Trends
Sci.
2025; 22(7): 9930
Biwa (Eriobotrya japonica) Leaf Nanoherbal for Diabetes Therapy: In Silico and In Vivo Study on Blood Glucose and Pancreatic Histology
Syafruddin Ilyas*, Salomo Hutahaean, Lailatun Nisfa,
Dini Prastyo Wati, Dina Khairani and Wardah Sawitri Polem
Study Program of Biology, Faculty of Mathematics and Natural Sciences, Universitas Sumatera Utara,
Medan 20155, Indonesia
(*Corresponding author’s e-mail: [email protected])
Received: 4 February 2025, Revised: 17 March 2025, Accepted: 24 March 2025, Published: 10 June 2025
Abstract
Diabetes mellitus is a global metabolic disorder with an increasing prevalence. This study investigates the antidiabetic potential of Biwa (Eriobotrya japonica) leaf nanoherbal through in silico and in vivo approaches. A total of 12 bioactive compounds from E. japonica leaf extract were screened using in silico approaches to assess their pharmacokinetics, toxicity, and molecular interactions with PTP1B and DPP4. Molecular docking analysis revealed that 11 out of 12 compounds exhibited strong interactions with these key enzymes involved in glucose metabolism, particularly Quinic Acid (–7.7 kcal/mol) and Luteolin (–7.6 kcal/mol) for PTP1B, as well as Oleanolic Acid (–9.2 kcal/mol), Luteolin (–9.1 kcal/mol), and quercetin (–9.0 kcal/mol) for DPP4. For the in vivo study, 30 Wistar rats were divided into 5 groups, where the negative control [C(–)] received physiological saline, while the diabetic control [C(+)] and treatment groups were induced with alloxan (120 mg/kg BW). After diabetes induction, [T1] received E. japonica nanoherbal at 250 mg/kg BW, [T2] received E. japonica nanoherbal at 500 mg/kg BW, and [T3] received glibenclamide at 5 mg/kg BW. Blood glucose levels were monitored, and pancreatic histology was analyzed. The in vivo results showed that nanoherbal treatment significantly reduced blood glucose levels, with the 500 mg/kg BW dose decreasing glucose levels from 277.8 to 157.4 mg/dL on day 14. Histological analysis further demonstrated improved pancreatic islet structure and reduced cellular degeneration in treated groups. These findings suggest that E. japonica nanoherbal has strong antidiabetic potential by targeting glucose-regulating enzymes and enhancing pancreatic histology.
Keywords: E. japonica, Nanoherbal, Antidiabetic therapy, In silico, Molecular docking
Introduction
DM is a global health challenge that has been increasing significantly in recent decades. By the International Diabetes Federation (IDF), over 537 million adults worldwide were living with DM in 2021, a figure projected to rise to 643 million by 2030, and sedentary lifestyles account for approximately 90 - 95 % of all DM cases [1-3]. Uncontrolled DM can lead to chronic hyperglycemia, resulting in severe complications, which may arise in the form of diabetic retinopathy, nephropathy, neuropathy, and heart disease [4]. Moreover, hyperglycemia induces damage to the β-cells in the pancreatic islets of Langerhans, impairing the production of insulin and exacerbating the metabolic state of patients. These impacts not only diminish individual quality of life but also impose a substantial economic burden on global healthcare systems [5].
Conventional diabetes therapies, such as metformin, insulin, and sulfonylureas, have been the primary approaches for managing blood glucose levels [6]. However, these treatments have significant limitations, including risks of side effects such as hypoglycemia, organ toxicity, and a decline in efficacy over time due to drug resistance [7]. Additionally, the high cost of long-term treatment poses a significant challenge, particularly in developing countries. Consequently, exploring alternative therapeutic approaches that are safer, more effective, and affordable, especially those derived from natural sources such as traditional medicinal plants, has become imperative.
One promising traditional medicinal plant is Biwa (E. japonica), widely used in conventional medicine to treat various ailments [8]. This plant is abundant in bioactive substances, including flavonoids, triterpenoids, and polysaccharides, which have been reported to exhibit antidiabetic activity through several mechanisms [9,10]. These include antioxidant activity that protects cells from oxidative damage, glucose regulation through the modulation of glucose-metabolizing enzymes, and protective effects on β-cells in the pancreas, which are often damaged by oxidative stress and inflammation [11]. Although E. japonica holds great potential as an antidiabetic agent, its bioactive compounds often suffer from low bioavailability due to certain chemical properties, such as poor solubility. Nanoherbal technology offers a solution to this limitation by enhancing the stability, bioavailability, and efficacy of active compounds. Nanoformulations enable bioactive compounds to more effectively reach molecular targets, resulting in optimized therapeutic effects [12,13].
In silico research, an essential initial step to evaluate the potential of bioactive compounds through approaches such as molecular docking and pharmacokinetic analysis. This analysis helps identify the interaction of compounds with molecular targets involved in blood glucose regulation, such as specific enzymes or receptors [14]. This study employs molecular docking to investigate potential interactions of inhibitors with protein tyrosine phosphatase 1B (PTP1B) and dipeptidyl peptidase-4 (DPP4), both of which play crucial roles in the pathogenesis of diabetes and obesity [15]. PTP1B is vital in regulating insulin signaling, directly influencing glucose metabolism, while DPP4 impacts incretin peptides essential for maintaining β-cell function in the pancreas [16,17].
Subsequently, in vivo approaches using animal models provide empirical data to confirm antidiabetic activity and protective effects on organs, including pancreatic histology [18]. Integrating of in silico and in vivo data provides a robust scientific foundation for assessing the potential of E. japonica as a diabetes therapy agent.
This study aims to explore the potential of nanoherbal E. japonica as an antidiabetic therapy through an integrative approach involving in silico and in vivo analyses. The primary focus is on blood glucose regulation and histological protection of the pancreas. The findings of this research are expected to bridge knowledge gaps related to the development of nanoherbal-based therapies while providing innovative solutions for managing DM.
Materials and methods
Research material
Biwa (E. japonica) plants were collected from Tangkahan in the Gundaling area, Berastagi District, Karo Regency, North Sumatra Province. The fresh Biwa leaves were dried, ground into a coarse powder, and then processed into a nanoherbal form. The milling process was conducted using a 2 M HCl activator with a Planetary Ball Milling (PBM) machine manufactured by PT Nanotech Indonesia Global Tbk. A mass ratio of 20:1 (balls in the machine: milled powder) was applied. The milling was performed for 2 consecutive 9-hour periods, resulting in a total processing time of 18 h. The milling process was carried out at 350 rpm for a total of 20 h, resulting in the production of nanopowders, which were subsequently analyzed using a Particle Size Analyzer (PSA).
LCMS/MS analysis of nanoherbal Biwa leaves (E. japonica)
Once the Biwa (E. japonica) nanoherbal had been formed, a portion of the sample was extracted using 96 % ethanol for LC-MS/MS analysis. The extraction process was carried out by sonicating the sample for 30 min, followed by centrifugation at 10,000 rpm for 10 min. The supernatant was collected and was filtered through a 0.22 µm membrane before analysis. The analysis was conducted using an AB Sciex 3200 Q-Trap, which was coupled with a Perkin Elmer FX 15 UHPLC system. A pre-packed C18 column (5 μm, 4×250 mm, Phenomenex) was used for separation. The mobile phase was prepared using water (solvent A) and ethanol containing 1 % acetonitrile, 0.1 % formic acid, and 5 mM ammonium formate. Data from the run are processed using MassLynx v4.1 software [19].
In silico analysis compounds nanoherbal Biwa
The bioactive compounds identified from the LC-MS profiling of Biwa leaf (E. japonica) nanoherbal extract include Quinic Acid (PubChem CID: 6508), Caffeic Acid (PubChem CID: 689043), Chrysin (PubChem CID: 5281607), Coumaric Acid (PubChem CID: 637542), Luteolin (PubChem CID: 5280863), Kaempferol (PubChem CID: 5280863), Betulinic Acid (PubChem CID: 64971), Oleanolic Acid (PubChem CID: 10494), Quercetin (PubChem CID: 5280343), Rutin (PubChem CID: 5280805), Epicatechin (PubChem CID: 72276), and Eriodictyl (PubChem CID: 440735). These compounds were subjected to molecular docking analysis against Protein Tyrosine Phosphatase 1B (PTP1B, PDB ID: 5T19) and Dipeptidyl Peptidase-4 (DPP4, PDB ID: 4A5S) to evaluate their potential interactions and therapeutic efficacy in diabetes management.
Drug-likeness evaluation, and biological activity prediction
The drug-likeness of the bioactive compounds identified from the nanoherbal of Biwa leaves (E. japonica) has been assessed using Lipinski’s Rule of Five (Ro5), which is applied to evaluate oral bioavailability based on specific criteria. According to Ro5, good oral bioavailability is likely when compounds meet the following conditions: Log P ≤ 5, no more than 5 hydrogen bond donors, no more than 10 hydrogen bond acceptors, and a molecular weight of ≤500 g/mol [20,21]. Compounds exceeding these thresholds may exhibit limited bioavailability. Additionally, biological activity predictions were carried out using the PASS Online tool. SMILES structures were extracted from PubChem (http://pubchem.ncbi.nlm.nih.gov) and uploaded to the Way2drug server (http://way2drug.com/PassOnline/), where predictions were based on the activation potential (Pa) values. Compounds with a Pa value above 0.7 are considered to have high biological activity, those with Pa values below 0.7 but above 0.5 are considered to have moderate activity, and compounds with Pa values below 0.5 are considered to have low activity potential [22].
