Start Bootstrap Logo

Trends Sci. 2025; 22(5): 9330


Effect of Size, Charge, and Surface Functionalization of Gadolinium Nanoparticles on Biocompatibility and Cellular Uptake as Magnetic Resonance Imaging Contrast Agents


Retna Putri Fauzia1,2,*, Zahra Afriani1,2, Ratna Dini Haryuni3, Sumandi Juliyanto3,

Santhy Wyantuti1 and Husein Hernadi Bahti1,2


1Department of Chemistry, Faculty of Mathematics and Natural Sciences, Universitas Padjadjaran,

Sumedang 45363, Indonesia

2Central Laboratory, Universitas Padjadjaran, Sumedang 45363, Indonesia

3Research Center for Radioisotopes, Radiopharmaceuticals, and Biodosimetry Technology, Research Organization for Nuclear Energy - National Research and Innovation Agency, KST BJ Habibie, Tangerang Selatan 15314, Indonesia


(*Corresponding author’s e-mail: [email protected])


Received: 15 November 2024, Revised: 16 December 2024, Accepted: 14 January 2025, Published: 5 February 2025


Abstract

Gadolinium nanoparticles (GdNPs) are nanomaterials with great potential to be applied as MRI contrast agents. GdNPs have been widely explored in recent years as a T1 contrast agent with high performance due to the large relaxivity value (r1) compared to commercial Gd-based contrast agents. However, the major limitations of using these materials for biomedical applications are their cytotoxic effects and cellular uptake efficiency. The morphology of GdNPs, such as size, charge, and surface play an important role in affecting biocompatibility and cellular uptake. For instance, by modifying the surface of nanoparticles, the physical-chemical properties can be altered, leading to improvement in biocompatibility and cellular uptake. Various molecules have the potential to be functionalized on GdNPs, but it is essential to select those that can effectively enhance their abilities. Therefore, this review aims to discuss several studies on the effect of morphology and surface modification of GdNPs to improve biocompatibility and cellular uptake.

Keywords: Biocompatibility, Cellular uptake, Contrast agents, Functionalization, Gadolinium nanoparticle


Introduction

Magnetic Resonance Imaging (MRI) is one of the most used imaging methods in the medical field because it uses non-ionizing radiation sources, non-invasive, and is capable of producing 3D images. Since the 1980s, more than 30 % of medical examinations using MRI have explored contrast agents to improve the sensitivity and clarity of anatomical images [1-3]. One such agent is gadolinium, which has been widely utilized after gaining approval from the Food and Drug Administration (FDA) in 1988. The use of gadolinium is primarily due to its paramagnetic properties caused by the presence of 7 unpaired electrons in the 4f sub-shell [3,4]. However, the presence of free trivalent gadolinium ion (Gd(III)) in the body is toxic due to potential biotoxicity-related issues, low sensitivity, limitations in relaxation factors, and shorter circulation time in the blood [3,5]. This indicates the need to develop gadolinium-based contrast agents with minimal risk of releasing free Gd(III) ions to prevent further complications and side effects.

Over the years, there have been rapid developments in the field of nanotechnology. The utilization of nanoparticles based on gadolinium is regarded as a strategic option to enhance the resolution of MRI images while reducing their toxicity. This is due to the bonding strength exhibited by nanoparticle system in comparison to gadolinium complex bond, thereby effectively inhibiting the release of free gadolinium in the body (in vivo) [6,7]. In addition, several studies have shown that GdNPs have the potential to be used as contrast agents for MRI.

Nanoparticles can enter the human body through 2 distinct mechanisms, namely passive and active targeting. Passive targeting facilitates the selective accumulation of nanoparticles in tumor tissues through Enhanced Permeability and Retention (EPR) effects. Meanwhile, active targeting comprises entry into the body through the bi-functionalization of nanoparticles surface with targeting ligands that have high affinity and specificity towards overexpressed receptors on tumor cells [8-12].

According to previous studies, morphology and surface characteristics of GdNPs play a critical role in determining their stability, biocompatibility, and cellular uptake as contrast agents. Nanoparticles size is one of the important characteristics in designing materials for biomedical applications. This size directly affects the efficiency of targeting properties, including circulation time in the bloodstream, biodistribution, accumulation in target tissues, and cellular uptake [13-15]. GdNPs used for biomedical applications typically have a size of less than 100 nm, which is considered optimal as it favors good biocompatibility and efficiency in cellular uptake [16-19]. The surface charge and hydrophobicity of nanoparticles also play an important role in determining stability and inherent characteristics. Uncoated nanoparticles generally have a neutral charge, leading to low stability due to susceptibility to aggregation in physiological solutions. Consequently, surface functionalization, such as the addition of polymer coatings or specific ligands, is often performed to improve the stability of nanoparticles. This functionalization process not only prevents aggregation but also allows modification of other properties, such as increased circulation time in the blood and specific binding ability to receptors on target cells [14,20-22].

The ability to modify the surface of nanoparticles with various molecules, such as proteins, peptides, antibodies, organic compounds, and aptamers, has the potential to enhance functionality, specifically in terms of biocompatibility, stability, and cellular uptake. Functionalization of GdNPs with various biocompatible molecules, such as polyethylene glycol (PEG) [18,23-27], silica [23,28,29], carbon [30,31], and natural biopolymers, has been shown to significantly improve their biocompatibility compared to both bare GdNPs and commercial gadolinium-based contrast agents, including Magnevist. These molecules not only increase the stability of GdNPs in a physiological environment but also reduce the toxicity that may arise from the direct release of Gd³⁺ ions, causing tissue damage or nephrotoxic effects.

Functionalization of GdNPs with specific targeting ligands, such as folic acid (FA) [20,32-36], proteins, and antibodies [37-39], has shown a higher ability to enhance cellular uptake by target cells compared to uncoated samples. This mechanism occurs through specific interactions between targeting ligands and receptors on the target cell surface, which strengthens the targeting efficiency and accumulation of nanoparticles at the desired location. This approach is crucial in biomedical applications, specifically for targeted drug delivery or precision molecular imaging, where targeting efficiency and biological compatibility are key success factors. Therefore, this review aims to provide a comprehensive discussion on the effect of morphology and surface functionalization of GdNPs. The results are expected to provide insights into the enhancement of stability, biocompatibility, and cellular uptake of GdNPs.


Magnetic Resonance Imaging (MRI)

MRI was a comprehensive diagnostic method with high soft tissue contrast and advanced spatial-temporal resolution that could generate anatomical, metabolic, chemical, and physiological data from the body. This worked on the basic principle of nuclear magnetic resonance (NMR) and produced images using tissue contrast generated through NMR signals [40]. In general, MRI system consisted of 4 main components that interacted with each other in a complex manner which included a primary magnet, gradient coil, radiofrequency (RF) coils, and a computer system that was responsible for controlling and coordinating the diverse elements [41].

Molecular imaging techniques, such as MRI, exhibited the capability to detect and monitor processes occurring at cellular and molecular level, serving as early indications of a disease [1]. MRI was widely used in the medical field due to its superiority over other imaging modalities. These advantages included the ability to detect several abnormalities in soft tissues, such as the brain, bone marrow, and musculoskeletal, having been able to make cross-sectional, upright, and oblique images without changing the patient’s position, exhibiting high spatial resolution for it to get an anatomical and pathological picture in detail, and to provide better imaging without harming the patient’s body because it used non-ionizing radiation [11-13].

Since the late 1980s, over 30 % of MRI examinations in the medical field were performed with the aid of contrast agents to enhance the sensitivity and specificity of anatomical images obtained [1]. MRI contrast agents were widely used to enhance the contrast difference between normal and abnormal tissues using a specific particle or molecule. As science evolved, newer contrast agents were constantly discovered and investigated with a stringent focus on safety and suitability for clinical applications [43].


MRI contrast agents

Contrast agents were molecules or particles that could affect the proton relaxation value to increase the contrast difference between normal and abnormal tissues [44]. The selection of contrast agents was chosen based on the longitudinal relaxivity (r1), transverse relaxivity (r2), and relaxivity ratio (r2/r1) values [44].

