Trends
Sci.
2025; 22(7): 9961
Genetic Stability Assessment of In Vitro Plantlets of Sang Mon Bamboo (Dendrocalamus sp.) Derived from Axillary Bud Proliferation Using RAPD and SCoT Markers
Saowanee Saroj*, Prattana Phuekvilai, Nimnara Yookongkaew and Supanyika Sengsai
Department of Biology, Faculty of Science, Silpakorn University, Nakhon Pathom 73000, Thailand
(*Corresponding author’s e-mail: [email protected])
Received: 9 February 2025, Revised: 15 March 2025, Accepted: 22 March 2025, Published: 10 June 2025
Abstract
Sang Mon bamboo (Dendrocalamus sp.) is an important bamboo species with significant potential for various applications due to its straight, thick, and strong culm. Its ability to thrive in diverse environments has led to high market demand. Plant tissue culture technology provides an efficient method for the large-scale propagation of various bamboo species. However, the possibility of soma-clonal variation must be considered. The objectives of this research were to investigate the effects of various plant growth regulators, including TDZ, BA, and NAA, at different concentrations on shoot multiplication in Sang Mon bamboo for large-scale propagation. Additionally, the genetic stability of in vitro-raised plantlets was assessed using Random Amplified Polymorphic DNA (RAPD) and Start Codon Targeted (SCoT) markers. Genomic DNA was extracted from both the mother plant and in vitro-raised plants. The results revealed that the highest number of shoots (143.8) was obtained during the 12th subculture on Murashige and Skoog (MS) medium set 3, containing 0.05 mg/L TDZ combined with 0.5 or 1.0 mg/L BA and 0.05 mg/L NAA. Additionally, shoot clusters exhibited the longest shoot length (4.39 cm) and were stronger and more consistent across all medium formulations and subculture cycles. Eleven RAPD primers amplified 90 DNA fragments ranging from 300 to 3,000 bp, all of which were monomorphic across the 3rd, 6th, 9th, and 12th subcultures. The number of monomorphic bands per primer ranged from 7 to 12, with an average of 8.18 bands. Similarly, 11 SCoT primers generated 77 monomorphic DNA fragments ranging from 350 to 3,000 bp, with the number of bands per primer ranging from 4 to 10, averaging 7 bands. This study successfully established an efficient protocol for the large-scale propagation of Sang Mon bamboo through in vitro culture. The genetic stability of in vitro cultures was confirmed, indicating the absence of soma-clonal variation in plantlets derived from axillary bud proliferation.
Keywords: Bamboo, Genetic fidelity, In vitro multiplication, Molecular markers, Plant regeneration, Random Amplified Polymorphic DNA, Somaclonal variations, Start Codon Target Polymorphism
Introduction
Bamboo is an herbaceous plant known for its rapid growth and its ability to create abundance in nature. It is found in both tropical and temperate regions worldwide [1]. There are approximately 88 genera of bamboo, with 1,000 - 1,200 species globally [2]. In Thailand, there are around 10 - 15 genera and 30 - 80 species of bamboo [3]. Different bamboo species are utilized in various ways based on their characteristics or primary properties, such as for furniture, equipment, food, and building materials [4,5].
Sang Mon bamboo is a species with significant potential for various uses due to its morphology. Its culm is characterized by being relatively straight, thick, and strong [6]. Additionally, it can thrive in diverse environments, creating market demand. However, most Sang Mon bamboo is currently propagated through grafting and seeding methods. One limitation of grafting is its dependence on the environment during the grafting period, where bamboos require regular watering. Therefore, grafting is typically preferred during the rainy season, as inadequate moisture during this period can negatively impact the survival rate of grafted plants. Moreover, this method is a slow process and low rooting percentage [7]. Seeding, on the other hand, enables large-scale propagation but presents several challenges, including the long flowering cycle of bamboo, short seed viability, and irregular seed production [8]. Moreover, the unpredictable nature of bamboo flowering makes seed collection difficult. Additionally, seedlings obtained through seeding may exhibit genetic variation, resulting in offspring with traits that differ from the parent plants, which can impact uniformity and desirable characteristics in cultivated populations [9,10].
Tissue
culture is an effective asexual propagation method for producing
large quantities of plants with consistent growth. It offers the
advantage of a shorter duration, allowing farmers to plan production
without being dependent on external environmental factors. This
method has proven successful in propagating various plant species.
Micropropagation of bamboos has been reported for genera such as
Dendrocalamus
Nees, including species like D.
asper
Backer ex K. Heyne,
D.
strictus
Nees, and D.
hamiltonii
Nees & Arn. ex Munro [11-14]. However, several studies indicate
that each bamboo species responds differently to various medium
formulas, concentrations, and plant growth regulators. Additionally,
using a single plant growth regulator at the same concentration
across multiple subcultures, which leads to high cytokinin levels,
can decrease shoot quality and cause morphological abnormalities
such as short shoots, yellowing, or weakened growth [15]. Moreover,
excessive cytokinin levels can negatively impact shoot
proliferation. A study on Bambusa
arundinacea
found that MS medium containing 3 mg/L BA induced 24.2 shoots,
whereas increasing cytokinin levels to 5 mg/L BA reduced shoot
induction to 7.2 shoots [16]. Similarly, a study on the effect of
BAP concentration on D.
asper
multiple shoot induction found that high cytokinin levels decreased
both the number of shoots and shoot length [17].
The combination of BA (Benzylaminopurine) and TDZ (Thidiazuron) has been shown to promote bud breaking and shoot induction, with BA playing a crucial role in cell division. TDZ, a phenyl-urea compound, acts similarly to cytokinin-type growth regulators, promoting the synthesis of endogenous cytokinin and the release of active cytokinin molecules [18,19]. The study of combination of BA and TDZ observed that the MS medium containing 1.0 mg/L BA combined with 0.25 mg/L TDZ was more effective in inducing shoots than kinetin and BA alone in D. hamiltonii [20]. Additionally, reports suggest that the combination of BA and TDZ can increase the number of shoots in Bambusa bambos more effectively than kinetin and BA alone [21].
However, regenerated plantlets often have a higher probability of exhibiting soma-clonal variation [22]. Soma-clonal variations are primarily caused by mutations that arise during the tissue culture process [23]. These mutations can be triggered by several stress factors, including explant source, the number of subculture cycles, regeneration mode, culture environment, genotype, and ploidy levels [24-26]. The genetic stability of Bambusa nutans Wall. was analyzed using amplified fragment length polymorphism (AFLP) markers. Using 6 primers, a total of 407 DNA bands were generated, of which 5 bands (1.2 %) exhibited differences from the mother plant, indicating genetic variation [27]. Similarly, several studies have demonstrated the detection of somaclonal variation in in vitro plants using DNA markers. For instance, the genetic stability of Cymbopogon winterianus Jowitt was assessed using RAPD markers, where 10 primers generated 74 DNA bands. Genetic variation was observed, with 44 polymorphic bands (59.5 %) [28]. Furthermore, the genetic stability of Tylophora indica (Burm.f.) Merrill was evaluated using SCoT markers. Six primers produced an average of 8 DNA bands per primer, revealing genetic variation in callus-derived plants [29]. Likewise, a study on the genetic stability of Hevea brasiliensis Mull. Arg. utilized RAPD, SCoT, and SSR markers, with results indicating genetic variation compared to the mother plant [30]. Most research on bamboo has focused on the effects of plant growth regulators in a single subculture. However, the number of subculture cycles significantly influences the occurrence of somaclonal variations. Therefore, in commercial bamboo production, where multiple subcultures are involved, genetic stability testing is crucial to ensure the production of genetically uniform plants.
