Start Bootstrap Logo

Trends Sci. 2025; 22(5): 9550

Effect of Musa paradisiaca L. var. Kayu Unripe Fruit Ethanol Extract on Leukocyte Differentiation and Skin Histology of Mus musculus


Nurlita Abdulgani1,*, Awik Puji Dyah Nurhayati1, Noor Nailis Saadah1,

Endry Nugroho Prasetyo1, Arista Wahyu Ningsih2,

Maya Shovitri1 and Muhammad Zamharir Rojafi1


1Department Biology, Faculty of Science and Data Analytics, Sepuluh Nopember Institute of Technology,

Surabaya, 60115 Indonesia

2Pharmacy Study Program, Faculty of Health Science, Anwar Medika University, Sidoardjo 61262, Indonesia


(*Corresponding author’s e-mail: [email protected])


Received: 18 December 2024, Revised: 23 February 2025, Accepted: 2 March 2025, Published: 1 April 2025


Abstract

The unripe fruit of the pisang kayu (Musa paradisiaca L. Var. Kayu) has been utilized to treat diarrheal illnesses traditionally by the people of Senduro Village, Lumajang, East Java, Indonesia. Previous studies have shown that ethanol extracts of unripe banana fruit have antidiarrheal effects. The opportunity to utilize the ethanol extract of unripe fruit of pisang kayu as a herbal medicine is quite large, but this herbal medicine must be developed further to meet safety requirements. Allergy tests are conducted to determine the safety of drug candidates because allergies can cause angioedema on the skin as well as an increase in eosinophils and basophils in differential leukocyte counts. Therefore, this study aims to conduct an allergy test by looking at the effect of unripe fruit ethanol extract of pisang kayu (M. paradisiaca L. Var. Kayu) on skin histology and differential leukocytes of Mus musculus. The allergy test was conducted acutely and subchronically. The dorsal skin was then made into histological preparations. Mice blood was taken from the tail, and the leukocyte differential test was conducted. The results showed that unripe fruit ethanol extract of pisang kayu (M. paradisiaca L. Var. Kayu) did not cause allergy. This can be seen from the absence of signs of reddish rash and angioedema in the observation of the morphology of the skin of Mus musculus. In addition, the absence of allergies was also seen from the absence of significant differences in all treatment groups (p > 0.05) seen from the thickness of the epidermis, the thickness of the dermis, and the presence or absence of hyperplasia. Furthermore, the lack of significant differences between treatment groups (p > 0.05) indicated the absence of allergy and the number of differential leukocytes, which were in the normal category as an indicator of allergy in all treatment groups.


Keywords: Allergy, Skin histology, Leukocytes differential, Pisang kayu


Introduction

Bananas are a primary fruit crop in tropical and subtropical climates [1]. Indonesia, as a location of origin for Musa, exhibits significant germplasm variety [2]. One type of banana plant is pisang kayu (Musa paradisiaca L. Var. Kayu), that was popular among locals in Senduro Village, Lumajang, Indonesia, as remedy for digestive tract infection [3]. Empirically, the Senduro people steam, boil and burn the unripe fruit of the pisang kayu (Musa paradisiaca L. var. Kayu) [4]. In previous studies, the ethanol extract of pisang kayu (EPPK) fruit has an antidiarrheal effect on Escherichia coli-induced Mus musculus. The antidiarrheal effect is produced in the form of changes in the consistency of feces to become denser and a decrease in the frequency of defecation and weight [5]. Based on the phytochemical screening test, ethanol extract of unripe pisang kayu (EEUPK) contains alkaloids, tannins, saponins, and flavonoids [6]. Tannin content, which exhibited antidiarrheal activity induced by Oleum ricini at a dose of 200 mg/kg body weight, also demonstrated inhibitory and bactericidal effects on Escherichia coli in media concentrations of 25 and 50 % [4]. In addition, the results of previous studies [4] show that the content of phenolic compounds in pisang kayu fruit such as tannins, flavonoids and saponins has antibacterial activity against Escherichia coli so that it can be developed into topical drugs.

Herbal medicines are currently popular and acknowledged to varying extents across different countries as significant complementary and alternative treatments for chronic diseases [7]. Herbal medicines comprise any part of plants, including herbs and herbal materials, as well as their combinations, extracts, and purified products, all of which contain active ingredients known as phytochemicals [8]. The historical utilization of herbal medicines highlights their potential benefits; however, the modern scientific community emphasizes the necessity for rigorous evaluations of their safety and efficacy. Unlike pharmaceutical drugs, herbal products frequently lack standardized dosages and may interact with other medications [9]. Besides, comprehensive data concerning the quality, safety, and efficacy of numerous plants, their extracts, preparations, and active compounds remain limited [10]. Therefore, ensuring their quality is of paramount importance to guarantee their safety and effectiveness [9].

In the realm of drug development, achieving safety and efficacy is a crucial objective. This necessitates a thorough understanding of the complex interactions between drugs and biological systems [11]. The process of developing new drugs and obtaining approval from regulatory agencies necessitates extensive research and rigorous testing to confirm their safety and efficacy [12]. Drug hypersensitivity reactions (DHR) are characterized as immune-mediated responses to a drug, whether it is a small molecule or a protein, resulting in an inflammatory reaction [13]. Even though various drug classes, such as antibiotics, nonsteroidal anti-inflammatory drugs (NSAIDs), and anesthetics, can generate potentially immunogenic epitopes, only a small proportion of patients exhibit allergic reactions. However, when these reactions do occur, they can result in severe outcomes, including significant organ damage and potentially fatal anaphylaxis. Additionally, while the skin, liver, lungs, and kidneys are the most frequently affected tissues, any organ or tissue can potentially be harmed through immunological mechanisms [14].

Various medicinal herbs possess pharmacological properties that can induce allergic reactions in sensitive individuals [15]. Allergic reactions are distinguished by swift inflammatory immune responses to antigens that are otherwise innocuous or harmless. The defining feature of these reactions is hypersensitivity upon re-exposure to the antigen, usually occurring at the sites of antigen contact. This swift response is driven by antigen-specific immunoglobulin E (IgE) [16]. The generation of antigen-specific IgE antibodies can trigger the degranulation of mast cells, leading to a range of symptoms [17]. Allergies can also give a reaction in the form of an increased number of leukocyte type counts [18]. An increase in the number of eosinophils can occur due to an excessive immune response to allergens, infection, or inflammation, as well as other conditions such as parasitic infections or certain drug reactions involved in leukocytosis [19]. An increase in basophils can also indicate an allergic mechanism in the body because basophils play an important role in allergic response [20]. This increase is due to eosinophils and basophils playing an important role as effector cells in allergic inflammation mechanisms, as well as in adaptive and innate immune responses [15].

In addition to leukocytes, allergies can manifest through a variety of symptoms, including skin reactions like urticaria, angioedema, atopic eczema, or contact dermatitis. Additionally, individuals may experience skin sensations that occur independently of visible skin lesions, such as pruritus, flushing, burning, and pain [21]. Angioedema is characterized by pale or erythematous swelling, primarily impacting areas such as the face, lips, tongue, oral mucosa, male genitalia, hands, and feet, due to deeper edema within the dermis [22]. Skin reactions caused by allergies can have a substantial and significant impact on the quality of life [21,23]. In addition, allergy testing also includes a series of in vivo nonclinical toxicity tests required by the Indonesian Food and Drug Administration (BPOM) [24]. Therefore, an allergy assessment was conducted to determine the safety of prospective drugs by looking at the effect of EEUPK on skin histology and differential leukocytes of M. musculus.


