Trends
Sci.
2025; 22(5): 9505
Characterization of Staphylococcus aureus from Bovine Mastitis: Genetic Markers and Antibiotic Resistance
Supachai Nitipan1,2,*, Hudadini Da-Oh1 and Soriya Thongaupao1
1Department of Biology, Faculty of Science and Digital Innovation, Thaksin University, Phatthalung Campus, Phatthalung 93210, Thailand
2Microbial Technology for Agriculture, Food and Environment Research Center, Thaksin University,
Phatthalung Campus, Phatthalung 93210, Thailand
(*Corresponding author’s e-mail: [email protected])
Received: 11 December 2024, Revised: 19 January 2025, Accepted: 26 January 2025, Published: 25 March 2025
Abstract
Staphylococcus aureus is a significant contributor to subclinical bovine mastitis, causing economic losses in the dairy sector. This study aimed to isolate and characterize S. aureus from 51 subclinical bovine milk samples. Bacterial colonies were cultured on Mannitol Salt Agar (MSA) using ten-fold serial dilutions, and isolates were identified based on catalase and coagulase tests. Antibiotic resistance screening was conducted on MSA supplemented with 16 µg/mL penicillin G. Molecular characterization employed PCR to detect the nuc, coa, clfa, mecA, blaZ, and se genes. Antibiotic susceptibility testing followed the disc diffusion method, and penicillin G minimum inhibitory concentrations (MICs) were determined using broth microdilution. Sequence and phylogenetic analyses of the blaZ gene were performed to investigate genetic variations and their association with resistance. Results showed that 14 isolates harbored resistance genes from milk samples with high somatic cell counts, though the se gene was absent. All isolates demonstrated 100 % susceptibility to gentamicin, streptomycin, rifampin, ampicillin, and chloramphenicol, while exhibiting complete resistance to penicillin, cefotetan, and nalidixic acid. The minimum inhibitory concentration (MIC) of penicillin G varied widely, ranging from 16 to 512 µg/mL. Phylogenetic analysis identified three distinct groups; however, no significant correlation was found between blaZ variations and resistance levels. These findings emphasizing the importance of robust surveillance and responsible antibiotic use to control bovine mastitis in Thailand.
Keywords: Bovine milk, Subclinical mastitis, Antibiotic resistance, Molecular characterization, Beta-lactamase
Introduction
Bovine mastitis causes significant economic losses in the dairy industry [1-3]. Antimicrobial drugs are the primary tool for controlling mastitis in dairy herds, with β-lactam antibiotics, especially penicillin which inhibits bacterial cell wall synthesis, commonly used. However, high usage frequency and overdose of antimicrobial agents can promote the development of resistance in mastitis-causing pathogens, posing risks to both animal and human health [4-6].
Staphylococcus aureus is a leading cause of bovine mastitis [7], with infected udders serving as the primary reservoir [8]. Its array of virulence factors enables it to evade the host immune system, by interfering with key defense mechanisms such as phagocytosis, complement activation, and neutrophil-mediated responses [9,10]. These immune evasion strategies contribute to chronic infections, local inflammation, and increased resistance to treatment, underscoring the pathogen’s impact on dairy health and productivity.
Several studies have reported the isolation of penicillin-resistant S. aureus from cow milk with clinical and subclinical mastitis [11,12]. Penicillin resistance in S. aureus primarily arises from 2 mechanisms: The production of beta-lactamase (encoded by the blaZ gene) and alterations in penicillin-binding proteins (PBPs) [13,14]. The blaZ gene provides resistance to penicillin and aminopenicillins by encoding beta-lactamase, which hydrolyzes these antibiotics [15]. In contrast, methicillin-resistant S. aureus (MRSA) is defined by the presence of the mecA gene, which encodes PBP2a, a low-affinity PBP that confers resistance to nearly all beta-lactams. Most MRSA strains also harbor the blaZ gene, further enhancing resistance to penicillin [16]. Interestingly, some isolates carrying the blaZ gene may display phenotypic sensitivity to beta-lactams, suggesting variable expression of the resistance mechanism [17].
Understanding the genetic and phenotypic characteristics of S. aureus, particularly its resistance profiles, is critical for effective treatment and prevention strategies. This is especially relevant in regions like Southern Thailand, where data on β-lactam-resistant S. aureus in bovine mastitis is limited. Antibiotic resistance not only reduces the efficacy of treatment but also poses a risk of zoonotic transmission, endangering public health and the global fight against antimicrobial resistance.
Therefore, this study focuses on isolating β-lactam-resistant S. aureus from bovine mastitis milk samples collected from local dairy farms in Southern Thailand. The research investigates antimicrobial susceptibility patterns, detects the presence of the blaZ gene, and explores the potential relationship between blaZ nucleotide sequence diversity and penicillin G MIC. The findings aim to provide crucial insights for the development of targeted therapeutic strategies and informed antibiotic use in the dairy industry, ultimately contributing to the global effort to mitigate antimicrobial resistance.
Materials and methods
Sample collection and isolation
A total of 51 bovine milk samples were collected from 10 local dairy herds in Phatthalung Province, southern Thailand. The samples were obtained from dairy farms where milk is collected daily by the farmers.
