-RPA products analyzed by 1% agarose gel electrophoresis. Lane 1: HAV and NoV; lane 2: NoV; lane 3: HAV; lanes 4 - 8: Rotavirus, enterovirus EV71, coxsackie B5, HEV, and poliovirus; lane 9: NTC (no template control). Arrows indicate expected HAV (205 bp) and NoV (232 bp) amplicons. (b) LFA test strips showing results for the same samples. All tests were performed in triplicate, and results represent three independent experiments.


Sample testing

Significant associations were found between food type and HAV/NoV contamination (p = 0.017, Pearson’s chi-square test). Oysters (85%) and cockles (82.5%) showed the highest overall contamination, mainly from HAV-NoV co-contaminations (67.5% and 65%). Grapes had the highest HAV prevalence (95%) but no detectable NoV, and significantly more HAV than salad vegetables (p = 0.017). Chicken (75%) and pork (55%) displayed moderate contamination, dominated by co-contaminations (42.5% and 32.5%), with additional HAV-only positivity of 32.5% and 22.5%. Salad vegetables (75%) were positive for HAV (35%), NoV (5%), and co-contaminations (35%). Statistically, HAV in pork was lower than in cockles (p = 0.008) and oysters (p = 0.003), but higher than in grapes (p = 0.002). For NoV, cockles exceeded chicken (p = 0.044) and pork (p = 0.004), and oysters exceeded chicken (p = 0.025), pork (p = 0.002), and salad vegetables (p = 0.042). Conversely, grapes consistently showed significantly lower NoV contamination than all other food types (p = 0.001 - 0.006). (Figure 5 and Table S3).


Figure 5 Types of contamination detected in food samples. A total of 200 food samples were analyzed, including oysters, cockles, chicken, and pork (40 samples each) and salad vegetables and grapes (20 samples each). Percentages of contamination are shown with the corresponding actual numbers.


To assess the user-friendliness of the LFA test strips, 50 food samples were randomly selected and tested by a collaborator with no prior experience in food testing. The test achieved 96% accuracy, demonstrating its reliability and ease of use (Table S4).


Discussion

Ensuring food safety requires rapid and reliable tools to monitor viral contamination and prevent outbreaks. Duplex RT-RPA-LFA offers a promising alternative to conventional molecular assays by combining speed, simplicity, and portability, making it suitable for on-site testing in resource-limited settings. Beyond its analytical performance, assay success depends on sample preparation. The choice of extraction buffer is particularly important for preserving RNA integrity. Buffers containing chaotropic agents such as guanidinium salts, or reducing agents like β‑mercaptoethanol, are widely used to inactivate RNases and stabilize RNA [25,26]. Guanidinium thiocyanate is highly effective, though guanidinium chloride may be more practical for field settings due to its lower toxicity and easier handling [27]. In this study, virus-like particles (VLPs) were applied as process controls to safeguard RNA against degradation and assess extraction efficiency, emphasizing the value of using biologically relevant controls rather than naked RNA, which is rapidly degraded in complex food matrices [24]. This distinction is critical, as underestimating extraction efficiency can contribute to false negatives in real-world applications.

When compared with existing methods, RT-PCR remains the gold standard for nucleic acid detection due to its high sensitivity, but it requires thermal cyclers and longer assay times [28]. RT-LAMP can achieve even greater sensitivity and faster turnaround, but its reliance on complex primer design limits flexibility, especially for highly variable viral genomes [14,29]. RT-RPA-LFA strikes a balance between analytical sensitivity and operational simplicity. While it is somewhat less sensitive than RT-PCR or RT-LAMP in absolute detection limits, it is less affected by inhibitory components in complex food matrices and requires minimal equipment, making it well-suited for field deployment [30].

Despite these advantages, several challenges remain. Primer design remains critical: although targeting conserved genomic regions minimizes cross-reactivity, additional validation with closely related Caliciviridae members is essential to fully establish assay specificity [31]. The lateral flow readout, while rapid and user-friendly, is inherently qualitative and may lack the precision of quantitative molecular platforms. Integrating semi‑quantitative features could expand its utility for risk assessment, outbreak monitoring, and surveillance beyond simple detection [16,32,33]. In addition, assay performance is strongly influenced by antigen-antibody interactions, membrane properties, and buffer composition, highlighting the need for careful optimization and rigorous validation. Occasional false positives and negatives may still occur, linked to issues such as sample degradation, low-level contamination, or primer-dimer formation. Operator skill further affects assay reliability, underscoring the importance of standardized protocols and adequate training [34].