Materials and methods

Pisang kayu extraction

Pisang kayu fruits, 3 months after flowering, were washed and cleaned of foreign particles and then drained. A food dehydrator with the temperature of 50 °C was then used to dry the fruit after it had been cut into small pieces. Drying is done with the aim of opening the cell walls of plants to be extracted so that the content of phenolic compounds can come out. After drying, the sample was mashed using a blender then stored in a tightly closed container [4]. Extraction was carried out using the maceration method. This method was chosen because of several advantages, such as simple methods and tools, and it does not damage the content of natural ingredients because it does not use heat [25]. This method was carried out by weighing 500 g of pisang kayu unripe fruit powder and adding 96 % ethanol solvent, totaling 2.5 L. The powder was put into a glass jar, and the solvent was added little by little. The pisang kayu unripe fruit powder was macerated with 96 % ethanol solvent for 2 days with stirring and changing solvents every day. The maceration period lasts 24 h with 2 stirrings; following this, the solvent is changed, and soaking occurs for an additional 24 h. The soaking procedure is reiterated until the solvent’s color becomes transparent [4]. To create a thick extract, the solution was filtered using a Buchner funnel, and the macerate was then evaporated using a rotary evaporator with a temperature of 50 °C, adjusting the boiling point of the ethanol solvent to avoid damaging the content in the extract.


Research ethics approval

The Health Research Ethics Committee of the Faculty of Dentistry at Airlangga University has reviewed and approved this study. (Research ethics number: 0061/HREEC.FODM//II/2024).


Acute allergy test

An acute allergy test was conducted on 30 male M. musculus that had been acclimatized for 2 weeks. The number of animals has been adjusted to the Organization for Environmental Control Development (OECD) Guidelines for the Testing of Chemicals no.406 regarding Skin Sensitization where a minimum of 10 animals for the treatment group and 5 animals for the control group are required [26]. The test animals were then grouped into 6 groups with one control group and 5 treatment groups. M. musculus had its back hair shaved, then punctured to the dermis layer and given treatment according to the existing group. The test is carried out using the skin prick test method by puncturing the dermis layer that contains dendritic cells [27]. The EEUPK that will be given has been mixed with 0.5 % CMC-Na solution. Grouping of test animals for treatment can be seen in Table 1. The dose group used in this study refers to the results of the acute toxicity test of EEUPK, which received an LD50 value of 2,535.128 mg/KgBW and is included in the mild toxic category [28]. Regarding the adjustment of safe doses from the previous toxicity test, doses of 50, 100, 200, 400 and 800 mg/KgBW were selected for this test. After 30, 60 and 90 min post-application, signs of allergy, such as redness and rash on the skin were observed. The data obtained from skin assessment then converted into numbers according to the Magnusson and Kligman scale in Table 2.


Table 1 Group assignment of test animals.

Groups

Treatment

Control

CMC Na 0.5 %

Group II

Ethanol extract pisang kayu 50 mg/kg BW

Group III

Ethanol extract pisang kayu 100 mg/kg BW

Group IV

Ethanol extract pisang kayu 200 mg/kg BW

Group V

Ethanol extract pisang kayu 400 mg/kg BW

Group VI

Ethanol extract pisang kayu 800 mg/kg BW


Table 2 Magnusson and Kligman scale.

Topical reaction

Grade

No visible changes

0

Light erythema

1

Moderate erythema

2

Severe erythema and edema

3


Subchronic allergy test

A subchronic sensitization test was carried out on 30 male mice that had been acclimatized and used the same dose groups as the acute allergy testing. The test is divided into 3 stages, namely preliminary tests using the Buehler test, topical induction tests, and challenge tests. In the preliminary test, samples of varying concentrations were applied to the flank region. The test preparation, as much as 0.5 mL for the liquid material, was placed on the chamber, and added filter paper (2×4 cm) was then applied to the shaved area, followed by an elastic bandage and an occlusive dressing. After 6 h the patch was removed, and observations were made 24 and 48 h following the removal of the patch. The results were observed using the Magnusson and Kligman scales in Table 2. Entering the next stage, the topical induction test, the test substance was administered to the shaved flank region on day 0. The test preparation (weighing 0.5 g for semi-solid materials or 0.5 mL for liquid materials) was placed on the chamber; for liquid materials, after applying filter paper, the skin was coated with an occlusive dressing and wrapped in an elastic bandage. After (6 ± 0.5) h, the patch was opened, and observations were made. The same procedure was repeated on the same test area (if necessary, the hair was shaved again) on day (7 ± 1) and day (14 ± 1). The control group underwent the identical procedure, except a solvent was used in place of the test preparation. All test groups and control groups underwent the challenge test 14 days following the last topical induction, with the flanks being shaved 24 h beforehand. The topical induction and test preparation exposure should not take place at the same time. Mice’s shaved flanks were topically treated with the test preparation at the greatest concentration that did not cause erythema, followed by an occlusive dressing and an elastic bandage. After (6 ± 0.5) h, the patch was opened. Approximately 21 h after the patch was removed, the test area was cleaned and shaved if necessary. Observations were made on the appearance of the skin in the challenge area at 24th and 48th hours after the patches were removed, and the presence of edema and erythema was recorded according to Magnusson and Kligman scale ratings. The Magnusson and Kligman scales (Table 2) are used to characterize and classify skin reactions in relation to erythema and edema. Additional notes may be made if unusual responses are found. In addition, the body weight of the test animals before and after testing should be recorded [26].


Leukocytes differential

After the allergy test, M. musculus was anesthetized by administering ketamine 0.04 mg/KgBW and xylazine 0.02 mL/KgBW by injecting liquid into the vein. Blood was taken from the lateral vein of the tail [29]. Blood smears were fixed for 5 min by immersing the slides in methanol. After being taken out of the methanol, the smears were dried. After 30 min of staining with 1 % Giemsa solution, blood smears were rinsed with distilled water and left to dry. At 1,000× magnification, the stained blood smears were quantified as 100 leukocytes [30].


Skin histology

The backs of mice that have been shaved are anesthetized with ketamine 0.04 mg/KgBW and xylazine 0.02 mL/KgBW by injecting liquid in the muscularis. The skin was cut with a thickness of ± 3 mm to reach dWAT (dermal white adipose tissue) and 2 cm long. The animals were sacrificed after skin collection was completed. The skin was then preserved using a 10 % formalin solution and allowed to come to room temperature for ± 48 h [31]. Tissue samples were dehydrated with graded alcohol (70, 80, 90 %, and absolute alcohol) twice for 2 h each. In the clearing stage, the samples were put into xylol 3 times for 1 h each. After that, it was continued with infiltration in paraffin at 60 °C for 3 times for 1 h each. Then the samples were embedded in paraffin and tissue blocks. Using a microtome, tissue blocks that were 5 µm thick were cut and put on a piece of object glass that had been coated with entellan [32].