Contrast agents could be classified into T1-weighted (positive) contrast agents, T2-weighted (negative) contrast agents, and dual T1/T2 contrast agents [45]. T1-weighted or positive contrast agent, exemplified by paramagnetic lanthanides such as Gd(III), Mn(II), and Mn(III), could maximize the contrast effect by brightening the image results due to its short longitudinal relaxivity (r1). Meanwhile, T2-weighted or negative contrast agents, represented by superparamagnetic iron oxide (SPIO) or superparamagnetic iron platinum (SPIP) particles, could maximize the effect of T2 contrast by darkening MRI results due to its short transverse relaxivity (r2) [1,45,46].

The majority of MRI contrast agents utilized medical field were based on Gd(III) complexes, such as Gd-DTPA (diethylenetriamine pentaacetic acid) or Gd-DOTA (1,4,7,10-tetraazacyclodododecane-1,4,7,10-tetraacetic) [1,3]. However, Gd(III) complex had potential issues in terms of biotoxicity, low sensitivity, limitation in relaxation factor, and shorter circulation time in the blood [3,5]. Along with the advancement of scientific knowledge, newer contrast agents were continuously discovered and investigated with strict supervision and prioritizing safety for clinical use, including the development using nanomaterials.


Gadolinium nanoparticles

The conversion of Gd(III) ions into nanoparticle form presented a potential alternative in the utilization of gadolinium-based contrast agents for MRI contrast agents. These nanoparticles, serving as contrast agents, were intricately bonded with metal atoms to improve the quality of the resulting [47]. GdNPs had demonstrated a lower toxicity level than Gd-DTPA or Gd-DOTA owing to their stability. Furthermore, their higher molecular weight extended the retention time enabling more extended examinations and the higher gadolinium content contributed to better detection capability [6]. GdNPs had also shown acceptable feasibility and were used in a large number of medical applications [18], showing remarkable performance as a T1 contrast agent with a high relaxivity value (r1 = 15 – 18 mM–1s–1) when compared with commercial Gd contrast agents (3 - 5 mM–1s–1) [22].

According to Wu et al. [39], GdNPs possessed the capability to shorten the longitudinal relaxation time (r1), therefore acting as effective contrast agents to differentiate between normal and abnormal tissue. However, it was also reported that in certain cases this nanoparticle had less accurate targeting. Functionalization of these Nanoparticles with ligands, drug delivery, or other biomolecules had been proposed to improve their targeting abilities and biocompatibility.


Effect of GdNPs morphology

Size

In its role as contrast agents, nanoparticles needed to accumulate effectively in the target organ or tissue to optimize the resulting image. The accumulation of nanoparticles in target cells was facilitated through the endothelial gap produced by leaky blood vessels, through EPR effect [48]. Nanoparticles with excessively small dimensions could be rapidly cleared by the renal excretion system, while those exceeding a certain size could be recognized by macrophages as ‘foreign bodies’, leading to swift removal by the mononuclear phagocyte system (MPS) and reticuloendothelial system (RES). This resulted in their accumulation in organs such as the lungs, lymph nodes, and spleen [40]. Consequently, an optimal size was needed to ensure the passage of nanoparticles through the endothelial gaps, and the size significantly affected contrast enhancement, cellular uptake, and tumor permeability. Particle size affected cell internalization by affecting enthalpy and entropy properties, thereby regulating the adhesion strength of nanoparticles with cell receptors [13].

Cellular uptake of small molecules within various cells was facilitated through endocytosis and other mechanisms. There were 2 primary endocytosis mechanisms which included phagocytic (macrophages, neutrophils, dendritic cells, and others) that was responsible for internalizing large particles (> 1 µm) and pinocytosis that involved adsorption or internalization mechanism that mediated cellular internalization by receptor-dependent which facilitated internalization of a small particle through different pathways (Figure 1), such as macro-pinocytosis (100 nm - 5 µm), clathrin-dependent (~120 nm), caveolin-dependent (~80 nm), and clathrin-caveolin independent (~50 nm) [15,49-51].


Figure 1 Schematic representation of nanoparticle cellular internalization mechanism [49].


A study reported by Whba et al. [16] examined the viability of Hep G2 cells incubated with gadolinium oxide nanoparticles (Gd₂O₃ NPs) ~65 nm at concentrations of 12.5, 25, 50, and 100 μg/mL. The results showed a decrease in cell viability as the concentration increased, with the lowest value of 61 ± 0.03 % at a concentration of 100 μg/mL, and after 24 h, Gd₂O₃-NPs did not trigger cytotoxic effects. Meanwhile, Majeed and Shivashankar [52] reported that Gd₂O₃ nanocrystal with an average size of 5.2 nm showed no toxicity to HEK 293 cells, even at concentrations up to 400 μg/mL, and did not cause cytotoxic effects up to 3 days after exposure. This result indicated their high biocompatibility and potential use as contrast agents. In summary, most GdNPs showed excellent biocompatibility when the size was less than 100 nm, but both small and large nanoparticles could be toxic depending on their properties and exposure routes also dependent on cell line. Nanoparticle size could be affected by the presence of ligands on their surface, with larger ligands contributing to an increase in nanoparticle size. Studies by Guleria et al. [19] revealed that the length of the polyol chain used to coat the surface of Gd2O3 was directly related to the increase in the size of the resulting nanoparticles which could be affected by the presence of ligands on their surface.

Some studies also revealed that particle size affected the r1 value [19,53,54], and Chaturvedi et al. [54] reported that Gd2O3 nanoparticles coated by ethylene glycol (EG@Gd2O3) with a particle size of 12 ± 3 nm had a greater r1 relaxivity (3.7 mM−1s−1) compared to EG@Gd2O3 nanoparticles with a particle size of 22 ± 3 nm (r1 = 1.3 mM−1s−1). Another study was conducted by Zhou et al. [53] who reported that Gd2O3 nanoparticles modified by albumin (Gd2O3@albumin) had a greater r1 value with increasing particle size as shown in Figure 2. This reported that Gd2O3@albumin nanoparticles with sizes of 4.7, 5.4, and 10.1 nm had r1 values of 18.49, 16.22, and 12.26 mM−1s−1, respectively. This result revealed a correlation between particle size and r1 values, where smaller nanoparticles showed higher r1 values. This was due to the increase in the number of gadolinium ions on the surface of nanoparticles, which was proportional to their particle size. The smaller size increased the surface area to volume ratio, making more gadolinium ions available on the surface. This condition accelerated the relaxation of water protons, increased the r1 value, and resulted in more optimal contrast on T1-weighted MR images.


Figure 2 (a) - (c) HR-TEM image of various size Gd2O3@albumin nanoparticles (d) relaxivity values (r1) of Gd2O3@albumin nanoparticles with various sizes [53].


Charge

Nanoparticles could possess positive, negative, or neutral charges depending on functional groups presented on their surface. Surface charge was a crucial physicochemical property that affected the interaction between nanoparticles, cell membranes, corona proteins, and cellular uptake [55]. Generally, it was reported that nanoparticles charged tended to have greater cellular uptake compared to uncharged nanoparticles [51]. This was attributed to the negatively charged cell membrane due to the presence of anion groups from phospholipids, facilitating interaction with positively charged nanoparticles in nonphagocytic cells and negatively charged nanoparticles in phagocytic cells. This interaction between charged nanoparticles with cell membrane is shown in Figure 3. Conversely, uncharged (neutral) nanoparticles exhibited lower cellular uptake due to nonspecific protein adsorption barriers and allowed the formation of a strong hydration layer through electrostatic interactions (aggregated) [49,56,57].


Figure 3 Interaction scheme of charged nanoparticles with the cell membrane in nonphagocytic cells. Positively charged nanoparticles exhibit high affinity toward the cell membrane, while negatively charged nanoparticles show low affinity.