Samples with high somatic cell counts, scored as CMT+3 by the California Mastitis Test (CMT), were aseptically collected in 100 mL sterile bottles and immediately stored on ice. A 50 mL aliquot of each sample was used to accurately determine the somatic cell count using an automatic cell counter, the Fossomatic 5000. A 100 µL aliquot of each sample was spread onto Mannitol salt agar (MSA) plates and incubated overnight at 37 °C for 24 h. Round and yellow colonies were selected and re-streaked onto the same medium to obtain single pure cultures for subsequent biochemical identification.
Biochemical identification
The suspected colonies were identified using standard microbiological methods including Gram staining, coagulase, and catalase tests. The coagulase test used a 2.0 McFarland suspension of each isolate mixed with coagulase rabbit plasma and incubated at 37 °C for 6 - 8 h. The catalase test involved mixing bacteria with 0.85 % NaCl and 3 % H2O2, observing oxygen bubbles within 5 - 10 s.
Molecular identification
Bacterial gDNA extraction
S. aureus cells were harvested after overnight growth in Nutrient Broth (NB) medium. The cells were pelleted by centrifuging 2 mL of the culture at 5,000 ×g for 5 min. Genomic DNA (gDNA) was then extracted using the TIAamp™ bacterial gDNA extraction kit (China) according to the manufacturer’s instructions. The gDNA was eluted in TE buffer and stored at −20 °C for further analysis.
PCR amplification
Molecular characterization of the isolates was determined by the PCR targeting marker genes (coa, nuc, se, and claf) and the antibiotic resistance genes (blaZ and mecA) using the primers listed in Table 1. The PCR reaction was performed in a total volume of 50 µL containing 5X Phusion HF buffer (7.5 mM MgCl2), 0.5 µM of each primer, 200 µM of each dNTP, 1U of Phusion High-Fidelity DNA polymerase (Thermo Scientific, USA), and 10 ng of DNA template. The PCR was carried out in a T100 thermal cycler (Bio-Rad, USA) with initial denaturation at 95 °C for 3 min; 30 cycles of denaturation at 95 °C for 60 s, annealing (temperature dependent on Tm of each primer set, Table 1) for 45 s, and extension at 72 °C for 60 s, followed by a final extension at 72 °C for 5 min. The amplicons were analyzed by 1.5 % agarose gel electrophoresis.
Table 1 Primers and their sequences.
Genes |
Sequences |
Annealing temp (°C) |
Amplicon size (bp) |
References |
Nuc |
Nuc1: CGA TTG ATG GTG ATA CGG TT Nuc2: ACG CAA GCC TTG ACG AAC TAAAGC |
52 |
270 |
[43] |
Coa |
Coa1: ATA GAG ATG CTG GTA CAG G Coa2: GCT TCC GAT TGT TCG ATG C |
57 |
640 |
[44] |
Clfa |
Clfa1: GGC TTC AGT GCT TGT AGG Clfa2: TTT TCA GGG TCA ATA TAA GC |
54 |
975 |
[45] |
Se |
Se1: TTG GAA ACG GTT AAA ACG AA Se2: GAA CCT TCC CAT CAA AAA CA |
50 |
130 |
[46] |
BlaZ |
BlaZ1: CAA AGA TGA TAT AGT TGC TTA TTC TCC BlaZ2: TGC TTG ACC ACT TTT ATC AGC |
50 |
480 |
[47] |
MecA |
MecA1: AAA ATC GAT GGT AAA GGT TGG MecA2: GCT TCC GAT TGT TCG ATG C |
55 |
533 |
[48] |
Sequence analysis of the BlaZ gene in the S. aureus strain isolated from bovine mastitis
PCR products of the blaZ gene amplification were purified using a PCR product purification kit (Invitrogen, USA) following the manufacturer’s instructions, and then sequenced using Sanger’s method (1st Base Molecular Biology Service, Malaysia). The 2-directional blaZ sequences from each isolate were aligned using BioEdit v 7.2.5 [19] and their closest relative DNA sequences were identified from the NCBI database using the BLAST algorithm. All DNA sequences were translated into amino acid sequences using the Translate tool in the Expasy Proteomic Server. Sequence similarity was aligned with the Clustal Omega program (EMBL-EBI), and a phylogenetic tree was constructed using the MEGA 11 program (Molecular Evolutionary Genetics Analysis v 11) [20].
Antimicrobial susceptibility testing
A total of 293 isolates of S. aureus were identified and screened for antibiotic resistance. Pure cultures of S. aureus were prepared and spotted on MSA supplemented with 16 µg/mL penicillin G, then incubated at 30 °C for 24 h. Among these, 14 penicillin-resistant S. aureus isolates were further tested for antibiotic susceptibility using the disc diffusion method. The following antimicrobial discs (Thermo Scientific, USA) were used: gentamycin (10 µg), kanamycin (30 µg), streptomycin (10 µg), tetracycline (30 µg), chloramphenicol (30 µg), rifampin (5 µg), nalidixic acid (30 µg), ampicillin (10 µg), erythromycin (15 µg), amoxicillin (30 µg), cefotetan (30 µg), and methicillin (10 µg). The bacterial density of each isolate was adjusted to a 0.5 McFarland standard using sterile 0.85% NaCl. Cultures were then grown on Mueller-Hinton Agar (MHA) medium at 30 °C. Susceptibility was determined based on the diameter of the clear zone around each disc, following the Clinical and Laboratory Standards Institute (CLSI) guidelines [18]. S. aureus TISTR 1466 was included as a control for quality assurance.