Different molecular markers have been widely used to assess soma-clonal variation in regenerated plantlets from tissue culture [31-33]. RAPD markers have been employed to evaluate genetic variability in in vitro-raised plants, including various bamboo species [34,35], rubber trees [36], and marjoram [37]. The SCoT polymorphism marker is a simple, cost-effective, and highly reproducible molecular marker that does not require prior sequence information. It targets a highly conserved region surrounding plant genes, enabling the detection of genetic variations. SCoT markers have been reported successfully used to assess genetic stability in tissue culture-raised plants [38,39], including bamboo [40], Xao tam phan [41], and custard apple [42].
Hence, the aim of present study was to assess the genetic stability of long-term cultures of Sang Mon bamboo (Dendrocalamus sp.) plantlets grown on MS medium with a combination of TDZ, BA and NAA, using RAPD and SCoT markers.
Materials and methods
Shoots multiplication
Plant materials
The shoot clusters were chosen from regenerated shoots with the best performance implanted on MS containing TDZ (0.05 or 0.25 mg/L), BA (0.5 or 1.0 mg/L), NAA (0.05 mg/L) and growth promoting substance (2 mg/L AgNO3 and 10 mg/L coumarin). The experiment lasted 6 months, with 12 culture cycles of 2 weeks each (Table 1). Data was recorded on shoot numbers, and shoot length.
Culture media and culture conditions
Murashige and Skoog (MS) medium [43] was used as the main culture medium containing 30 g/L sucrose and 2 g/L gellan gum supplemented with plant growth regulators (BA, TDZ or NAA). Media were adjusted the pH at 5.8 prior to autoclaving at 121 °C for 20 min. All cultures were incubated under 16-h fluorescent light with 35 - 40 μM m–2 s–1 at 25 ± 1 °C.
Statistical analysis
The experiments were carried out according to completely randomized design (CRD) with 10 replicates. Data were recorded starting from the 3rd to the 12th subculture passage and analyzed using Duncan’s multiple range test (DMRT) at P = 0.05. The software used for the analysis was SPSS program.
Table 1 Sets of culture medium for serial subcultures.
Medium set |
1st, 3rd, 5th, 7th, 9th, 11th culture cycle |
|
2nd, 4th, 6th, 8th, 10th, 12th culture cycle |
||||||||
TDZ |
BA |
NAA |
AgNO3 |
coumarin |
|
TDZ |
BA |
NAA |
AgNO3 |
coumarin |
|
1 |
- |
- |
- |
- |
- |
|
- |
- |
- |
- |
- |
2 |
- |
0.5 |
0.05 |
2 |
10 |
|
0.05 |
- |
0.05 |
2 |
10 |
3 |
0.05 |
0.5 |
0.05 |
2 |
10 |
|
0.05 |
1.0 |
0.05 |
2 |
10 |
4 |
- |
1.0 |
0.05 |
2 |
10 |
|
0.05 |
- |
0.05 |
2 |
10 |
5 |
0.05 |
1.0 |
0.05 |
2 |
10 |
|
0.05 |
0.5 |
0.05 |
2 |
10 |
6 |
0.25 |
1.0 |
- |
2 |
10 |
|
0.25 |
1.0 |
- |
2 |
|
Genetic stability assessment
Plant materials
The plant material consisted of in vitro-raised shoots maintained in a multiplication medium on MS medium containing TDZ, BA, and NAA in a 0.05:0.5:0.05 ratio, alternately with MS medium supplemented with TDZ, BA, and NAA in a 0.05:1.0:0.05 ratio. These plants were regenerated as clones through enhanced axillary branching of nodal explants collected from mature clumps of Dendrocalamus sp. at the Khun Noi Bamboo Farm, Khao Noi Subdistrict, Tha Muang District, Kanchanaburi Province, Thailand.
DNA extraction and quantification
To determine the effect of the number of subculture cycles and in vitro culture age on genetic stability, the shoot cultures were maintained continuously on a multiplication medium for approximately 6 months (12 subcultures) and were transferred to fresh medium every 14 days. Shoots were collected from 5 culture bottles after every 3 subcultures, starting from the 3rd to the 12th subculture passage, for DNA extraction.
Total genomic DNA from the mother plant and in vitro-raised plants was extracted using the cetyltrimethylammonium bromide (CTAB) method with some modifications [44]. Samples (0.5 g) were ground in liquid nitrogen, followed by the addition of 2.8 mL of extraction buffer containing 2X CTAB buffer and 0.5 % β-mercaptoethanol. The solution was incubated at 55 - 60 °C for 15 - 30 min. Chloroform and isoamyl alcohol (24:1) were added, and the mixture was centrifuged at 9,500 rpm for 5 min. The supernatant was extracted twice with chloroform:isoamyl alcohol (24:1) in equal volumes and centrifuged again at 9,500 rpm for 5 min. The supernatant was transferred to a new tube, and cold isopropanol (0.7 volume of the supernatant) was added. The mixture was stored at −20 °C for 30 min and then centrifuged at 9,500 rpm for 10 min. The supernatant was discarded, and the pellet was washed with 70 % ethanol. After air-drying, the pellet was suspended in 100 µL of TE buffer. DNA quality and quantity were analyzed using 0.8 % agarose gel electrophoresis and a NanoDrop™ spectrophotometer (Thermo Scientific, USA). DNA samples were stored at –20 °C [45]. The standard method for assessing DNA quality involves evaluating the purity of genomic DNA using the A260/A280 ratio. This ratio, measured by a spectrophotometer, indicates protein contamination, with values between 1.8 and 2.0 generally considered optimal for high-quality DNA. Additionally, the A260/A230 ratio is often assessed to detect potential contaminants such as polysaccharides and phenolic compounds, ensuring the suitability of DNA for downstream applications.
PCR amplification
A total of 11 SCoT primers and 11 RAPD primers were employed in the present study. For the RAPD analysis, the total PCR volume was set to 15 µL, containing 50 ng of genomic DNA, 0.2 mM dNTPs, 5 µM primer, 1X PCR buffer, 0.6 U Taq DNA polymerase (Vivantis), and 2.5 mM MgCl₂. PCR amplification was performed in the BIO-RAD T100™ Thermal Cycler under the following parameters: Initial denaturation at 94 °C for 3 min, followed by 39 cycles of denaturation at 94 °C for 1 min, annealing at 37 °C for 1 min, extension at 72 °C for 2 min, and a final extension at 72 °C for 5 min. For the SCoT analysis, the total volume for the polymerase chain reaction (PCR) was 10 µL, comprising 12.5 ng of genomic DNA, 0.2 mM dNTPs, 1X PCR buffer, 5 µM primers, 2.5 mM MgCl₂, and 0.5 U Taq DNA polymerase (Vivantis). The PCR amplification was conducted in a BIO-RAD T100™ Thermal Cycler under the following conditions: Initial denaturation at 94 °C for 3 min, followed by 34 cycles of denaturation at 94 °C for 1 min, annealing at 50 °C for 1 min, extension at 72 °C for 2 min, and a final extension at 72 °C for 5 min. PCR amplification was performed according to the procedure modified [46]. The resulting PCR products were analyzed using 1.5 % agarose gel electrophoresis, with DNA bands visualized using a gel documentation system (Syngene, USA).
