Trends
Sci.
2025; 22(9):
10409
The Impact of Streptozotocin-Induced Diabetes on Testosterone Hormone and Androgen Receptor Expression and Correlation with Sperm Quality Impairment in Sprague Dawley Rats
Nazaruddin Nazaruddin1,2, Tongku Nizwan Siregar3,*,
Amalia Sutriana4, Sri Wahyuni5 and Teuku Armansyah4
1Graduate School of Mathematics and Applied Sciences, Universitas Syiah Kuala, Banda Aceh, Indonesia
2Laboratory of Pathology, Faculty of Veterinary Medicine, Universitas Syiah Kuala, Banda Aceh, Indonesia
3Laboratory of Reproduction, Faculty of Veterinary Medicine, Universitas Syiah Kuala, Banda Aceh, Indonesia
4Laboratory of Pharmacology, Faculty of Veterinary Medicine, Universitas Syiah Kuala, Banda Aceh, Indonesia
5Laboratory of Anatomy, Faculty of Veterinary Medicine, Universitas Syiah Kuala, Banda Aceh, Indonesia
(*Corresponding author’s e-mail: [email protected])
Received: 19 April 2025, Revised: 2 May 2025, Accepted: 12 May 2025, Published: 10 July 2025
Abstract
The growing prevalence of type 2 diabetes mellitus (T2DM) has raised significant concerns about its detrimental effects on male reproductive health. Streptozotocin (STZ)-induced diabetic models, particularly when combined with a high-fat diet (HFD), effectively replicate key features of human T2DM, including hyperglycemia and subsequent reproductive dysfunction. This study investigates the impact of STZ with various doses in inducing diabetes on testosterone levels, androgen receptor (AR) expression, and semen quality in male Sprague Dawley rats. Twenty rats, aged approximately 2 months and weighing 200 - 250 g, were divided into 4 groups (n = 5). Each group received a single intraperitoneal injection of STZ at doses of 0 mg/kg BW (P0), 20 mg/kg BW (P1), 30 mg/kg BW (P2), and 40 mg/kg BW (P3), using 0.1 M citrate buffer (pH 4.5) as the solvent. On day 56, blood glucose levels (BGL) were significantly elevated (p < 0.05) in all treated groups, particularly in P3 (average BGL 196.0 ± 4.24 mg/dL), indicating successful DM induction. Testosterone concentration in P3 was significantly lower (0.18 ± 0.05 ng/dL) compared to other groups (p < 0.05). Additionally, sperm concentration, motility, and viability in P3 showed a significant decrease (p = 0.00), while sperm abnormalities significantly increased (p = 0.00). AR intensity score (IS) was markedly reduced in P3 compared to other groups (p < 0.01). Histopathological examination revealed necrosis and lysis in seminiferous tubules, interstitial tissue damage, and decreased quantity and quality of spermatogenic cells. These findings confirm that STZ at 40 mg/kg BW effectively induces hyperglycemia and causes significant disruptions in male reproductive parameters, including hormonal profiles, sperm characteristics, and AR expression. This outcome offers a reliable method for studying the reproductive consequences of DM and may serve as a platform for evaluating potential therapeutic strategies to mitigate DM-related infertility.
Keywords: Streptozotocin, Type 2 diabetes mellitus, Testosterone, Testicular histopathology, Spermatozoa,
Androgen receptor, Sprague Dawley
Introduction
Diabetes mellitus (DM) is a metabolic disorder characterized by elevated BGLs beyond normal limits (hyperglycemia) due to insulin secretion dysfunction or insulin resistance [1]. Diabetes mellitus can be classified into 4 categories: Type 1 DM (T1DM), type 2 DM (T2DM), DM caused by other factors, and gestational DM. T1DM is caused by autoimmune destruction of β-cells, leading to insulin deficiency, whereas T2DM results from impaired insulin secretion by β-cells. T2DM is the most common form, accounting for 95% of cases, followed by T1DM (5 - 10%) and other causes (< 5%) [2]. According to reports from the World Health Organization (WHO) and the International Diabetes Federation (IDF), in 2014, there were 422 million DM cases, representing a 60% increase since 2002. It is predicted that the number of DM is predicted to reach 300 million by 2025. The global prevalence of DM has already reached 463 million and is expected to rise to 578 million by 2030 and 700 million by 2045 [3].
Several studies have reported that DM negatively affects male fertility, characterized by decreased semen volume, sperm concentration, and sperm motility, along with an increase in sperm abnormalities [4,5]. Chronic hyperglycemia leads to oxidative stress in the testes due to excessive production of reactive oxygen species (ROS). Excessive ROS production directly and indirectly affects the reproductive system, including the hypothalamic-pituitary-gonadal axis (hypogonadotropic hypogonadism), testicular tissue, epididymis, and accessory glands [6]. The decline in semen quality in DM patients is associated with reduced testosterone concentration [7]. Testosterone plays a crucial role in regulating spermatogenesis [8]. Research has shown that an increase in spermatozoa quality following prostaglandin administration is preceded by a rise in testosterone levels. The impact of DM on the hypothalamic-pituitary-gonadal axis leads to hypogonadism. DM patients with severe hypogonadism exhibit testosterone levels below 8 nmol/L, while testosterone levels below 12 nmol/L characterize mild hypogonadism [6]. In addition to disrupting the hypothalamic-pituitary-gonadal axis, DM can also lower testosterone concentration by causing oxidative damage to Leydig cells, which are responsible for testosterone production [9]. This occurs due to an increase in advanced glycation end-products (AGEs) and their receptors (RAGE) in the testes and epididymis. The binding of AGE-RAGE accelerates ROS formation, activating the nuclear factor-kappa B (NF-κB) transcription factor, which signals apoptosis and contributes to tissue and organ damage. Activation of AGE-RAGE in the testes induces oxidative stress in functional cells, including Leydig cells [10].