Beyond analytical considerations, practical implementation poses further limitations. Cross-genotype variability can reduce sensitivity, and the current lack of large-scale field validation limits confidence in routine deployment. Moreover, the shelf life of lateral flow strips, the stability of dried reagents, and assay robustness under fluctuating storage conditions remain uncertain. Addressing these logistical issues is essential to ensure consistent performance in resource-limited or field environments.

Finally, the observed contamination patterns across different food types carry important public health implications. Shellfish are inherently high-risk due to their filter-feeding mechanisms and exposure to contaminated waters, which facilitate accumulation of enteric viruses. Grapes, by contrast, were associated only with HAV, suggesting contamination during cultivation or post-harvest handling, such as use of contaminated irrigation water or poor hygiene. Moderate contamination levels in chicken and salad vegetables highlight risks introduced during processing and distribution, while the lower prevalence in pork may in part be mitigated by processing practices and thorough cooking. Importantly, the frequent detection of HAV-NoV co-contamination suggests that shared contamination sources, especially inadequately treated water or poor hygiene practices, may drive simultaneous outbreaks.

Collectively, these findings emphasize that while duplex RT-RPA-LFA offers a promising advance for viral food safety monitoring, progress on assay optimization, reagent stability, and large-scale validation is needed. In parallel, reducing viral foodborne risks will depend not only on improved detection but also on strengthened hygiene practices, wastewater management, and consumer education.


Conclusions

In conclusion, this study developed and validated a duplex RT-RPA-LFA method for the simultaneous detection of HAV and NoV in fresh food samples. The method combines simplified food extraction with RT-RPA amplification and LFA detection, enabling rapid, naked-eye visualization of results with high sensitivity and specificity. By eliminating the need for complex laboratory procedures, this user-friendly approach is well-suited for on-site testing in resource-limited settings.


Acknowledgements

This research was funded by Agricultural Research Development Agency (Public Organization) or “ARDA,” grant number POP 6605030080. The authors gratefully acknowledge Witthaya Poomipak, Pairat Ittarat, and Natthapaninee Thanomsridetchai for their invaluable support throughout this project. The authors also thank Burapha University, Thailand for providing the resources and facilities necessary for the successful completion of this research.


Declaration of generative AI in scientific writing

The authors acknowledge the use of generative AI tools (e.g., ChatGPT) in the preparation of this manuscript, specifically for language editing and grammar correction. No content generation or data interpretation was performed by AI. The authors take full responsibility for the content and conclusions of this work.


CRediT author statement

Uraiwan Intamaso: Conceptualized, methodology, writing-original draft and funding acquisition. Palatip Chutoam: Visualized, methodology, formal analysis and funding acquisition. Nisakorn Wiwekwin: Methodology and funding acquisition. Kween Saimuang: Methodology. Sakaorat Lertjuthaporn: Methodology. Marisa Kaewdum: Methodology. Sani Jirasatid: Methodology. Kulachart Jangpatarapongsa: Methodology.


References

[1] Food safety, Available at: https://www.who.int/
news-room/fact-sheets/detail/food-safety, accessed October 2024.

[2] G Cao, W Jing, J Liu and M Liu. The global trends and regional differences in incidence and mortality of hepatitis A from 1990 to 2019 and implications for its prevention. Hepatology International 2021; 15(5), 1068-1082.

[3] KB Carlson, A Dilley, T O’Grady, JA Johnson, B Lopman and E Viscidi. A narrative review of norovirus epidemiology, biology, and challenges to vaccine development. npj Vaccines 2024; 9(1), 94.

[4] X Zhang, C Chen, Y Du, D Yan, D Jiang, X Liu, M Yang, C Ding, L Lan, R Hecht and S Yang. Global burden and trends of norovirus-associated diseases from 1990 to 2019: An observational trend study. Frontiers in Public Health 2022; 10, 905172.