Tissue staining begins with the process of deparaffinization using xylol for 3 repetitions, each for 2 min, followed by rehydration using alcohol solution with decreasing concentration (absolute, 90, 80 and 70 %), each for 5 min, then rinsed with distilled water and dried. Next, the tissue was stained with hematoxylin for 5 min and rinsed again with distilled water and waited to dry. The tissue was then stained again with eosin for 2 min and followed by graded alcohol solutions (70, 80, 90 % and absolute), clearing with xylol, and ending with slides covered with a glass cover (mounting process) using entellan [32]. The skin thickness was subsequently observed and measured utilizing the Optilab® system. Additionally, the ImageRaster® provided 400× photo magnification when attached to the ocular lens of the light microscope [33].


Data analysis

Results from skin thickness measurements and differential leucocyte tests were expressed as averages. Prior to analysis, a normality test was performed using the saphiro-wilk test. After that, the data were statistically analyzed using Kruskal-Wallis for non-normally distributed data and one-way analysis of variance (ANOVA) for normally distributed data. Tukey’s post hoc test was used to determine whether the differences between treatment groups were significant. Meanwhile, data from the observation of rash size or redness and edema were analyzed descriptively and quantitatively.


Results and discussion

The resulting unripe fruit extract of pisang kayu (M. paradisaca L. Var. Kayu) is a thick, blackish-green extract with a distinctive odor. The extract obtained by the maceration method produced a yield (% b/v) of 6.45. Based on the previous studies, this extract contains secondary metabolites such as tannins, alkaloids, saponins, and flavonoids, according to phytochemical screening [6]. In the acute test, a puncture was made on the skin as a pathway for the entry of EEUPK into the body of M. musculus. While the treatment in the subchronic test was carried out by attaching filter paper containing liquid to the skin of the flank area. The administration of EEUPK is expected not to cause allergic reactions indicated by rash and edema. The results of the effect of the administration of EEUPK on the skin can be seen in Tables 3 and 4.


Table 3 Results of back morphological observations of acute allergy test of M. musculus.

Groups

Observation time (min)

30

60

90

Control

0

0

0

50 mg/KgBW

0

0

0

100 mg/KgBW

0

0

0

200 mg/KgBW

0

0

0

400 mg/KgBW

0

0

0

800 mg/KgBW

0

0

0


Table 4 Results of back morphological observations of subchronic allergy test of M. musculus.

Groups

Observation time (Day)

D1

D7

D14

Challenge test 24 h

Challenge test 48 h

Control

0

0

0

0

0

50 mg/KgBW

0

0

0

0

0

100 mg/KgBW

0

0

0

0

0

200 mg/KgBW

0

0

0

0

0

400 mg/KgBW

0

0

0

0

0

800 mg/KgBW

0

0

0

0

0

Note: D1 is Day 1, D7 is Day 7, and D14 is Day 14.


Skin testing has long been a fundamental procedure in diagnosing allergies. It provides the benefit of immediate results, allowing for prompt discussions with patients. This approach eliminates the need to wait for laboratory results or schedule a follow-up appointment to discuss the clinical significance of the allergy tests [34]. As the primary interface between the body and the environment, the skin serves as a potential route for allergen penetration and plays a crucial role in allergy development. An intact epidermal barrier protects against exposure to external allergens, while any physical or functional compromise of this barrier facilitates sensitization [21]. The skin also serves as a crucial pathway for drug delivery, enabling topically administered drugs to permeate through the stratum corneum (SC) and reach deeper skin layers, potentially entering systemic circulation [35].

Based on the involvement of the immune system and the specific cells implicated, drug hypersensitivity reactions (DHRs) are categorized into allergic drug hypersensitivity reactions (ADHRs) and non-allergic drug hypersensitivity reactions (NADHRs), with type I reactions being mediated by IgE antibodies [36]. This type of hypersensitivity can cause life-threatening conditions, such as angioedema [37]. Angioedema is a swelling reaction that is not followed by itching with a soft consistency that occurs quickly after contact with an allergen [38]. It results from increased vascular permeability and can persist from a few hours to several days. This condition may manifest as non-pitting, non-pruritic skin edema or swollen mucosa, which has the potential to obstruct the airway [37].

In various forms of angioedema, there are 2 main mediators, histamine and bradykinin [37]. Both of these inflammatory mediators have been demonstrated to cause a transient opening of the endothelial barrier. Histamine and bradykinin facilitate the formation of intercellular gaps and leakage in the endothelium by promoting VE-cadherin internalization through its phosphorylation at Tyr658 and Tyr685 [39]. In bradykinin-mediated angioedema, bradykinin acts as a vasoactive peptide that causes edema to occur by increasing vascular permeability and vasodilation [40]. Meanwhile, the most prevalent type of angioedema is histamine-mediated, which is frequently encountered in emergency departments, accounting for approximately 40 - 50 % of angioedema cases. It frequently appears as an immediate type I hypersensitivity reaction, impacting the tongue, lips, throat, and lips, often accompanied by hives or urticaria [41]. Urticaria, an inflammatory disorder, manifests with temporary wheals and angioedema, either individually or together, and does not involve systemic symptoms. It arises from mast cell degranulation, which can be spontaneous or induced by various factors [42]. This condition may last for a few minutes to less than 24 h [43].

Based on observations in Tables 3 and 4 regarding post-treatment skin morphology, it can be seen that all treatment groups in the acute and subchronic tests received a score of 0, which means that there was no rash and edema or swelling in all treatment groups and the control group. This indicates that EEUPK does not cause allergies in all treatment groups seen from the skin morphology of the test animals. The absence of allergic reactions to the skin is also indicated by the findings of the average thickness measurements of the dermis and epidermis, which are displayed in Table 5. However, this absence of edema may also be due to the flavonoid content in the extract. It is said that flavonoids such as quercetin and morin, exhibit lipoxygenase inhibition. Flavonoids, as potent inhibitors of arachidonic acid, phospholipase A2, cyclooxygenase, and nitric oxide synthase (NOS), can reduce the synthesis of prostaglandins, leukotrienes, and nitric oxide (NO) as important inflammatory substances. Flavonoids also lessen the release of chemokines and metabolites of arachidonic acid, which lowers leukocyte infiltration and edema [44].


Table 5 Average thickness of epidermis and dermis of M. musculus in each treatment in acute and subchronic test.

Groups

Thickness average (µm)

Epidermis

Dermis

Acute test result

Control

23.46 ± 5.46a

267.6 ± 26.17a

50 mg/KgBW

23.25 ± 5.72a

266.2 ± 12a

100 mg/KgBW

17.79 ± 3.85a

232 ± 50.8a

200 mg/KgBW

20.28 ± 1.49a

272.3 ± 24.95a

400 mg/KgBW

21.45 ± 4a

240.6 ± 21.9a

800 mg/KgBW

15.97 ±2.8a

242.7 ± 20.41a

Subchronic test result

Control

22.82 ± 6.14a

258.6 ± 31.7a

50 mg/KgBW

22.83 ± 3.96a

254.9 ± 19.51a

100 mg/KgBW

17.21± 3a

266.6 ± 56.22a

200 mg/KgBW

20.33 ± 1.53a

229.9 ± 29.93a

400 mg/KgBW

20.27 ± 4.73a

230.4 ± 31.65a

800 mg/KgBW

20.48 ± 5a

185.6 ± 59.7a

Note: All skin layers in all treatment groups in both acute and subchronic test have the same letter notation, and the p-value obtained in all skin layers is above 0.05 (p > 0.05) indicating non-significant difference in all treatment groups.