ADMET properties and molecular docking analysis
ADMET (Absorption, Distribution, Metabolism, Excretion, and Toxicity) properties of the Biwa nanoherbal compounds (E. japonica Thunb. Lindl.) were evaluated using the pkCSM webserver (http://biosig.lab.uq.edu.au/pkcsm/prediction).
Toxicological risks were analyzed using the ProTox-III server (https://tox.charite.de/protox3/), while the PerMM tool (https://permm.phar.umich.edu/) predicted passive diffusion across lipid bilayers. These analyses provided insights into the pharmacokinetic potential and safety profile of the compounds. Molecular docking simulations were conducted to study the bioactive compounds’ interactions with specific target proteins involved in diabetes management. These include PTP1B (PDB ID:5T19), and DPP4 (4A5S) [15,23]. Ligands were prepared by downloading structural data from PubChem (http://pubchem.ncbi.nlm.nih.gov), followed by energy minimization using Open Babel within PyRx 0.0.8. Protein structures were retrieved from the Protein Data Bank (PDB; https://www.rcsb.org/), and water molecules were removed using PYMOL software. Docking simulations were performed using AutoDock Vina integrated into PyRx, with grid box dimensions optimized to target specific binding sites (Table 1). The results highlighted the optimal binding poses for each protein-ligand complex, providing valuable insights into their potential therapeutic interactions [15,24].
Table 1 Coordinate grid and dimensions of PTP1B and DPP4 proteins for molecular docking.
Protein |
PDB ID |
Coordinate grid |
|||||
Center |
Dimension |
||||||
X |
Y |
Z |
X |
Y |
Z |
||
PTP1B |
5T19 |
1.9089 |
34.3353 |
9.7213 |
75.9735 |
90.5915 |
42.6386 |
DPP4 |
4A5S |
13.5388 |
27.4365 |
36.1601 |
68.5861 |
27.4365 |
|
In vivo analysis
Animals
The in vivo study was approved by the Animal House, Universitas Sumatera Utara, under the ethical committee approval number 0522/KEPH-FMIPA/2019. Male Wistar rats weighing 150 - 200 g were selected to evaluate the antidiabetic effects of nanoherbal Biwa (E. japonica) leaves. The rats were then divided into 5 groups: [C(–)], [C(+)], [T1], [T2], and [T3]. All groups, except [C(–)], were induced with alloxan at a dose of 120 mg/kg BW. The [C(–)] group was administered physiological saline, while the other groups received different treatments after diabetes induction. [T1] was administered nanoherbal Biwa leaves at 250 mg/kg BW, [T2] was administered nanoherbal Biwa leaves at 500 mg/kg BW, and [T3] was administered glibenclamide at 5 mg/kg BW. Nanoherbal and glibenclamide treatments were administered orally for 14 days, and blood glucose levels were measured on days 1, 7, and 14. The results were analyzed to assess the effectiveness of nanoherbal Biwa leaves in reducing blood glucose levels in diabetic rats.
Measurement of blood
Measurement of blood glucose levels in rats (Rattus norvegicus) was performed using the EasyTouch glucometer. The method of taking blood is to clean the tips of the cotton tails that have been given water so that the attached dirt disappears, then clean again with 70 % alcohol. The base of the tail is pricked with a small needle, the blood that comes out is then touched on the glucometer strip. Blood glucose levels will be read on the screen after 10 s and expressed in mg/dL. Measurement of rat blood glucose level was measured before treatment and 4 days after alloxan.
Analysis of decreased blood glucose levels
After treatment the percentage of decrease in blood glucose in the group after being treated using the following formula.
(1)
Analysis of decreased blood glucose levels
Pancreas specimens were fixed in a buffered formalin solution, washed under running water, and subjected to a dehydration process using a graded ethanol series (70, 80, 90 %, and absolute ethanol) for 5 min per concentration, followed by clearing in a xylene-alcohol solution (ratios 3:1, 2:1, and 1:1) and pure xylene for the same duration. The tissue was then infiltrated with molten paraffin at a maintained temperature of 56 - 58 °C for 2 h before being embedded and sectioned into thin slices of 5 - 7 μm thickness. These sections were floated in warm water (56 - 58 °C) and carefully mounted on glass slides to maintain structural integrity and prevent tissue folding. For histological examination, hematoxylin and eosin (H & E) staining was performed, beginning with deparaffinization in xylene for 15 min, followed by rehydration through a descending ethanol series (100, 90, 80, and 70 %) for 5 min at each step. The sections were then stained with hematoxylin for 5 min, rinsed under running water, counterstained with eosin, and subjected to another dehydration cycle using 70, 80, 90 %, and absolute ethanol for 10 min per step. Finally, the sections were cleared in xylene for 5 s, mounted with coverslips, and examined under a light microscope at 400× magnification to analyze histopathological alterations.
Analysis of data
Use SPSS software version 27 to run the ANOVA test at the 5 % level, then move on to the post-hoc Duncan test. If the data are not normally distributed and/or the variance is not homogeneous, use the Kruskal-Wallis test and then proceed to the Mann-Whitney test. Graphing using GraphPad Prism Version 10.2.3 (403).
Results and discussion
Nanoherbal Biwa leaf size analysis
The PSA analysis showed that nanoparticles from Biwa (E. japonica) leaves had a particle diameter of 563.1 nm (Figure 1). Based on these results, Biwa nanoparticles can be categorized as nanoparticles since their size falls within the 100 - 1000 nm range, which has the potential to enhance bioavailability in biological systems [25,26]. A smaller particle size increases surface area, improving solubility, facilitating diffusion, and accelerating the interaction of bioactive compounds with target sites. The PBM process was found to be effective in reducing particle size, resulting in a more homogeneous nanoparticle formulation. The reduction in particle size also plays an important role in the pharmacokinetics of active compounds, potentially improving absorption and distribution. However, further research is required to evaluate the long-term stability of the nanoparticle formulation, the release profile of active compounds, and its overall biological effectiveness.
Figure 1 Nanoparticle size analysis of Biwa (E. japonica) leaves using PSA.
LC-MS analysis of nanoherbal of Biwa leaf (E. japonica)
In recent research conducted with LC-MS on nanoherbal E. japonica leaves, the team successfully identified 12 significant compounds, demonstrating considerable variation in retention times indicative of their diverse physicochemical properties (Table 2). Quinic Acid, showing the shortest retention time at just 6.01 min, suggests its higher solubility or smaller molecular size, which could be beneficial for rapid absorption in therapeutic applications. Conversely, Betulinic Acid, with the longest retention time at 32.4 min, likely has a more complex molecular structure or stronger interactions with the analytical column, suggesting stability or sustained release in pharmaceutical formulations.
Compounds such as Caffeic Acid and Kaempferol, with retention times around 7.26 and 7.7 min, respectively, and others like Chrysin and Luteolin, which exhibit longer retention times at 15.7 and 13.7 min, likely reflect their higher polarity or molecular weight, influencing their bioavailability and efficacy. Additional compounds including Oleanolic Acid, Quercetin, Rutin, Epicatechin, and Eriodictyl, with retention times ranging from 6.9 to 13.5 min, show a range of interactions with the analytical media, which could inform their pharmacokinetic profiles.
This research substantiates the bioactive potential of the compounds in nanoherbal E. japonica leaves, aligning with prior studies that highlight their therapeutic applicability [27]. The detailed retention time profiles facilitate accurate identification and quantification of these compounds and enhance understanding of their biological actions, paving the way for optimized therapeutic formulations.
Table 2 Compounds of nanoherbal Biwa leaf (E. japonica).