Minimum inhibitory concentration (MIC) of penicillin G
The MIC of penicillin G was determined by the broth microdilution method (CLSI, 2012). Penicillin G was 2-fold diluted in MSA medium to concentrations ranging from 2 to 1,024 µg/mL. S. aureus isolates were prepared to a 0.5 McFarland standard with sterile 0.85 % NaCl. The final reaction volume of 200 µL included 100 µL of bacterial suspension and 100 µL of antibiotic solution. The microplate was incubated at 30 °C for 24 h, with the MIC defined as the lowest concentration producing no visible growth.
Results and discussion
Isolation and characterization of S. aureus
Fifty-One subclinical bovine milk samples, with somatic cell counts averaging 2×106 to 9×106 cells/mL, were analyzed for the presence of S. aureus bacteria using the 10-fold serial dilution method. From these samples, 293 S. aureus isolates (6.87 %) were identified based on their round, yellow colonies and positive results for coagulase and catalase tests. Among these, 14 isolates exhibited resistance to penicillin G (Table 2). The observed prevalence of S. aureus (6.87 %) was lower than reported in previous studies conducted in Thailand, including 7.3 % in Khon Kaen Province [21], 8 % in Chiang Mai Province [22], and 10.4 % in central and northeastern provinces [23].
Table 2 Frequency of S. aureus isolated from raw milk at different somatic cell count levels.
SCC×1,000 (cell/mL) |
No. milk sample (%) |
No. S. aureus (%) |
No. penicillin resistant S. aureus (%) |
Isolates |
2,000 - 3,000 |
16 (31.38) |
109 (37.20) |
5 (4.59) |
SA101, SA102, SA105, SA107, SA108 |
3,001 - 4,000 |
12 (23.53) |
17 (5.80) |
0 (0) |
- |
4,001 - 5,000 |
9 (17.65) |
36 (12.29) |
2 (5.56) |
SA304, SA305 |
5,001 - 6,000 |
9 (17.65) |
46 (15.70) |
1 (2.17) |
SA303 |
6,001 - 7,000 |
3 (5.88) |
52 (17.74) |
2 (3.85) |
SB101, SB105 |
7,001 - 8,000 |
2 (3.92) |
33 (11.26) |
4 (12.12) |
SB601, SB602, SB603, SB604 |
Total |
51 |
293 |
14 (4.78) |
|
Molecular charecterization and BlaZ gene detection of S. aureus
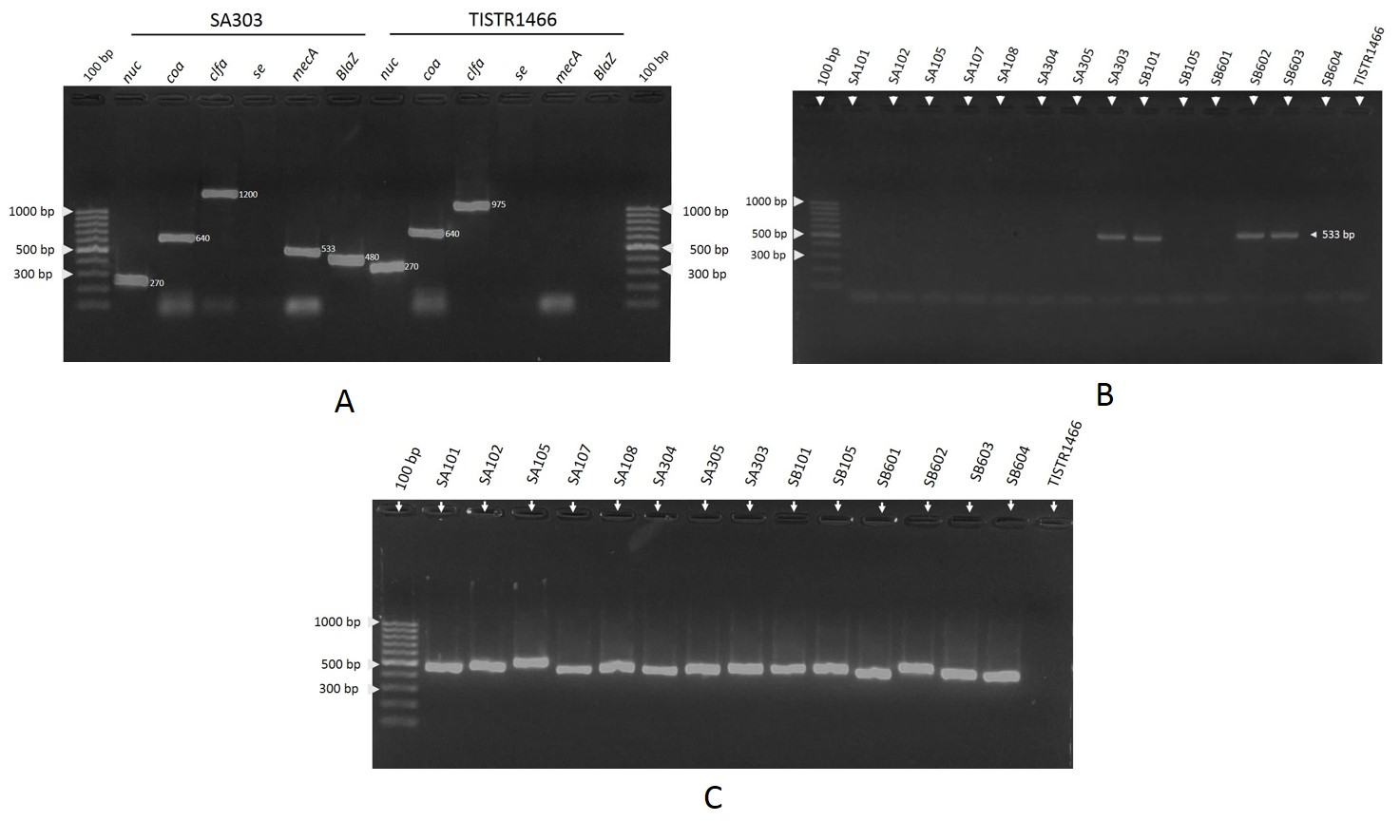
The molecular characterization of the selected S. aureus isolates was performed by detecting genetic markers, including the nuc, coa, clfA, se, mecA, and blaZ genes. All isolates harbored the 270 bp nuc gene and the 640 bp coa gene, while the 975 bp clfA gene was detected only in isolate SA303. None of the isolates carried the se gene (Table 3). The β-lactamase gene, blaZ, producing a 480 bp amplicon, was detected in all isolates. Figure 1(A) highlights SA303, a representative S. aureus strain, which was positive for nuc, coa, clfa, mecA, and blaZ genes but negative for the se gene. The mecA gene was also detected in isolates from samples with high somatic cell counts including SA303, SB105, SB603, and SB604 (Figure 1(B)). The blaZ gene was identified in all isolates (Figure 1(C)). As a reference, the S. aureus TISTR 1466 contained the nuc, coa, and clfa genes but was negative for the se and blaZ genes.
All the isolates were confirmed as coagulase-positive S. aureus, characterized by the consistent presence of the nuc and coa genes, which are species-specific markers. The nuc gene encodes extracellular thermostable nuclease protein, a hallmark of S. aureus [24-26]. The coa gene, encoding coagulase - a major virulence factor - facilitates the conversion of fibrinogen to fibrin, providing a protective shield against phagocytosis [24]. Among the isolates, SA303 uniquely carried the clfa gene, which encodes clumping factor A. This factor plays a critical role in colonization, invasion, and multiplication within host tissues [27-29]. The interaction between clumping factor A and the platelet GPIIb/IIIa receptor enables invasion and persistence, potentially leading to relapsing infections [27,30]. Furthermore, isolates SA303, SB105, SB603, and SB604 carried the mecA gene, classifying them as MRSA strains, consistent with their observed resistance to methicillin. The ubiquitous presence of the blaZ gene, which encodes β-lactamase, underscored the widespread potential for penicillin resistance in these isolates. These findings provide valuable insights into the genetic markers and resistance mechanisms of S. aureus, emphasizing the importance of monitoring and controlling these pathogens.