The observation of skin thickness in histological preparations acts as supporting data from observations of skin morphology, which states that there is no allergic reaction as evidenced by the absence of skin thickening or hyperplasia. Figures 1 and 2 illustrate how the thickness of the epidermis differs among individuals. Even within the same species, the thickness of the epidermis will change in various body parts and within a single area according to physiological factors, including gender and hair cycle stage [45]. Epidermis in mice has a size of < 25 µm [46]. Based on this, it can be said that the epidermis in the treatment group given EEUPK does not have thickening because it has a thickness of < 25 µm. These results also indicate that the epidermis in the test animals is normal and there is no thickening or hyperplasia in both the epidermis and dermis layers. Hyperplasia refers to the increase in the number of cells typically found in a tissue or organ. In many instances, this condition is attributed to enhanced cellular replication. Drugs and chemicals can induce hyperplasia both directly and indirectly. A direct example of hyperplasia is the increased cell proliferation observed after administering agents that function as ligands for nuclear receptors [47]. This condition, as well as inflammation, is a feature of various skin conditions. IgE through FcεRI signalling on basophils will potentially promote epidermal hyperplasia [48].

The size of the dermis obtained is also normal, where the dermis on the back of M. musculus should have a size of less than 280 µm (275 - 280 µm) [49]. The dermis is a layer of skin that originates from the mesoderm and is a place for hair follicles, sweat glands, nerves, and oil glands [50]. The dermis predominantly consists of an acellular component known as the extracellular matrix (ECM). Collagen fibers are a key element of the ECM, comprising 75 % of the skin’s dry weight and offering tensile strength and elasticity [51]. Dermis is divided into 2 distinct regions: The superficial papillary layer and the deeper reticular layer [52]. In the reticular dermis, the fibers are typically thicker and often bundled together, whereas the papillary dermis is much thinner in comparison [53].


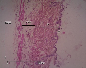
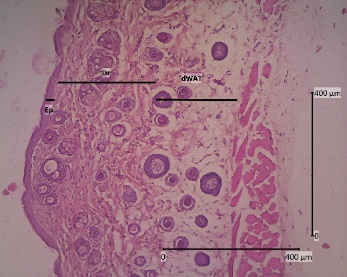
(A)

(B)

(C)

(D)

(E)

(F)

Note: (A) Control, (B) 50 mg/KgBW, (C) 100 mg/KgBW, (D) 200 mg/KgBW, (E) 400 mg/KgBW and (F) 800 mg/KgBW. The difference in thickness in dWAT (Dermal White Adipose Tissue) is due to differences in the growth phase of hair follicles in each individual.

Figure 1 M musculus skin histology after treatment in acute allergy test with magnifition 400× and hematoxylyn-eosin dye.


Ensuring drug safety is an important step to prevent patients or prospective patients from various negative reactions, especially drug allergy reactions. Drug hypersensitivity reactions (DHRs) are a form of adverse drug reaction that can occur across various drug classes, affecting multiple organ systems and a wide range of patient populations [14]. Drug hypersensitivity reactions are type B drug interactions and represent one-3rd of all drug interactions [54]. According to the World Health Organization (WHO) consensus, adverse drug reactions (ADRs) are classified into 2 categories: Predictable (type A) and unpredictable (type B) reactions [36]. Type B reactions are rare but tend to be severe in nature and can potentially lead to mortality [55]. This is due to type B reactions are more challenging to identify and detect during preclinical and clinical trials prior to a drug’s market approval [36].

In this study, drug allergy testing was carried out through the skin prick test (SPT) method. In the United States, diagnostic tests for drug allergies predominantly rely on immediate skin testing and drug challenges [56]. SPT and IDT with direct reading are used to investigate hypersensitivity reactions directly. Reactions tend to occur 1 h after drug administration. Self-onset symptoms occur on the skin and mucous membranes, such as rash/urticaria and angio-edema, and can occasionally develop into more severe anaphylactic shock, hypotension, and bronchospasm symptoms [54]. Large molecular weight drugs can be directly identified by immune cells and antibodies. In contrast, most drugs function as haptens because they are too small (less than 1,000 Da) to trigger an immune response on their own and must bind covalently to a protein to form an antigen [57]. These hapten-self protein complexes are then either taken up by or produced from drug pro-haptens within antigen-presenting cells (APCs). They are processed and presented on major histocompatibility complex (MHC) I or II molecules, which may lead to the activation of drug-specific T cells [14]. Tumor necrosis factor alpha (TNF-α), mast cell protease (MCP), interleukin-9 (IL-9), and other inflammatory mediators are released when IgE binds to certain receptors on the surface of mast cells in response to allergen recognition. In the intestinal mucosa, Th-2 cytokines like IL-5 and IL-13, which cause mast cell hyperplasia and B lymphocytes to produce allergen-specific IgE, dominate the ensuing inflammatory response [58].

Differential leukcocyte data were also obtained from male M. musculus used as test animals. White blood cell differential analysis is a commonly employed diagnostic method in both medical practice and research. It provides valuable insights into the immune system’s condition and offers crucial information regarding an organism’s overall health [59]. Differential leukocytes need to be known because the increase in the number of leukocyte types can be caused by allergic reactions [18]. Male animals were chosen because female animals have estrogen hormones that rise and fall according to the estrus phase. Estrogen has an influence on the immune system because estrogen will stimulate the production of Th2 cytokines, which will increase the growth and proliferation of Th2 cells to elevate IgE production and eosinophil function related to inflammatory reactions due to allergies and bacterial infections [60]. The test is carried out by piercing the skin to the dermis layer so that the ethanol extract can be recognized by the immune system. There is a more varied population of mononuclear phagocytes in the dermis layer, such as dermal macrophages and dermal dendritic cells, or DC cells [61]. Macrophages are antigen-presenting cells present in the dermis that are able to identify pathogens and cause damage by triggering the proper immune response [62].


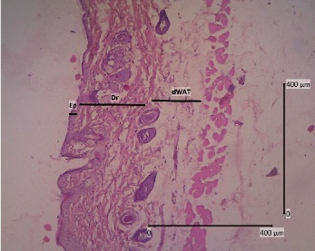
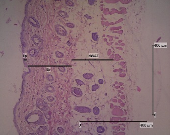
(A)

(B)

(C)

(D)

(E)

(F)

Note: (A) Control, (B) 50 mg/KgBW, (C) 100 mg/KgBW, (D) 200 mg/KgBW, (E) 400 mg/KgBW and (F) 800 mg/KgBW. The difference in thickness in dWAT (Dermal White Adipose Tissue) is due to differences in the growth phase of hair follicles in each individual.

Figure 2 M musculus skin histology after treatment in subchronic allergy test with magnifition 400× and hematoxylyn-eosin dye.


Table 6 Differential leukocyte results in acute and subchronic testing.