No. |
Name |
Formula |
Molecular weight (g/mol) |
Retention time (minute) |
Smiles |
ID |
1 |
Quinic Acid |
C7H12O6 |
192.17 |
6.01 |
C1[C@H](C([C@@H](CC1(C(=O)O)O)O)O)O |
6508 |
2 |
Caffeic Acid |
C9H8O4 |
180.16 |
7.26 |
C1=CC(=C(C=C1/C=C/C(=O)O)O)O |
689043 |
3 |
Chrysin |
C17H14O |
254.24 |
15.7 |
C1=CC=C(C=C1)C2=CC(=O)C3=C(C=C(C=C3O2)O)O |
5281607 |
4 |
Coumaric Acid |
C9H8O3 |
164.04 |
12.2 |
C1=CC(=CC=C1/C=C/C(=O)O)O |
637542 |
5 |
Luteolin |
C15H10O6 |
286.24 |
13.7 |
C1=CC(=C(C=C1C2=CC(=O)C3=C(C=C(C=C3O2)O)O)O)O |
5280445 |
6 |
Kaempferol |
C15H10O6 |
286.23 |
7.7 |
C1=CC(=CC=C1C2=C(C(=O)C3=C(C=C(C=C3O2)O)O)O)O |
5280863 |
7 |
Betulinic Acid |
C30H48O3 |
456.7 |
32.4 |
CC(=C)[C@@H]1CC[C@]2([C@H]1[C@H]3CC[C@@H]4[C@]5(CC[C@@H](C([C@@H]5CC[C@]4([C@@]3(CC2)C)C)(C)C)O)C)C(=O)O |
64971 |
8 |
Oleanolic Acid |
C30H48O3 |
456.7 |
6.9 |
C[C@]12CC[C@@H](C([C@@H]1CC[C@@]3([C@@H]2CC=C4[C@]3(CC[C@@]5([C@H]4CC(CC5)(C)C)C(=O)O)C)C)(C)C)O |
10494 |
9 |
Quercetin |
C15H10O7 |
302.236 |
10.4 |
C1=CC(=C(C=C1C2=C(C(=O)C3=C(C=C(C=C3O2)O)O)O)O)O |
5280343 |
10 |
Rutin |
C27H30O16 |
610.517 |
12.2 |
C[C@H]1[C@@H]([C@H]([C@H]([C@@H](O1)OC[C@@H]2[C@H]([C@@H]([C@H]([C@@H](O2)OC3=C(OC4=CC(=CC(=C4C3=O)O)O)C5=CC(=C(C=C5)O)O)O)O)O)O)O)O |
5280805 |
11 |
Epicatechin |
C15H14O6 |
290.26 |
13.5 |
C1[C@H]([C@H](OC2=CC(=CC(=C21)O)O)C3=CC(=C(C=C3)O)O)O |
72276 |
12 |
Eriodictyl |
C15H12O6 |
288.25 |
12.0 |
C1[C@H](OC2=CC(=CC(=C2C1=O)O)O)C3=CC(=C(C=C3)O)O |
440735 |
In silico analysis of Biwa
Drug-likeness evaluation, and biological activity prediction
Lipinski’s analysis and bioactivity prediction demonstrates the great potential of the nanoherbal compounds from Biwa leaf (E. japonica Thunb. Lindl.) in diabetes therapy, despite some compounds violating certain parameters. Lipinski’s analysis of the Biwa nanoherbal compounds, as listed in Table 3, reveals that several compounds violate specific drug-likeness criteria but still exhibit promising pharmacological properties. Quinic Acid, Caffeic Acid, Chrysin, and Coumaric Acid, although exceeding the limits on the number of oxygen atoms and hydroxyl groups, retain significant pharmaceutical potential, particularly in inhibiting enzymes related to glucose metabolism and exerting antioxidant effects [28]. Betulinic Acid and Oleanolic Acid, despite surpassing the lipophilicity threshold (MlogP), are widely utilized in medicine due to their pronounced anti-inflammatory properties, which play a crucial role in alleviating pancreatic inflammation linked to diabetes [29]. Quercetin, which presents similar violations, remains an essential compound in drug formulations due to its well-established pharmacological benefits. While Rutin violates multiple parameters, it demonstrates noteworthy bioactivity in various therapeutic applications. Furthermore, Epicatechin and Eriodictyl exhibit minor deviations but largely comply with Lipinski’s Ro5, reinforcing their potential in diabetes treatment.
Table 3 Evaluation of nanoherbal Biwa leaf (E. japonica Thunb. Lindl.) compounds based on Lipinski’s Ro5.
No. |
Compound name |
Lipinski |
Violasi |
|||
MW |
MlogP ≤ 4.15 |
NorO ≤ 10 |
NHorOH ≤ 5 |
|||
1 |
Quinic Acid |
192.17 |
–2.14 |
6 |
5 |
Yes (0) |
2 |
Caffeic Acid |
180.16 |
0.7 |
4 |
3 |
Yes (0) |
3 |
Chrysin |
254.24 |
1.08 |
4 |
2 |
Yes (0) |
4 |
Coumaric Acid |
164.16 |
1.28 |
3 |
2 |
Yes (0) |
5 |
Luteolin |
286.24 |
–0.03 |
6 |
4 |
Yes (0) |
6 |
Kaempferol |
286.24 |
–0.03 |
6 |
4 |
Yes (0) |
7 |
Betulinic Acid |
456.7 |
5.82 |
3 |
2 |
Yes (1) |
8 |
Oleanolic Acid |
456.7 |
5.82 |
3 |
2 |
Yes (1) |
9 |
Quercetin |
302.24 |
–0.56 |
7 |
5 |
Yes (0) |
10 |
Rutin |
610.52 |
–3.89 |
16 |
10 |
No (3) |
11 |
Epicatechin |
290.27 |
0.24 |
6 |
5 |
Yes (0) |
12 |
Eriodictyl |
288.25 |
0.16 |
6 |
4 |
Yes (0) |
Bioactivity prediction analysis using the PASS Online tool (as shown in Table 4) provides further insights into the mechanisms by which these compounds contribute to diabetes therapy. Key compounds such as Quinic Acid, Caffeic Acid, Luteolin, Kaempferol, Betulinic Acid, and Oleanolic Acid exhibit strong activity in modulating diabetes-related pathways, particularly in enhancing insulin secretion, regulating glucose metabolism and exerting anti-inflammatory effects [30-32]. For instance, Quinic Acid demonstrates high insulin-promoting activity alongside potent antioxidant properties. Caffeic Acid functions as a glucose oxidase inhibitor, potentially aiding blood glucose regulation. Luteolin not only promotes insulin secretion but also exerts anti-inflammatory and antioxidative effects. Kaempferol plays a significant role in stimulating insulin release while acting as a robust antioxidant. Betulinic Acid primarily reduces diabetes-induced pancreatic inflammation, while Oleanolic Acid exhibits potent anti-inflammatory effects that could mitigate insulin resistance. Moreover, the active compounds in Biwa leaf nanoherbal predominantly belong to the flavonoid and triterpenoid classes, which are well-documented for their roles in diabetes therapy. Flavonoids such as Luteolin, Kaempferol, and Quercetin exhibit potent antioxidant and anti-inflammatory properties and enhance insulin secretion. Meanwhile, triterpenoids, Betulinic Acid, and Oleanolic Acid are crucial in reducing pancreatic inflammation and improving insulin sensitivity, making them promising candidates for novel diabetes therapeutics [33].
Table 4 Biological activities and criteria of herbal compounds and nanoherbal Biwa leaf.
No. |
Compound name |
Biological activity |
Pa |
Criteria |
1 |
Quinic Acid |
Sugar-phosphatase inhibitor |
0.936 |
Very High |
Glucan endo-1,6-beta-glucosidase inhibitor |
0.916 |
Very High |
||
Endo-1,3(4)-beta-glucanase inhibitor |
0.840 |
Very High |
||
Antioxidant |
0.830 |
Very High |
||
Glucose oxidase inhibitor |
0.832 |
Very High |
||
Insulin promoter |
0.569 |
High |
||
2 |
Caffeic acid |
HIF1A expression inhibitor |
0.841 |
Very High |
Sugar-phosphatase inhibitor |
0.776 |
Very High |
||
Glucose oxidase inhibitor |
0.761 |
Very High |
||
Glucan endo-1,6-beta-glucosidase inhibitor |
0.728 |
Very High |
||
Antioxidant |
0.603 |
High |
||
Insulin promoter |
0.469 |
Low |
||
3 |
Chrysin |
HIF1A expression inhibitor |
0.962 |
Very High |
Glucan endo-1,6-beta-glucosidase inhibitor |
0.734 |
Very High |
||
Inhibitor Insulysin |
0.732 |
Very High |
||
Antioxidant |
0.708 |
Very High |
||
Sugar-phosphatase inhibitor |
0.706 |
Very High |
||
4 |
Coumaric Acid |
Antimutagenic |
0.886 |
Very High |
HIF1A expression inhibitor |
0.816 |
Very High |
||
Sugar-phosphatase inhibitor |
0.800 |
Very High |
||
Insulysin inhibitor |
0.755 |
Very High |
||
Antioxidant |
0.553 |
Low |
||
5
|
Luteolin |
HIF1A expression inhibitor |
0.964 |
Very High |
Antimutagenic |
0.940 |
Very High |
||
Antioxidant |
0.775 |
Very High |
||
Insulysin inhibitor |
0,745 |
Very High |
||
Glucan endo-1,6-beta-glucosidase inhibitor |
0.672 |
High |
||
Sugar-phosphatase inhibitor |
0.640 |
High |
||
Antidiabetic |
0.540 |
Low |
||
6 |
Kaempferol |
HIF1A expression inhibitor |
0.969 |
Very High |
Antimutagenic |
0.948 |
Very High |
||
Antioxidant |
0.856 |
Very High |
||
Sugar-phosphatase inhibitor |
0.640 |
High |
||
Insulysin inhibitor |
0.615 |
High |
||
7 |
Betulinic Acid |
Insulin promoter |
0.805 |
Very High |
Antiinflammatory |
0.741 |
Very High |
||
Glucan endo-1,3-beta-D-glucosidase inhibitor |
0.636 |
High |
||
Sugar-phosphatase inhibitor |
0.397 |
Low |
||
8 |
Oleanolic Acid |
Antiinflammatory |
0.819 |
Very High |
Glucan endo-1,3-beta-D-glucosidase inhibitor |
0.565 |
High |
||
Antidiabetic |
0.465 |
Low |
||
Sugar-phosphatase inhibitor |
0.453 |
Low |
||
Antioxidant |
0.361 |
Low |
||
9 |
Quercetin |
HIF1A expression inhibitor |
0.969 |
Very High |
Antimutagenic |
0.940 |
Very High |
||
Antioxidant |
0.872 |
Very High |
||
Insulysin inhibitor |
0.645 |
High |
||
Glucan endo-1,6-beta-glucosidase inhibitor |
0.577 |
High |
||
Sugar-phosphatase inhibitor |
0.566 |
High |
||
10 |
Rutin |
Antioxidant |
0.923 |
Very High |
HIF1A expression inhibitor |
0.842 |
Very High |
||
Antiinflammatory |
0.728 |
Very High |
||
Sugar-phosphatase inhibitor |
0.676 |
Very High |
||
Antidiabetic |
0.528 |
High |
||
11 |
Epicatechin |
HIF1A expression inhibitor |
0.883 |
Very High |
Antioxidant |
0.810 |
Very High |
||
Sugar-phosphatase inhibitor |
0.603 |
High |