A decrease in testosterone levels is believed to reduce AR expression in target cells or tissues, particularly in the testes. ARs belong to the steroid hormone receptor family and are part of the ligand-activated nuclear receptor superfamily [4]. Androgens regulate testicular function and male accessory reproductive organs through ARs. These receptors are nuclear proteins that modulate androgen effects in processes such as cell proliferation, differentiation, and reproductive organ function. These processes occur when AR bind to natural ligands such as testosterone and dihydrotestosterone (DHT) in target cells [11].
The distribution of AR has been studied in rat testes, with most receptors found in Leydig cells and approximately 95% in peritubular myoid cells. In addition to these cells, AR are also present in Sertoli cells, showing specific immunoreactivity in certain seminiferous epithelial stages. The strongest expression intensity is found in Sertoli cells, whereas ARs are absent in germ cells of the seminiferous tubules [12].
Two common protocols for DM induction involve alloxan and STZ. However, in recent years, STZ has been more widely used for DM induction in rats [13]. STZ is considered a superior diabetogenic agent due to its effectiveness, reproducibility, and stability in solution before and after injection. Moreover, STZ-induced DM more closely resembles the acute and chronic complications observed in human DM patients. STZ was administered intraperitoneally at doses ranging from 35 - 65 mg/kg BW in rats and 100 - 200 mg/kg BW in mice [14]. Various dosing strategies have been performed, include a single high-dose injection (> 65 mg/kg BW), repeated low-dose injections (< 35 mg/kg BW), or STZ combined with a high-fat diet. A high STZ dose (> 60 mg/kg BW) causes extensive pancreatic β-cell destruction, modeling T1DM, whereas a moderate dose (40 - 55 mg/kg BW) partially impairs insulin secretion, resembling T2DM. In contrast, single STZ dose below 35 mg/kg BW in normal-diet rats does not induce hyperglycemia [15]. While dose dependent effect of STZ have been well-characterized for metabolic effects, their impact on male reproductive function particularly testosterone levels, AR expression, and sperm quality, remains poorly understood. Most studies have focused on extreme STZ doses, leaving a critical gap in understanding how low and moderate-dose STZ, especially when combined with a high-fat diet, influences long-term reproductive dysfunction. Therefore, this study aims to address these gaps by evaluating the dose-dependent effects of STZ on testosterone synthesis, AR suppression, and sperm quality in animal model, providing a more clinically relevant model for investigating T2DM-related male infertility. By identifying the most suitable STZ dose for inducing persistent reproductive impairment, this work will enhance translational research on metabolic syndrome and fertility decline.
Materials and methods
Animal
This study was conducted after the approval from the ethics committee of Faculty of Veterinary Medicine, Universitas Syiah Kuala, Banda Aceh, Indonesia with certificate No.279/KEPH/VII/2023. A total of 20 male Sprague Dawley rats, approximately 2 months old, weighing 200 - 300 g, were acclimated under standard laboratory animal care conditions and given standard food and drink ad libitum. After the adaptation period was completed, the rats were divided into 4 treatment groups (P0, P1, P2, and P3) of 5 rats each. All groups were given high fat (40%) calorie feed. The composition of high-fat feed contained standard feed (800 g/kg feed), goat fat (150 g/kg feed), and duck egg yolk (50 g/kg feed). The maximum amount of feed consumption per day was 20 g/rats given for 4 weeks in the morning [16].
Group P0 was considered as a control group and the rats were injected with 0.1 M citrate buffer. The rats in groups P1, P2, and P3 received a single intraperitoneal injection of STZ at doses of 20, 30, and 40 mg/kg body weight (BW), respectively. Prior to administration, STZ was dissolved in 0.1 M citrate buffer (pH 4.5) [15,17].
BGL measurement
BGL measurement of the rat was carried out on the 56th day after STZ treatment. Rats were fasted for ± 16 h but drinking water was still provided. BGLs in rat were measured using the Glucose Oxidase-Phenol 4-Aminophenazone (GOD-PAP) method. Blood was taken from a rat using the retroorbital plexus method from the eye vein as much as 1 - 2 mL using a heparinized hematocrit pipette. The blood obtained was collected in a non-EDTA vacutainer tube. The blood sample was then centrifuged at 2500 rpm for 10 min until the blood components were separated. The serum was then taken and reacted with the GOD-PAP reagent in the test tube, then the tube was slowly homogenized so that the serum and reagent were mixed homogeneously. The serum sample was then incubated at a temperature of 20 - 25 ℃ for 10 - 15 min. Then the absorbance results of glucose levels were read using a DTN-410-K photometer at a wavelength of 505 nm. The GOD-PAP method provides more specific results and higher accuracy and precision [18,19]. BGLs were measured in mg/dL.
Testosterone analysis
Testosterone levels were analyzed on day 56, using an ELISA kit (Testosterone DRG. EIA-1559 GmbH, Germany). Blood samples (2 mL) were collected from the orbital vein using a micropipette. The collected blood was carefully transferred into an EDTA vacuum tube, ensuring it flowed gently along the tube wall to mix evenly with the EDTA anticoagulant. The blood samples were then centrifuged to separate the plasma, which was extracted using a syringe and stored in microtubes at −20 °C.
Testosterone analysis was performed following the instructions of the DRG EIA-1559 ELISA kit, DRG Instruments GmbH, Germany, as described by Gholib et al. [20]. Briefly, 25 µL of blood plasma sample was added to each standard, sample and control well. Then 200 µL of enzyme conjugate was added to each well and stirred for 10 s. The filled plate was incubated for 60 min at room temperature, then washed 3 times using 400 µL of wash buffer in each well. After washing, the plate was vigorously stomped on absorbent paper to remove residual masses. Next, 200 µL substrate solution was added to each well and incubated for 15 min at room temperature. To stop the enzymatic reaction, 100 µL stop solution was added to each well. The optical density of each well was read using an ELISA reader (xMark™ Microplate Absorbance Spectrophotometer, Bio-Rad Laboratories Inc.) at 450 nm. Testosterone concentration was calculated using Microplate Manager® 6 Software (Bio-Rad Laboratories Inc.).