Leukocyte differential results in acute testing

Groups

Mean acute test leukocyte differential (%)

Neutrophils

Lymphocytes

Eosinophils

Monocytes

Basophils

Control

47 ± 7a

47.4 ± 7.8a

3.2 ± 0.7a

2 ± 1a

0a

50 mg/KgBW

44.5 ± 4.5a

49 ± 4.58a

4 ± 1.22a

2.5 ± 1.12a

0a

100 mg/KgBW

42.25 ± 7.6a

52.5 ± 7.57a

2.75 ± 1.3a

2.5 ± 0.5a

0a

200 mg/KgBW

37.75 ± 4.06a

56 ± 4a

3.75 ± 1.09a

2.5 ± 0.5a

0a

400 mg/KgBW

48.25 ± 8.06a

47.25 ± 9a

2.75 ± 1.26a

1.75 ± 0.55a

0a

800 mg/KgBW

41.75 ± 8.88a

53 ± 8.62a

3.25 ± 0.96a

1.25 ± 0.5a

0a

Control

26.75 ± 5.17a

66.75 ± 5.45a

4.5± 0.5a

2 ± 0a

0a

50 mg/KgBW

31.75 ± 1.92a

63.25 ± 1.48a

3.25± 0.83a

1.75 ± 0.43a

0a

100 mg/KgBW

23.5 ± 4.39a

73 ± 4.12a

2.25 ± 0.83a

1.25 ± 0.43a

0a

200 mg/KgBW

31.5 ± 4.27a

62.75 ± 4.26a

3.75 ± 0.43a

2 ± 0a

0a

400 mg/KgBW

32 ± 13.34a

63.5 ± 12.92a

2.5 ± 1.29a

2 ± 0.81a

0a

800 mg/KgBW

27.5 ± 8.27a

68.5 ± 8.81a

2.5 ± 0.58a

1.5 ± 0.58a

0a

Reference

10 - 40

> 50

1 - 5

< 2

0.5 - 1

[63]

[59]

[64]

[65]

[66]

Note: All types of leukocytes in all treatment groups in both acute and subchronic testing have the same letter notation and show that the p-value obtained is above 0.05 (p > 0.05) showing no significant differences in all treatment groups.


The differential leukocyte result in Table 6 is derived from the calculation formula: Leukocyte type/100×%. The number 100 represents the total leukocytes counted. This calculation can be done due to the 1 % Giemsa dye applied. Giemsa dye contains eosin, which stains basic cell component like cytoplasm granules, and methylene blue which stains the nucleus as an acidic component of cell [67]. Based on the leukocyte differential data in Table 6, there are differences in the results in each treatment group for each number and type of leukocytes present. The results in the Table 6 show that the average value of lymphocytes is higher than the average value of neutrophils except in the 400 mg/kgBW dose group. The average number of lymphocytes that is higher than neutrophils is in accordance with the existing literature where M. musculus has a high number of lymphocytes, which is > 50 % [59] with only 10 - 40 % neutrophils [63]. This contrasts with humans, who have 30 - 50 % lymphocytes and 50 - 70 % neutrophils [68]. However, the number of neutrophils in all treatment groups in acute testing had values above 30 % even though it is still within the normal range. This can be caused by stab wounds that trigger inflammation. Wounds are the result of physical trauma that breaks the skin tissue [69].

The impact of the wound increasing the number of neutrophils will be seen in the comparison of differential leukocyte results in acute testing with subchronic testing results. The neutrophil results in the subchronic test were lower in the range of 23.5 - 32 %. This is due to the absence of wounds made as a pathway for extract entry. In the healing process, wounds undergo 4 phases, namely homeostasis, inflammation, proliferation, and remodelling [70]. Neutrophils are the primary circulating leukocytes in the blood and are regarded as the 1st responders of the immune system [68].The early stages of inflammation are dominated by neutrophils [71]. Neutrophils are typically the 1st cells to gather at sites of injury and microbial infection. Their departure from the blood into tissues is a multi-step process, which includes the activation of polymorphonuclear leukocytes (PMNs), rolling and adhering to the activated endothelium, trans endothelial migration, and subsequent chemotactic movement toward the site of inflammation [72]. Activated neutrophils mediate inflammation by secreting and synthesizing leukotrienes, cytokines, prostaglandins, and chemokines. In particular, neutrophils have been shown to secrete and synthesize the chemokine CXCL8, which will attract more neutrophils [73].

Table 6 shows that the mean value of eosinophils in all treatment groups varied in the range of 2.75 - 4 % for acute testing and 2.5 - 4.5 % for subchronic testing. These results are still included in the normal category because in healthy individuals eosinophils will be found with a small percentage of 1 - 5 % of total white blood cells count [64]. Eosinophils are known to contribute to allergic reactions. It has been documented that an increase in eosinophil infiltration in tissues is a characteristic feature of allergic diseases [74]. Increased eosinophil counts are caused by parasites, atopic disorders, and allergic illnesses [75]. Eosinophil levels rise considerably in certain pathological conditions, affecting both blood and tissue compartments. This increase is primarily due to a multi-immune response involving type 2 (T2) cytokines and other pro-inflammatory mediators [76]. Eosinophils promote allergic inflammation through the release of pro-inflammatory mediators such as leukotrienes C4 (LTC4), major basic protein (MBP), eosinophil cationic protein (ECP), IL-4, and IL-13 [64]. Therefore, the mean value of eosinophils that is less than 5 % in the test results indicates that no hypersensitivity or allergic response occurs.

The mean value of monocytes as displayed in Table 6 shows that monocytes are in the range of 1.25 - 2.5 for acute testing and 1.25 - 2 for subchronic. Monocytes make up less than 2 % of the total leukocyte count in mice [65]. Monocytes are an essential part of the mononuclear phagocytic system, which breaks down foreign objects and microbes in a variety of tissues. By interacting with lymphocytes and developing into dendritic cells, these blood cells also serve as antigen-presenting cells, controlling immunological and inflammatory responses [77]. Based on the test results, there is an average value for both tests where the results of the acute test show a higher upper limit average value of 2.5 % compared to the subchronic test, which has a value of 2 %. This difference is again due to the presence of puncture wounds on the back in acute individuals. The increase in monocytes can be attributed to the tissue damage caused by the puncture wound on the dorsal skin of M. musculus. Following an injury, circulating monocytes rapidly exit the peripheral blood and migrate into tissues, where they play a crucial role in initiating, coordinating, and resolving inflammation [78]. The rupture/damaged tissue can release a danger signal called Damaged-Associated Molecular Patterns (DAMPSs) [79]. Furthermore, monocytes that have cellular receptors called Pattern Recognition Receptors (PRRs) will recognize DAMPs. Pro-inflammatory cytokines will activate and attract inflammatory cells such as monocytes from the blood circulation to the location where DAMPs are located, which will increase monocyte cells [80].

White blood cells called basophils are important in a number of allergy diseases. Following exposure to allergens, mast cells and basophils release vasoactive mediators that later will cause anaphylaxis, which is an allergic reaction that occurs rapidly and is potentially life threatening [81]. Considering the information in Table 6, it can be seen that basophils in all test models and all treatment groups have a value of 0. The value is very small when compared to other white blood cells. This is due to the fact that when measuring white blood cells (WBCs), basophils are the least prevalent type of leukocyte that representing only 0.5 - 1 % [82]. The absence of basophils in this calculation does not mean that there are no basophils in the blood circulation of the test animals. This because basophils are only 0.5 - 1 % of all leukocytes, making them the least common granulocytes. The expression of IgE receptors, where basophils contain a high-affinity FcεRI on the cell surface that may bind directly to IgE, is the primary characteristic that distinguishes these cells from mast cells. Crosslinking between FcεRI and allergen-induced IgE causes the release of effector and immunoregulatory mediators, including leukotriene-4 (LTC-4), histamine, and Th2 cytokines like IL-4 and IL-13. Where there is allergic irritation in the skin and airways, basophils and eosinophils are found [66].