Results and discussion
Shoots multiplication
Three shoots obtained from shoot induction on MS medium, containing 0.25 mg/L TDZ in combination with 1.0 mg/L BA, 10.0 mg/L coumarin, and 2.0 mg/L AgNO3, were cultured for shoot multiplication on MS medium supplemented with TDZ, BA, NAA, and additives (AgNO3 and coumarin), 12th subcultures (Table 1).
The results indicated that the highest number of shoots was observed on medium set 3 during the 12th subculture (143.8 shoots). Additionally, the shoot clusters cultured on medium set 3 exhibited the longest shoot lengths in the 9th and 12th subcultures. These shoots were also stronger and more consistent across all subculture cycles (Figures 3 and 4, Figures 5(C) and 6(C)).
In contrast, the highest number of shoots on medium set 6 was observed in the 3rd, 6th, and 9th subcultures, with 42.9, 72.9, and 124.2 shoots, respectively. However, the number of shoots decreased in the 12th subculture to 85.1 shoots. Furthermore, the shoot length on medium set 6 was the shortest in all subcultures, with the shoots showing signs of phyllody, dwarfism, yellowing, and dead tips that turned brown (Figures 1 - 4 and Figures 5(F) - 8(F)).
The combination of TDZ in combination with BA and NAA resulted in better and more efficient shoot multiplication compared to using TDZ with NAA alone, or BA with NAA. Adjusting the cytokinin concentrations to an appropriate level during each subculture cycle affected the quality of the shoots. BA and TDZ have distinct receptor binding sites: BA is an adenine-type cytokinin, while TDZ is a phenylurea-type cytokinin. Both can bind to 2 cytokinin-binding proteins (CBP) [47].
It was also observed that shoots of Sang Mon bamboo cultured on a medium with 0.05 mg/L TDZ were longer than those cultured on a 0.25 mg/L TDZ medium. This difference is likely due to TDZ’s induction of GA3 and GA20 oxidase gene expression, which are involved in gibberellin (GA) synthesis and play a role in cell elongation [48,49]. Further studies on TDZ mechanisms revealed that it induces shoot organogenesis at low concentrations. TDZ acts as a plant growth regulator and plays a key role in providing inductive signals for both auxins and cytokinins. For cells to initiate a developmental pathway toward regeneration via organogenesis, they must be able to accept these inductive signals [50].
Shoot multiplication on MS medium containing TDZ combined with BA and NAA significantly increased the number of shoots compared to BA alone, as BA concentration positively influenced shoot induction. However, high concentrations of BA affect shoot height, resulting in dwarf shoots due to programmed cell death (PCD) caused by inhibiting cell division and reducing cell proliferation [51], as has been reported in Dendrocalamus sinicus [15].
When cultured on MS medium without growth regulators, the number of shoots gradually decreased, ultimately resulting in their death. This finding is consistent with a study on Bambusa balcooa, where shoots cultured on MS medium without growth regulators died after 40 days [52]. In contrast, shoots cultured on MS medium supplemented with additives such as coumarin and AgNO3 remained healthy. Similar results have been reported for Bambusa arundinacea Retz. and Dendrocalamus hamiltonii Nees & Arn. ex Munro, where the use of coumarin and AgNO3 reduced browning caused by the release of phenolic compounds. Browning is a common issue in bamboo tissue culture, occurring either at the beginning or during subculture cycles. Both coumarin and AgNO3 act as antioxidants, inhibiting the activity of ACC enzyme, which is involved in ethylene synthesis in bamboo cultures [53].
Figure 1 Shoot multiplication of Dendrocalamus sp. (Sang Mon bamboo) after 3rd culture cycle cultured on solid MS medium supplemented with TDZ in combination with BA and NAA at different concentrations cultured for 2 weeks of each culture cycle: a) Shoot number and b) Shoot length.
Figure 2 Shoot multiplication of Dendrocalamus sp. (Sang Mon bamboo) after 6th culture cycle cultured on solid MS medium supplemented with TDZ in combination with BA and NAA at different concentrations cultured for 2 weeks of each culture cycle: a) Shoot number and b) Shoot length.
Figure 3 Shoot multiplication of Dendrocalamus sp. (Sang Mon bamboo) after 9th culture cycle cultured on solid MS medium supplemented with TDZ in combination with BA and NAA at different concentrations cultured for 2 weeks of each culture cycle: a) Shoot number and b) Shoot length.
Figure 4 Shoot multiplication of Dendrocalamus sp. (Sang Mon bamboo) after 12th culture cycle cultured on solid MS medium supplemented with TDZ in combination with BA and NAA at different concentrations cultured for 2 weeks of each culture cycle: a) Shoot number and b) Shoot length.
Figure 5 Multiple shoots of Dendrocalamus sp. (Sang Mon bamboo) after 3rd culture cycle cultured on solid MS medium supplemented with TDZ in combination with BA and NAA at different concentrations (6 sets of culture media) added with 10.0 mg/L coumarin and 2.0 mg/L AgNO3 Medium: a) set 1, b) set 2, c) set 3, d) set 4, e) set 5 and f) set 6 (bar = 1 cm).
Figure 6 Multiple shoots of Dendrocalamus sp. (Sang Mon bamboo) after 6th culture cycle cultured on solid MS medium supplemented with TDZ in combination with BA and NAA at different concentrations (6 sets of culture media) added with 10.0 mg/L coumarin and 2.0 mg/L AgNO3 Medium: a) set 1, b) set 2, c) set 3, d) set 4, e) set 5 and f) set 6 (bar = 1 cm).
Figure 7 Multiple shoots of Dendrocalamus sp. (Sang Mon bamboo) after 9th culture cycle cultured on solid MS medium supplemented with TDZ in combination with BA and NAA at different concentrations (6 sets of culture media) added with 10.0 mg/L coumarin and 2.0 mg/L AgNO3 Medium: a) set 1, b) set 2, c) set 3, d) set 4, e) set 5 and f) set 6 (bar = 1 cm).
Figure 8 Multiple shoots of Dendrocalamus sp. (Sang Mon bamboo) after 12th culture cycle cultured on solid MS medium supplemented with TDZ in combination with BA and NAA at different concentrations (6 sets of culture media) added with 10.0 mg/L coumarin and 2.0 mg/L AgNO3 Medium: a) set 1, b) set 2, c) set 3, d) set 4, e) set 5 and f) set 6 (bar = 1 cm).
Genetic stability assessment
Micropropagation of bamboo through axillary bud proliferation, without the formation of an intermediary callus, has been extensively studied [54,55]. In vitro-raised plants are generally expected to be genetically identical to the mother plant; however, the possibility of soma-clonal variation cannot be overlooked. Soma-clonal variation in in vitro-raised plants, encompassing both genetic and epigenetic alterations, is considered a common phenomenon during long-term culture [56,57]. The objective of this study was to investigate potential soma-clonal variations in in vitro-raised Sang Mon bamboo (Dendrocalamus sp.) plantlets using RAPD and SCoT markers for genetic analysis. The application of various DNA markers is recommended for a superior analysis of the genetic stability of in vitro-raised plants [39]. RAPD markers are based on both non-coding and coding DNA regions [58,59]. In contrast, SCoT markers are specifically designed to target the flanking regions of the ATG initiation codon, with primers that target specific genes in the plant genome [60]. Therefore, both SCoT and RAPD markers were employed due to their random distribution throughout the genome.