||
Antiinflammatory |
0.548 |
High |
||
Antidiabetic |
0.355 |
Low |
||
12 |
Eriodictyl |
HIF1A expression inhibitor |
0.920 |
Very High |
Antimutagenic |
0.883 |
Very High |
||
Antioxidant |
0.817 |
Very High |
||
Sugar-phosphatase inhibitor |
0.508 |
High |
ADMET and toxicity prediction
The analysis of ADMET (Absorption, Distribution, Metabolism, Excretion, and Toxicity) was considered essential in evaluating the efficacy and safety of nanoherbal Biwa as an antidiabetic agent. Parameters such as intestinal absorption, Caco-2 permeability, and water solubility were assessed to determine how well the nanoherbal formulation was absorbed and distributed in the body, while BBB permeability was analyzed to indicate whether the compounds could cross the blood-brain barrier for potential neurological effects. Additionally, interactions with metabolic enzymes such as CYP2D6 substrates and inhibitors and OCT2 substrates were evaluated, as they influenced drug metabolism and excretion, potentially affecting efficacy and the risk of drug interactions in diabetes therapy [34,35]. The ADMET analysis in Table 5 highlights significant variations in parameters such as intestinal absorption, blood-brain barrier (BBB) permeability, Caco-2 permeability, and water solubility among the tested compounds. High intestinal absorption (>70 %) was observed for chrysin (93.761 %), Coumaric Acid (93.494 %), and Betulinic Acid (99.763 %), indicating good potential for oral bioavailability. Conversely, Quinic Acid (32.274 %) and rutin (23.446 %) exhibited low absorption levels, which may hinder their therapeutic application via oral administration without specialized formulations. Caco-2 permeability, representing a compound’s ability to cross intestinal epithelial membranes, showed high values for Betulinic Acid (1.175) and Oleanolic Acid (1.168), supporting their potential for systemic absorption. However, quercetin (–2.925) displayed low permeability, potentially limiting its absorption through the intestine. Regarding BBB permeability, most compounds exhibited negative values, such as Quinic Acid (–0.894) and Luteolin (–0.907), indicating a restricted capacity to traverse the blood-brain barrier. Nonetheless, caffeic acid (69.407) demonstrated high permeability into the central nervous system, making it a promising candidate for brain-related therapies. None of the compounds were identified as substrates or inhibitors of the CYP2D6 enzyme, suggesting a low risk of drug-drug interactions involving this metabolic pathway. Additionally, most compounds were not substrates for the OCT2 transporter, supporting their potential for systemic distribution. In terms of water solubility, Quinic Acid (–1.119) exhibited relatively high solubility, whereas chrysin (–3.538) and Kaempferol (–3.04) had low solubility values, which could impact their absorption process, necessitating specialized formulations to enhance solubility.
Table 5 ADMET prediction of the compound from nanoherbal Biwa leaf.
No. |
Compounds name |
Intestinal absorption (human) |
Caco2 permeability |
BBB permeability |
CYP2D6 substrate |
CYP2D6 inhibitor |
OCT2 substrate |
Water solubility |
1 |
Quinic Acid |
32.274 |
–0.258 |
–0.894 |
No |
No |
No |
–1.119 |
2 |
Caffeic Acid |
69.407 |
0.634 |
69.407 |
No |
No |
No |
–2.33 |
3 |
Chrysin |
93.761 |
0.945 |
0.047 |
No |
No |
No |
–3.538 |
4 |
Coumaric Acid |
93.494 |
1.21 |
–0.225 |
No |
No |
No |
–2.378 |
5 |
Luteolin |
81.13 |
0.096 |
–0.907 |
No |
No |
No |
–3.094 |
6 |
Kaempferol |
74.29 |
0.032 |
–0.939 |
No |
No |
No |
–3.04 |
7 |
Betulinic Acid |
99.763 |
1.175 |
–0.322 |
No |
No |
No |
–3.122 |
8 |
Oleanolic Acid |
99.558 |
1.168 |
–0.143 |
No |
No |
No |
–3.261 |
9 |
Quercetin |
77.207 |
–2.925 |
–1.098 |
No |
No |
No |
–2.925 |
10 |
Rutin |
23.446 |
–0.949 |
–1.899 |
No |
No |
No |
–2.892 |
11 |
Epicatechin |
68.829 |
–0.283 |
–1.054 |
No |
No |
No |
–3.117 |
12 |
Eriodictyl |
74.687 |
–0.094 |
–0.827 |
No |
No |
No |
–3.253 |
Table 6 Toxicity prediction of nanoherbal Biwa leaf compounds.
No. |
Compounds name |
Predicted LD50 (mg/kg) |
Predicted toxicity class |
Average similarity (%) |
Prediction accuracy (%) |
1 |
Quinic Acid |
9800 |
6 (Non-toxic) |
89.29 |
70.97 |
2 |
Caffeic Acid |
2980 |
5 |
88.59 |
70.97 |
3 |
Chrysin |
3919 |
5 |
82.19 |
70.97 |
4 |
Coumaric Acid |
2850 |
5 |
100 |
100 |
5 |
Luteolin |
3919 |
5 |
80.53 |
70.97 |
6 |
Kaempferol |
3919 |
5 |
80.53 |
70.97 |
7 |
Betulinic Acid |
2610 |
5 |
77.12 |
69.26 |
8 |
Oleanolic Acid |
2000 |
4 |
100 |
100 |
9 |
Quercetin |
159 |
3 |
100 |
100 |
10 |
Rutin |
5000 |
5 |
100 |
100 |
11 |
Epicatechin |
10000 |
6 |
100 |
100 |
12 |
Eriodictyl |
2000 |
4 |
79.17 |
69.26 |
The analysis conducted in this study presents the rat oral acute toxicity (LD50) values in mg/kg, predicted toxicity classes (I - VI), and prediction accuracy percentages for various compounds, as shown in Table 6. Based on the classification, Class I is defined as fatal toxicity if swallowed (LD50 ≤ 5), Class II is categorized as fatal toxicity (5 < LD50 ≤ 50), Class III is described as toxic if ingested (50 < LD50 ≤ 300), Class IV is considered harmful if swallowed (300 < LD50 ≤ 2000), Class V is classified as potentially harmful if swallowed (2000 < LD50 ≤ 5000), and Class VI is regarded as non-toxic (LD50 > 5000) [36]. The findings indicate that Quinic Acid and Epicatechin exhibit the most favorable pharmacokinetic and toxicity profiles, positioning them as potential candidates for diabetes treatment. Both compounds are classified under Class VI, indicating very low toxicity. Conversely, quercetin is classified under Class III (50 < LD50 ≤ 300), signifying high toxicity, which may limit its clinical application. Furthermore, most other compounds, including caffeic acid, Luteolin, and Kaempferol, are categorized under Class IV and V, indicating moderate to low toxicity. Compounds with high average similarity and prediction accuracy, such as Coumaric Acid and Rutin, are considered more reliable for further development. The heatmap shown in Figure 2 illustrates the predicted organ toxicity, where values approaching –0.5 indicate active toxic effects. The results demonstrate that quercetin exhibits high toxicity, particularly in terms of hepatotoxicity and cardiotoxicity, whereas Betulinic Acid and Oleanolic Acid are shown to induce moderate nephrotoxicity and hepatotoxicity. In contrast, Quinic Acid, Epicatechin, and Rutin exhibit low or no toxicity across different organs, making them safer options. Additionally, chrysin and Kaempferol are found to cause mild hepatotoxicity and nephrotoxicity, while eriodictyol is predicted to exhibit potential neurotoxicity but remains relatively safe for other organs.
Figure 2 Headmap organ toxicity of components in nanoherbal from Biwa leaves.
In diabetes therapy, Quinic Acid is particularly promising due to its high solubility, low toxicity, and well-documented anti-inflammatory and antioxidant properties, which contribute to protecting pancreatic tissue from oxidative stress, a key mechanism in the pathogenesis of diabetes [37]. Similarly, Epicatechin, which is also safe and exhibits reasonable bioavailability, has been reported to enhance insulin sensitivity and reduce insulin resistance through the modulation of oxidative stress and inflammation [38]. This compound also offers protection to β-pancreatic cells, supporting glycemic control. Conversely, compounds such as quercetin, despite their anti-diabetic activity through α-glucosidase inhibition and protective effects on the pancreas, exhibit high organ toxicity, limiting their therapeutic application. Nanotechnology-based formulations may provide a viable solution to improve the safety and efficacy of such compounds.
Additionally, caffeic acid, which demonstrates high BBB permeability, shows potential in addressing diabetes-related neurological complications such as diabetic neuropathy through its antioxidant and anti-inflammatory mechanisms [39]. In conclusion, Quinic Acid and Epicatechin are promising candidates for diabetes therapy due to their favorable safety profiles and biological activities supporting glycemic regulation. However, specialized formulations, such as quercetin, are essential for compounds with pharmacokinetic or toxicological limitations to optimize their clinical potential.