Conclusions

The result of this study concludes that ethanol extract of unripe pisang kayu (EEUPK) does not have an allergic effect as seen from the absence of notable differences (p > 0.05) in the epidermis and dermis thickness in all treatment groups, which indicates the absence of hyperplasia. The absence of allergy is also evident from the absence of reddish rash and edema in the morphological observation of the back of M. musculus. The extract also did not have an allergic effect as seen from the absence of significant differences in the average results of differential leukocytes. In addition, the number of eosinophils and basophils used as an indicator of allergy is also still in the normal category in all treatment groups, indicating the absence of allergy in M. musculus.


Acknowledgements

The authors are grateful to the Department of Biology, Faculty of Science and Data Analytics, Sepuluh Nopember Institute of Technology, and the Pharmacy Study Program, Faculty of Health Science, Anwar Medika University, Indonesia.


References

[1] J Zhou, S Liang, Y Cui, Y Rong, J Song and D Lv. Study on environmental behaviour of fluopyram in different banana planting soil. Scientific Reports 2021; 11(1), 15346.

[2] RF Rahayuniati, S Subandiyah, S Hartono, S Somowiyarjo, REK Kurniawan, AB Prakoso, K Crew, ME Vance, JD Ray and JE Thomas. Recent distribution and diversity analysis on banana bunchy top virus of banana and alternative host in Indonesia. Tropical Plant Pathology 2021; 46(5), 506-517.

[3] AW Ningsih, A Syahrani, AW Septama and Sukardiman. Predicting toxicity and conducting molecular docking analysis of compounds from unripe kayu banana fruit (Musa paradisiaca L. var. Kayu) against 3mzd and 2q85 proteins in Escherichia coli for antibacterial activity. Pharmacy Education 2024; 24(3), 329-335.

[4] AW Ningsih, A Syahrani, AW Septama and Sukardiman. Metabolit profilling and antibacterial activity of ethanol extract of the unripe fruit peel of kayu banana (Musa paradisiaca L. Var. Kayu). Trends In Sciences 2024; 21(2), 7154.

[5] ICS Klau, AW Ningsih and WFI Putra. Profil Rendemen Ekstrak dan Fraksi Kulit Buah, Daging Buah, dan Buah Pisang Mentah (Musa paradisiaca L.). Journal of Pharmacy Science and Technology 2021; 3(1), 181-190.

[6] AW. Ningsih, M Rochmanti and A Basori. Effectiveness of antidiarrheal unripe wooden banana (Musa paradisiaca L.) in male Balb-c/mice induced with Escherichia coli. Folia Medica Indones 2021; 56(3), 208.

[7] J Zhang, K Hu, L Di, P Wang, Z Liu, J Zhang, P Yue, W, Song, J Zhang, T Chen, Z Wang, Y Zhang, X Wang, C Zhan, YC CHeng, X Li, Q Li, JY Fan, Y Shen, JY Han and H Qiao. Traditional herbal medicine and nanomedicine: Converging disciplines to improve therapeutic efficacy and human health. Advanced Drug Delivery Reviews 2021; 178, 113964.

[8] P Monika, MN Chandraprabha, A Rangarajan, PV Waiker and KNC Murthy. Challenges in healing wound: Role of complementary and alternative medicine. Frontiers in Nutrition 2022; 8, 791899.

[9] A Balkrishna, N Sharma, D Srivastava, A Kukreti, S Srivastava and V Arya. Exploring the safety, efficacy, and bioactivity of herbal medicines: Bridging traditional wisdom and modern science in healthcare. Future Integrative Medicine 2024; 3(1), 35-49.

[10] D Dori, N Méda, FA Gbaguidi, J Quetin-Leclercq and R Semdé. Wholesale distribution and delivery of plant-based medicinal products through the pharmaceutical system of Burkina Faso. Annales Pharmaceutiques Françaises 2020; 78(2), 179-188.

[11] AMB Amorim, LF Piochi, AT Gaspar, AJ Preto, N Rosário-Ferreira and IS Moreira. Advancing drug safety in drug development: Bridging computational predictions for enhanced toxicity prediction. Chemical Research in Toxicology 2024; 37(6), 827-849.

[12] YM Al-Worafi. Technology for drug safety: Current tatus and future developments. Springer, Switzerland, 2023.

[13] WJ Pichler. The important role of non-covalent drug-protein interactions in drug hypersensitivity reactions. European Journal of Allergy and Clinical Immunology 2022; 77(2), 404-415.

[14] M Pallardy, R Bechara, J Whritenour, S Mitchell-Ryan, D Herzyk, H Lebrec, H Merk, I Gourley, WJ Komocsar, JR Piccotti, M Balaze, A Sharma, DB Walker and D Weinstock. Drug hypersensitivity reactions: Review of the state of the science for prediction and diagnosis. Toxicological Sciences 2024; 200(1), 11-30.

[15] S Bose, PP Das, S Banerjee and P Chakraborty. A comprehensive review on natural products caused allergy and its mechanism. Journal of Herbal Medicine 2023; 42, 100778.

[16] PF Cañete and D Yu. Follicular T cells and the control of IgE responses. Allergology International 2024; 74(1), 13-19.

[17] EY Yim, AC Zhou, YC Yim, X Wang and T Xia. Antigen-specific mRNA lipid nanoparticle platforms for the prevention and treatment of allergy and autoimmune diseases. BMEMat 2024; 2(2), e12060.

[18] PM Wiguna, IGA Sukarya and ME Suryani. Efek pemberian ekstrak daun tabat barito (Ficus deltoidea) terhadap hitung jenis leukosit pada tikus putih (Rattus norvegicus) alergi yang diinduksi ovalbumin. Mahakam Medical Laboratory Technology Journal 2023; 3(1), 13-21.

[19] SA Bennett, N Harris, J Chaffin and S Beal. Educational case: Hematologic and immunologic response to allergic rhinitis with other causes of leukocytosis. Academic Pathology 2020; 7, 2374289520953568.

[20] H Shah, S Eisenbarth, CA Tormey and AJ Siddon. Behind the scenes with basophils: An emerging therapeutic target. Immunotherapy Advances 2021; 1(1), ltab008.

[21] S Salah, C Taieb, AL Demessant and M Haftek. Prevalence of skin reactions and self-reported allergies in 5 countries with their social impact measured through quality of life impairment. International Journal of Environmental Research and Public Health 2021; 18(9), 4501.

[22] K Brockow. Drug allergy: Definitions and phenotypes. In: DA Khan and A Banerji (Eds.). Drug allergy testing. Elsevier, Missouri, 2017, p. 19-26.

[23] ED Agosta, L Salvati, M Corazza, I Balardini, F Ambrogio, L Angileri, E Antonelli, F Belluzzo, D Bonamonte, L Bonzano, R Brancaccio, P Custurone, AD Marco, A Detoraki, AD Guilda, ED Leo, M Fanto, F Fassio, SM Ferrucci, C Foti, …, and O Rossi. Quality of life in patients with allergic and immunologic skin diseases: In the eye of the beholder. Clinical and Molecular Allergy 2021; 19(1), 26.