[5] AF Athiyyah, S Wardhani, A Darma, RG Ranuh, D Raharjo, T Shirakawa and SM Sudarmo. The clinical epidemiology of norovirus infection in children with diarrhea at regional public hospital Dr. Soetomo. Jurnal Berkala Epidemiologi 2020; 8(3), 200-207.

[6] M Bellou, P Kokkinos and A Vantarakis. Shellfish-borne viral outbreaks: A systematic review. Food and Environmental Virology 2013; 5(1), 13-23.

[7] H Bernard, M Faber, H Wilking, S Haller, M Höhle, A Schielke, T Ducomble, C Siffczyk, SS Merbecks, G Fricke, O Hamouda, K Stark and D Werber. Large multistate outbreak of norovirus gastroenteritis associated with frozen strawberries, Germany, 2012. Euro Surveillance: Bulletin Europeen Sur Les Maladies Transmissibles 2014; 19(8), 20719.

[8] S Ethelberg, M Lisby, B Bottiger, AC Schultz, A Villif, T Jensen, KE Olsen, F Scheutz, C Kjelso and L Muller. Outbreaks of gastroenteritis linked to lettuce, Denmark, January 2010. Euro Surveillance: Bulletin Europeen Sur Les Maladies Transmissibles 2010; 15(6), 19484.

[9] E Severi, L Verhoef, L Thornton, BR Guzman-Herrador, M Faber, L Sundqvist, R Rimhanen-Finne, AM Roque-Afonso, SL Ngui, F Allerberger, A Baumann-Popczyk, L Muller, K Parmakova, V Alfonsi, L Tavoschi, H Vennema, M Fitzgerald, M Myrmel, M Gertler, J Ederth, M Kontio, C Vanbockstael, S Mandal, M Sadkowska-Todys, ME Tosti, B Schimmer, J O Gorman, K Stene-Johansen, JJ Wenzel, G Jones, K Balogun, AR Ciccaglione, L O’Connor, L Vold, J Takkinen and C Rizzo. Large and prolonged food-borne multistate hepatitis A outbreak in Europe associated with consumption of frozen berries, 2013 to 2014. Euro Surveillance: Bulletin Europeen Sur Les Maladies Transmissibles 2015; 20(29), 21192.

[10] NP Nenonen, C Hannoun, L Svensson, K Torén, LM Andersson, J Westin and T Bergström. Norovirus GII.4 detection in environmental samples from patient rooms during nosocomial outbreaks. Journal of Clinical Microbiology 2014; 52(7), 2352-2358.

[11] HM Wu, M Fornek, KJ Schwab, AR Chapin, K Gibson, E Schwab, C Spencer and K Henning. A norovirus outbreak at a long-term-care facility: The role of environmental surface contamination. Infection Control and Hospital Epidemiology 2005; 26(10), 802-810.

[12] B Priyanka, RK Patil and S Dwarakanath. A review on detection methods used for foodborne pathogens. The Indian Journal of Medical Research 2016; 144(3), 327-338.

[13] J Singh, N Birbian, S Sinha and A Goswami. A critical review on PCR, its types and applications. International journal of advanced research in biological sciences 2014; 1(7), 65-80.

[14] C Suther, S Stoufer, Y Zhou and MD Moore. Recent developments in isothermal amplification methods for the detection of foodborne viruses. Frontiers in Microbiology 2022; 13, 841875.

[15] M Tan, C Liao, L Liang, X Yi, Z Zhou and G Wei. Recent advances in recombinase polymerase amplification: Principle, advantages, disadvantages and applications. Frontiers in Cellular and Infection Microbiology 2022; 12, 1019071.

[16] X Feng, Y Liu, Y Zhao, Z Sun, N Xu, C Zhao and W Xia. Recombinase polymerase amplification-based biosensors for rapid zoonoses screening. International Journal of Nanomedicine 2023; 18, 6311-6331.

[17] K Malcı, LE Walls and L Rios-Solis. Rational design of CRISPR/Cas12a-RPA based 1-pot COVID-19 detection with design of experiments. ACS synthetic biology 2022; 11(4), 1555-1567.