Beyond its impact on cell internalization, nanoparticle charge also impacted its cytotoxicity. In nonphagocytic cells, in most cases, highly charged positive nanoparticles were generally associated with increased cytotoxicity compared to uncharged (neutral) nanoparticles [50,55,56]. Functionalization of Gd₂O₃ nanoparticles using polycyclodextrin-folic acid (PCD-FA) resulted in a shift in surface charge from +23.1 to −5.03 mV due to the presence of hydroxyl and carboxyl groups in the polymer coating layer [58]. The study showed that negatively charged Gd₂O₃ coated with PCD-FA had lower toxicity than positively charged Gd₂O₃ nanoparticles. The result was consistent with another study [20], which reported that negatively charged Gd₂O₃@PCD-Glucosamide nanoparticles had a lower tendency to adsorb to plasma proteins and exhibited more minimal hemolytic activity compared to positively charged Gd₂O₃. However, functionalization using specific molecules, such as PEG, could alter their charge and this could render nanoparticle charge negative due to the presence of hydroxyl groups. A study by Zhang et al. [24] reported that functionalized GdNPs with salicylic acid using PEG had potential values of −5.69, −7.48, and −8.16 with PEG750, PEG2000, and PEG5000, respectively (Table 1). This study demonstrated that a longer PEG chain correlated with an increase in zeta potential value, corresponding to the elevated number of hydroxyl groups.


Hydrophobicity and hydrophilicity

Hydrophobicity of nanoparticles significantly affected their interaction between nanoparticles and cells. Several studies had reported that nanoparticle hydrophobicity not only affected cell uptake but also played a crucial role in opsonization and systemic distribution in the body. The interaction of hydrophobic and hydrophilic nanoparticles with cells involved different mechanisms. Molecular dynamics (MD) simulations revealed that hydrophobic nanoparticles interacted by entering the lipophilic core of cell membrane or directly penetrating cell by traversing cell membrane [56]. Meanwhile, hydrophilic nanoparticles were absorbed on the bilayer surface and passed through cell by membrane encapsulation or membrane wrapping [57]. The interaction of membrane cells with hydrophobic and hydrophilic nanoparticles is shown in Figure 4. Hydrophobicity of nanoparticles also affected particle aggregation during circulation, regardless of nanoparticle clearance by MPS system in the bloodstream. Hydrophobic and uncharged nanoparticles tended to aggregate more rapidly by Van der Waals forces, while hydrophilic and highly charged (both positive and negative) nanoparticles could maintain greater stability in a colloidal state characterized by low ionic strength, owing to repulsive forces [49,56]. This made hydrophilic nanoparticles generally had better biocompatibility due to their ability to reduce direct interaction with cell membranes and the immune system, thereby extending circulation time in the bloodstream. However, in terms of cellular uptake, hydrophilic nanoparticles showed lower affinity towards cell membranes than hydrophobic nanoparticles. Hydrophilic polymers coating nanoparticles formed a barrier layer that reduced interaction with the lipid layer of cell membrane, thereby suppressing the efficiency of cellular uptake in terms of both speed and amount.

One of the factors that affected hydrophobicity of nanoparticles was the presence of ligands or molecules on nanoparticles surface. Studies of synthesized Gd2O3 nanoparticles coated with poly(acrylic acid-co-maleic acid) (PAAMA-Gd2O3) using the polyol method that had excellent stability over one-year post-synthesis were reported by Jang et al. [21]. Functionalization using PAAMA made Gd2O3 nanoparticles hydrophilic with excellent stability, and the success of these nanoparticles was confirmed through the increase in hydrodynamic diameter of nanoparticles from 1.8 to 9.0 nm. This enlargement was attributed to the abundance of -COO groups that were hydrophilic and capable of attracting water into nanoparticles. This also exhibited a zeta potential with a notably high negative value of −43.9 mV explaining the exceptional stability of nanoparticles. In addition to its remarkable stability, PAAMA-Gd2O3 nanoparticles were reported to exhibit high biocompatibility towards DU145 and NCTC1469 cells, even at Gd concentrations up to 500 μM.

Figure 4 Interaction scheme of hydrophobic and hydrophilic nanoparticles with the cell membrane, hydrophobic nanoparticles penetrate the hydrophobic layer, while hydrophilic nanoparticles adhere to the bilayer surface and enter via membrane encapsulation or wrapping.


Functionalization of GdNPs

Functionalization of nanoparticles was a process of modifying the surface of nanoparticles with diverse functional molecules, aiming to enhance the overall functionality of the nanoparticles. Functionalization of GdNPs through specific molecules or ligands had the potential to enhance not only its stability but also their biocompatibility in the body and their targeting abilities.


Functionalization to enhanced biocompatibility

In biomedical applications, it was crucial to ensure that GdNPs injected into the body did not possess toxic properties that could be toxic to normal and abnormal tissues. Therefore, biocompatibility of GdNPs used in biomedical applications was a critical characteristic that must be considered. The surface functionalization process of GdNPs was necessary to prevent the release of free Gd(III) ions, which had the potential to induce systemic nephrogenic fibrosis. Furthermore, surface modification also played a crucial role in modulating the body’s immune response by enhancing the ability of nanoparticles (NPs) to evade detection and elimination by macrophages in MPS and extending the half-life of nanoparticles in blood circulation. Bare nanoparticles tended to interact with biological fluids, forming layers of proteins, lipids, and carbohydrates that could alter their characteristics and trigger immune responses. The surface functionalization of nanoparticles became an essential step to mitigate the release of toxic Gd(III) ions, reduce their toxicity, and prolonged their half-time in blood circulation. The schematic of this illustration was shown in Figure 5, and the enhancement of GdNPs biocompatibility was achievable through surface functionalization utilizing diverse molecules such as polymer, among these PEG was one of the most used for in vitro and in vivo applications.

Figure 5 Schematic of functionalization of GdNPs to improve their biocompatibility.


A study reported by Maghsoudinia et al. [32] exemplified functionalization of NaGdF4 nanoparticles using PEG through a 1-step hydrothermal method (PEG-NaGdF4) and demonstrated excellent dispersity and stability, along with a high level of biocompatibility (viable cells >90 %) towards A549 and MCF-7 cells, even at nanoparticles concentrations up to 500 g/mL. Furthermore, PEG-NaGdF₄ nanoparticles doped with Yb³⁺ and Er³⁺ showed high biocompatibility to RAW264.7 and NIH3T3 cells [59]. In contrast, uncoated NaGdF₄ nanoparticles doped with Yb³⁺ and Er³⁺ showed a significant decrease in cell viability (viable cell <50 %) with extensive apoptosis in RAW264.7 (10 µg/mL) and NIH3T3 (100 µg/mL) cells. Another in vitro study [18] compared pegylated GdNPs with a commercial Gd-based contrast agent, Magnevist. Results showed that PEG-Gd₂O₃ had a longer half-life in blood (71.58 ± 18.26 min vs. Magnevist 25.23 ± 4.47 min), a significantly higher r₁ value (290 mM¹s¹ vs. Magnevist 4.2 mM¹s¹), and showed no acute toxicity over 72 h. These results demonstrated the remarkable ability of PEG to enhance biocompatibility of nanoparticles.

The functionalization of GdNp with PEG could also contribute to the colloidal stability of nanoparticles through van der Waals interactions between negatively charged oxygen atoms in the PEG molecules and positively charged Gd ions on the nanoparticle surface [2]. PEG could enhance biocompatibility of nanoparticles by reducing protein adsorption, improving stability, and decreasing immunogenicity. The length of PEG used to functionalize GdNPs also affected the characteristics of the resulting nanoparticles. A study by He et al. [28] reported that the longer the PEG chain could produce nanoparticles with a larger size. Additionally, the increase in PEG chains also affected charge of nanoparticles, where the longer PEG chains resulted in more negative nanoparticles. Functionalization of nanoparticles using PEG provided benefits in preventing particle aggregation, maintaining nanoparticle stability, and enhancing the permeability and retention effect (EPR) [60]. The presence of PEG on nanoparticle surface also created steric hindrance and imparted “stealth” properties that could reduce opsonization by RES, prevent phagocytosis by macrophages, and prolonged the retention time in the bloodstream [60].