Testicular preparation and sperm quality evaluation
On day 57, all rats were euthanized using zoletil 40 mg/kg BW for testicular collection to assess spermatozoa quality, testes histopathology, and AR expression. The rats were positioned dorsally on a surgical board, followed by a precise dissection of the testicular region. The testes were extracted from the prepubic scrotum, then carefully separated from the cauda epididymis. Both the testes and cauda epididymis were rinsed with a physiological NaCl solution to ensure cleanliness and remove contaminants. Sperm quality assessment was performed immediately after spermatozoa were collected from the cauda epididymis. The evaluation included parameters such as motility, concentration, viability, and morphological abnormalities, following the procedures described by Husnurrizal et al. [8].
Histopathological examination of testes and AR expression measurement
Histological preparations were conducted using histotechnical methods based on Dunn et al. [21]. Hematoxylin and eosin (HE) staining was examined to evaluate histopathological changes in testicular tissue structure, including seminiferous tubules, spermatogenic cells, and interstitial tissue. For AR expression measurement, immunohistochemical (IHC) staining was performed using the Avidin-Biotin Complex (ABC) method, following the manual protocol for the IHC detection HRP/DAB kit (ABC) specific to rats and rabbits (Abcam®), with modifications. The AR expression was observed and identified in rat testes using an intensity score (IS) based on the positive reaction between AR antibodies and ARs in the testicular tissue [22,23]. AR immunoreactivity was semi-quantitatively graded on a 0 - 3 scale (Table 1). The specific testicular region examined was the interstitial tissue.
Table 1 Immunoreactivity Intensity Score (IS) for AR.
Score |
Intensity |
Description |
0 |
Negative |
No color formation |
1 |
Weak Intensity |
Light brown color |
2 |
Moderate Intensity |
Light brown color |
3 |
Strong Intensity |
Dark brown/Intense brown color |
Data analysis
BGLs, testosterone concentrations, sperm quality (motility, concentration, viability, abnormalities), and AR expression intensity in testicular tissue were analyzed using one-way ANOVA. Significant differences were further examined with Duncan’s post-hoc test. Histopathological changes in the testis were analyzed descriptively.
Results and discussion
BGLs, testosterone concentration, and AR intensity scores
In the 3 groups of rats induced with DM using STZ, the average BGLs for P1, P2, and P3 were 120.2 ± 1.09, 126.4 ± 1.67, and 196.0 ± 4.24 mg/dL, respectively, which were significantly (p < 0.05) higher compared to the non-diabetic group (P0), which had an average BGL of 118.4 ± 1.14 mg/dL. The rats in P0, P1, and P2 groups had BGLs within the normal range up to day 56, while the P3 group, induced with 40 mg/kg BW STZ, showed a significantly higher and sustained BGL, with an average of 196.0 ± 4.24 mg/dL, indicating that the rats had developed DM. The average BGL was highest in the P3 group, and testosterone concentrations were significantly lower in P3 compared to P0, P1, and P2 (p < 0.05), as shown in Table 2. The average BGL increased significantly with the higher STZ doses. By day 56, the BGLs of the P0 group showed significant differences from those of P2 and P3, with a p-value of 0.000, while P0 and P1 showed no significant difference, with a p-value of 0.256.
Testosterone concentrations decreased sharply from 2.99 ± 0.34 ng/mL in P0 to 0.18 ± 0.05 ng/mL in P3. Testosterone concentrations showed significant differences between groups P0, P1, and P3 (p < 0.01), while there was no significant difference between P1 and P2 (p = 0.603). Furthermore, the AR intensity scores also significantly decreased, from 2.33 ± 0.14 in P0 to 0.73 ± 0.50 in P3. The intensity score for ARs showed significant differences only in P3 compared to all other groups (p < 0.01), while no significant differences were observed between P0 and P1 (p = 0.787), P0 and P2 (p = 0.426), or P1 and P2 (p = 0.591). This decrease reflects dysfunction of AR in line with the increased dose of STZ. Based on the results, it was found that administering a higher dose of STZ, particularly in P3 (40 mg/kg BW/rat), not only caused hyperglycemia but also had a significant negative impact on BGLs, testosterone concentration, and decreasing AR activity in male Sprague Dawley rats.
Table 2 Average BGLs, testosterone concentrations and AR intensity scores in Sprague Dawley rats induced with different doses of STZ at day 56.
Parameter |
Groups |
||||
P0 (n = 5) |
P1 (n = 5) |
P2 (n = 5) |
P3 (n = 5) |
p-value |
|
Blood glucose level (mg/dL) |
118.4 ± 1.14a |
120.2 ± 1.09a |
126.4 ± 1.67b |
196.0 ± 4.24c |
0.000 |
Testosterone (ng/mL) |
2.99 ± 0.34c |
2.52 ± 0.30b |
2.41 ± 0.37b |
0.18 ± 0.05a |
0.000 |
Intensity score of AR |
2.33 ± 0.14b |
2.26 ± 0.11b |
2.13 ± 0.23b |
0.73 ± 0.50a |
0.000 |
a, b, c, d Superscripts in the same row indicate significant differences (p < 0.05). P0: 0 mg/kg BW/rat, P1: 20 mg/kg BW/rat, P2: 30 mg/kg BW/rat, P3: 40 mg/kg BW/rat.