Figure 1 Molecular detection of isolated S. aureus. (A) nuc, coa, clfa, se, mecA and blaZ genes, (B) mecA and (C) blaZ gene. S. aureus TISTR 1466 as the reference strain was obtained from Thailand Institute of Scientific and Technological Research (TISTR), Thailand.
Table 3 Phenotypic and genotypic traits, antibiotic resistance patterns, and penicillin G MIC in isolated S. aureus.
Isolates |
Phenotypes |
Genotypes |
Antibiograms |
MIC of Penicillin G (µg/mL) |
||||||
Catalase |
Coagulase |
Nuc |
Coa |
Clfa |
Se |
MecA |
BlaZ |
|||
SA101 |
+ |
+ |
+ |
+ |
- |
- |
- |
+ |
NA, CTT, K, P |
128 |
SA102 |
+ |
+ |
+ |
+ |
- |
- |
- |
+ |
NA, CTT, K, P |
128 |
SA105 |
+ |
+ |
+ |
+ |
- |
- |
- |
+ |
NA, E, CTT, K, P |
128 |
SA107 |
+ |
+ |
+ |
+ |
- |
- |
- |
+ |
NA, CTT, K, P |
128 |
SA108 |
+ |
+ |
+ |
+ |
- |
- |
- |
+ |
NA, E, CTT, K, P |
128 |
SA303 |
+ |
+ |
+ |
+ |
+ |
- |
+ |
+ |
NA, CTT, K, P, AMC, MET |
256 |
SA304 |
+ |
+ |
+ |
+ |
- |
- |
- |
+ |
NA, CTT, K, P |
64 |
SA305 |
+ |
+ |
+ |
+ |
- |
- |
- |
+ |
NA, CTT, K, P |
64 |
SB101 |
+ |
+ |
+ |
+ |
- |
- |
+ |
+ |
NA, E, CTT, P, TE, AMC, MET |
128 |
SB105 |
+ |
+ |
+ |
+ |
- |
- |
- |
+ |
NA, CTT, K, P |
128 |
SB601 |
+ |
+ |
+ |
+ |
- |
- |
- |
+ |
NA, CTT, K, P |
16 |
SB602 |
+ |
+ |
+ |
+ |
- |
- |
+ |
+ |
NA, CTT, K, P, AMC, MET |
128 |
SB603 |
+ |
+ |
+ |
+ |
- |
- |
+ |
+ |
NA, E, CTT, K, P, AMC, MET |
512 |
SB604 |
+ |
+ |
+ |
+ |
- |
- |
- |
+ |
NA, E, CTT, K, P |
256 |
TISTR1466* |
+ |
+ |
+ |
+ |
+ |
- |
- |
- |
- |
< 0.25 |
Antibiotic susceptibility test and MIC of penicillin G
The antibiotic susceptibility and resistance profiles of the S. aureus isolates were assessed using the disc diffusion method. All 14 isolates were 100 % susceptible to gentamycin, streptomycin, rifampin, ampicillin, and chloramphenicol. They exhibited varying degrees of susceptibility to other antibiotics including 94.12 % susceptibility to tetracycline, 72.5 % to methicillin, 70.59 % to erythromycin, 28.57 % to amoxicillin, and 17.65 % to kanamycin. Conversely, all isolates were resistant to penicillin, cefotetan, and nalidixic acid (Table 3). Five distinct resistance patterns were identified, with the most common NA-CTT-K-P, observed in 50 % (7/14) of the isolates. The other patterns included NA-E-CTT-K-P (21.4 %), NA-CTT-K-P-AMC-MET (14.3 %), NA-E-CTT-P-TE-AMC-MET (7.15 %), and NA-E-CTT-K-P-AMC-MET (7.15 %). These findings indicated that while all isolates were highly susceptible to several antibiotics, they demonstrated complete resistance to penicillin, cefotetan, and nalidixic acid, underscoring the challenges in treating S. aureus infections with these agents. The presence of multiple resistance patterns, particularly the NA-CTT-K-P pattern, highlighted the complexity of the resistance mechanisms and the potential for multidrug resistance. Multidrug resistance in S. aureus may result from resistance gene acquisition via horizontal gene transfer, antibiotic overuse in agriculture, and the bacterium’s genetic adaptability [31,32]. Genes such as blaZ and mecA enable beta-lactamase production and target site modifications, emphasizing the need for stringent antibiotic stewardship and monitoring to curb its spread.