Another strategy to improve GdNps biocompatibility could be achieved by functionalizing it with inorganic materials such as silica and carbon. The study reported that functionalizing GdNPs using mesoporous silica (MSN) also could enhance their biocompatibility [28,29,31]. Synthesized and characterized gadolinium oxide (Gd2O3) nanoparticles coated with mesoporous silica (MSN) reported exhibit outstanding stability and biocompatibility compared to Gd-DTPA against AsPC-1, PaCa-2, and 4T1 cells up to a concentration of 200 μg/mL and did not disrupt the main functions of the kidney and liver post-injection [61]. In addition to their non-toxic nature and ability to be cleared through the kidneys [62], MSN could form a core-shell structure that regulated the distribution and movement of nanoparticles, thereby allowing modification of drug or chemical loading, nanoparticle dispersion, blood circulation, and specific targeting to specific locations.

Biocompatibility of GdNPs could also be done by functionalizing GdNPs with carbon nanoparticles [30,31,63]. Functionalization of GdNPs with carbon had the potential to improve its biocompatibility, given that carbon was commonly found in living organisms and had demonstrated non-toxic along with high biocompatibility. A study by Yue et al. [30] who synthesized Gd2O3@C nanoparticles using Gd2O3 as the core and carbon (derived from dextrose) as the shell, revealed that Gd2O3@C showed excellent colloidal stability, contrast enhancement (r1 = 16.26 mM−1s−1), and higher biocompatibility compared to non-functionalized Gd2O3, specifically against DU145 and NCTC1469 cells up to a Gd concentration of 500 μg/mL. Moreover, it presented potential applications in dual T1 MR/FI imaging. Another study reported by Zhang et al. [31] revealed that gadolinium-mesoporous carbon (Gd-MCNs) had good biocompatibility towards RAW264 and NIH-3T3 cells up to a Gd concentration of 14 μM, exhibited excellent colloidal stability, prolonged half-life in the bloodstream of up to 95.89 min, and showed no signs of acute toxicity after short-term injection. As shown in Figure 6, in-vivo studies on the acute and chronic toxicity of Gd-MCNs in mice (compared to the reference compound Gd-DTPA) indicated that Gd-MCNs did not cause acute or chronic toxicity. After 72 h and 12 injections over 12 weeks, blood tests and tissue analysis of major organs (heart, liver, spleen, lungs, and kidneys) showed no signs of inflammation or damage, indicating that Gd-MCNs were safe with no significant toxic effects.


Figure 6 In vivo test of Gd-MCNs: Histological images of heart, liver, spleen, kidney, and lung of mice after treatment at 72 h (a) and 12 weeks (b) [31].


Natural biopolymers such as alginate (alg), known for the high biocompatibility, could also be utilized to enhance biocompatibility of GdNPs. This method was employed by Maghsoudinia et al. [32] who synthesized Gd nanodroplet (Gd-ND) with alginate as a stabilizing shell. The purpose of incorporating alginate in this context was to reduce the hemolytic activity of Gd-ND, effectively elevating the level of biocompatibility and biological safety for human erythrocytes.


Functionalization to improve targeting abilities

The enhancement of GdNP specificity towards certain receptors could be achieved through functionalization of GdNPs with antibodies, peptides, or small organic molecules that could be bound specifically to the selected biomarker (Figure 7) [1]. Functionalization of GdNPs with these targeting molecules had the potential to increase cellular uptake in target cells, as a result of specific interactions between the targeting ligands presented on the surface of nanoparticles with various receptors that were overexpressed on cancer cells (Figure 8). Therefore, the specificity of GdNPs towards target cells could be improved through this method.

Figure 7 (a) Schematic of functionalization of targeted contrasting compounds (b) Interaction of targeted contrasting compounds with biomarkers [1].


FA was one of the targeting compounds that had a high affinity with folate receptors (kd = 10−10), which were overexpressed on the surface of certain cancer cells [12,64,65]. These compounds could ingress to cells through folate-mediated endocytosis mechanisms, through the reduced folate carrier (RFC), proton-coupled folate receptor (PCFT), and folate receptor (FR) [33]. Therefore, FA was often used in nanoparticle modification to achieve active targeting of cancer cells, either for therapeutic or diagnostic purposes.


Figure 8 Internalization of Nanoparticles Functionalized with Targeting Ligand.


Functionalization of GdNPs with FA could be performed to enhance the specific binding of GdNPs towards various cancer cells that overexpress FR, including ovarian, breast, and endometrial cancer. A study by Mortezazadeh et al. [20] reported functionalization of Gd2O3 nanoparticles with FA-PCD (folic acid-β-cyclodextrin) conjugate, demonstrating its efficacy as a targeted and biocompatible contrast agent for cancer diagnosis. The increased cell uptake in M109 cancer cells that overexpress FR compared to 4T1 cells with negligible FR expression was confirmed by 4 times higher contrast enhancement in M109 tumor cells, along with the greater accumulation of Gd2O3@FA-PCD than Gd2O3@PCD one-hour post-injection in M109 cells. This implied that Gd2O3@FA-PCD provided specific internalization and accumulation to cell that overexpressed FR. Another study reported by Maghsoudinia et al. [32] synthesized Gd-ND functionalized with FA and showed its enhanced specific targeting and selective accumulation in the tumor regions, along with 2.5 times higher cellular uptake in Hepal-6 cancer cells that overexpressed FR. Additionally, this material was reported to be used as a dual-modal ultrasound (US)/MRI agent for Hepatoma carcinoma. In a recent study by Martín-Sabroso et al. [66], PAA-Gd2O3 conjugated with FA (FA-PAA-Gd2O3) and cyclic arginyl glycyl aspartic acid (cRGD/FA-PAA-Gd2O3) were demonstrated higher tumor contrast due to the combined effect of FA and cRGD. The r₁ values of these nanoparticles (12.0 and 11.2 s−1 mM−1 for FA-PAA-Gd₂O₃ and cRGD/FA-PAA-Gd₂O₃) were about 4 times higher compared to commercial Gd-chelates. In addition, cRGD/FA-PAA-Gd₂O₃ provided higher contrast in all organs, specifically the aorta, due to the interaction of cRGD with blood cells which prolonged its circulation. The comparison r1 FA-PAA-Gd₂O₃ and cRGD/FA-PAA-Gd₂O₃ in some organs was shown in Figure 9. These 2 nanoparticles showed good biocompatibility towards NCTC1469 cells at a concentration of 500 μM. However, biocompatibility towards U87MG cells decreased as Gd concentration increased, which was affected by the targeting effect of FA and cRGD.


Figure 9 The T1-contrast ROI comparison of FA-PAA-Gd₂O₃ and cRGD/FA-PAA-Gd₂O₃ nanoparticles in (a) tumor, (b) aorta, (c) kidneys, and (d) liver before and after intravenous injection [66].


Proteins-notably natural materials- were proven to be effective carriers in biomedical applications, including Ferritin. Eukaryotic ferritin consisted of 2 subunits namely the heavy chain (H-chain, 21 kDa) and light chain (L-chain, 19 kDa) [35]. Human H-chain ferritin (HFn) was recognized for its active targeting capability against tumors due to its binding affinity to transferrin receptor 1 (TfR1) which played a role in regulating cell growth and overexpressed (100 times more) on various types of cancer cell surfaces, including lung and breast cancer [36]. The study of targeting abilities of HFn labeled by Gd (HFn-Gd) towards CFPAC-1 cancer cells that overexpressed the TfR1 receptor was reported by Cai et al. [34]. HFn-Gd showed the accumulation in the nuclei of CFPAC-1 cells that confirmed the in vitro specificity of HFn-Gd towards the TfR1 receptor. Additionally, HFn-Gd was also demonstrated to have good cell viability against CFPAC-1 and MDA-MB-231 cells, also its post-injection provided an MRI signal in tumor cells that was much stronger (r1 = 4.78 mM−1s−1) than the commercial Gd-DTPA signal which made HFn-Gd a promising candidate T1 contrast agents for cancer diagnosis [34].