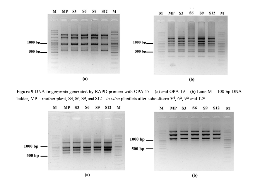
In the present study, 40 RAPD primers were initially screened, of which 11 primers successfully amplified 90 DNA fragments ranging from 300 to 3,000 bp in size. All DNA bands from in vitro cultures after the 3rd, 6th, 9th, and 12th subcultures were monomorphic. The number of monomorphic bands per primer ranged from 7 to 12, with an average of 8.18 bands. The highest number of monomorphic bands (12) was amplified with primer OPA 19 (Table 2, Figure 9). A similar result was obtained with SCoT primers. Out of 36 SCoT primers initially screened, 11 primers generated clear and distinct DNA bands ranging from 350 to 3,000 bp in size. A total of 77 amplified fragments were obtained, with all the bands being monomorphic. The number of monomorphic bands per primer ranged from 4 to 10, with an average of 7 bands. The highest number of monomorphic bands (10) was amplified with primer SCoT 21 (Table 3, Figure 10).
All the bands generated in the analysis of the in vitro-raised plantlets and the mother plant of Sang Mon bamboo (Dendrocalamus sp.) using 11 SCoT and 11 RAPD primers were found to be monomorphic. This result is consistent with genetic stability analyses of Dendrocalamus asper via nodal segments using RAPD, Inter-Simple Sequence Repeat (ISSR), Amplified Fragment Length Polymorphism (AFLP), and Simple Sequence Repeat (SSR) markers. These studies have shown that in vitro-raised clones of Dendrocalamus asper can remain free from soma-clonal variations over long culture periods, extending up to 30 subcultures [61]. Similarly, genetic stability analysis of in vitro-raised plantlets through axillary bud proliferation in Bambusa balcooa Roxb., using ISSR markers, confirmed that the plantlets remained true to type even after being cultured for up to 33 passages, maintaining genetic stability similar to the mother plant [62]. Additionally, the investigation using RAPD markers with 8 primers in B. balcooa tissue culture from lateral buds resulted in monomorphic bands, showing no differences from the mother plant. The largest allele size was 1,800 bp (OPA 07) and the smallest was 250 bp (OPA 20), confirming the stability of the genetic traits throughout the culture process [63]. These findings suggest that, despite the prolonged culture duration (up to 33 subcultures), genetic integrity is preserved. In addition, evaluation of genetic stability of in vitro blackberry (Rubus fruticosus L.) plantlets obtained from 9 subcultures using RAPD and SRAP markers, 8 RAPD primers produced 33 bands, with an average of 4.12 bands per primer. The results revealed monomorphism across all the micro-propagated plants and no polymorphism was detected, 12 SRAP primer produced 59 bands for ‘Loch Ness’ and 55 bands for ‘Chester’, with an average of 4.92 and 4.58 bands per primer, respectively. This report revealed that no genetic variability among plantlets obtained from 9 subcultures and the mother plant [64].
RAPD markers have been extensively employed for confirmation genetic stability on various bamboo plantlets though bud axillary branching proliferation [65-67]. Genetic stability was further assessed in Dendrocalamus hamiltonii regenerated from single-node explants using 6 RAPD primers, which produced 33 bands. The banding profiles for all the RAPD primers were monomorphic, indicating genetic fidelity between the in vitro plants and the mother plant [68]. The study on Guadua angustifolia Kunth using RAPD markers involved the selection of 15 primers out of 30, generating a total of 84 DNA bands, with an average of 5.6 bands per primer, ranging in size from 200 to 2,500 bp. DNA fingerprinting revealed no differences between the tissue-cultured plants and the mother plant, indicating genetic stability [67]. This finding is consistent with previous studies on other bamboo species, such as Dendrocalamus membranaceus Munro, where genetic stability was also confirmed using both RAPD and ISSR markers following shoot multiplication. In this case, the tissue-cultured plants showed no genetic variation compared to the mother plant [65]. Furthermore, the study on Bambusa arundinacea Retz., which involved tissue culture from axillary buds for shoot multiplication, also demonstrated no genetic variation when assessed using RAPD markers. The comparison with the mother plant further confirmed the genetic stability of the tissue-cultured plants [66]. Furthermore, RAPD markers have been used to confirm genetic stability in various plants. For instance, the genetic stability of Phalaenopsis orchid plantlets was assessed through axillary bud proliferation. In vitro micropropagated plantlets produced 55 monomorphic bands, suggesting no genetic variation in the plantlets [69]. Similarly, the genetic fidelity of Andrographis alata (Vahl) Nees, derived from axillary buds, was analyzed using RAPD and ISSR primers. Both markers produced monomorphic bands in the in vitro regenerated plants and the mother plant, indicating no soma-clonal variation [70]. These findings demonstrate that in vitro regenerated plants derived from axillary buds exhibit no soma-clonal variation.
Although RAPD markers can be used to screen for soma-clonal variation in plant tissues, which often result in monomorphism [71-73]. It is recommended to use more than one marker to effectively detect genetic integrity and avoid soma-clonal variation [68,74-76]. SCoT markers are highly reproducible, efficient, unique, and gene-targeted DNA markers designed to target specific regions in the plant genome [60]. Genetic stability analysis of Bambusa balcooa using SCoT and ISSR markers revealed that all amplified PCR amplicons produced monomorphic bands. Ten SCoT primers generated 48 bands, ranging from 400 - 2500 bp, with an average of 5 bands per primer. Similarly, ISSR primers generated 48 scorable bands, ranging from 350 - 2000 bp, also with an average of 5 bands per primer [77]. Genetic stability analysis using SCoT and ISSR markers in Muehlenbeckia platyclada (F. Muell.) Meisn. showed no genetic variation in the regenerated plantlets [78]. Consistent with this, the regenerated plantlets exhibited no soma-clonal variations when evaluated using ISSR and SCoT markers [79]. Furthermore, SCoT primers have been employed to assess soma-clonal variation in in vitro-raised plants of blueberry [80], tapeworm plant [78], Dutch eggplant [79], and safed musli [81]. These studies found no soma-clonal variation between in vitro-raised plants and the mother plant.
However, the use of different markers has revealed soma-clonal variation in in vitro-raised plants in many reports. The genetic stability of Ficus palmata Forssk. micropropagated plants was assessed using RAPD, ISSR, and SCoT markers. In the RAPD analysis, 8 primers produced 22 clear bands, all of which were monomorphic across the tested plants and the mother plant. In the ISSR analysis, 10 primers generated 48 monomorphic bands and 2 polymorphic bands (4 % polymorphism). In the SCoT analysis, 8 primers produced 28 monomorphic bands and 2 polymorphic bands (6.6 % polymorphism) [82]. Similarly, an assessment of the genetic stability of in vitro-propagated apple rootstocks using ISSR and SCoT markers revealed genetic variation 1.57 % polymorphism with ISSR and 6.25 % with SCoT markers [83]. Additionally, genetic stability evaluation using RAPD and ISSR markers showed that 12 RAPD primers generated 104 bands, with 2 RAPD primers revealing 3 polymorphic bands (2.97 %). Similarly, 9 ISSR primers produced 91 bands, with 3 polymorphic bands (3.41 %) detected using 2 ISSR primers [84]. The genetic stability of Curculigo latifolia plants was evaluated using RAPD and ISSR markers. DNA amplification with RAPD revealed no polymorphism, while ISSR amplification showed 33.33 % polymorphism. The 10 RAPD primers used in this study produced monomorphic results, indicating no soma-clonal variation in the in vitro C. latifolia plantlets compared to the mother plant. RAPD markers have also been used to confirm genetic stability in Philodendron bipinnatifidum using 11 RAPD primers. Out of the 11 primers, 9 produced monomorphic bands, while ISSR and SCoT markers showed polymorphism [85]. However, the ISSR primer UBC815 exhibited 33.33 % polymorphism. Employing various marker systems increases the likelihood that variation caused by genetic and epigenetic factors will be reflected in banding patterns [86].