The minimum inhibitory concentration (MIC) of penicillin G was determined using the microdilution method, with values ranging from 16 to 512 µg/mL. The distribution of MIC values was 16 µg/mL (7.14 %), 64 µg/mL (21.43 %), 128 µg/mL (42.86 %), 256 µg/mL (21.43 %), and 512 µg/mL (7.14 %). The high MIC values for penicillin G suggested a substantial resistance level, consistent with reports from other studies in Thailand showing a high prevalence of penicillin-resistant S. aureus in dairy cows [23], pigs [33], and sport animals [34]. This resistance is likely linked to the widespread use of penicillin in veterinary medicine both in Thailand and globally [35]. The pervasive presence of the blaZ gene in all isolates supported this observation because the gene encodes β-lactamase, an enzyme that inactivates penicillin and contributes significantly to resistance [36-38].
BlaZ gene analysis sequence
A 480 bp blaZ amplicon was detected in all 14 S. aureus isolates using the specific primers BlaZ1 and BlaZ2 (Figure 1(C)). The amplicons were sequenced using bidirectional primers, and the resulting sequences were aligned to generate consensus sequences. These sequences were submitted to GenBank with accession numbers KY681022 and KY684200 to KY684212 for isolates SA101, SA102, SA105, SA107, SA108, SA304, SA305, SB101, SB105, SB601, SB602, SB603, SB604, and SA303, respectively. Multiple sequence alignment of the blaZ gene was performed using the Clustal Omega program, revealing a high similarity range of 92.1 to 100 % (data not shown). A phylogenetic tree of the nucleotide sequences was constructed using the neighbor-joining method with 1,000 bootstrap replicates and compared with beta-lactamase protein sequences retrieved from GenBank (Figure 2). The deduced amino acid sequences, computationally translated using the Expasy Translate tool, consisted of 127 residues with over 98 % identity. Amino acid sequence alignment revealed 14 mutations and 10 unique signature types (Table 4).
Figure 2 Phylogenetic analysis of nucleotide sequences of the blaZ gene in S. aureus constructed using the neighbor-joining method in MEGA 10.2, illustrating evolutionary relationships and clustering patterns of isolates based on partial blaZ gene sequences.
Table 4 Amino acid variation of proteins encoded by the blaZ gene in isolated S. aureus.
Signature type |
Protein id |
Nucleotide id |
MIC of Penicillin G (µg/mL) |
BlaZ amino acid variable positions* 1 1 1 1 1 1 2 3 3 4 5 9 9 0 0 1 1 1 4 7 9 7 9 3 6 1 4 1 5 4 5 8 |
|
AVA30207 AUP42527 |
KY681022 KY684203 |
128 128 |
K T K V Q E I K N F N V E Y - - - - - - - - - - - - - - |
Ⅱ |
AUP42524 |
KY684200 |
128 |
E - - - - - - - - - - - - - |
Ⅲ |
AUP42535 |
KY684211 |
256 |
- - - - - K T - - L - - - - |
Ⅳ |
AUP42526 AUP42536 |
KY684202 KY684212 |
128 256 |
- A - - - - - E K L S - S C - A - - - - - E K L S - S C |
Ⅴ |
AUP42530 AUP42532 |
KY684206 KY684208 |
128 16 |
E A - - - - - E K L S - S C E A - - - - - E K L S - S C |
Ⅵ |
AUP42534 |
KY684210 |
512 |
- - - I K - - - L - - - - |
Ⅶ |
AUP42528 AUP42529 |
KY684204 KY684205 |
64 64 |
- A - I K K - E K L S - S C - A - I K K - E K L S - S C |
Ⅷ |
AUP42525 |
KY684201 |
128 |
E - N I K K - - - L - I - - |
Ⅸ |
AUP42531 |
KY684207 |
64 |
E K N I K K - - - L - I - - |
Ⅹ |
AUP42533 |
KY684209 |
128 |
- K N I K K - - - L - I - - |
The mutations and unique signatures may reflect evolutionary adaptations affecting protein function, potentially influencing antibiotic resistance and cellular roles [39,40]. The 10 unique signature types highlight protein sequence diversity, suggesting strain-specific variations and environmental adaptations, offering insights into pathogenicity and resistance mechanisms.