The enhancement of nanoparticle targeting properties could also be done through the incorporation of simple molecules such as carbohydrate molecules, with one of the most studied being hyaluronic acid (HA). This molecule, HA, was a polysaccharide with high biocompatibility and could improve nanoparticle targeting through its interaction with the Cluster of Differentiation 44 (CD44) receptor which was overexpressed in cancer cells compared to normal cells [37,38,67,68]. CD44 receptor participated in cellular adhesion processes associated with inflammation, contributing to tumor invasion and metastasis. In vivo and in vitro studies of functionalized Gd2O3 nanoparticles with hyaluronic acid (HA-Gd2O3) for application as a T1 MRI contrast agent showed increased accumulation of HA-Gd2O3 in HepG2n cells, resulting in increased T1 MRI signal intensity (r1 = 6.0 mM−1s−1) and longer half-life compared to the commercial contrasting compound, Magnevist [39]. This confirmed that functionalization using HA could improve the targeting ability of GdNPs through HA binding to the CD44 receptor.

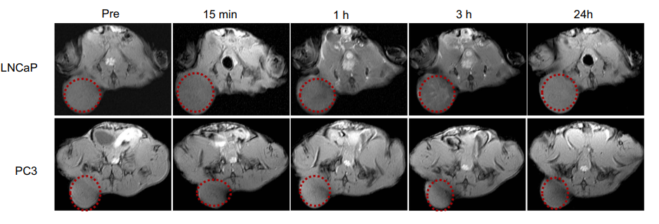
Another study regarding the enhancement of GdNP targeting properties was conducted by Jiang et al. [23], which designed targeted nanomaterials for the targeted detection of prostate cancer through the integration of MRI/FI modalities. The study successfully synthesized fluorescent silica nanoparticles loaded with gadolinium, subsequently functionalized with PEG-monoclonal antibody (mAb) YPSMA-1 which had a high affinity for PSMA (Prostate Specific Membrane Antigen) receptors that were slightly expressed in normal tissues but overexpressed in prostate cancer (PCa) [23]. [email protected]@SiO2-PEG-Ab demonstrated to have targeting ability both in vitro and in vivo against LNCap cells (human prostate cancer cell line) that overexpress PSMA receptors. In vitro study reported that [email protected]@SiO2-PEG-Ab internalized into LNCap cells (PSMA receptor positive) up to 99.67 % contrasting against PC3 cells (PSMA receptor negative) only 1.75 % (Figure 10) [23]. Correspondingly in vivo study showed an enhancement contrast in tumor tissue, signifying effective targeting ability and accumulation in tumor regions. These results showed that [email protected]@SiO2-PEG-Ab could be one of the promising candidates for prostate cancer diagnosis using dual imaging modalities of MRI/FI.

Figure 10 In vivo imaging before and after injection of [email protected]@SiO -PEG-Ab to the tumor cells [23].


Table 1 Summary of functionalization of GdNPs along with morphology characterization, in vitro as well as in vivo studies, and their applications.

Materials

Shape

davg (nm)

aavg (nm)

ζ (mV)

Surface modification

r1

(mM−1s−1)

Application

In vitro and

in vivo study

Ref.

Gd2O3

Quasi-spherical

±65

-

26.4 ± 5.31

-

-

T1-based MRI contrast agent

Good biocompatibility against Hep G2 cells up to a Gd concentration of 100 μg/mL

[16]

Gd2O3-PEG-Cys


Spherical

7.9 ± 0.4

-

-

PEG and L-Cys

3.59

Targeted contrast agent for lung cancer metastasis

Good biocompatibility against RAW264.7 cells up to a Gd concentration of 50 μM and has good targeting ability towards lung cancer

[25]

Gd/PFH@Alg-FA

Core-shell

26.3 ± 3.1

33.5 ± 1.9

-

Alginate-Folic Acid (Alg-FA)

6.27

Ultrasound (US)/magnetic resonance (MR) targeted dual imaging compound for Hepatoma carcinoma

Good biocompatibility against Hepa1-6 cells up to Gd concentration 1 mM. Shows 2.5 times higher internalization efficiency in Hepal-6 cells

[32]

Gd-MCNs

Hollow and spherical

¬150

320 - 325

-

Mesoporous carbon nanoparticle (MCN)

39.044

T1-based MRI contrast agent

Good biocompatibility against RAW264.7 and NIH-3T3 cells up to a Gd conc. 14 μM, has blood half-life of 95.89 min, and excellent colloidal stability

[31]

Gd2O3@PCD–FA

Spherical

<100 nm

131 ± 4.6

5.27

Poly(β-cyclodextrin-co-pentenic acid)-folic acid

(PCD-FA)

3.95

T1-based MRI contrast agent

Good biocompatibility against MCF-10A cells up to Gd3+ concentration 50 μg/mL. Can accumulate specifically in tumor cells that express folic acid receptors

[20]

Gd2O3@BSA-Au

Spherical

13.7 ± 2.3

41

32

BSA-Au

-

Radiosensitizer for breast cancer diagnostic and therapy

Good biocompatibility against HUVEC cells up to concentration 40 μg/mL, no negative effects on healthy organs

[69]

Gal-PEG750(1)

Gal-PEG2000(2)

Gal-PEG5000(3)

Core-shell

¬110

133(1)

189(2)

210(3)

5.69(1)

7.48(2)

8.16(3)

PEG-salicylic acid

11.097(2)

T1-based MRI contrast agent

Good biocompatibility against HepG-2 cells up to a concentration of 320 μg/mL. Mainly metabolized in the liver, has excellent water dispersity, and long retention time in the bloodstream.

[24]

Gd-chelated PEG-TCPP

Spherical

30

35

-

PEG-TCPP2000

35.76

T1-based MRI contrast agent

Good biocompatibility against PDEC and PANC-1 cells up to concentration 1 mM

Demonstrated superior vascular imaging quality and high spatial resolution reception

[70]

FA-PAA-Gd2O3(1)
cRGD/FA-PAA-Gd2O3(2)

Spherical

11.4(1)

13.8(2)

1.7

33.9(1)

16.6(2)


cRGD/FA-PAA-

12 (1)

11.2(2)

T1-based MRI contrast agent

Good biocompatibility against NCTC1469 and U87MG cells up to a Gd conc. of 500 μM and

show excellent colloidal stability

(1)showed higher contrast in all organs, especially in the aorta due to longer circulation time in the blood.

[66]

NHA:Gd-PEI(1)

NHA:Gd-DOX(2)

Rod

l: 44.3 ± 5.9


d: 11.3 ± 1.3


56.4 ± 3.2(1)


137.4 ± 6.9(2)


29.66 ± 0.44(1)


23.82 ± 1.62(2)

Hydroxyapatite

0.0472

(μg/mL)−1s−1

T1-based MRI contrast agent and drug delivery for breast cancer therapy

(1)Good biocompatibility against MCF-7 cells and normal human embryo kidney at concentration 0.8μg/mL

Improved therapeutic efficiency(2) better than free DOX up to a concentration o0.8μg/mL against MCF-7 cells

[71]

Gd2O3@MSN

Spherical/ellipsoid

86.85 ± 10.44

162.50


negative

Mesoporous silica

51.85 ± 1.38

T1-based MRI contrast agent

Good biocompatibility against AsPC-1, PaCa-2 and 4T1 cells up to a concentration of 200μg/mL

[37]

PEG-NaGdF4

Spherical

¬100

-

-

PEG

6.46

T1-based MRI contrast agent

Good biocompatibility against A549 and MCF-7 cells up to a concentration of 500 μg/mL

(>90 %)

[34]

DEG-Gd2O3(1)

TEG-Gd2O3(2)

TeEG-Gd2O3(3)

PEG-Gd2O3(4

Globular

13 ± 2(1)

16 ± 2(2)

19 ± 2(3)

21 ± 2(4)

-

-

DEG(1)

TEG(2)

TeEG(3)

PEG(4)

1.14(1)

2.60(2)

3.99(3)

5.75(4)


T1-based MRI contrast agent

PEG-Gd2O3 has the best biocompatibility with HEK 293 cells up to a concentration 1 mM.