The assessment of genetic stability in plants derived from tissue culture using more than one DNA marker can enhance the efficiency of the analysis and provide broader genome coverage [40]. This is because each marker targets different regions. For instance, RAPD markers randomly bind to both gene and non-gene regions [58,59], while SCoT markers are specific only to gene regions [39,60]. Therefore, using multiple markers increases the chances of detecting any abnormalities or genetic variations that may occur during tissue culture [87].
The production of monomorphic bands from in vitro cultures after the 3rd, 6th, 9th, and 12th subcultures, along with their regenerants and the mother plant of Dendrocalamus sp., using RAPD and SCoT markers, confirms the genetic stability of the plants derived from axillary bud proliferation. This also supports the commercial-scale utilization of the developed protocol. This finding is consistent with several studies on bamboo tissue culture using lateral buds from branch nodes as the starting explant, without the induction of callus formation, which reported no genetic variation [8,70]. These results collectively support the assertion that tissue culture techniques for bamboo species, can maintain genetic integrity, even after multiple subcultures. The use of molecular markers like RAPD and SCoT has proven to be effective in verifying the genetic stability of the plants produced through these methods. However, while the results indicate no significant genetic changes, it is important to note that long-term studies involving more diverse molecular markers or advanced sequencing techniques might provide a more comprehensive understanding of potential genetic variations over extended cultivation periods. Nonetheless, the studies reviewed provide strong evidence of the reliability and sustainability of tissue culture methods in bamboo propagation.
Table 2 RAPD primers used for testing the genetic stability of Sang Mon bamboo (Dendrocalamus sp.) shoots derived from nodal segments through tissue culture.
Primer code |
Primer sequence |
Number of total bands |
Number of monomorphic bands |
% Polymorphism |
Size
of bands |
OPA 04 |
AATCGGGCTG |
9 |
9 |
0 |
350 - 2,000 |
OPA 07 |
GAAACGGGTG |
10 |
10 |
0 |
750 - 1,800 |
OPA 08 |
GTGACGTAGG |
7 |
7 |
0 |
450 - 2,500 |
OPA 09 |
GGGTAACGCC |
7 |
7 |
0 |
350 - 1,800 |
OPA 11 |
CAATCGCCGT |
7 |
7 |
0 |
550 - 1,800 |
OPA 16 |
AGCCAGCGAA |
6 |
6 |
0 |
700 - 3,000 |
OPA 17 |
GACCGCTTGT |
5 |
5 |
0 |
600 - 2,000 |
OPA 19 |
CAAACGTCGG |
12 |
12 |
0 |
300 - 2,000 |
OPN 02 |
ACCAGGGGCA |
10 |
10 |
0 |
700 - 2,200 |
OPN 13 |
AGCGTCACTC |
8 |
8 |
0 |
350 - 2,500 |
OPN 15 |
CAGCGACTGT |
9 |
9 |
0 |
450 - 3,000 |
Total |
|
90 |
90 |
- |
- |
Mean |
|
8.18 |
8.18 |
0 |
Table 3 SCoT primers used for testing the genetic stability of Sang Mon bamboo (Dendrocalamus sp.) shoots derived from nodal segments through tissue culture.
Primer code |
Primer sequence |
Number of total bands |
Number of monomorphic bands |
% Polymorphism |
Size of bands (bp) |
SCoT 04 |
CAACAATGGCTACCACCT |
6 |
6 |
0 |
350 - 3,000 |
SCoT 07 |
CAACAATGGCTACCACGG |
9 |
9 |
0 |
650 - 3,000 |
SCoT 08 |
CAACAATGGCTACCACGT |
8 |
8 |
0 |
500 - 3,000 |
SCoT 19 |
ACCATGGCTACCACCGGC |
4 |
4 |
0 |
650 - 1,500 |
SCoT 21 |
ACGACATGGCGACCCACA |
10 |
10 |
0 |
400 - 3,000 |
SCoT 24 |
CACCATGGCTACCACCAT |
6 |
6 |
0 |
700 - 2,500 |
SCoT 26 |
ACCATGGCTACCACCGTC |
6 |
6 |
0 |
800 - 2,500 |
SCoT 27 |
ACCATGGCTACCACCGTG |
4 |
4 |
0 |
900 - 2,500 |
SCoT 29 |
CCATGGCTACCACCGGCC |
8 |
8 |
0 |
650 - 2,500 |
SCoT 30 |
CCATGGCTACCACCGGCG |
7 |
7 |
0 |
600 - 1,750 |
SCoT 32 |
CCATGGCTACCACCGCAC |
9 |
9 |
0 |
500 - 2,250 |
Total |
|
77 |
77 |
0 |
- |
Mean |
|
7 |
7 |
0 |
- |
Figure 10 DNA fingerprints generated by SCoT primers with SCoT 19 = (a) and SCoT 27 (b) Lane M = 100 bp DNA ladder, MP = mother plant, S3, S6, S9, and S12 = in vitro plantlets after subcultures 3rd, 6th, 9th and 12th.
Conclusions
The production of all monomorphic bands by RAPD and SCoT primers showed no variability among the micro-propagated plantlets after culturing 12 subcultures and the mother plant of Sang Mon bamboo (Dendrocalamus sp.). Thus, it can be concluded that the in vitro-raised plants via axillary bud proliferation did not lead to soma-clonal variation. These findings contribute to the sustainable cultivation and utilization of Sang Mon bamboo, meeting the increasing market demand while ensuring genetic uniformity in propagated plantlets.
Acknowledgements
The authors gratefully acknowledge the Agricultural Research Development Agency (Public Organization), Thailand, for providing financial support for this research. The authors also wish to thank Mr. Prasopsin Mantim for generously supplying the Sang Mon bamboo (Dendrocalamus sp.) material used in this study.
References
[1] ER Konzen, R Peron, MA Ito, GE Brondani and SM Tsai. Molecular identification of bamboo genera and species based on RAPD-RFLP markers. Silva Fennica 2017; 51(4), 1691.
[2] M Das, S Bhattacharya, P Singh, TS Filgueiras and A Pal. Bamboo taxonomy and diversity in the era of molecular markers. Advances in Botanical Research 2008; 47, 225-268.
[3] S Sungkaew, A Teerawatananon and K Jindawong. Bamboo of Thailand. Amarin Printing and Publishing, Bangkok, Thailand, 2011.