Despite minor sequence variations, no significant correlation was observed between the blaZ gene sequences and penicillin resistance levels of the isolates. Phylogenetic analysis grouped the isolates into three clusters: one associated with high penicillin resistance (MIC 128 µg/mL), one with varying resistance levels (MIC 16 - 256 µg/mL), and another with very high resistance (MIC 128 - 256 µg/mL).
However, these groupings did not establish a significant relationship between specific blaZ sequences and resistance levels, indicating that other factors may influence penicillin resistance. Penicillin resistance in S. aureus is a multifactorial phenomenon. In addition to the blaZ gene, other contributors included the presence of the mecA gene, mutations in penicillin-binding proteins (PBP1, PBP2, PBP3 and PBP4) and the overexpression of staphylococcal beta-lactamase, particularly in mec-negative isolates [14,15,41,42].
Conclusions
This study investigated the genetic and phenotypic characteristics of S. aureus isolated from subclinical bovine mastitis, focusing on antibiotic resistance profiles and the molecular analysis of resistance genes. All isolates were coagulase-positive and harbored the species-specific nuc and coa genes, while a subset carried the clfa and mecA genes indicating virulence and methicillin resistance. Complete resistance to penicillin, cefotetan, and nalidixic acid was observed, with diverse resistance patterns and high MIC for penicillin G (16 - 512 µg/mL), underscoring multidrug resistance challenges. Sequence analysis of the blaZ gene revealed minor nucleotide and amino acid variations, and phylogenetic grouping identified clusters associated with varying penicillin resistance levels. However, no direct correlation was found between the blaZ gene sequences and penicillin resistance levels, suggesting the involvement of additional factors such as mecA, PBP mutations, or beta-lactamase overexpression. These findings highlight the complexity of antibiotic resistance mechanisms in S. aureus and emphasize the need for integrated surveillance and antibiotic stewardship strategies to mitigate the impact of resistant pathogens in dairy production systems.
Acknowledgements
We gratefully acknowledge local dairy farm owners in Phatthalung Province for generously providing the raw milk samples. We also extend our thanks to the Faculty of Science and Digital Innovation at Thaksin University, Thailand for their support with scientific equipment.
References
[1] R Paramasivam, DR Gopal, R Dhandapani, R Subbarayalu, MP Elangovan, B Prabhu, V Veerapan, A Nandheeswaran, S Paramasivam and S Muthupandian. Is AMR in dairy products a threat to human health? An updated review on the origin, prevention, treatment, and economic impacts of subclinical mastitis. Infection and Drug Resistance 2023; 16,155-178.
[2] R Soundhararajan, M Veerasami, S Khan, A Islam and H Srinivasan. Polyherbal nano formulation: A potent antibiotic resistance breaker in bovine mastitis causing MDR pathogens. Journal of Molecular Liquids 2023; 392, 123477.
[3] BL Crippa, LG de Matos, FN Souza and NCC Silva. Non-aureus staphylococci and mammaliicocci (NASM): Their role in bovine mastitis and One Health. Journal of Dairy Research 2024; 91(1), 44-56.
[4] A Pesce, F Garofalo, P Coppa, GD Marco, B Cioffi, C Salzano and A Guarino. Antimicrobial resistance in pathogens causing mastitis. Large Animal Review 2013; 19(4), 162-164.
[5] W Santiago-Neto, G Machado, DS Paim, TD Campos, MA Brito, MR Cardoso and LG Corbellini. Age related to the presence of antimicrobial resistant bacteria in twenty-one dairy herds in Rio Grande do Sul, Brazil. Pesquisa Veterinária Brasileira 2014; 34, 613-620.
[6] WN Cheng and SG Han. Bovine mastitis: Risk factors, therapeutic strategies, and alternative treatments: A review. Asian-Australasian Journal of Animal Sciences 2020; 33(11), 1699.
[7] J Kümmel, B Stessl, M Gonano, G Walcher, O Bereuter, M Fricker, T Grunert and M Wagner. Staphylococcus aureus entrance into the dairy chain: Tracking S. aureus from dairy cow to cheese. Frontiers in Microbiology 2016; 7, 1603.
[8] BG Botaro, CS Cortinhas, AG Dibbern, LFPE Silva, NR Benites and MV dos Santos. Staphylococcus aureus intramammary infection affects milk yield and SCC of dairy cows. Tropical Animal Health and Production 2015; 47, 61-66.