[24] Badan Pengawas Obat dan Makanan. Peraturan badan pengawas obat dan makanan nomor 10 tahun 2022. Peraturan Badan Pengawas Obat dan Makanan (Peraturan BPOM), Central Jakarta, Indonesia, 2022.

[25] AW Ningsih, Sukardiman, A Syahrani, AM Charisma and KI Wahyuni. Study of drying methods and extraction methods on phenolic contenct. In: Proceedings of the 2nd International Conference on Government Education Management and Tourism (ICoGEMT), Bandung, Indodnesia. 2022.

[26] OECD. Test guideline no.406 skin sensitisation. OECD, Paris, France, 2022.

[27] ES Chambers and M Vukmanovic-Stejic. Skin barrier immunity and ageing. Immunology 2020; 160(2), 116-125.

[28] DW Hikmal. 2023, Uji toksisitas akut ekstrak etanol buah mentah pisang kayu (Musa paradisiaca l. var. kayu) secara in vivo pada mencit (Mus musculus). Bachelor Degrees. Anwar Medika University, Sidoardjo, Indonesia.

[29] AL Whittaker and TH Barker. The impact of common recovery blood sampling methods, in mice (Mus musculus), on well-being and sample quality: A systematic review. Animals 2020; 10(6), 989.

[30] AM Halim, AB Cahyanurani and AA Aonullah. The effect of Ocimum sanctum L. crude extract on haematology of Cyprinus carpio infected by Aeromonas hydrophila. IOP Conference Series: Earth and Environmental Science 2022; 1036(1), 012086.

[31] B Febram, I Wientarsih and DB Pontjo. Activity of ambon banana (Musa paradisiaca var. sapientum) stem extract in ointment formulation on the wound healing process of mice skin (Mus musculus albinus). Traditional Medicine Jornal 2010; 15(3), 121-137.

[32] AL Mescher. Junqueira’s basic histology: Text and atlas. McGraw Hill Education, New York, 2021.

[33] I Yudhika, M Jailani and Dasrul. Histopathological overview of wound healing process in white rats (Rattus norvegicus) using Chromolaena odorata leaf jelly extract. Journal of International Surgery and Clinical Medicine 2021; 1(2), 21-28.

[34] T Gureczny, B Heindl, L Klug, F Wantke, W Hemmer and S Wöhrl. Allergy screening with extract-based skin prick tests demonstrates higher sensitivity over in vitro molecular allergy testing. Clinical and Translational Allergy 2023; 13(2), e12220.

[35] YQ Yu, X Yang, XF Wu and YB Fan. Enhancing permeation of drug molecules across the skin via delivery in nanocarriers: Novel strategies for effective transdermal applications. Frontiers in Bioengineering and Biotechnology 2021; 9, 646554.

[36] J Han, C Pan, X Tang, Q Li, Y Zhu, Y Zhang and A Liang. Hypersensitivity reactions to small molecule drugs. Frontiers in Immunology 2022; 13, 1016730.

[37] AM Eraky, A Wright and D McDonald. Pseudo-Allergies in the Emergency department: A common misdiagnosis of hypersensitivity type 1 allergic reaction. Cureus 2023; 15(10), e46536.

[38] S Lelyana. Hypersensitivity in dentistry. Sound of Dentistry 2020; 5(2), 22-31.

[39] R Wakasugi, K Suzuki and T Kaneko-Kawano. Molecular mechanisms regulating vascular endothelial permeability. International Journal of Molecular Sciences 2024; 25(12), 6415.

[40] M Lepelley, C Bernardeau, F Defendi, J Crochet, M Mallaret and L Bouillet. Update on bradykinin-mediated angioedema in 2020. Therapies 2020; 75(2), 195-205.

[41] H Lima, J Zheng, D Wong, S Waserman and GL Sussman. Pathophysiology of bradykinin and histamine mediated angioedema. Frontiers in Allergy 2023; 4, 1263432.

[42] N Schettini, M Corazza, C Schenetti, L Pacetti and A Borghi. Urticaria: A narrative overview of differential diagnosis. Biomedicines 2023; 11(4), 1096.

[43] E Macy. Practical management of new-onset urticaria and angioedema presenting in primary care, urgent care, and the emergency department. The Permanente Journal 2021; 25(4), 21.058.

[44] JM Al-Khayri, GR. Sahana, P Nagella, BV Joseph, FM Alessa and MQ Al-Mssallem. Flavonoids as potential anti-inflammatory molecules: A review. Molecules 2022; 27(9), 2901.

[45] L Mecklenburg, D Kusewiti, C Kolly, S treuman, ET Adams, K Diegel, J Yamate, W Kaufmann, S Muller, D Danilenko and A Bradley. Proliferative and non-proliferative lesions of the rat and mouse integument. Journal of Toxicologic Pathology 2013; 26(3), 27S-57S.

[46] E Zingkou, G Pampalakis and G Sotiropoulou. Keratinocyte differentiation and proteolytic pathways in skin (patho) physiology. The International Journal of Developmental Biology 2021; 66(1-2-3), 269-275.

[47] RC Cattley. Modes of chemically induced cell proliferation. In: CA McQueen (Ed.). Comprehensive toxicology. Elsevier, Amsterdam, Netherlands, 2018.

[48] MD Hayes, S Ward, G Crawfoed, RC Seoane, WD Jackson, D Kipling, D Voehringer, D Dunn-Walters and J Strid. Inflammation-induced IgE promotes epithelial hyperplasia and tumour growth. Elife 2020; 9, e51862.

[49] W Zhiqiang, L Jieshu and L Ji. Hair regeneration after epidermal peeling. European Journal of Dermatology 2020; 30(2), 203-205.

[50] GMCT Pratama, IGNBRM Hartawan, IGAT Indriani, MU Yusrika, SAA Suryantari and PSS Sudarsa. Potency of Spirulina platensis extract as sunscreen on ultraviolet b exposure. Journal of Medicine & Health 2020; 2(6), 205-217.

[51] JW Shin, SH Kwon, JY Choi, JI Na, CH Huh, HR Choi and KC Park. Molecular mechanisms of dermal aging and antiaging approaches. International Journal of Molecular Sciences 2019; 20(9), 2126.

[52] Z Lotfollahi. The anatomy, physiology and function of all skin layers and the impact of ageing on the skin. Wound Practice and Research 2024; 32(1), 6-10.

[53] B Lynch, H Pageon, HL Blay, S Brizion, P Bastien, T Vornschlogl and Y Domanov. A mechanistic view on the aging human skin through ex vivo layer-by-layer analysis of mechanics and microstructure of facial and mammary dermis. Scientific Reports 2022; 12(1), 849.

[54] K Brockow, H Garvey, W Aberer, M Atanaskovic-Markovic, A Barbaud, MB Bilo, A Bircher, M Blanca, B Bonadonna, P Campi, E Castro, JR Cernadas, AM Chiriac, P Demoly, M Grosber, J Gooi, C lombardo, PM Mertes, H Mosbech, S Nasser, …, and I Terreehorst. Skin test concentrations for systemically administered drugs - an ENDA/EAACI drug allergy interest group position paper. European Journal of Allergy and Clinical Immunology 2013; 68(6), 702-712.