The normal BGL in this study, consistent with the report by Rehman et al. [24] on male Sprague Dawley rats which was 105.2 ± 14.2 mg/dL, while hyperglycemic rats had BGLs >135 mg/dL. The injection of STZ to induce diabetes mellitus (DM) in rats at a dose of 40 mg/kg BW significantly increased BGL, which remained elevated (196.0 ± 4.24 mg/dL) after 56 days. However, the BGLs in P0, P1, and P2 groups remained within the normal range, with respective BGLs of 118.4 ± 1.14, 120.2 ± 1.09, and 126.4 ± 1.67 mg/dL.
STZ induction can trigger either type 1 or type 2 DM, depending on the dose and treatment of the animal model [24]. Intraperitoneal STZ injections of 35 - 65 mg/kg BW in adult rats can induce type 2 DM in rats. High doses (above 40 mg/kg BW) were reported to cause a high mortality rate during the 1st week post-induction due to widespread pancreatic cell damage, resulting in uncontrolled BGL elevation [25]. In contrast, medium doses (35 - 40 mg/kg BW) cause partial damage to pancreatic β-cells, allowing the animal model to survive longer, facilitating the observation of chronic abnormalities [15].
The results of STZ induction at a dose of 40 mg/kg BW caused a permanent increase in BGL in white rats up to day 56. Similarly, Fajarwati et al. [26] reported that DM induction with 40 mg/kg BW STZ significantly increased BGL. The use of STZ at dose of 40 mg/kg BW is recommended because doses below 40 mg/kg BW, although initially causing hyperglycemia, tend to spontaneously undergo a repair mechanism, quickly reversing the diabetic condition. STZ enters pancreatic β-cells through the GLUT2 glucose transporter, leading to reducing GLUT2 expression. This results in decreased peripheral insulin receptor sensitivity, which increases insulin resistance and elevates BGL [27].
STZ can affect blood glucose through 3 mechanisms: The loss of the first-phase insulin response which causes delayed insulin secretion that fails to normalize postprandial blood glucose spikes; a decrease in insulin sensitivity in response to glucose which leading to hyperglycemia; and the failure to stimulate an adequate insulin response [25]. The administration of high-fat diets exacerbates the symptoms of STZ-induced diabetes by increasing blood glucose, fat deposits, and body weight in rats. A high-fat diet induced insulin resistance [28], and medium-dose STZ damaged some β-cells in the pancreas, leading to stable hyperglycemia and clinical manifestations of insulin deficiency and insulin resistance [29].
Feeding a high-fat diet over a period of time while administering STZ closely resembles the pathogenesis of diabetes in humans. It has been observed previously that both the high-fat diet and STZ can influence the diabetic manifestations in animal models [27]. Generally, the high-fat diet used contains 40 - 50% of calories in the form of fat and is given over a period of 4 - 8 weeks, while STZ doses range from 20 - 50 mg/kg BW [16].
The decrease in testosterone levels after STZ injection was likely related to the administered dose. In this study, a significant decline in testosterone levels occurred only when the STZ dose reached 40 mg/kg BW, which correlates with the significant increase in BGLs at this dose, indicating the onset of diabetes. At doses of 20 and 30 mg/kg BW, the rat’s BGLs were increase, although it was not yet considered diabetic. This study’s results support previous reports that observed the testosterone levels decrease in diabetic individuals [30]. The comparison of testosterone levels between diabetic and non-diabetic individuals was 8.9 ± 5.1 and 14.1 ± 7.2 mmol/L, respectively [31]. Brodjonegoro et al. [32] stated that diabetes adversely affects the reproductive system, leading to decreased fertility, testicular damage, and reduced testosterone production.
The increased production of reactive oxygen species (ROS) due to STZ induction leads to the release of nitric oxide (NO), causing oxidative stress that results in lipid peroxidation. The increased oxidative stress had a negative impact on the polyunsaturated fatty acids, which are key components in the formation of plasma membrane phospholipids, including those in Leydig cells. As a result, testosterone production decreases, and the function of the hypothalamic-pituitary-gonadal (HPG) axis was impaired, accompanied by a decrease in luteinizing hormone (LH) secretion [33], and the reduction in LH and follicle-stimulating hormone (FSH) levels causes a drop in testosterone levels [34].
Spermatozoa quality
The sperm concentration, motility, and viability in the diabetic groups were significantly lower compared to the non-diabetic group (p = 0.00), while the abnormality rate was higher in the diabetic groups compared to the non-diabetic group (p = 0.00). Sperm motility showed highly significant differences between groups P0, P1, and P3 (p < 0.01), except between P1 and P2, which showed a significant difference with a p-value of 0.026. Sperm concentration decreased from 95.00 ± 7.94×10⁶ cells/mL in P0 to 39.80 ± 2.59×10⁶ cells/mL in P3. Sperm concentration showed highly significant differences between P0, P1, and P3 (p < 0.01), except between P1 and P2, which showed no significant difference with p-value of 0.078. Sperm viability decreased from 86.62 ± 4.52% in P0 to 37.79 ± 2.26% in P3. Sperm viability showed highly significant differences across all treatment groups (p < 0.01). On the other hand, sperm abnormalities significantly increased from 9.43 ± 1.82% in P0 to 46.39 ± 5.46% in P3. The increase in sperm abnormalities was highly significant in group P3 compared to the other groups (p < 0.01), with no significant differences between P0 and P1 (p = 0.000) or between P1 and P2 (p = 0.000).
Table 3 Average BGLs, testosterone concentrations, sperm quality, and AR intensity scores in Sprague Dawley rats induced with different doses of STZ at day 56.