[9] KD Buchan, SJ Foster and SA Renshaw. Staphylococcus aureus: Setting its sights on the human innate immune system. Microbiology 2019; 165(4), 367-385.
[10] M Greenlee-Wacker, FR DeLeo and WM Nauseef. How methicillin-resistant Staphylococcus aureus evade neutrophil killing. Current Opinion in Hematology 2015; 22(1), 30-35.
[11] CL Martini, CC Lange, MA Brito, JB Ribeiro, LC Mendonça and EK Vaz. Characterisation of penicillin and tetracycline resistance in Staphylococcus aureus isolated from bovine milk samples in Minas Gerais Brazil. Journal of Dairy Research 2017; 84(2), 202-205.
[12] E Kaczorek-Łukowska, J Małaczewska, P Sowińska, M Szymańska, EA Wójcik and AK Siwicki. Staphylococcus aureus from subclinical cases of mastitis in dairy cattle in Poland, what are they hiding? Antibiotic resistance and virulence profile. Pathogens 2022; 11(12), 1404.
[13] N Tawil, F Mouawad, S Lévesque, E Sacher, R Mandeville and M Meunier. The differential detection of methicillin-resistant, methicillin-susceptible and borderline oxacillin-resistant Staphylococcus aureus by surface plasmon resonance. Biosensors and Bioelectronics 2013; 49, 334-340.
[14] SJ Peacock and GK Paterson. Mechanisms of methicillin resistance in Staphylococcus aureus. Annual Review of Biochemistry 2015; 84, 577-601.
[15] VV Gostev, OE Punchenko and VS Sergey. The current view on betalactam resistance in Staphylococcus aureus. Clinical Microbiology and Antimicrobial Chemotherapy 2022; 23(4), 375-387.
[16] C Milheiriço, H de Lencastre and A Tomasz. Full-genome sequencing identifies in the genetic background several determinants that modulate the resistance phenotype in methicillin-resistant Staphylococcus aureus strains carrying the novel mecC gene. Antimicrobial Agents and Chemotherapy 2017; 61(3), e02500-16.
[17] GD Rocha, JF Nogueira, MVG Dos Santos, JA Boaventura, RAN Soares, JJ de Simoni Gouveia, MM da Costa and GV Gouveia. Impact of polymorphisms in blaZ, blaR1 and blaI genes and their relationship with β-lactam resistance in S. aureus strains isolated from bovine mastitis. Microbial Pathogenesis 2022; 165, 105453.
[18] Clinical and Laboratory Standards Institute. Performance standards for antimicrobial susceptibility testing. Clinical and Laboratory Standards Institute, Wayne, 2024.
[19] TA Hall. BioEdit: A user-friendly biological sequence alignment editor and analysis program for Windows 95/98/NT. Nucleic Acids Symposium Series 1999; 41, 95-98.
[20] K Tamura, G Stecher and S Kumar. MEGA11: Molecular evolutionary genetics analysis version 11. Molecular Biology and Evolution 2021; 38(7), 3022-3027.
[21] J Kampa, V Sukolapong, A Buttasri and A Charoenchai. Prevalence of Mycoplasma bovis and other contagious bovine mastitis pathogens in bulk tank milk of dairy cattle herds in Khon Kaen Province, Thailand. The Thai Journal of Veterinary Medicine 2009; 39(3), 275-280.
[22] W Suriyasathaporn. Epidemiology of subclinical mastitis and their antibacterial susceptibility in smallholder dairy farms, Chiang Mai province, Thailand. Journal of Animal and Veterinary Advances 2011; 10(3), 316-321.
[23] N Pumipuntu, W Tunyong, N Chantratita, P Diraphat, P Pumirat, N Sookrung, W Chaicumpa and N Indrawattana. Staphylococcus spp. associated with subclinical bovine mastitis in central and northeast provinces of Thailand. PeerJ 2019; 7, e6587.
[24] F Javid, A Taku, MA Bhat, GA Badroo, M Mudasir and TA Sofi. Molecular typing of Staphylococcus aureus based on coagulase gene. Veterinary World 2018; 11, 423.
[25] Y Hu, J Meng, C Shi, K Hervin, PM Fratamico and X Shi. Characterization and comparative analysis of a second thermonuclease from Staphylococcus aureus. Microbiological Research 2013; 168(3), 174-182.
[26] MR Kiedrowski, HA Crosby, FJ Hernandez, CL Malone, JO McNamara and AR Horswill. Staphylococcus aureus Nuc2 is a functional, surface-attached extracellular nuclease. PloS One 2014; 9(4), e95574.
[27] S Ashraf, J Cheng and X Zhao. Clumping factor A of Staphylococcus aureus interacts with Annexin A2 on mammary epithelial cells. Scientific Reports 2017; 7(1), 40608.
[28] B Sinha and M Fraunholz. Staphylococcus aureus host cell invasion and post-invasion events. International journal of medical microbiology. International Journal of Medical Microbiology 2010; 300(2-3), 170-175.
[29] C Heilmann. Adhesion mechanisms of staphylococci. Bacterial Adhesion: Chemistry, Biology and Physics 2011; 715, 105-123.
[30] SW Kerrigan, N Clarke, A Loughman, G Meade, TJ Foster and D Cox. Molecular basis for Staphylococcus aureus-mediated platelet aggregate formation under arterial shear in vitro. Arteriosclerosis, Thrombosis, and Vascular Biology 2008; 28(2), 335-340.