[55] P Thomson, S Hammond and DJ Naisbitt. Pathology of drug hypersensitivity reactions and mechanisms of immune tolerance. Clinical & Experimental Allergy 2022; 52(12), 1379-1390.

[56] DA Khan, A Banerji, KG Blumenthai, EJ Philips, R Solensky, AA White, JA Bernstein, DK Chu, AK Ellis, DBJ Golde, MJ Greenhawt, CC Horner, D Ledford, JA Lieberman, J Oppenheimer, MA Rank, MS Shaker, DR Stukus, D Wallace and J Wang. Drug allergy: A 2022 practice parameter update. The Journal of Allergy and Clinical Immunology 2022; 150(6), 1333-1393.

[57] RG Wilkerson. Drug hypersensitivity reactions. Emergency Medicine Clinics of North America 2022; 40(1), 39-55.

[58] E Salinas, D Reyes-Pavon, NG Cortes-Perez, E Torres-Maravilla, OK Bitzer-Quintero, P Langella and LG Bermudez-Humaran. Bioactive compounds in food as a current therapeutic approach to maintain a healthy intestinal epithelium. Microorganisms 2021; 9(8), 1634.

[59] E Arlt, A Kindermann, AK Fritsche, A Navarrete Santos, H Kielstein and I Bazwinsky-Wutschke. A flow cytometry-based examination of the mouse white blood cell differential in the context of age and sex. Cells 2024; 13(18), 1583.

[60] Z Fan, H Che, S Yang and C Chen. Estrogen and estrogen receptor signaling promotes allergic immune responses: Effects on immune cells, cytokines, and inflammatory factors involved in allergy. Allergologia et Immunopathologia 2019; 47(5), 506-512.

[61] M Collin and V Bigley. Human dendritic cell subsets: An update. Immunology 2018; 154(1), 3-20.

[62] J Kolter, R Feuerstein, P Zeis, N Hagemyer, N Paterson, P d-Errico, S Baasch, L Amann, T Masauda, A Losslein, K Gharun, M Meyer-Luehmann, C Waskow, CW Franzke, D Grun, T Lammermann, M Prinz and P Henneke. A subset of skin macrophages contributes to the surveillance and regeneration of local nerves. Immunity 2019; 50(6), 1482-1497.

[63] FZ Kelishomi, F Nikkahi, S Amereh, F Ghayyaz, SMA Marashi, A Javadi, G Shahbazi and M Khakpour. Evaluation of the therapeutic effect of a novel bacteriophage in the healing process of infected wounds with Klebsiella pneumoniae in mice. Journal of Global Antimicrobial Resistance 2024; 36, 371-378.

[64] L Gigon, T Fettrelet, S Yousefi, D Simon and HU Simon. Eosinophils from A to Z. European Journal of Allergy and Clinical Immunology 2023; 78(7), 1810-1846.

[65] KE O’Connell, AM Mikkola, AM Stepanek, A Vernet, CD Hall, CC Sun, E Yildirim, JF Staropoli, JT Leey and DE Brown. Practical murine hematopathology: A comparative review and implications for research. Comparative Medicine 2015; 65(2), 96-113.

[66] J Iype and M Fux. Basophils orchestrating eosinophils’ chemotaxis and function in allergic inflammation. Cells 2021; 10(4), 895.

[67] KB Megha, S Aneeta, X Joseph, J Abey, GN Baiju and PV Mohanan. Insights into cellular interactions of characterized Mg-Al layered double hydroxide on L929 cells. Materials Chemistry and Physics 2024; 323, 129631.

[68] HE Conley and MK Sheats. Targeting neutrophil β2-integrins: A review of relevant resources, tools, and methods. Biomolecules 2023; 13(6), 892.

[69] A Sungkar, D Widyatmoko, KY Yarso and B Wasita. The effect of duration of wound skin tissue on mda, tnf-α, il-6, caspase 3, vegf levels, and granulation tissue thickness in the white rat (Rattus novergicus). Bali Medical Journal 2020; 9(3), 918-923.

[70] A Hassanshahi, M Moradzad, S Ghalamkari, M Fadaei, AJ Cowin and M Hassanshahi. Macrophage-mediated inflammation in skin wound healing. Cells 2022; 11(19), 2953.

[71] LG Ng, R Ostuni and A Hidalgo. Heterogeneity of neutrophils. Nature Reviews Immunology 2019; 19(4), 255-265.

[72] JG Filep and A Ariel. Neutrophil heterogeneity and fate in inflamed tissues: Implications for the resolution of inflammation. American Journal of Physiology-Cell Physiology 2020; 319(3), C510-C532.

[73] HK Lehman and BH Segal. The role of neutrophils in host defense and disease. Journal of Allergy and Clinical Immunology 2020; 145(6), 1535-1544.

[74] SA Gwalabe, A Adamu, AM Kirfi, JA Dunga and IM Maigari. Serum immunoglobulin e level and its relationship with eosinophil count among patients with allergic rhinitis in tertiary hospital in bauchi, northeastern nigeria: A cross‑sectional study. Nigerian Journal of Clinical Practice 2023; 27(3), 389-393.

[75] H Kutlu, E Avci and F Özyurt. White blood cells detection and classification based on regional convolutional neural networks. Medical Hypotheses 2019; 135, 109472.

[76] S Quirce, BG Cosio, A Espana, R Blanco, J Mullol, C Santander and VD Pozo. Management of eosinophil-associated inflammatory diseases: The importance of a multidisciplinary approach. Frontiers in Immunology 2023; 14, 1192284.

[77] AA Mangaonkar, AJ Tande and DI Bekele. Differential diagnosis and workup of monocytosis: A systematic approach to a common hematologic finding. Current Hematologic Malignancy Reports 2021; 16(3), 267-275.

[78] NR Chan, B Hwang, BD Ratner and JD Bryers. Monocytes contribute to a pro-healing response in 40 μm diameter uniform-pore, precision-templated scaffolds. Journal of Tissue Engineering and Regenerative Medicine 2022; 16(3), 297-310.

[79] MJ Caballero-Herrero, E Jumilla, M Buitrago-Ruiz, G Valero-Navarro and S Cuevas. Role of damage-associated molecular patterns (DAMPS) in the postoperative period after colorectal surgery. International Journal of Molecular Sciences 2023; 24(4), 3862.

[80] RTA Lebang, VZ Latuconsina, H Rahawarin, I Hutagalung, PY Silalahi and S Maruanaya. The effect of ethanol extract of brown algae (Sargassum Sp.) on the calculation of leukocyte type of mice (Mus Musculus) after acute stress induction. PAMERI Pattimura Medical Review 2021; 3(2), 8-24.

[81] R Poto, AR Gambadella, G Marone, JT Schroeder, F Matteni, G Schiavoni and G Varrichi. Basophils from allergy to cancer. Frontiers in Immunology 2022; 13, 1056838.

[82] P Chopra, S Bhardwaj and A Arora. Comparison of basophil count by Beckman Coulter UniCel DxH 800, Sysmex XN-1000, and manual microscopy in cases of suspected chronic myeloid leukemia. Iraqi Journal of Hematology 2021; 10(2), 91.