[4] H Lalhruaitluanga and MNV Prasad. Comparative results of RAPD and ISSR markers for genetic diversity assessment in Melocanna baccifera Roxb. growing in Mizoram State of India. African Journal of Biotechnology 2009; 8(22), 6053-6062.
[5] H Nilkanta, T Amom, L Tikendra, H Rahaman and P Nongdam. ISSR marker based population genetic study of Melocanna baccifera (Roxb.) Kurz: A commercially important bamboo of Manipur, North-East India. Scientifica 2017; 2017, 3757238.
[6] T Puangchick, B Harakotr and N Sriskulpair. Effects of formula and rates of chemical fertilizer on growth of bamboo (Dendrocalamus sericeus) (in Thai). Thai Journal of Science and Technology 2018; 7(2), 113-122.
[7] S Pattanaik, P Das, E Borah, H Kaur and K Borah. Vegetative multiplication of Bambusa balcooa Roxb. using branch cuttings. Journal of Bamboo and Rattan 2004; 3(4), 365-374.
[8] SR Singh, S Dalal, R Singh, AK Dhawan and RK Kalia. Ascertaining clonal fidelity of micropropagated plants of Dendrocalamus hamiltonii Nees et Arn. ex Munro using molecular markers. In Vitro Cellular and Developmental Biology - Plant 2013; 49, 572-583.
[9] AA Mustafa, MR Derise, WTL Yong and KF Rodrigues. A concise review of Dendrocalamus asper and related bamboos: Germplasm conservation, propagation and molecular biology. Plants 2021; 10(9), 1897.
[10] OA Oumer, K Dagne, T Feyissa, K Tesfaye, J Durai and MZ Hyder. Genetic diversity, population structure, and gene flow analysis of lowland bamboo [Oxytenanthera abyssinica (A. Rich.) Munro] in Ethiopia. Ecology and Evolution 2020; 10(20), 11217-11236.
[11] P Chowdhury, M Das, S Sikdar and A Pal. Influence of the physiological age and position of the nodal explants on micropropagation of field-grown Dendrocalamus strictus Nees. Plant Cell Biotechnology and Molecular Biology 2004; 5(1-2), 45-50.
[12] S Kapruwan, M Bakshi and M Kaur. Effect of growth regulators on the in vitro multiplication of Dendrocalamus hamiltonii. International Journal of Engineering Research and Applications 2014; 4(11), 83-86.
[13] BN Pandey and NB Singh. Micropropagation of Dendrocalamus strictus Nees from mature nodal explants. Journal of Applied and Natural Science 2012; 4(1), 5-9.
[14] SR Singh, S Dalal, R Singh, AK Dhawan and RK Kalia. Micropropagation of Dendrocalamus asper {Schult. & Schult. F.} Backer ex k. Heyne): An exotic edible bamboo. Plant Biochemistry and Biotechnology 2012; 21, 220-228.
[15] L Zailiu and H Chaomao. Study on tissue culture of Dendrocalamus sinicus. Scientia Silvae Sinica 2006; 42(2), 43-49.
[16] P Venkatachalam, K Kalaiarasi and S Sreeramanan. Influence of plant growth regulators (PGRs) and various additives on in vitro plant propagation of Bambusa arundinacea (Retz.) Wild: A recalcitrant bamboo species. Journal of Genetic Engineering and Biotechnology 2015; 13(2), 193-200.
[17] MDKM Gunasena, PH Chandrasena and WTPSK Senarath. In vitro mass propagation of Dendrocalamus asper (Giant bamboo) through direct organogenesis. Advances in Bamboo Science 2024; 8, 100090.
[18] BNS Murthy, SJ Murch and PK Saxena. Thidiazuron: A potent regulator of in vitro plant morphogenesis. In Vitro Cellular and Developmental Biology - Plant 1998; 34, 267-275.
[19] SR Pai and NS Desai. Effect of TDZ on various plant cultures. In: N Ahmad and M Faisal (Eds.). Thidiazuron: From urea derivative to plant growth regulator. Springer Nature, Singapore, 2018, p. 439-454.
[20] S Bordoloi, BL Singha, PB Goswami and INA Hazarika. Improved clonal propagation of superior Dendrocalamus hamiltonii Nees germplasm through in vitro techniques. Global Journal of Bio-science and Biotechnology 2018; 7, 537.
[21] RI Raju and SK Roy. Mass propagation of Bambusa bambos (L.) Voss through in vitro culture. Jahangirnagar University Journal of Biological Sciences 2016; 5(2), 15-26.
[22] PJ Larkin and WR Scowcroft. Somaclonal variation - a novel source of variability from cell cultures for plant improvement. Theoretical and Applied Genetics 1981; 60, 197-214.
[23] M Sato, M Hosokawa and M Doi. Somaclonal variation is induced de novo via the tissue culture process: A study quantifying mutated cells in Saintpaulia. PLoS One 2011; 6(8), e23541.
[24] N Abdalla, H El-Ramady, MK Seliem, ME El-Mahrouk, N Taha, Y Bayoumi, TA Shalaby and J Dobránszki. An academic and technical overview on plant micropropagation challenges. Horticulturae 2022; 8(8), 677.
[25] H Krishna, M Alizadeh, D Singh, U Singh, N Chauhan, M Eftekhari and RK Sadh. Somaclonal variations and their applications in horticultural crops improvement. 3 Biotech 2016; 6(1), 54.
[26] H Mehbub, A Akter, MA Akter, MSH Mandal, MA Hoque, M Tuleja and H Mehraj. Tissue culture in ornamentals: Cultivation factors, propagation techniques, and its application. Plants 2022; 11(23), 3208.
[27] R Mehta, V Sharma, A Sood, M Sharma and RK Sharma. Induction of somatic embryogenesis and analysis of genetic fidelity of in vitro-derived plantlets of Bambusa nutans Wall., using AFLP markers. European Journal of Forest Research 2010; 130(5), 729-736.
[28] T Dey, S Saha and PD Ghosh. Somaclonal variation among somatic embryo derived plants - Evaluation of agronomically important somaclones and detection of genetic changes by RAPD in Cymbopogon winterianus. South African Journal of Botany 2015; 96, 112-121.
[29] J Mamgain, A Mujib, B Ejaz, B Gulzar, MQ Malik and R Syeed. Flow cytometry and start codon targeted (SCoT) genetic fidelity assessment of regenerated plantlets in Tylophora indica (Burm. f.) Merrill. Plant Cell, Tissue and Organ Culture 2022; 150(1), 129-140.
[30] R Tisarum, T Samphumphuang, W Prommee, C Mongkolsiriwatana and S Cha-Um. True-to-type micropropagated plants of para rubber (Hevea brasiliensis Müll. Arg.) via somatic embryogenesis. Notulae Botanicae Horti Agrobotanici Cluj-Napoca 2020; 48(4), 1901-1914.
[31] S Pradhan, YP Paudel, W Qin and B Pant. Genetic fidelity assessment of wild and tissue cultured regenerants of a threatened orchid, Cymbidium aloifolium using molecular markers. Plant Gene 2023; 34, 100418.
[32] GK Rohela, P Jogam, MY Mir, AA Shabnam, P Shukla, S Abbagani and AN Kamili. Indirect regeneration and genetic fidelity analysis of acclimated plantlets through SCoT and ISSR markers in Morus alba L. cv. Chinese white. Biotechnology Reports 2020; 25, e00417.