[31] CJ Wintersdorff, J Penders, JM Niekerk, ND Mills, S Majumder, LB Alphen, HM Savelkoul and PF Wolffs. Dissemination of antimicrobial resistance in microbial ecosystems through horizontal gene transfer. Frontiers in Microbiology 2016; 7, 173.
[32] S Tao, H Chen, N Li, T Wang and W Liang. The spread of antibiotic resistance genes in vivo model. Canadian Journal of Infectious Diseases and Medical Microbiology 2022; 1, 3348695.
[33] P Patchanee, P Tadee, O Arjkumpa, D Love, K Chanachai, T Alter, S Hinjoy and P Tharavichitkul. Occurrence and characterisation of livestock-associated methicillin-resistant Staphylococcus aureus in pig industries of Northern Thailand. Journal of Veterinary Science 2014; 15(4), 529-536.
[34] P Fungwithaya, K Boonchuay, R Narinthorn, N Sontigun, C Sansamur, Y Petcharat, T Thomrongsuwannakij and T Wongtawan. First study on diversity and antimicrobial-resistant profile of staphylococci in sports animals of Southern Thailand. Veterinary World 2022; 15(3), 765.
[35] EY Klein, TP Van Boeckel, EM Martinez, S Pant, S Gandra, SA Levin, H Goossens and R Laxminarayan. Global increase and geographic convergence in anti-biotic consumption between 2000 and 2015. Proceedings of the National Academy of Sciences 2018; 115(15), E3463-E3470.
[36] R Nomura, H Nakaminami, K Takasao, S Muramatsu, Y Kato, T Wajima and N Noguchi. A class A β-lactamase produced by borderline oxacillin-resistant Staphylococcus aureus hydrolyses oxacillin. Journal of Global Antimicrobial Resistance 2020; 22, 244-247.
[37] S Rawat, N Shrivastava, A Shrivastav, S Singh, PK Singh, AK Niranjan and R Ranjan. Isolation and Characterization of Staphylococcus aureus in Bovine Milk from Rewa, India. Indian Journal of Microbiology 2024; 64, 1835-1845.
[38] P Arêde, J Ministro and DC Oliveira. Redefining the role of the β-lactamase locus in methicillin-resistant Staphylococcus aureus: β-lactamase regulators disrupt the MecI-mediated strong repression on mecA and optimize the phenotypic expression of resistance in strains with constitutive mecA expression. Antimicrobial Agents and Chemotherapy 2013; 57(7), 3037-3045.
[39] SM Cascarina and ED Ross. Natural and pathogenic protein sequence variation affecting prion-like domains within and across human proteomes. BMC Genomics 2020; 21, 23.
[40] PJ Gómez-González, AD Grabowska, LD Tientcheu, AG Tsolaki, ML Hibberd, S Campino,JE Phelan and TG Clark. Functional genetic variation in pe/ppe genes contributes to diversity in Mycobacterium tuberculosis lineages and potential interactions with the human host. Frontiers in Microbiology 2023; 14, 1244319.
[41] H Tahmasebi, B Zeiyni, S Dehbashi, H Motamedi, M Vafaeifar, F Keramat and MR Arabestani. The study of blaZ and mecA gene expression in methicillin-resistant Staphylococcus aureus strains and the relationship between the gene expression patterns. Journal of Isfahan Medical School 2017; 35(443), 1062-1067.
[42] C Milheiriço, A Tomasz and HD Lencastre. Impact of the stringent stress response on the expression of methicillin resistance in Staphylococcaceae strains carrying mecA, mecA1 and mecC. Antibiotics 2022; 11(2), 255.
[43] OG Brakstad, K Aasbakk and JA Maeland. Detection of Staphylococcus aureus by polymerase chain reaction amplification of the nuc gene. Journal of Clinical Microbiology 1992; 30(7), 1654-1660.
[44] I Montesinos, E Salido, T Delgado, M Cuervo and A Sierra. Epidemiologic genotyping of methicillin-resistant Staphylococcus aureus by pulsed-field gel electrophoresis at a university hospital and comparison with antibiotyping and protein A and coagulase gene polymorphisms. Journal of Clinical Microbiology 2002; 40(6), 2119-2125.
[45] PC Proietti, G Coppola, A Bietta, ML Marenzoni, DR Hyatt, M Coletti and F Passamonti. Characterization of genes encoding virulence determinants and toxins in Staphylococcus aureus from bovine milk in Central Italy. Journal of Veterinary Medical Science 2010; 72(11), 1443-1448.
[46] R Stephan, C Annemüller, AA Hassan and C Lämmler. Characterization of enterotoxigenic Staphylococcus aureus strains isolated from bovine mastitis in north-east Switzerland. Veterinary Microbiology 2001; 78(4), 373-382.
[47] M Kaase, S Lenga, S Friedrich, F Szabados, T Sakinc, B Kleine and G Gatermann. Comparison of phenotypic methods for penicillinase detection in Staphylococcus aureus. Clinical Microbiology and Infection 2008; 14(6), 614-616.
[48] NL Dias, DCB Silva, DCBS Oliveira, FAA Junior, ML Sales and N Silva. Detection of genes of Staphylococcus aureus, enterotoxins and methicillin resistance in milk. Arquivo Brasileiro de Medicina Veterinária e Zootecnia 2011; 63, 1547-1552.