Sperm quality |
Groups |
||||
P0 (n = 5) |
P1 (n = 5) |
P2 (n = 5) |
P3 (n = 5) |
p-value |
|
Motility (%) |
87.61 ± 3.98d |
73.10 ± 4.01c |
66.75 ± 5.08b |
36.98 ± 3.03a |
0.000 |
Concentration (×106 cells/mL) |
95.00 ± 7.94c |
77.00 ± 6.44b |
70.60 ± 2.07b |
39.80 ± 2.59a |
0.000 |
Viability (%) |
86.62 ± 4.52d |
69.56 ± 3.44c |
60.86 ± 5.50b |
37.79 ± 2.26a |
0.000 |
Abnormality (%) |
9.43 ± 1.82a |
13.44 ± 2.34ab |
17.45 ± 1.62ab |
46.39 ± 5.46c |
0.000 |
a, b, c, d Superscripts in the same row indicate significant differences (p < 0.05). P0: 0 mg/kg BW/rat, P1: 20 mg/kg BW/rat, P2: 30 mg/kg BW/rat, P3: 40 mg/kg BW/rat.
The sperm concentration, motility, and viability in the diabetic groups were significantly lower compared to the non-diabetic group (p = 0.00), while the abnormality rate was higher in the diabetic groups compared to the non-diabetic group (p = 0.00). Sperm motility showed highly significant differences between groups P0, P1, and P3 (p < 0.01), except between P1 and P2, which showed a significant difference with a p-value of 0.026. Sperm concentration decreased from 95.00 ± 7.94×10⁶ cells/mL in P0 to 39.80 ± 2.59×10⁶ cells/mL in P3. Sperm concentration showed highly significant differences between P0, P1, and P3 (p < 0.01), except between P1 and P2, which showed no significant difference with p-value of 0.078. Sperm viability decreased from 86.62 ± 4.52% in P0 to 37.79 ± 2.26% in P3. Sperm viability showed highly significant differences across all treatment groups (p < 0.01). On the other hand, sperm abnormalities significantly increased from 9.43 ± 1.82% in P0 to 46.39 ± 5.46% in P3. The increase in sperm abnormalities was highly significant in group P3 compared to the other groups (p < 0.01), with no significant differences between P0 and P1 (p = 0.000) or between P1 and P2 (p = 0.000).
The results of this study also showed a significant decrease in sperm motility, which is relate to the increasing doses of STZ administered. As the dose of STZ increases, sperm motility decreases. This finding indicated the occurrence of reproductive organs damage in diabetic rats due to STZ induction. Low sperm motility can lead to male infertility. A common complication of diabetes mellitus (DM) is reproductive system dysfunction in males. The testes are one of the tissues sensitive to ROS increases. ROS accumulation in the testes can cause structural and functional damage to the cells within them [35]. DM complications in the male reproductive organs have been observed in both humans and animal models, and these complications result in disrupted spermatogenesis and decreased spermatozoa quality [36].
Hyperglycemia, as seen in the P3 group, also disrupted spermatozoa maturation in the epididymis, particularly during glycolysis. This process generates adenosine triphosphate (ATP), which spermatozoa use as an energy source for movement, allowing them to remain motile and sustain their viability. Energy for sperm motility is supplied in the form of ATP, which is synthesized by mitochondria in the tail of the sperm. Damage to mitochondrial membranes can interfere with sperm motility which affects nutrient transport, essential for sperm viability [37].
The decrease in spermatozoa concentration in this study indicated that DM significantly affects spermatozoa concentration in rats, especially in the P3 group, where a 58% decrease in concentration was observed. This was related to chronic hyperglycemia, which causes cellular damage due to increased ROS, leading to oxidative stress in tissues and eventually damaging mitochondrial membranes. Oxidative stress damages blood vessel endothelial cells, leading to microneuropathy, which disrupts nutrient supply through blood vessels and impairs spermatozoa formation, and a reduction in their concentration [38]. The sustained hyperglycemia in DM also leads to a decrease in testosterone production, which is necessary to initiate and maintain spermatogenesis and to sustain sperm quality until they exit the body. The reduction in reproductive hormones, such as testosterone, is accompanied by a decrease in LH and FSH, leading to a decrease in spermatozoa count. The impaired spermatogenesis process involves the development of spermatogonia, spermatocytes, spermatids, and spermatozoa, thus reducing the number of spermatogenic cells [39].
From the spermatozoa viability data in this study, it can be seen that a dose of 40 mg/kg BW caused the largest decrease in viability compared to other treatment groups, indicating that STZ causes severe damage to the pancreas, resulting in severe hyperglycemia. This was related to the increase in BGLs, leading to hyperglycemia and triggering an increase in ROS compounds and the release of nitric oxide (NO) from STZ, which reduces antioxidant capacity, thus leading to damage in the testes and spermatozoa in the DM rat model [38]. The decrease in spermatozoa viability was also due to disturbances in spermatogenesis, suspected to be caused by impaired ATPase enzyme activity in the tail membrane of spermatozoa. Disruption of ATPase enzyme activity can interfere with sodium and potassium particle homeostasis, increasing intracellular Na concentration. Meanwhile, the Na+ gradient across the cell membrane will decrease, resulting in a reduction in Ca2+ efflux. If Ca2+ ions decrease, the membrane will lose its ability to transport solutes into the cytoplasm, and disruption of membrane permeability will impair the transport of nutrients necessary for sperm motility [40].
The decrease in spermatozoa viability was also due to disturbances in spermatogenesis caused by DM, which leads to the suppression of gonadotropin-releasing hormone (GnRH), reducing the secretion of FSH and LH. A reduction in FSH inhibits secretion by Sertoli cells, which function to form the blood-testis barrier to create an optimal microenvironment during spermatogenesis. If the function of Sertoli cells is disrupted, it will reduce the secretion of androgen-binding protein (ABP), nutrient supply, growth factors, and lactic acid, thus lowering spermatogenesis [41,42].