PerMM prediction
This study evaluated the passive permeability potential of 11 phytochemicals identified through LC-MS analysis of Biwa (E. japonica) leaf nanoherbal compounds using the PerMM method. PerMM is a web server that predicts membrane partitioning and translocation of small molecules based on free energy calculations [40]. This analysis is essential for determining whether a compound crosses membrane passively or requires specific transport mechanisms [41]. As illustrated in Figure 3, the energy profiles of the analyzed compounds exhibited distinct interaction patterns with lipid membranes, influencing their pharmacokinetic potential.
Figure 3 The PerMM analysis identified 11 compounds: (a) Quinic Acid, (b) Caffeic Acid, (c) Chrysin, (d) Coumaric Acid, (e) Luteolin, (f) Kaempferol, (g) Betulinic Acid, (h) Oleanolic Acid, (i) Quercetin, (j) Epicatechin, and (k) Eriodictyl.
To further examine permeability trends, individual compound energy profiles were analyzed. Assessing the
membrane permeability of Biwa (E. japonica) leaf nanoherbal compounds is essential for optimizing their pharmacokinetic properties in diabetes therapy. Enhanced permeability facilitates improved bioavailability, promoting glucose homeostasis, insulin signaling modulation, and anti-inflammatory activity. PerMM provides valuable insights into the interaction of these nanoherbal compounds with lipid membranes, enabling predictions regarding their cellular uptake and pharmacological efficacy.
Quinic Acid exhibited moderate permeability, with maximum stability at –1.62 kcal/mol at Z = ±22 Å and the highest resistance at Z = 0 Å. Caffeic Acid demonstrated low permeability, peaking at –1.7 kcal/mol at Z = ±17 Å, while Chrysin exhibited enhanced membrane penetration efficiency, stabilizing at –3.61 kcal/mol at Z = ±16 Å. Coumaric Acid required additional energy to traverse hydrophobic regions, with a peak of +3.54 kcal/mol at Z = 4 Å and a minimum of –2.02 kcal/mol at Z = ±17 Å. Luteolin encountered substantial energy barriers within the hydrophobic membrane core, with a minimum energy of –2.21 kcal/mol at Z = ±16 Å. In contrast, Kaempferol exhibited strong surface interactions, similar to Luteolin, with a minimum energy of –2.04 kcal/mol at Z = ±17 Å. Betulinic Acid and Oleanolic Acid demonstrated high stability and efficient membrane traversal, with Betulinic Acid reaching –6.27 kcal/mol at Z = ±16 Å and Oleanolic Acid maintaining consistently negative energy values. Compounds with low energy transfer values can passively permeate membranes, reducing the need for specialized drug delivery systems such as liposomes or nanoparticles [42].
Most compounds exhibited stability at the membrane’s peripheral regions (Z = ±16 to ±22 Å), with Betulinic Acid and Oleanolic Acid displaying the highest permeability. In contrast, Caffeine Acid and Luteolin faced significant energy barriers. Eriodictyol demonstrated a flat energy profile, suggesting computational limitations due to incomplete molecular data. These findings reinforce the importance of free energy calculations in predicting molecular transport across lipid bilayers, which is critical for developing nanoherbal therapeutics for diabetes management.
Molecular docking and visualization of interactions with PTP1B and DPP4
This comprehensive study explores the antidiabetic potential of natural compounds extracted from the nanoherbal leaves of Biwa (E. japonica), emphasizing their role in inhibiting key therapeutic targets, specifically PTP1B and DPP4. These enzymes are instrumental in regulating blood glucose levels and enhancing insulin sensitivity, which are pivotal factors in diabetes management. The study focuses on flavonoids such as Luteolin and quercetin, as well as terpenoids like Oleanolic Acid, which are known for their effectiveness in improving insulin sensitivity and reducing blood glucose levels by targeting these enzymes. Notably, Luteolin and quercetin enhance insulin sensitivity by binding to critical residues within PTP1B’s active site, corroborating the molecular interactions detailed in this research [43]. Additionally, research by Zhao et al. [44] highlights Oleanolic Acid’s capability to significantly decrease insulin resistance in type 2 diabetes models.
Table 7 Interaction of nanoherbal leaf E. japonica with PTP1B and binding affinity.
No. |
Ligan |
Interaction with PTP1B |
Biding affinity |
|||
Conventional hydrogen bond |
Carbon hydrogen |
Hydrphobic |
Elektrostatistic |
|||
1 |
Control (Glibenclamide) |
THR A: 154 THR A: 177 |
|
VAL A: 113 LEU A: 119 ILE A: 149 |
|
–7 |
2 |
Quinic Acid |
HIS A: 60 THR A: 138 ASN A: 139 ASN A: 162 THR A: 164 |
|
|
|
–7.7 |
3 |
Caffeic acid |
PHE A: 182 ARG A: 221 |
|
ALA A: 217 |
GLN A: 266 |
–6.3 |
4 |
Chrysin |
|
|
TYR A: 46 VAL A: 49 ALA A: 217 |
|
–7.4 |
5 |
Coumaric Acid |
ARG A: 221 |
|
TYR A: 46 PHE A: 182 |
ALA A: 217 |
–6.1 |
6 |
Luteolin |
CYS A: 215 ARG A: 211 |
|
TYR A: 46 |
SER A: 216 ALA A: 217 |
–7.6 |
7 |
Kaempferol |
ARG A: 211 |
|
TYR A: 46 PHE A: 182 ALA A: 217 |
|
–7.2 |
8 |
Betulinic Acid |
CYS A: 92 GLY A: 93 |
|
MET A: 133 |
|
–7.3 |
9 |
Oleanolic Acid |
TYR A: 164 |
|
HIS A: 60 TRP A: 100 |
|
–7.2 |
10 |
Quercetin |
TYR A: 46 GLU A: 115 ARG A: 221 |
|
VAL A: 49 PHE A: 182 |
ALA A: 217 |
–7.1 |
11 |
Epicatechin |
PHE A: 182 ARG A: 221 |
|
TYR A: 46 VAL A: 49 ALA A: 217 |
|
–7.5 |
12 |
Eriodictyl |
PHE A: 182 ALA A: 217 |
|
ARG A: 221 |
|
–7.5 |
Table 8 Interaction of nanoherbal leaf Eriobotrya japonica with DPP4 and binding affinity.
No. |
Ligand |
Interaction with DPP4 |
Binding affinity |
|||
Conventional hydrogen bond |
Carbon hydrogen |
Hydrophobic |
Elektrostatistic |
|||
1 |
Control (Glibenclamide) |
ARG A: 125 GLU A: 205 GLU A: 206 SER A: 630 TYR A: 662 ASN A: 710 |
- |
TRP A: 629 TYR A: 547 |
- |
–9.5 |
2 |
Quinic Acid |
TYR A: 585 ASN A: 420 THR A: 401 TYR A: 381 GLN A: 586 |
GLY A: 424 |
- |
- |
–6.1 |
3 |
Caffeic acid |
ASN A: 562 PRO A: 475 |
PHE A: 559 |
PHE A: 559 LYS A: 512 |
ASN A: 562 PRO A: 475 |
–6.7 |
4 |
Chrysin |
THR A: 565 VAL A: 558 |
ARG A: 560 |
ILE A: 529 LYS A: 512 PRO A: 510 PHE A: 559 |
ARG A: 560 LYS A: 512 |
–8.6 |
5 |
Coumaric Acid |
ASP A: 302 CYS A: 301 ARG A: 358 SER A: 212 |
- |
PHE A: 208 |
- |
–5.9 |
6 |
Luteolin |
ARG A: 382 TRP A: 353 SER A: 376 THR A: 350 |
- |
VAL A: 354 |
GLY A: 355 |
–9.1 |
7 |
Kaempferol |
ARG A: 669 GLU A: 209 SER A: 209 |
TYR A: 666 |
PHE A: 357 ALA A: 217
|
GLU A: 205 GLU A: 206 ARG A: 125 |
–8.3 |
8 |
Betulinic Acid |
ASP A: 709 |
- |
LYS A: 122 PHE A: 240 ALA A: 707 |
- |
–8.7 |
9 |
Oleanolic Acid |
ALA A: 707 |
- |
TRP A: 124 VAL A: 252 LYS A: 122 PHE A: 240 |
- |
–9.2 |
10 |
Quercetin |
THR A: 565 ARG A: 560 LYS A: 512 |
- |
PRO A: 510 ILE A: 529 LYS A: 512 ALA A: 564 ARG A: 560 |
ARG A: 560 ASN A: 562 |
9.0 |
11 |
Epicatechin |
TYR A: 631 ARG A: 669 GLU A: 206 GLU A: 205 |
SER A: 630 |
TYR A: 666 |
TYR A: 631 ARG A: 125 |
–8.2 |
12 |
Eriodictyl |
THR A: 351 THR A: 350 TRP A: 353 GLY A: 355 |
SER A: 376 |
VAL A: 354 |
ARG A: 382 |
–8.6 |
Molecular docking was utilized to assess the binding affinities and interactions between E. japonica compounds and both PTP1B and DPP4. Glibenclamide, an established antidiabetic drug, served as a positive control, exhibiting a binding affinity of –7.0 kcal/mol as shown in Table 7. Among the herbal compounds, Quinic Acid displayed the highest affinity for PTP1B at –7.7 kcal/mol, signaling strong inhibitory potential, as detailed in Table 8. In terms of DPP4 inhibition, compounds such as Luteolin and quercetin demonstrated high binding affinities comparable to those of glibenclamide, thereby potentially enhancing insulin secretion and glycemic control. Research by Shaikh et al. [16] revealed that Oleanolic Acid can inhibitor DPP4, increase GLP-1 levels, and reduce blood glucose levels in diabetes models, supporting the findings of this study regarding the potential of Oleanolic Acid as a DPP4 inhibitor. Figures 4 and 5 illustrate the molecular docking configurations and binding modes of these compounds with PTP1B and DPP4, further validating their potential interactions.