[33] T Siringam and O Vanijajiva. The effect of plant growth regulators on micropropagation of Melientha suavis Pierre. and assessment of genetic fidelity of regenerants based on iPBS and SRAP markers. Biodiversitas Journal of Biological Diversity 2023; 24(9), 4628-4634.
[34] AK Goyal, S Pradhan, BC Basistha and A Sen. Micropropagation and assessment of genetic fidelity of Dendrocalamus strictus (Roxb.) Nees using RAPD and ISSR markers. 3 Biotech 2015; 5(4), 473-482.
[35] SR Singh, S Dalal, R Singh, AK Dhawan and RK Kalia. Evaluation of genetic fidelity of in vitro raised plants of Dendrocalamus asper (Schult. & Schult. F.) Backer ex K. Heyne using DNA-based markers. Acta Physiologiae Plantarum 2013; 35, 419-430.
[36] K Tongtape, S Te-Chato and S Yenchon. Somatic Embryo (SE) formation from culturing floral explants of rubber tree (Hevea brasiliensis Muell. Arg.) and assessment of genetic stability by RAPD and SSR markers. Trends in Sciences 2023; 20(9), 6728.
[37] Çetin. Evaluation of the genetic fidelity of in vitro raised plants of Origanum majorana L. using Random Amplified Polymorphic DNA. Celal Bayar University Journal of Science 2018; 14(2), 237-239.
[38] S Sadhu, P Jogam, RK Thampu, S Abbagani, S Penna and V Peddaboina. High efficiency plant regeneration and genetic fidelity of regenerants by SCoT and ISSR markers in chickpea (Cicer arietinum L.). Plant Cell, Tissue and Organ Culture 2020; 141, 465-477.
[39] MK Rai. Start Codon Targeted (SCoT) polymorphism marker in plant genome analysis: Current status and prospects. Planta 2023; 257(2), 34.
[40] T Amom, L Tikendra, N Apana, M Goutam, P Sonia, AS Koijam, AM Potshangbam, H Rahaman and P Nongdam. Efficiency of RAPD, ISSR, iPBS, SCoT and phytochemical markers in the genetic relationship study of five native and economical important bamboos of North-East India. Phytochemistry 2020; 174, 112330.
[41] TVD Huynh, TCH Cao, HTT Nguyen, TCV Tran, MQL Huynh, PL Tran and PV Nguyen. Somatic embryogenesis and plant regeneration from leaf callus with genetic stability validation using SCoT markers in Paramignya trimera, a medicinal plant native to Vietnam. Notulae Botanicae Horti Agrobotanici Cluj-Napoca 2024; 52(2), 13886.
[42] H Kudikala, P Jogam, A Sirikonda, K Mood and VR Allini. In vitro micropropagation and genetic fidelity studies using SCoT and ISSR primers in Annona reticulata L.: An important medicinal plant. Vegetos 2020; 33, 446-457.
[43] T Murashige and F Skoog. A revised medium for rapid growth and bio assays with tobacco tissue cultures. Physiologia Plantarum 1962; 15(3), 473-497.
[44] JJ Doyle and JL Doyle. A rapid DNA isolation procedure for small quantities of fresh leaf tissue. Phytochemical Bulletin 1987; 19, 11-15.
[45] M Thakur, Rakshandha, V Sharma and A Chauhan. Genetic fidelity assessment of long term in vitro shoot cultures and regenerated plants in Japanese plum cvs Santa Rosa and Frontier through RAPD, ISSR and SCoT markers. South African Journal of Botany 2021; 140, 428-433.
[46] JG Williams, AR Kubelik, KJ Livak, JA Rafalski and SV Tingey. DNA polymorphisms amplified by arbitrary primers are useful as genetic markers. Nucleic Acids Research 1990; 18(22), 6531-6535.
[47] B Guo, BH Abbasi, A Zeb, LL Xu and YH Wei. Thidiazuron: A multi-dimensional plant growth regulator. African Journal of Biotechnology 2011; 10(45), 8984-9000.
[48] HM Ali, T Khan, MA Khan and N Ullah. The multipotent thidiazuron: A mechanistic overview of its roles in callogenesis and other plant cultures in vitro. Biotechnology and Applied Biochemistry 2022; 69(6), 2624-2640.
[49] FG Celikel, Q Zhang, Y Zhang, MS Reid and CZ Jiang. A cytokinin analog thidiazuron suppresses shoot growth in potted rose plants via the gibberellic acid pathway. Frontiers in Plant Science 2021; 12, 639717.
[50] LA Erland, RT Giebelhaus, JMR Victor, SJ Murch and PK Saxena. The morphoregulatory role of thidiazuron: Metabolomics-guided hypothesis generation for mechanisms of activity. Biomolecules 2020; 10(9), 1253.
[51] M Vescovi, M Riefler, M Gessuti, O Novak, T Schmulling and FL Schiavo. Programmed cell death induced by high levels of cytokinin in Arabidopsis cultured cells is mediated by the cytokinin receptor CRE1/AHK4. Journal of Experimental Botany 2012; 63(7), 2825-2832.
[52] S Nurhayani, R Megia and R Purnamaningsih. In vitro propagation of Bambusa balcooa as alternative material of wood. Biosaintifika: Journal of Biology and Biology Education 2018; 10(1), 198-204.
[53] KD Mudoi, SP Saikia, A Goswami, A Gogoi, D Bora and M Borthakur. Micropropagation of important bamboos: A review. African Journal of Biotechnology 2013; 12(20), 2770-2785.
[54] S Arya, S Sharma, R Kaur and ID Arya. Micropropagation of Dendrocalamus asper by shoot proliferation using seeds. Plant Cell Reports 1999; 18, 879-882.
[55] SMSD Ramanayake, VN Meemaduma and TE Weerawardene. In vitro shoot proliferation and enhancement of rooting for the large-scale propagation of yellow bamboo (Bambusa vulgaris ‘Striata’). Scientia Horticulturae 2006; 110(1), 109-113.
[56] QM Wang and L Wang. An evolutionary view of plant tissue culture: Somaclonal variation and selection. Plant Cell Reports 2012; 31(9), 1535-1547.
[57] S Sun, JQ Zhong, SH Li and XJ Wang. Tissue culture-induced somaclonal variation of decreased pollen viability in torenia (Torenia fournieri Lind.). Botanical Studies 2013; 54, 36.
[58] T Arumugam, G Jayapriya and T Sekar. Molecular fingerprinting of the Indian medicinal plant Strychnos minor Dennst. Biotechnology Reports 2019; 21, e00318.
[59] K Sharma, AK Mishra and RS Misra. The genetic structure of taro: A comparison of RAPD and isozyme markers. Plant Biotechnology Reports 2008; 2, 191-198.
[60] BCY Collard and DJ Mackill. Start codon targeted (SCoT) polymorphism: A simple, novel DNA marker technique for generating gene-targeted markers in plants. Plant Molecular Biology Reporter 2009; 27, 86-93.
[61] SR Singh, S Dalal, R Singh, AK Dhawan and RK Kalia. Evaluation of genetic fidelity of in vitro raised plants of Dendrocalamus asper (Schult. & Schult. F.) Backer ex K. Heyne using DNA-based markers. Acta Physiologiae Plantarum 2013; 35, 419-430.
[62] D Negi and S Saxena. Ascertaining clonal fidelity of tissue culture raised plants of Bambusa balcooa Roxb. using inter simple sequence repeat markers. New Forests 2010; 40, 1-8.