Another effect of DM on male reproductive tissue is the presence of spermatozoa shape abnormalities. In this study, abnormalities observed include overly large, small, flattened, double, or absent heads, and at the midpiece, abnormalities include folds or indentations. Abnormalities in the tail include coiled tails, broken tails, and double tails. This condition is consistent with the previous report in which spermatozoa abnormalities include overly large or small heads, flattened heads, double heads, or no head, and folds or indentations in the midpiece. In contrast, tail abnormalities include coiled, broken, and double tails [42]. Hyperglycemia and increased ROS also affect spermatozoa abnormalities, resulting in physical damage or deformities that occur during sperm formation in the seminiferous tubules or during sperm transportation through the male reproductive organs. These forms of abnormalities are consistent with previous reports.
The average spermatozoa abnormalities in rats induced with STZ showed a significant increase due to prolonged hyperglycemia effects. The highest percentage of spermatozoa abnormalities was observed in the P3 group (dose 40 mg/kg BW). According to Brodjonegoro et al. [32] and Omolaoye and Plessis [36], the abnormalities in spermatozoa are classified as primary and secondary abnormalities. Primary abnormalities occur due to a decrease in testosterone levels, which impedes the formation of α-tubulin proteins that are essential components of microtubules and microfilaments in spermiogenesis. Secondary abnormalities occur due to disruptions in sperm maturation in the epididymis. While in the epididymis, spermatozoa undergo several morphological changes (size, shape, ultrastructure of the midpiece, DNA, and functional changes in metabolism and plasma membrane properties). According to Alabi [28], sperm maturation in the epididymis highly depends on testosterone levels. A decrease in testosterone levels leads to abnormal sperm morphology.
In this study, the spermatozoa abnormality value was 46.45 ± 9.37, decrease of 76.99% from the normal condition. Spermatozoa abnormalities are considered acceptable when below 20%. Based on these data, the abnormalities observed in this study due to the STZ induction at dose of 40 mg/kg BW were considered very severe. This condition leads to a reduced amount of glucose being transported from the bloodstream into the cells, forcing the cells to find alternative energy sources through the breakdown of carbohydrates, proteins, and fats. This breakdown process results in excessive free radical production, leading to oxidative stress [35]. As a result, sexual dysfunction occurs, including reduced libido, impotence, ejaculatory dysfunction, and infertility due to low testosterone levels.
Spermatozoa abnormalities are also influenced by the condition of the testes, which are composed of high levels of unsaturated fatty acids and have limited antioxidant reserves, making them vulnerable to free radical attacks. Since the testes are the key organ for sperm production and regulate reproductive hormones, DM can lead to testicular dysfunction, including impaired spermatogenesis and decreased sperm quality, all of which are directly related to testicular health [43,44].
Association of BGLs with testosterone, sperm quality, and AR intensity score after STZ induction
The relationship between increased BGLs in STZ-induced Sprague Dawley rats, testosterone hormone levels, and sperm quality is presented in Table 4.
Table 4 describes the relationship between BGLs, testosterone hormone, and sperm quality in STZ-induced Sprague Dawley rats. The BGLs of STZ-induced rats showed a highly significant correlation with all measured parameters (p < 0.01). BGLs exhibited a strong negative correlation with testosterone concentration (r = –0.954; p < 0.01), indicating that an increase in BGLs simultaneously leads to a decrease in testosterone concentration. A similar trend was observed for sperm motility (r = –0.918; p < 0.01), sperm concentration (r = –0.896; p < 0.01), and sperm viability (r = –0.872; p < 0.01), demonstrating that higher BGLs also result in reduced sperm motility, concentration, and viability. Conversely, BGLs showed a strong positive correlation with sperm abnormalities (r = 0.975; p < 0.01), meaning that an increase in BGLs is associated with a higher percentage of abnormal sperm.
The proposed mechanism by which STZ-induced hyperglycemia impairs male fertility involves a cascade of oxidative stress, hormonal disruption, and cellular damage. Chronic hyperglycemia triggers excessive reactive oxygen species (ROS) production, overwhelming antioxidant defenses like manganese superoxide dismutase (MnSOD), which is significantly reduced in diabetic testes. This oxidative stress directly damages Leydig cells, leading to decreased testosterone production, and disrupts Sertoli cell function by altering occludin distribution in the blood-testis barrier, compromising spermatogenic support [36].
Table 4 Pearson correlation between BGLs, testosterone, and sperm quality parameters after STZ induction.
|
Testosterone hormone |
Sperm quality |
||||
Motility |
Concentration |
Viability |
Abnormality |
|||
Blood glucose level |
Pearson Correlation |
–0.954** |
–0.918** |
–0.896** |
–0.872** |
0.975** |
Sig. (2-tailed) |
0.000 |
0.000 |
0.000 |
0.000 |
0.000 |
|
N |
20 |
20 |
20 |
20 |
20 |
|
Testosterone |
Pearson Correlation |
|
0.908** |
0.893** |
0.869** |
–0.956** |
Sig. (2-tailed) |
|
0.000 |
0.000 |
0.000 |
0.000 |
|
N |
|
20 |
20 |
20 |
20 |
|
Sperm motility |
Pearson Correlation |
|
|
0.950** |
0.950** |
–0.927** |
Sig. (2-tailed) |
|
|
0.000 |
0.000 |
0.000 |
|
N |
|
|
20 |
20 |
20 |
|
Sperm concentration |
Pearson Correlation |
|
|
|
0.950** |
–0.918** |
Sig. (2-tailed) |
|
|
|
0.000 |
0.000 |
|
N |
|
|
|
20 |
20 |
|
Sperm viability |
Pearson Correlation |
|
|
|
|
–0.900** |
Sig. (2-tailed) |
|
|
|
|
0.000 |
|
N |
|
|
|
|
20 |
|
** Correlation is significant at the 0.01 level (2-tailed).
Leydig cells, which are responsible for testosterone production, experience oxidative stress-induced activation of the p38 MAPK signaling pathway. This activation leads to a decrease in the expression of key steroidogenic proteins such as StAR, CYP11A1, and CYP17A1, along with an increase in p21 expression. These changes indicate cellular senescence and a subsequent decline in testosterone synthesis [45]. Similarly, Sertoli cells, which support sperm development, are adversely affected by oxidative stress. Activation of the p38 MAPK pathway in these cells disrupts their ability to provide essential nutrients and paracrine signals necessary for spermatogenesis. Additionally, this activation compromises the integrity of the blood-testis barrier (BTB), leading to a reduction in both the quantity and quality of sperm [46].