Enhanced r1 value

[28]

HFn-Gd

Spherical cagelike

-

13.6

14.3 ± 0.8

Ferritin

4.78

T1-based MRI contrast agent

Good biocompatibility against CFPAC-1 and MDA-MB-231 cells up to Gd concentration of 200 μg/mL.

Demonstrated good stability and active targeting ability against cancer cells positive Tfr1 receptor

[49]

HA-Gd2O3

Spherical

-

103

-

Hyaluronic acid (HA)

6.0

Targeted T1-based MRI contrast agent

Good biocompatibility against HepG2 and VSMC cells up to a concentration of 200 μg/mL.

Demonstrated active targeting ability against cancer cells positive CD44 receptor

[19]

PAAMA-Gd2O3

Spherical

1.8 ± 0.1

9 ± 0.2

43.9 ± 0.2

poly(acrylic acid-co-maleic acid) (PAAMA)

40.6 ± 0.1

T1-based MRI contrast agent

Good biocompatibility against DU145 and NCTC1469 cells up to concentration 500 μM Gd and increased the r1 value

[21]

[email protected]@SiO2-PEG-Ab

Spherical

-

125.5 ± 9.9

21.1 ± 4.0

PEG-monoclonal antibody (mAb)

12.53

Dual MR/FI imaging agent for prostate cancer diagnosis

Good biocompatibility against LNCaP and PC3 cells up to a concentration of 400 μg/mL.

Has targeting capabilities both in vitro and in vivo Enhanced contrast in tumor tissue

[55]

Gd2O3@C

Core-shell

3.1 ± 1.0

18.9 ± 10

-

Carbon (C)

16.26

T1-based MRI contrast agent

Good biocompatibility against DU145 and NCTC1469 cells up to Gd concentration of 500 μg/mL.

Increased r1 value

Has excellent colloidal stability

[30]


Conclusions

In conclusion, in recent years, there was an extensive advancement in the development of nanoparticles for biomedical applications, specifically in their application as MRI contrast agents, with a notable focus on GdNPs. The utilization of GdNPs for biomedical applications specifically as MRI contrast must consider their toxicity and cellular uptake. Biocompatibility of GdNPs needed to be ensured and the GdNPs that were injected into the body could work properly and mitigate any potential toxicity or adverse effects. Simultaneously, the internalization of GdNPs to target cells also must be considered to accumulate GdNPs in target cells, compared to nontarget cells, and maximize their performance, however, more contrast could be resulted.

Nanoparticles, owing to their small size, possessed the capability to accumulate in tumor cells through the “endothelial gap” facilitated by leaky blood vessels in cancerous tissues using EPR effect. Consequently, the size of nanoparticles was one of the important factors affecting the internalization of GdNPs in the body. Beyond size, charge, and surface (hydrophobicity and hydrophilicity) this could also affect the stability of nanoparticles in the body, and surface functionalization of GdNPs could be done to improve functionality or performance of GdNPs.

A strategy to functionalize the surface of nanoparticles became imperative for enhancing their functionality and overall performance. This strategy was designed to optimize nanoparticle specifically to achieve good stability, biocompatibility, and cellular uptake. Numerous studies were developed to functionalize GdNPs using various molecules that could improve biocompatibility and targeting properties of GdNPs in their uptake. Functionalization using targeting molecules such as proteins, antibodies, aptamers, and others, was demonstrated and could improve GdNP uptake due to the increased targeting properties of nanoparticles to specific receptors. Therefore, there was more accumulation of the cancer cells of interest as well as MRI contrast enhancement. Various molecules could be used to functionalize GdNPs to achieve good biocompatibility and cell internalization. During functionalization process, it was important to employ an appropriate method that ensured the attachment of the target molecule to the surface of GdNPs without altering its structural integrity and compromising its targeting efficacy.

The morphological characteristics of GdNPs significantly affected their cellular uptake and biocompatibility. The modification of GdNPs through the specific molecules could effectively enhance their targeting capabilities, cellular uptake, and overall biocompatibility, particularly in the context of improving the imaging capability as MRI contrast agents for diagnostic purposes. In addition, these advancements held the potential for significant progress not only in the field of diagnostics but also for further therapeutic purposes due to more accurate and effective treatment could be achieved.


Acknowledgments

The authors showed gratitude to Riset Percepatan Lektor Kepala (1560/UN6.3.1/PT.00/2024) and Academic Leadership Grant (1458/UN6.3.1/PT.00/ 2024) Universitas Padjadjaran, Indonesia, for the grant support.


References

[1] S Lacerda. Targeted contrast agents for molecular MRI. Inorganics 2018; 6(4), 129.

[2] AA Rahmani, Q Jia, HH Bahti and RP Fauzia. Recent advances in lanthanide-based nanoparticle contrast agents for magnetic resonance imaging: Synthesis, characterization, and applications. OpenNano 2025; 21, 100226.

[3] RP Fauzia, AG Denkova and K Djanashvili. Potential of MRI in radiotherapy mediated by small conjugates and nanosystems. Inorganics 2019; 7(5), 59.

[4] L Smith, HL Byrne, D Waddington and Z Kuncic. Nanoparticles for MRI-guided radiation therapy: A review. Cancer Nanotechnology 2022; 13, 38.

[5] TA Rose and JW Choi. Intravenous imaging contrast media complications: The basics that every clinician needs to know. American Journal of Medicine 2015; 128(9), 943-949.

[6] H Setiawan, F Triyatna, A Nurmanjaya, M Subechi, DA Sarwono, AA Billah and F Rindiyantono. Synthesis and characterization of gadolinium nanoparticles using polyol method as a candidate for MRI contrast agent. In: Proceedings of the 3rd International Conference on Sciences and Technology Applications, Medan, Indonesia. 2022, p. 12010.

[7] M Yon, C Billotey and JD Marty. Gadolinium-based contrast agents: From gadolinium complexes to colloidal systems. International Journal of Pharmaceutics 2019; 569, 118577.

[8] MF Attia, N Anton, J Wallyn, Z Omran and TF Vandamme. An overview of active and passive targeting strategies to improve the nanocarriers efficiency to tumour sites. Journal of Pharmacy and Pharmacology 2019; 71(8), 1185-1198.

[9] G Sanità, B Carrese and A Lamberti. Nanoparticle surface functionalization: How to improve biocompatibility and cellular internalization. Frontiers in Molecular Biosciences 2020; 7, 587012.

[10] M Ma, Y Huang, H Chen, X Jia, S Wang, Z Wang and J Shi. Bi2S3-embedded mesoporous silica nanoparticles for efficient drug delivery and interstitial radiotherapy sensitization. Biomaterials 2015; 37, 447-455.

[11] P Shi, Z Cheng, K Zhao, Y Chen, A Zhang, W Gan and Y Zhang. Active targeting schemes for nano-drug delivery systems in osteosarcoma therapeutics. Journal of Nanobiotechnology 2023; 21, 103.

[12] RP Fauzia, AJ Sinambela, Z Afriani, Q Jia, HH Bahti and S Wyantuti. Synthesis and characterization of folic acid-modified polyethylene glycol-coated holmium nanoparticles as targeted magnetic resonance imaging agent candidate. Chinese Journal of Analytical Chemistry 2025; 53(1), 100478.

[13] N Hoshyar, S Gray, H Han and G Bao. The effect of nanoparticle size on in vivo pharmacokinetics and cellular interaction. Nanomedicine 2016; 11(6), 673-692.

[14] C He, Y Hu and L Yin. Effects of particle size and surface charge on cellular uptake and biodistribution of polymeric nanoparticles. Biomaterials 2010; 31(13), 3657-3666.