[18] X Wu, S Chen, Z Zhang, Y Zhang, P Li, X Chen, M Liu, Q Lu, Z Li, Z Wei and P Xu. Development of recombinase polymerase amplification combined with lateral flow strips for rapid detection of cowpea mild mottle virus. The Plant Pathology Journal 2023; 39(5), 486-493.

[19] A Sun, L Wang, Y Zhang, X Yang, Y Su and X Wu. Development and application of a duplex RT-RPA assay for the simultaneous detection of cymbidium mosaic virus and odontoglossum ringspot virus. Viruses 2024; 16(4), 543.

[20] P Chutoam, S Jinda, S Lethochavalit and U Intamaso. Development of a reverse transcription recombinase polymerase amplification assay for duplex detection of foodborne viruses in oysters. Natural and Life Sciences Communications 2023; 22(1), e2023008.

[21] Z Crannell, A Castellanos-Gonzalez, G Nair, R Mejia and AC White. Multiplexed recombinase polymerase amplification assay to detect intestinal protozoa. Analytical chemistry 2016; 88(3), 1610-1616.

[22] B Ma, J Li, K Chen, X Yu, C Sun and M Zhang. Multiplex recombinase polymerase amplification assay for the simultaneous detection of 3 foodborne pathogens in seafood. Foods 2020; 9(3), 278.

[23] WA Kibbe. OligoCalc: An online oligonucleotide properties calculator. Nucleic Acids Research 2007; 35, W43-W46.

[24] U Intamaso, P Chutoam, S Jinda and S Lethochavalit. Production of encapsidated RNA particles as a working standard in detecting foodborne viruses in oysters. Natural and Life Sciences Communications 2023; 22(2), e2023034.

[25] S Kennedy. There’s no need to be paranoid about RNA purification, Available at: https://bitesizebio.com/262/the-relaxed-approach-to-rna-purification/2016, accessed August 2025

[26] M Johnson. RNA extraction: Materials and methods, Available at: https://www.labome.com/
method/RNA-Extraction.html, accessed August 2025.

[27] L Weidner, S Laner-Plamberger, D Horner, C Pistorius, J Jurkin, M Karbiener, E Schistal, C Kreil and C Jungbauer. Sample buffer containing guanidine-hydrochloride combines biological safety and RNA preservation for SARS-CoV-2 molecular diagnostics. Diagnostics 2022; 12(5), 1186.

[28] J Dong, W Feng, M Lin, S Chen, X Liu, X Wang and Q Chen. Comparative evaluation of PCR-Based, LAMP and RPA-CRISPR/Cas12a assays for the rapid detection of Diaporthe aspalathi. International Journal of Molecular Sciences 2024; 25(11), 5773.

[29] D Das, CW Lin and HS Chuang. LAMP-based point-of-care biosensors for rapid pathogen detection. Biosensors 2022; 12(12), 1068.

[30] Y Wang, R Chen, X Nie, Z Zhong, C Li, K Li, W Huang, X Fu, J Liu and B Nie. Rapid and sensitive detection of potato virus Y by isothermal reverse transcription-recombinase polymerase amplifica­tion assay in potato. Molecular and Cellular Probes 2020; 50, 101505.

[31] C Zhao, F Sun, X Li, Y Lan, L Du, T Zhou and Y Zhou. Reverse transcription-recombinase polymerase amplification combined with lateral flow strip for detection of rice black-streaked dwarf virus in plants. Journal of Virological Methods 2019; 263, 96-100.

[32] F Hu, Y Zhang, Y Yang, L Peng, S Cui, Q Ma, F Wang and X Wang. A rapid and ultrasensitive RPA-assisted CRISPR-Cas12a/Cas13a nucleic acid diagnostic platform with a smartphone-based portable device. Biosensors & Bioelectronics 2025; 280, 117428.

[33] FM Munguti, DC Kilalo, HK Yegon, I Macharia, SE Seal, AW Mwango’mbe, EN Nyaboga and G Silva. Real-time reverse transcription recombinase polymerase amplification (RT-RPA) assay for detection of cassava brown streak viruses. Scientific Reports 2024; 14(1), 12438.

[34] C Kolm, RL Mach, R Krska and K Brunner. A rapid DNA lateral flow test for the detection of transgenic maize by isothermal amplification of the 35S promoter. Analytical Methods 2014; 7(1), 129-134.