Figure 4 3D Interaction of nanoherbal leaf Eriobotrya japonica with PTP1B.
Figure 5 2D Interaction of Biwa (E. japonica) leaf nanoherbal with DPP4.
The therapeutic potential of Biwa leaf nanoherbal in diabetes treatment has been confirmed. By simultaneously targeting PTP1B and DPP4, this nanoherbal can significantly enhance insulin sensitivity and contribute to more effective blood glucose regulation, particularly by facilitating a significant reduction in blood glucose levels and improving pancreatic histology. Based on in silico results, the inhibition of PTP1B and DPP4 by active metabolite compounds is likely to modulate downstream signaling pathways, such as enhancing insulin receptor signaling and preserving incretin activity [45]. The inhibition of PTP1B has been associated with increased insulin receptor phosphorylation, leading to enhanced glucose uptake via the PI3K/AKT pathway [45,46]. Meanwhile, the inhibition of DPP4 extends the activity of incretin hormones such as GLP-1, which stimulates insulin secretion and suppresses glucagon release, thereby contributing to better glycemic control [47,48]. Taken together, these mechanisms strongly support the potential of Biwa nanoherbal in the development of more effective and safer herbal diabetes therapies.
Future research should focus on confirming these molecular interactions through additional in vitro and in vivo experiments, and further examining the pharmacokinetics, bioavailability, and potential toxicological effects of these herbal compounds. Such investigations are vital to advance these herbal extracts towards clinical application, paving the way for new, effective treatments for diabetes. This integrated approach will be crucial in establishing Biwa (E. japonica) leaf nanoherbals as a viable option for enhancing pancreatic β-cell function and managing diabetes, promising a significant advancement in herbal medicine for chronic disease management.
In vivo analysis
Blood glucose levels
The elevated blood glucose levels observed in rats following alloxan administration can be attributed to the damage caused by alloxan to the pancreatic beta cells. Alloxan, a toxic glucose analogue, generates reactive oxygen species (ROS) during redox cycles, specifically targeting and destroying beta cells, leading to a decline in insulin production and a subsequent rise in blood glucose levels. This method of inducing diabetes has been widely used in animal models, with studies consistently demonstrating its ability to elevate blood glucose levels in rats and mice [49,50]. In the current study, alloxan administration led to a substantial increase in blood glucose levels in the positive control group (C(+)), rising from 95.83 mg/dL before injection to 267.00 mg/dL after injection, as recorded in Table 9.
Table 9 Blood glucose before and after administration of alloxan.
No. |
Groups |
Blood glucose (mg/dL) ± SD |
|
Before |
After |
||
1 |
C(–) |
99.17ab ± 11.33 |
94.00a ± 11.77 |
2 |
C(+) |
95.83a ± 10.45 |
267.00ab ± 39.15 |
3 |
T1 |
103.83c ± 10.62 |
306.60ab ± 39.61 |
4 |
T2 |
95.67a ± 12.43 |
277.80c ± 45.04 |
5 |
T3 |
98.17b ± 11.74 |
290.40b ± 37.64 |
Note: a,bp < 0.05, notation (a,b) between columns. (C(–): Negative control, C(+): Diabetic control, T1: Biwa leaf nanoherbal 250 mg/kg BW, T2: Biwa leaf nanoherbal 500 mg/kg BW, T3: Glibenclamide 5 mg/kg BW).
Table 10 Blood glucose level of rats after administration of nanoherbal Biwa.
No. |
Groups |
Blood glucose level (mg/dL) ± SD |
||
1 day |
7 days |
14 days |
||
1 2 3 4 5 |
C(–) C(+) T1 T2 T3 |
94.00a ± 11.77 267.00def ± 39.15 306.60f ± 39.61 277.80def ± 45.04 290.40ef ± 37.64 |
101.60a ± 11.41 255.80cde ± 42.92 280.20def ± 22.06 239.60cd ± 35.81 263.60cdef ± 33.33 |
99.80a ± 9.83 253.60cde ± 30.44 254.60cde ± 23.07 157.40b ± 20.38 221.40c ± 23.68 |
Note: a,bp < 0.05, notation (a,b) between rows and columns. (C(–): Negative control, C(+): Diabetic control, T1: Biwa leaf nanoherbal 250 mg/kg BW, T2: Biwa leaf nanoherbal 500 mg/kg BW, T3: Glibenclamide 5 mg/kg BW).
Table 11 Decreasing (percentage) of blood glucose level.
No |
Groups |
Decreased of blood glucose level (%) |
|
7 days |
14 days |
||
1 |
C(–) |
–8.09 |
1.77 |
2 |
C(+) |
4.19 |
0.86 |
3 |
T1 |
8.61 |
9.14 |
4 |
T2 |
13.75 |
34.31 |
5 |
T3 |
9.23 |
16.01 |
Figure 6 Blood glucose level of rats that were administered nanoherbal biwa (E. japonica). Description: (C(–): Negative control, C(+): Diabetic control, T1: Biwa leaf nanoherbal 250 mg/kg BW, T2: Biwa leaf nanoherbal 500 mg/kg BW, T3: Glibenclamide 5 mg/kg BW).
In contrast, treatment with nanoherbal E. japonica significantly reduced blood glucose levels, particularly notable after 7 and 14 days of administration. The results, detailed in Tables 10 and 11, show a marked decrease in the T2 group, where blood glucose levels dropped from 277.80 mg/dL on day 1 to 157.40 mg/dL by day 14. This effect can be attributed to the antioxidant properties of E. japonica leaves, which are rich in flavonoids and help alleviate oxidative stress induced by alloxan. Flavonoids possess potent antioxidant activities that protect pancreatic beta cells from oxidative damage, improving insulin secretion and lowering blood glucose levels. The antioxidant capacity of E. japonica is reflected in its IC50 value of 56.59 µg/mL, strong yet surpassed by quercetin’s IC50 of 4.36 µg/mL, as reported by Satria et al. [51]. Figure 6 and Table 11 illustrate the effectiveness of this treatment in reducing blood glucose levels over time, highlighting the therapeutic potential of E. japonica in addressing diabetes caused by oxidative stress. The substantial reduction in blood glucose levels (55.47 %) in the T2 group by the 14th day of treatment underscores the potential of this nanoherbal approach in managing diabetes.
Pancreas histology analysis
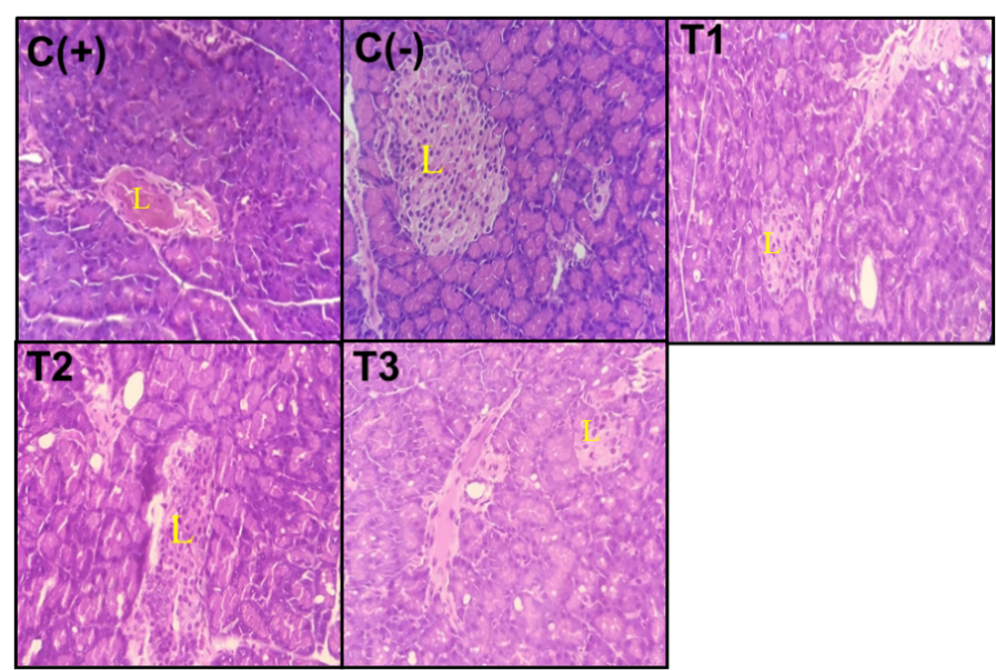
The study results demonstrate the regenerative effects of administering E. japonica leaf nanoherbal at 500 mg/kgBW on the pancreatic islets of Langerhans, which have been damaged due to DM. Table 12 and Figure 7 show that the normal control group exhibited the largest average islet area (1192.60 µm²), representing typical pancreatic conditions without diabetes induction or treatment. In contrast, the control group subjected only to alloxan induction, without nanoherbal administration, showed the smallest average islet area (610.80 µm²). This indicates the most severe damage, oxidative stress, and necrosis from alloxan exposure. These histological images display significantly smaller islets with irregular shapes and cytoplasmic vacuolization.
Table 12 Average area of islets of Langerhans.