[15] SMA Sadat, ST Jahan and A Haddadi. Effects of size and surface charge of polymeric nanoparticles on in vitro and in vivo applications. Journal of Biomaterials and Nanobiotechnology 2016; 7, 91-108.

[16] F Whba, F Mohamed and MI Idris. Evaluation of physicochemical and biocompatibility characteristics of gadolinium oxide nanoparticles as magnetic resonance imaging contrast agents. Radiation Physics and Chemistry 2023; 213, 111189.

[17] P Vahdatkhah, HRM Hosseini, A Khodaei, AR Montazerabadi, R Irajirad, MA Oghabian and H Delavari. Rapid microwave-assisted synthesis of PVP-coated ultrasmall gadolinium oxide nanoparticles for magnetic resonance imaging. Chemical Physics 2015; 453-454, 35-41.

[18] Y Dai, C Wu, S Wang, Q Li, M Zhang, J Li and K Xu. Comparative study on in vivo behavior of PEGylated gadolinium oxide nanoparticles and Magnevist as MRI contrast agent. Nanomedicine 2018; 14(2), 547-555.

[19] A Guleria, P Pranjali, MK Meher, A Chaturvedi, S Chakraborti, R Raj, KM Poluri and D Kumar. Effect of polyol chain length on proton relaxivity of gadolinium oxide nanoparticles for enhanced magnetic resonance imaging contrast. Journal of Physical Chemistry C 2019; 123(29), 18061-18070.

[20] T Mortezazadeh, E Gholibegloo, NR Alam, S Dehghani, S Haghgoo, H Ghanaati and M Khoobi. Gadolinium (III) oxide nanoparticles coated with folic acid-functionalized poly(β-cyclodextrin-co-pentetic acid) as a biocompatible targeted nano-contrast agent for cancer diagnostic: In vitro and in vivo studies. MAGMA 2019; 32(4), 487-500.

[21] YJ Jang, S Liu, H Yue, JA Park, H Cha, S Ho, S Marasini, A Ghazanfari, MY Ahmad, X Miao, T Tegafaw, KS Chae, Y Chang and GH Lee. Hydrophilic biocompatible poly(acrylic acid-co-maleic acid) polymer as a surface-coating ligand of ultrasmall Gd2O3 nanoparticles to obtain a high R1 value and T1 Mr images. Diagnostics 2021; 11(1), 2.

[22] MY Ahmad, MW Ahmad, H Yue, SL Ho, JA Park, KH Jung, H Cha, S Marasini, A Ghazanfari, S Liu, T Tegafaw, KS Chae, Y Chang and GH Lee. In vivo positive magnetic resonance imaging applications of poly(methyl vinyl ether-alt-maleic acid)-coated ultra-small paramagnetic gadolinium oxide nanoparticles. Molecules 2020; 25(5), 1159.

[23] W Jiang, H Fang, F Liu, X Zhou, H Zhao, X He and D Guo. PEG-coated and Gd-loaded fluorescent silica nanoparticles for targeted prostate cancer magnetic resonance imaging and fluorescence imaging. International Journal of Nanomedicine 2019; 14, 5611-5622.

[24] J Zhang, Z Lin, M Zhao, W Xu and F Nian. Preparation and MRI performances of core-shell structural PEG salicylic acid-gadolinium composite nanoparticles. Journal of Rare Earths 2022; 40(7), 1098-1105.

[25] Y Sui, Y Li, Y Li, H Jin, Y Zheng, W Huang and S Chen. Tumor-specific design of PEGylated gadolinium-based nanoscale particles: Facile synthesis, characterization, and improved magnetic resonance imaging of metastasis lung cancer. Journal of Photochemistry and Photobiology B: Biology 2020; 202, 111669.

[26] S Huang, Q Han, L Wang, T Gong and Q Yuan. One-pot synthesis of PEGylated Gd-based nanoparticles as high-performance and biocompatibility contrast agents for T1-weighted magnetic resonance imaging in vivo. Chemical Research in Chinese Universities 2019; 35(3), 537-541.

[27] S Wyantuti, B Fadhilatunnisa, RP Fauzia, AA Ramani, Irkham and HH Bahti. Response surface methodology box-behnken design to optimise the hydrothermal synthesis of gadolinium nanoparticles. Chinese Journal of Analytical Chemistry 2023; 51(10), 100316.

[28] K He, J Li, Y Shen and Y Yu. pH-Responsive polyelectrolyte coated gadolinium oxide-doped mesoporous silica nanoparticles (Gd2O3@MSNs) for synergistic drug delivery and magnetic resonance imaging enhancement. Journal of Materials Chemistry B 2019; 7(43), 6840-6854.

[29] J Yin, X Wang, H Zheng, J Zhang, H Qu, L Tian, F Zhao and Y Shao. Silica nanoparticles decorated with gadolinium oxide nanoparticles for magnetic resonance and optical imaging of tumors. ACS Applied Nano Materials 2021; 4(4), 3767-3779.

[30] H Yue, S Marasini, MY Ahmad, SL Ho, H Cha, S Liu, YJ Jang, T Tegafaw, A Ghazanfari, X Miao, KS Chae, Y Chang and GH Lee. Carbon-coated ultrasmall gadolinium oxide (Gd2O3@C) nanoparticles: Application to magnetic resonance imaging and fluorescence properties. Colloids and Surfaces A: Physicochemical and Engineering Aspects 2020; 586, 124261.

[31] C Zhang, C Shi, P Chang, S Bian, B Li, J Li and P Hou. MRI directed magnevist effective to study toxicity of Gd-doped mesoporous carbon nanoparticles in mice model. International Journal of Nanomedicine 2023; 18, 6119-6136.

[32] F Maghsoudinia, MB Tavakoli, RK Samani, SH Hejazi, T Sobhani, F Mehradnia and MA Mehrgardi. Folic acid-functionalized gadolinium-loaded phase transition nanodroplets for dual-modal ultrasound/magnetic resonance imaging of hepatocellular carcinoma. Talanta 2021; 228, 122245.

[33] LA Helmy, M Abdel-Halim, R Hassan, A Sebak, HAM Farghali, S Mansour and SN Tammam. The other side to the use of active targeting ligands; the case of folic acid in the targeting of breast cancer. Colloids and Surfaces B: Biointerfaces 2022; 211, 112289.

[34] Y Cai, Y Wang, T Zhang and Y Pan. Gadolinium-labeled ferritin nanoparticles as T1 contrast agents for magnetic resonance imaging of tumors. ACS Applied Nano Materials 2020; 3(9), 8771-8783.

[35] MQ Rodrigues, PM Alves and A Roldão. Functionalizing ferritin nanoparticles for vaccine development. Pharmaceutics 2021; 13(10), 1621.

[36] J He, K Fan and X Yan. Ferritin drug carrier (FDC) for tumor targeting therapy. Journal of Controlled Release 2019; 311-312, 288-300.

[37] K Kim, H Choi, ES Choi, MH Park and JH Ryu. Hyaluronic acid-coated nanomedicine for targeted cancer therapy. Pharmaceutics 2019; 11(7), 301.

[38] Z Luo, Y Dai and H Gao. Development and application of hyaluronic acid in tumor targeting drug delivery. Acta Pharmaceutica Sinica B 2019; 9(6), 1099-1112.

[39] C Wu, R Cai, T Zhao, L Wu, L Zhang, J Jin, L Xu, P Li, T Li, M Zhang and F Du. Hyaluronic acid-functionalized gadolinium oxide nanoparticles for magnetic resonance imaging-guided radiotherapy of tumors. Nanoscale Research Letters 2020; 15(1), 94.

[40] A Fatima, MW Ahmad, AKAA Saidi, A Choudhury, Y Chang and GH Lee. Recent advances in gadolinium based contrast agents for bioimaging applications. Nanomaterials 2021; 11(9), 2449.