The proposed mechanism behind this phenomenon is that hyperglycemia induced by STZ triggers oxidative stress and chronic inflammation in the testes, damaging the testosterone-producing Leydig cells and the Sertoli cells that support spermatogenesis. The accumulation of advanced glycation end-products (AGEs) may also compromise sperm DNA integrity and mitochondrial function, further impairing motility and viability. The decline in testosterone exacerbates spermatogenic disruption, leading to reduced sperm concentration and quality [47]. These findings reinforce the evidence that STZ-induced diabetes negatively affects fertility by decreasing sperm quality through both hormonal and cellular pathways. Further research is needed to explore protective strategies or therapies that could mitigate the harmful effects of hyperglycemia on the male reproductive system.
IHC overview of the testes
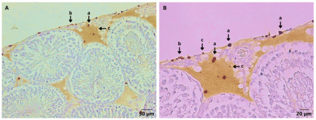
The results of IHC staining, observed using a photomicrograph light microscope (Olympus BX 53, Japan) at 100× magnification, are presented in Figures 1 and 2. The findings of this study indicated that the induction of diabetes mellitus (DM) using STZ at a dose of 40 mg/kg BW resulted in the permanent induction of DM in the rats, leading to testicular damage that disrupted testosterone hormone production. Consequently, IHC analysis showed low AR expression in this group. In contrast, AR expression in the P0, P1, and P2 groups remained high.
Numerous studies conducted on both humans and animals have shown that diabetes mellitus (DM) leads to infertility through various mechanisms, including alterations in spermatogenesis, glucose metabolism in the blood-testis barrier, and Sertoli cells. Additionally, DM induces apoptosis in the testes, reduces testosterone production and release, causes ejaculatory dysfunction, and decreases libido [48]. Oxidative stress is believed to play a significant role in the pathophysiology of male reproductive dysfunction and DM-related changes [49].
The presence of AR in the testicular tissue of male Sprague Dawley rats in this study was detected using the ABC immunohistochemistry (IHC) staining method. The immunoreactivity visualization was indicated by the formation of a brown color, signifying a reaction between the DAB chromogen and the antigen-antibody complex (AR). A positive AR presence in the testes was confirmed by the absence of staining in the negative control slides included during IHC staining [23].
Based on the one-way ANOVA test results, there was a highly significant difference in AR expression levels among groups exposed to different STZ doses. The P0 group exhibited the highest expression scores, whereas AR expression in the P1 and P2 groups showed a declining trend, although the difference was not statistically significant (p > 0.05). In the P3 group, AR expression showed the most significant reduction compared to the other groups. This study demonstrates that DM induction using a 40 mg/kg BW STZ dose effectively induces permanent DM and testicular damage, leading to impaired testosterone production, which was reflected in the low AR expression in IHC analysis.
According to Fajarwati et al. [26], STZ at dose below 40 mg/kg BW initially cause hyperglycemia, but a spontaneous recovery mechanism soon reverses the DM condition, preventing the persistent hyperglycemia-induced damage mediated by STZ. This effect directly leads to irreversible β-cell dysfunction, mediated by an increase in reactive free radical formation, resulting in oxidative stress in the testes. This oxidative stress contributes to the pathogenesis of diabetic complications and leads to increased reactive oxygen species (ROS) production or weakened ROS scavenging capacity, ultimately causing testicular tissue damage, and disrupting testosterone production. In this study, significantly lower testosterone levels were found in diabetic rats (P3 group) compared to other groups. These findings align with Soliman et al. [50], who reported significantly lower testosterone levels in both serum and seminal fluid of diabetic rats due to lipid peroxidation affecting testosterone biosynthesis.
Lipid peroxidation induced by increased ROS leads to damage to the germinal epithelial cell membranes in seminiferous tubules and testicular cell degeneration, particularly in Sertoli cells, mediated by reactive oxygen species such as O2–, H2O2, and OH– [27]. In diabetic rats, AR expression was significantly reduced due to ROS accumulation under chronic hyperglycemic conditions, which contributed to testicular damage. In contrast, in non-diabetic rats, AR immunoexpression was strongly observed in Sertoli cells, peritubular myoid cells, and Leydig cells. In STZ-induced diabetic rats, along with reduced AR immunoexpression, there was also a drastic decline in testosterone levels [50].
Variations in staining intensity for AR immunoreactivity in testicular tissue in this study were associated with differences in treatment groups. STZ injection at different doses was used to compare changes in AR expression in the testicular tissue of Sprague Dawley rats across treatment groups. Differences in AR expression levels between groups were likely influenced by the STZ dose administered. In the P1 and P2 groups, the STZ dose used to induce DM was not yet optimal in causing permanent DM and significant testicular damage, as observed in the P3 group. This was evidenced by the weak AR expression in the testicular tissue of Sprague Dawley rats, indicating that STZ had not yet fully exerted its effects [10].