No. |
Groups |
Mean (µm2) ± SD |
1 |
C(–) |
1192.60c ± 99.30 |
2 |
C(+) |
610.80a ± 146.50 |
3 |
T1 |
551.60a ± 97.18 |
4 |
T2 |
1054.80c ± 88.57 |
5 |
T3 |
869.60b ± 95.43 |
Figure 7 Histology of Pancreas. (C(–): Negative control, C(+): Diabetic control, T1: Biwa leaf nanoherbal 250 mg/kg BW, T2: Biwa leaf nanoherbal 500 mg/kg BW, T3: Glibenclamide 5 mg/kg BW). L: Langerhans islets (400×).
The treatment group receiving E. japonica leaf nanoherbal at a dose of 500 mg/kg BW (T2) exhibited significant histological improvements compared to the group receiving a dose of 250 mg/kg BW (T1). The islets of Langerhans in the T2 group appeared larger and more organized, indicating that this dose was optimally protective and regenerative. These therapeutic effects were supported by a study by Khouya et al. [52], which highlighted that the bioactive compounds in E. japonica, such as flavonoids, alkaloids, tannins, and polyphenols, were capable of reducing oxidative stress. The enhanced therapeutic effects observed at the 500 mg/kg BW dose suggested that higher doses might improve the bioavailability of active compounds, leading to stronger protective and regenerative outcomes. Additionally, the T3 group, which received glibenclamide as a drug control at a dose of 5 mg/kg BW, also exhibited significant improvements in pancreatic histology. The islets of Langerhans in the T3 group were found to have increased in size and were more structurally organized compared to the positive control group. This effect was consistent with the mechanism of action of glibenclamide as a hypoglycemic drug that enhances insulin secretion from pancreatic β-cells, thereby contributing to better blood glucose regulation.
However, the positive control group still exhibited alloxan-induced damage, with smaller and irregularly shaped islets indicative of oxidative damage [53]. This finding aligns with reports that oxidative stress and reduced antioxidant defenses lead to impaired islet function. Further research is needed to explore the molecular mechanisms involved, including the interaction of active compounds with antioxidant systems, such as the modulation of antioxidant pathways (e.g., Nrf2) and cell survival pathways (e.g., PI3K/Akt). These investigations are essential to ensure long-term efficacy and assess the safety and potential toxicity of higher doses for long-term use. Future studies should focus on long-term in vivo experiments and clinical trials to further confirm the efficacy and safety of this nanoherbal formulation for clinical applications. These results underline the potential of E. japonica nanoherbal as a complementary therapy for diabetes, particularly in regenerating pancreatic islets and preserving islet function.
Conclusions
This study confirms the potential of Biwa (E. japonica) leaf nanoherbal as an antidiabetic therapy through both in silico and in vivo approaches. Molecular docking analysis demonstrated that bioactive compounds, including Quinic Acid, Luteolin, Oleanolic Acid, and quercetin, exhibit strong binding affinities to PTP1B and DPP4, suggesting their role in glucose metabolism regulation. In vivo experiments further validated its efficacy, as a significant reduction in blood glucose levels was observed following the administration of a 500 mg/kgBW dose, with levels decreasing from 277.8 to 157.4 mg/dL on day 14 (p < 0.05). Additionally, histological analysis showed that the structure of the islets of Langerhans was improved, with a larger islet area and better-defined cellular morphology compared to the diabetic group. This treatment demonstrated positive glucose control outcome and potential to mitigate pancreatic damage. In conclusion, this study provides compelling evidence that E. japonica leaf nanoherbal extract possesses both high theoretical potential and significant practical effects in diabetes management.
Acknowledgements
We extend our gratitude to Universitas Sumatera Utara for providing research funding through the TALENTA program under the 2019 fiscal year, as specified in Decree Number: 4167/UN5.1.R/PPM/2019, dated April 1, 2019.
References
[1] Vaishali, N Sharma and A Chauhan. A subjective study of diabetes mellitus, its complications and homeopathic management. International Journal of Homoeopathic Sciences 2024; 8(1), 399-402.
[2] R Jiang, Z Cong, L Zheng, L Zhang, Q Guan, S Wang, J Fang, J Chen and M Liu. Global research trends in regulating gut microbiome to improve type 2 diabetes mellitus: Bibliometrics and visual analysis. Frontiers in Endocrinology 2024; 15, 1401070.
[3] R Rodriguez-Gutierrez, LG Mancillas-Adame, G Rodríguez-Tamez, AD Gonzalez-Colmenero, RC Solis-Pacheco, AS Elizondo-Plazas, KM Santos-Santillana, L Gonzalez-Sariñana, V Gonzalez-Nava and JG Gonzalez-Gonzalez. Hypertriglyceridemia and its association with HbA1c test: A prospective in vivo controlled study. International Journal of Endocrinology 2019; 2019, 4784313.
[4] A Kulkarni, AR Thool and S Daigavane. Understanding the clinical relationship between diabetic retinopathy, nephropathy, and neuropathy: A comprehensive review. Cureus 2024; 16(3), e56674.
[5] MF Brereton, M Rohm, K Shimomura, C Holland, S Tornovsky-Babeay, D Dadon, M Iberl, MV Chibalina, S Lee, B Glaser, Y Dor, P Rorsman, A Clark and FM Ashcroft. Hyperglycaemia induces metabolic dysfunction and glycogen accumulation in pancreatic β-cells. Nature Communications 2016; 7, 13496.
[6] RW Sibony, O Segev, S Dor and I Raz. Drug therapies for diabetes. International Journal of Molecular Sciences 2023; 24(24), 17147.
[7] X Xie, C Wu, Y Hao, T Wang, Y Yang, P Cai, Y Zhang, J Huang, K Deng, D Yan and H Lin. Benefits and risks of drug combination therapy for diabetes mellitus and its complications: A comprehensive review. Frontiers in Endocrinology 2023; 14, 1301093.
[8] FE Hasibuan, W Syahfitri, S Ilyas and S Hutahaean. Phytochemical screening, antioxidant activity and thin-layer chromatography test of methanol extract and simplicia leaves of loquat (Eriobotrya japonica Lindl). In: Proceedings of the 3rd Nommensen International Conference on Technology and Engineering 2019, Medan, Indonesia. 2020, p. 12069.
[9] BN Bisso, PN Kayoka-Kabongo, RT Tchuenguem and JP Dzoyem. Phytochemical analysis and antifungal potentiating activity of extracts from loquat (Eriobotrya japonica) against Cryptococcus neoformans clinical isolates. Advances in Pharmacological and Pharmaceutical Sciences 2022; 2022, 6626834.
[10] Y Liu, W Zhang, C Xu and X Li. Biological activities of extracts from Loquat (Eriobotrya japonica Lindl.): A review. International Journal of Molecular Sciences 2016; 17(12), 1983.
[11] W Syahfitri, F Elizabth, S Ilyas and S Hutahaen. Effect of loquat leaves methanol extract on morphology of benzo(A)pyrene induced rats. International Journal of Scientific and Technology Research 2020; 9(3), 1174-1177.
[12] S Kumari, A Goyal, ES Gürer, EA Yapar, M Garg, M Sood and RK Sindhu. Bioactive loaded novel nano-formulations for targeted drug delivery and their therapeutic potential. Pharmaceutics 2022; 14(5), 1091.
[13] H Zolkepli, RT Widodo, S Mahmood, N Salim, K Awang, N Ahmad and R Othman. A review on the delivery of plant-based antidiabetic agents using nanocarriers: Current status and their role in combatting hyperglycaemia. Polymers 2022; 14(15), 2991.
[14] AFT Gomes, WFD Medeiros, I Medeiros, G Piuvezam, JKD Silva-Maia, IWL Bezerra and AHDA Morais. In silico screening of therapeutic targets as a tool to optimize the development of drugs and nutraceuticals in the treatment of diabetes mellitus: A systematic review. International Journal of Molecular Sciences 2024; 25(17), 9213.
[15] Masfria, H Lucida, Y Atifah, H Syahputra and HM Sihombing. Inhibition activity of liquid smoke Cocos nucifera L. on Dpp-Iv and age-rage in silico and in vitro: Antidiabetic and anti-inflammatory activity. International Journal of Applied Pharmaceutics 2024; 16(5), 275-282.
[16] S Shaikh, EJ Lee, K Ahmad, SS Ahmad, JH Lim and I Choi. A comprehensive review and perspective on natural sources as dipeptidyl peptidase-4 inhibitors for management of diabetes. Pharmaceuticals 2021; 14(6), 591.
[17] PSR Dwivedi, P Khanal, VP Gaonkar, VP Rasal and BM Patil. Identification of PTP1B regulators from Cymbopogon citratus and its enrichment analysis for diabetes mellitus. In Silico Pharmacology 2021; 9(1), 30.
[18] M Eddouks, D Chattopadhyay and NA Zeggwagh. Animal models as tools to investigate antidiabetic and anti-inflammatory plants. Evidence-based Complementary and Alternative Medicine 2012; 2012, 142087.
[19] P Santoso, S Ilyas, YH Midoen and A Yuniarti. Protective effect of Vitis gracilis Wall (Vitaceae) leaf decoction on sexual vitality and testis of alloxan-induced diabetic mice. Traditional and Integrative Medicine 2023; 8(3), 256-268.
[20] R Roskoski. Properties of FDA-approved small molecule protein kinase inhibitors: A 2024 update. Pharmacological Research 2024; 200, 107059.