[41] SD Serai, ML Ho, M Artunduaga, SS Chan and GB Chavhan. Components of a magnetic resonance imaging system and their relationship to safety and image quality. Pediatric Radiology 2021; 51(5), 716-723.

[42] S Khairnar, N More, C Mounika and G Kapusetti. Advances in contrast agents for contrast-enhanced magnetic resonance imaging. Journal of Medical Imaging and Radiation Sciences 2019; 50(4), 575-589.

[43] YD Xiao, R Paudel, J Liu, C Ma, ZS Zhang and SK Zhou. MRI contrast agents: Classification and application. International Journal of Molecular Medicine 2016; 38(5), 1319-1326.

[44] S Caspani, R Magalhães, JP Araújo and CT Sousa. Magnetic nanomaterials as contrast agents for MRI. Materials 2020; 13(11), 2586.

[45] Y Jeong, HS Hwang and K Na. Theranostics and contrast agents for magnetic resonance imaging. Biomaterials Research 2018; 22, 20.

[46] SM Vithanarachchi and MJ Allen. Strategies for target-specific contrast agents for magnetic resonance imaging. Current Molecular Imaging 2012; 1(1), 12-25.

[47] T Curry, R Kopelman, M Shilo and R Popovtzer. Multifunctional theranostic gold nanoparticles for targeted CT imaging and photothermal therapy. Contrast Media & Molecular Imaging 2014; 9(1), 53-61.

[48] Y Shi, RVD Meel, X Chen and T Lammers. The EPR effect and beyond: Strategies to improve tumor targeting and cancer nanomedicine treatment efficacy. Theranostics 2020; 10(17), 7921-7924.

[49] R Augustine, A Hasan, R Primavera, RJ Wilson, AS Thakor and BD Kevadiya. Cellular uptake and retention of nanoparticles: Insights on particle properties and interaction with cellular components. Materials Today Communications 2020; 25, 101692.

[50] E Fröhlich. The role of surface charge in cellular uptake and cytotoxicity of medical nanoparticles. International Journal of Nanomedicine 2012; 7, 5577-5591.

[51] K Kettler, K Veltman, DVD Meent, AV Wezel and AJ Hendriks. Cellular uptake of nanoparticles as determined by particle properties, experimental conditions, and cell type. Environment Toxicology Chemistry 2014; 33(3), 481-492.

[52] S Majeed and SA Shivashankar. Rapid microwave-assisted synthesis of Gd2O3 and Eu:Gd2O3 nanocrystals: Characterization, magnetic, optical and biological studies. Journal of Materials Chemistry B 2014; 2(34), 5585-5593.

[53] L Zhou, T Yang, J Wang, Q Wang, X Lv, H Ke, Z Guo, J Shen, Y Wang, C Xing and H Chen. Size-tunable Gd2O3@Albumin nanoparticles conjugating chlorin e6 for magnetic resonance imaging-guided photo-induced therapy. Theranostics 2017; 7(3), 764-774.

[54] A Chaturvedi, P Pranjali, MK Meher, R Raj, M Basak, RK Singh, KM Poluri, D Kumar and A Guleria. In vitro and ex vivo relaxometric properties of ethylene glycol coated gadolinium oxide nanoparticles for potential use as contrast agents in magnetic resonance imaging. Journal of Applied Physics 2020; 128, 34903.

[56] M Awashra and P Młynarz. The toxicity of nanoparticles and their interaction with cells: An in vitro metabolomic perspective. Nanoscale Advances 2023; 5(10), 2674-2723.

[57] P Sabourian, G Yazdani, SS Ashraf, M Frounchi, S Mashayekhan, S Kiani and A Kakkar. Effect of physico-chemical properties of nanoparticles on their intracellular uptake. International Journal of Molecular Sciences 2020; 21(21), 8019.

[58] L Kou J, Sun, Y Zhai and Z He. The endocytosis and intracellular fate of nanomedicines: Implication for rational design. Asian Journal of Pharmaceutical Sciences 2013; 8(1), 1-10.

[59] T Mortezazadeh, E Gholibegloo, NR Alam, S Haghgoo and A Mesbahi. In vitro and in vivo characteristics of doxorubicin-loaded cyclodextrine-based polyester modified gadolinium oxide nanoparticles: A versatile targeted theranostics system for tumour chemoteraphy and molecular resonance imaging. Journal of Drug Targeting 2019; 28(5), 533-546.

[60] E Wysokińska, J Cichos, E Zioło, A Bednarkiewicz, L Strządała, M Karbowiak, D Hreniak and W Kałas. Cytotoxic interactions of bare and coated NaGdF4:Yb3+:Er3+ nanoparticles with macrophage and fibroblast cells. Toxicology in Vitro 2016; 32, 16-25.

[61] FS Mozar and EH Chowdhury. Impact of PEGylated nanoparticles on tumor targeted drug delivery. Current Pharmaceutical Design 2018; 24(28), 3283-3296.

[62] Z Li, J Guo, M Zhang, G Li and L Hao. Gadolinium-coated mesoporous silica nanoparticle for magnetic resonance imaging. Frontiers in Chemistry 2022; 10, 837032.

[63] D Kudaibergen, HS Park, J Park, GB Im, JR Lee, YK Joung, SH Bhang and JH Kim. Silica-based advanced nanoparticles for treating ischemic disease. Tissue Engineering and Regenerative Medicine 2023; 20(2), 177-198.

[64] H Chen, GD Wang, W Tang, T Todd, Z Zhen, C Tsang, K Hekmatyar, T Cowger, R Hubbard, W Zhang, J Stickney, B Shen and J Xie. Gd-encapsulated carbonaceous dots with efficient renal clearance for magnetic resonance imaging. Advanced Materials 2014; 26(39), 6761-6766.

[65] RP Fauzia and HH Bahti. Sintesis dan karakterisasi (3-aminopropil)-trimetoksisilan terkonjugasi asam folat untuk fungsionalisasi nanopartikel (in Indonesian). Chimica et Natura Acta 2023; 11(1), 36-40.

[66] C Martín-Sabroso, AI Torres-Suárez, M Alonso-González, A Fernández-Carballido and AI Fraguas-Sánchez. Active targeted nanoformulations via folate receptors: State of the art and future perspectives. Pharmaceutics 2022; 14(1), 14.

[67] SL Ho, H Yue, S Lee, T Tegafaw, MY Ahmad, S Liu, AKAA Saidi, D Zhao, Y Liu, SW Nam, KS Chae, Y Chang and GH Lee. Mono and multiple tumor-targeting ligand-coated ultrasmall gadolinium oxide nanoparticles: Enhanced tumor imaging and blood circulation. Pharmaceutics 2022; 14(7), 1458.

[68] G Huang and H Huang. Hyaluronic acid-based biopharmaceutical delivery and tumor-targeted drug delivery system. Journal of Controlled Release 2018; 278, 122-126.

[69] E López-Ruiz, G Jiménez, LÁD Cienfuegos, C Antic, R Sabata, JA Marchal and P Gálvez-Martín. Advances of hyaluronic acid in stem cell therapy and tissue engineering, including current clinical trials. European Cells & Materials 2019; 37, 186-213.

[70] H Nosrati, M Salehiabar, J Charmi, K Yaray, M Ghaffarlou, E Balcioglu and YN Ertas. Enhanced in vivo radiotherapy of breast cancer using gadolinium oxide and gold hybrid nanoparticles. ACS Applied Bio Materials 2023; 6(2), 784-792.

[71] Z Liu, M Zhao, H Wang, Z Fu, H Gao, W Peng, D Ni, W Tang and Y Gu. High relaxivity Gd3+ based organic nanoparticles for efficient magnetic resonance angiography. Journal of Nanobiotechnology 2022; 20, 170.

[72] Y Liu, Y Tang, Y Tian, J Wu, J Sun, Z Teng, S Wang and G Lu. Gadolinium-doped hydroxyapatite nanorods as T1 contrast agents and drug carriers for breast cancer therapy. ACS Applied Nano Materials 2019; 2(3), 1194-1201.