[63] MM Suwal, J Lamichhane and DP Gauchan. Assessment of genetic stability of micropropagated Bambusa balcooa Roxb. using RAPD marker. Plant Tissue Culture and Biotechnology 2021; 31(1), 81-95.
[64] O Borsai, M Hârța, K Szabo, CD Kelemen, FA Andrecan, MM Codrea and D Clapa. Evaluation of genetic fidelity of in vitro-propagated blackberry plants using RAPD and SRAP molecular markers. Horticultural Science 2020; 47(1), 21-27.
[65] J Brar, A Shafi, P Sood, A Sood and M Anand. Micropropagation of Dendrocalamus membranaceus Munro. through axillary shoot proliferation and confirmation of clonal fidelity of in vitro raised plants. Journal Bamboo Rattan 2012; 11(1-2), 13-28.
[66] K Kalaiarasi, P Sangeetha, S Subramaniam and P Venkatachalam. Development of an efficient protocol for plant regeneration from nodal explants of recalcitrant bamboo (Bambusa arundinacea Retz. Willd) and assessment of genetic fidelity by DNA markers. Agroforestry Systems 2014; 88(3), 527-537.
[67] HK Nadha, R Kumar, RK Sharma, M Anand and A Sood. Evaluation of clonal fidelity of in vitro raised plants of Guadua angustifolia Kunth using DNA-based markers. Journal of Medicinal Plants Research 2011; 5(23), 5636-5641.
[68] RK Agnihotri, J Mishra and SK Nandi. Improved in vitro shoot multiplication and rooting of Dendrocalamus hamiltonii Nees et Arn. Ex Munro: Production of genetically uniform plants and field evaluation. Acta Physiologiae Plantarum 2009; 31, 961-967.
[69] D Sarmah, PP Mohapatra, MF Seleiman, T Mandal, N Mandal, K Pramanik, C Jane, S Sow, BA Alhammad, N Ali, S Ranjan and DO Wasonga. Efficient regeneration of in vitro derived plants and genetic fidelity assessment of Phalaenopsis orchid. Frontiers in Sustainable Food Systems 2024; 8, 1359486.
[70] SS Kadapatti and HN Murthy. Rapid plant regeneration, analysis of genetic fidelity, and neoandrographolide content of micropropagated plants of Andrographis alata (Vahl) Nees. Journal of Genetic Engineering and Biotechnology 2021; 19(1), 20.
[71] FMK Aldabbagh, IH AL-Zaidi and MA ALshamari. Micropropagation and assessment of genetic fidelity of regenerate by RAPD markers of Solanum nigrum. Iraqi Journal of Agricultural Sciences 2024; 55(1), 432-439.
[72] A Kader, SN Sinha and P Ghosh. Clonal fidelity investigation of micropropagated hardened plants of jackfruit tree (Artocarpus heterophyllus L.) with RAPD markers. Journal of Genetic Engineering and Biotechnology 2022; 20(1), 145.
[73] M Rani, MAH Miah, MT Hasan, MHO Rashid, S Yasmin and MS Haque. Clonal propagation of turmeric (Curcuma longa) and confirmation of genetic fidelity of the micropropagated shoots by RAPD markers. Plant Tissue Culture and Biotechnology 2024; 34(1), 55-69.
[74] PR Joshi, S Pandey, L Maharjan and B Pant. Micropropagation and assessment of genetic stability of Dendrobium transparens wall. Ex Lindl. using RAPD and ISSR markers. Frontiers in Conservation Science 2023; 3, 1083933.
[75] S Pandey, L Maharjan and B Pant. In vitro propagation and assessment of genetic homogeneity using RAPD and ISSR markers in Tinospora cordifolia (Wild.) Hook. F. & Thoms, an important medicinal plant of Nepal. Journal of Nepal Biotechnology Association 2023; 4(1), 27-36.
[76] D Swain, G Pushpalatha and P Das. In vitro micro-propagation of Typhonium flagelliforme (Lodd.) Blume and its genetic fidelity using ISSR and RAPD markers. Journal of Pharmacognosy and Phytochemistry 2020; 9(4), 3484-3488.
[77] BS Rajput, M Jani, K Ramesh, M Manokari, P Jogam, VR Allini, MM Kher and MS Shekhawat. Large-scale clonal propagation of Bambusa balcooa Roxb.: An industrially important bamboo species. Industrial Crops and Products 2020; 157, 112905.
[78] MK Badhepuri, PR Beeravelli, RG Arolla, P Jogam, GK Rohela and NR Singisala. Micropropagation and genetic fidelity analysis using SCoT and ISSR markers in Muehlenbeckia platyclada (F. Muell.) meisn. Plant Cell, Tissue and Organ Culture 2024; 157(3), 51.
[79] P Chirumamilla, C Gopu, P Jogam and S Taduri. Highly efficient rapid micropropagation and assessment of genetic fidelity of regenerants by ISSR and SCoT markers of Solanum khasianum Clarke. Plant Cell, Tissue and Organ Culture 2021; 144, 397-407.
[80] D Clapa and M Hârţa. Evaluation of genetic fidelity of in vitro growth plants of highbush blueberry (Vaccinium corymbosum L.) cultivars using scot molecular markers. Scientific Papers. Series B, Horticulture 2022; 66(1), 67-74.
[81] N Kaushal, A Alok, M Kajal and K Singh. Regeneration and genetic fidelity analysis of Chlorophytum borivilianum using flower stalk as explant source. Advances in Bioscience and Biotechnology 2021; 12, 95-107.
[82] AA Al-Aizari, YH Dewir, AH Ghazy, A Al-Doss and RS Al-Obeed. Micropropagation and genetic fidelity of fegra fig (Ficus palmata Forssk.) and grafting compatibility of the regenerated plants with Ficus carica. Plants 2024; 13(9), 1278.
[83] V Bisht, JM Rawat, KS Gaira, S Purohit, J Anand, S Sinha, D Mitra, FS Ataya, AM Elgazzar, GES Batiha and B Rawat. Assessment of genetic homogeneity of in-vitro propagated apple root stock MM 104 using ISSR and SCoT primers. BMC Plant Biology 2024; 24(1), 240.
[84] KW Sultana, S Das, I Chandra and A Roy. Efficient micropropagation of Thunbergia coccinea Wall. and genetic homogeneity assessment through RAPD and ISSR markers. Scientific Reports 2022; 12(1), 1683.
[85] MS Alwahibi, AA Alawaadh, YH Dewir, DA Soliman and MK Seliem. Assessment of genetic fidelity of lacy tree philodendron (Philodendron bipinnatifidum Schott ex Endl.) micro propagated plants. Revis Bionatura 2022; 7(1), 10.
[86] W Muslihatin, TB Saputro, AT Wibowo and YSW Manuhara. Assessment of genetic stability of micropropagated Curculigo latifolia from Indonesia by RAPD and ISSR. Journal of Applied Biology and Biotechnology 2025; 13(1), 229-234.
[87] L Tikendra, AM Potshangbam, A Dey, TR Devi, MR Sahoo and P Nongdam. RAPD, ISSR, and SCoT markers based genetic stability assessment of micropropagated Dendrobium fimbriatum Lindl. var. oculatum Hk. f. - an important endangered orchid. Physiology and Molecular Biology of Plants 2021; 27, 341-357.