[21] DP Wati, S Ilyas and D Khairani. In silico study of compounds from nanoherbal jopan (Clibadium surinamense L.) leaves as inhibitors AKT1 interaction. Trends in Sciences 2024; 22(1), 8729.
[22] T Shamsuddin, MA Hosen, MS Alam, TB Emran and SMA Kawsar. Uridine derivatives: Antifungal, PASS outcomes, ADME/T, drug-likeliness, molecular docking and binding energy calculations. Medicine Science International Medical Journal 2021; 10(4), 1373-1386.
[23] P Rath, A Ranjan, A Ghosh, A Chauhan, M Gurnani, HS Tuli, H Habeeballah, MF Alkhanani, S Haque, K Dhama, NK Verma and T Jindal. Potential therapeutic target proteina tyrosine phosphatase-1B for modulation of insulin resistance with polyphenols and its quantitative structure - activity relationship. Molecules 2022; 27(7), 2212.
[24] G Xiong, Z Wu, J Yi, L Fu, Z Yang, C Hsieh, M Yin, X Zeng, C Wu, A Lu, X Chen, T Hou and D Cao. ADMETlab 2.0: An integrated online platform for accurate and comprehensive predictions of ADMET properties. Nucleic Acids Research 2021; 49(W1), W5-W14.
[25] A Jalili, R Bagherifar, A Nokhodchi, B Conway and Y Javadzadeh. Current advances in nanotechnology-mediated delivery of herbal and plant-derived medicines. Advanced Pharmaceutical Bulletin 2023; 13(4), 712-722.
[26] CGP Rumahorbo, S Ilyas, S Hutahaean and CF Zuhra. Advancing sustainable herbal medicine: Nanoparticles from medicinal plants synthesizing. In: Proceedings of the 5th Talenta Conference on Engineering, Science and Technology, Medan-North Sumatera, Indonesia. 2024, p. 3038.
[27] L Zhang, FR Saber, G Rocchetti, G Zengin, MM Hashem and L Lucini. UHPLC-QTOF-MS based metabolomics and biological activities of different parts of Eriobotrya japonica. Food Research International 2021; 143, 110242.
[28] M Bitew, T Desalegn, TB Demissie, A Belayneh, M Endale and R Eswaramoorthy. Pharmacokinetics and drug-likeness of antidiabetic flavonoids: Molecular docking and DFT study. PLoS One 2021; 16(12), e0260853.
[29] FSG Silva, PJ Oliveira and MF Duarte. Oleanolic, ursolic, and betulinic acids as food supplements or pharmaceutical agents for type 2 diabetes: Promise or illusion? Journal of Agricultural and Food Chemistry 2016; 64(15), 2991-3008.
[30] X Li, JJ Geng-Ji, YY Quan, LM Qi, Q Sun, Q Huang, HM Jiang, ZJ Sun, HM Liu and X Xie. Role of potential bioactive metabolites from traditional Chinese medicine for type 2 diabetes mellitus: An overview. Frontiers in Pharmacology 2022; 13, 1023713.
[31] H Yi, H Peng, X Wu, X Xu, T Kuang, J Zhang, L Du and G Fan. The therapeutic effects and mechanisms of quercetin on metabolic diseases: Pharmacological data and clinical evidence. Oxidative Medicine and Cellular Longevity 2021; 2021, 6678662.
[32] L Miao, H Zhang, MS Cheong, R Zhong, P Garcia-Oliveira, MA Prieto, KW Cheng, M Wang, H Cao, S Nie, J Simal-Gandara, WS Cheang and J Xiao. Anti-diabetic potential of apigenin, luteolin, and baicalein via partially activating PI3K/Akt/Glut-4 signaling pathways in insulin-resistant HepG2 cells. Food Science and Human Wellness 2023; 12(6), 1991-2000.
[33] H Bouta. A comprehensive review of Moroccan medicinal plants for diabetes management. Diseases 2024; 12(10), 246.
[34] Y Yang and X Liu. Imbalance of drug transporter-CYP450s interplay by diabetes and its clinical significance. Pharmaceutics 2020; 12(4), 348.
[35] P Santoso, S Ilyas, YH Midoen, R Maliza and DF Belahusna. Predictive bioactivity of compounds from Vitis gracilis leaf extract to counteract doxorubicin-induced cardiotoxicity via sirtuin 1 and adenosine monophosphate-activated protein kinase: An in-silico study. 2024; 14(4), 99-114.
[36] TM Karpiński and M Ożarowski. Plant organic acids as natural inhibitors of foodborne pathogens. Applied Sciences 2024; 14(14), 6340.
[37] A Ali, JJ Cottrell and FR Dunshea. Antioxidant, alpha-glucosidase inhibition activities, in silico molecular docking and pharmacokinetics study of phenolic compounds from native Australian fruits and spices. Antioxidants 2023; 12(2), 254.
[38] A Gasmi, PK Mujawdiya, S Noor, R Lysiuk, R Darmohray, S Piscopo, L Lenchyk, H Antonyak, K Dehtiarova, M Shanaida, A Polishchuk, V Shanaida, M Peana and G Bjørklund. Polyphenols in metabolic diseases. Molecules 2022; 27(19), 6280.
[39] N Rizwana, V Agarwal and M Nune. Antioxidant for neurological diseases and neurotrauma and bioengineering approaches. Antioxidants 2022; 11(1), 72.
[40] AL Lomize, JM Hage, K Schnitzer, K Golobokov, MB Lafaive, AC Forsyth and ID Pogozheva. PerMM: A web tool and database for analysis of passive membrane permeability and translocation pathways of bioactive molecules. Journal of Chemical Information and Modeling 2019; 59(7), 3094-3099.
[41] D Vijh and P Gupta. GC-MS analysis, molecular docking, and pharmacokinetic studies on Dalbergia sissoo barks extracts for compounds with anti-diabetic potential. Scientific Reports 2024; 14, 24936.
[42] T Róg, M Girych and A Bunker. Mechanistic understanding from molecular dynamics in pharmaceutical research 2: Lipid membrane in drug design. Pharmaceuticals 2021; 14(10), 1062.
[43] C Proença, M Freitas, D Ribeiro, JLC Sousa, F Carvalho, AMS Silva, PA Fernandes and E Fernandes. Inhibition of protein tyrosine phosphatase 1B by fl avonoids: A structure - activity relationship study. Food and Chemical Toxicology 2018; 111, 474-481.
[44] JF Zhao, LH Li, XJ Guo, HX Zhang, LL Tang, CH Ding and WS Liu. Identification of natural product inhibitors of PTP1B based on high-throughput virtual screening strategy: In silico, in vitro and in vivo studies. International Journal of Biological Macromolecules 2023; 243, 125292.
[45] S Shanak, N Bassalat, A Barghash, S Kadan, M Ardah and H Zaid. Drug discovery of plausible lead natural compounds that target the insulin signaling pathway: Bioinformatics approaches. Evidence-based Complementary and Alternative Medicine 2022; 2022, 2832889.
[46] HJ Jung, SH Seong, MY Ali, BS Min, HA Jung and JS Choi. α-Methyl artoflavanocoumarin from Juniperus chinensis exerts anti-diabetic effects by inhibiting PTP1B and activating the PI3K/Akt signaling pathway in insulin-resistant HepG2 cells. Archives of Pharmacal Research 2017; 40(12), 1403-1413.
[47] SR Lin, CH Chang, MJ Tsai, H Cheng, JC Chen, MK Leong and CF Weng. The perceptions of natural compounds against dipeptidyl peptidase 4 in diabetes: From in silico to in vivo. Therapeutic Advances in Chronic Disease 2019; 10, 1-16.
[48] M Nauck. Incretin therapies: Highlighting common features and differences in the modes of action of glucagon-like peptide-1 receptor agonists and dipeptidyl peptidase-4 inhibitors. Diabetes, Obesity and Metabolism 2016; 18(3), 203-216.
[49] Q Quranayati, M Iqhrammullah, N Saidi, N Nurliana, R Idroes and R Nasution. Extracts from Phyllanthus emblica L stem barks ameliorate blood glucose level and pancreatic and hepatic injuries in streptozotocin-induced diabetic rats. Arabian Journal of Chemistry 2023; 16(9), 105082.
[50] MK Feleke, T Bekele, G Dessie, T Ayelgn, A Nigatu, T Jemere and AN Alene. Effect of Justicia schimperiana (Acanthaceae) roots extract on blood glucose level and lipid profiles in streptozotocin-induced diabetic mice. Metabolism Open 2024; 21, 100270.
[51] D Satria, J Silalahi, G Haro, S Ilyas and PAZ Hsb. Antioxidant and antiproliferative activities of an ethylacetate fraction of picria Fel-terrae Lour. herbs. Asian Pacific Journal of Cancer Prevention 2017; 18(2), 399-403.
[52] T Khouya, M Ramchoun, H Elbouny, A Hmidani, EDT Bouhlali and C Alem. Loquat (Eriobotrya japonica (Thunb) Lindl.): Evaluation of nutritional value, polyphenol composition, antidiabetic effect, and toxicity of leaf aqueous extract. Journal of Ethnopharmacology 2022; 296, 115473.
[53] JS Bhatti, A Sehrawat, J Mishra, IS Sidhu, U Navik, N Khullar, S Kumar, GK Bhatti and PH Reddy. Oxidative stress in the pathophysiology of type 2 diabetes and related complications: Current therapeutics strategies and future perspectives. Free Radical Biology and Medicine 2022; 184, 114-134.