AR immunoexpression in diabetic rats (P3 group) had a score of 1 with pale brown staining, indicating weak immunoreactivity. This condition was due to DNA damage in the testes caused by oxidative stress induced by DM [11]. It is widely recognized that excessive ROS leads to testicular dysfunction and oxidative damage to germ cells, ultimately causing infertility. DM can reduce fertility potential by impairing testicular function through its effects on sperm parameters, DNA integrity, and androgen hormone levels [51]. Androgens play a crucial role in various processes, including regulating Sertoli cell maturation, supporting the blood-testis barrier (BTB), and facilitating germ cell proliferation, differentiation, and spermiation. Androgens exert their effects through the AR, which functions via classical (genomic) and non-classical (non-genomic) pathways. Sertoli cells begin expressing AR at around 12 months in humans and approximately 4 - 5 days after birth in rats [10]. The role of androgens in Sertoli cells is essential for proper testicular maturation and normal spermatogenesis. When AR is absent or dysfunctional in Sertoli cells, as in diabetes, spermatogenesis is disrupted due to the failure of meiosis, leading to infertility and reduced AR expression. This characteristic phenotype has been observed in studies involving both humans and experimental rat models [11].
Testicular maturation is closely linked to the development of the hypothalamic-pituitary-gonadal (HPG) axis, which is regulated by positive and negative feedback mechanisms ensuring proper gonadal function. Several hormones, including FSH, LH, estrogen, and androgens, play critical roles in testicular maturation. Sertoli cells serve as the physical and physiological foundation of the seminiferous epithelium, acting as a bridge between the HPG axis, germ cells, and sperm production. To fulfill their various functions in adult testes, Sertoli cells must mature at the appropriate time, preparing to respond to androgen actions. Androgens are responsible for numerous developmental events in the testes, most of which rely on androgen stimulation. STZ-induced DM disrupts spermatogenesis by reducing AR expression. In the present study, STZ significantly induced DM, increased abnormalities in seminiferous tubules, and reduced the number of Leydig and Sertoli cells, leading to lower AR expression in the testes. These findings indicate impaired spermatogenesis and steroidogenesis [52].
In the P3 treatment group, AR expression was weak, likely due to STZ-induced oxidative stress. As reported by Shokri et al. [14], oxidative stress plays a crucial role in the pathophysiology of testicular dysfunction and abnormalities, including the downregulation of nuclear factor erythroid 2-related factor 2 (Nrf2) in the testes, which is essential for antioxidant defense. Moreover, several studies have shown that DNA fragmentation in sperm is significantly higher in diabetic conditions, leading to reduced sperm quality and function. Changes in testicular metabolite levels and spermatogenesis-related gene expression further contribute to altered AR expression. Meanwhile, AR expression in the P0, P1, and P2 groups remained strong to moderate, as these rats only experienced transient DM, which did not cause significant testicular damage. The normal concentration of testosterone in these groups played a positive role in maintaining AR expression in Sertoli cells. This finding aligns with O’Donnell et al. [44] which states that testosterone modulates spermatogenesis by directly and indirectly regulating gene and protein expression in Sertoli and germ cells. Testosterone produced by Leydig cells binds to AR in Sertoli cells, which then secrete androgen-binding protein (ABP) and inhibin, supporting sperm development.
Histopathological overview of the testes
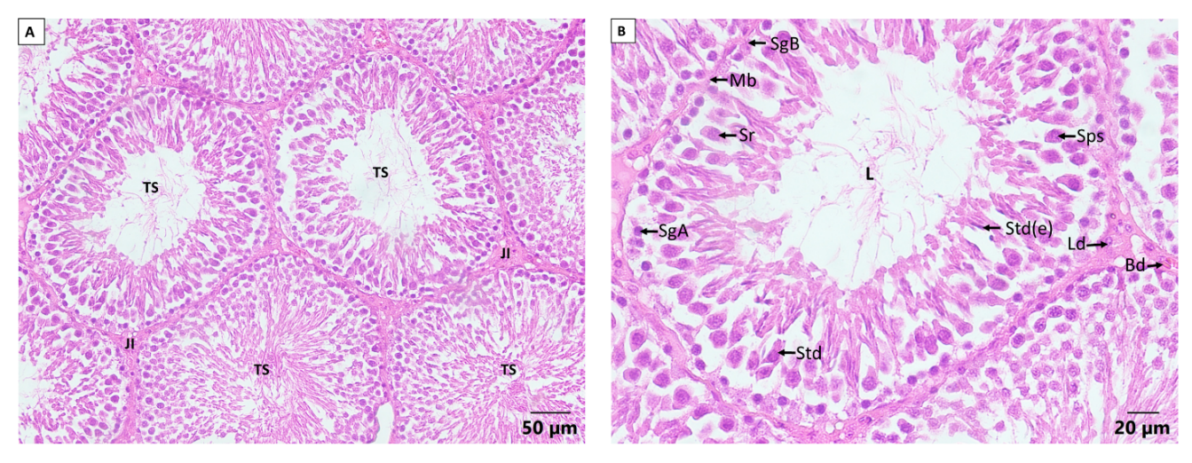
Histologically, the effect of STZ with various levels on testes is depicted in Figures 3 and 4. The histological structure of the testes in the control group (P0) of white rats showed compact seminiferous tubules lined with a thick layer of spermatogenic cells at various stages of maturation. The testicular parenchyma consists of seminiferous tubules separated by interstitial tissue. The lumen of the seminiferous tubules and epithelial cells of the seminiferous tubules consisted of type A spermatogonia, type B spermatogonia, spermatocytes, spermatids, elongated spermatids, and Sertoli cells. The basal membrane of the tubules and Leydig cells were normally distributed around blood vessels within the interstitial tissue.
The histological structure of the testes in the PI and PII groups of white rats appeared normal, showing compact seminiferous tubules lined with a thick layer of spermatogenic cells at various stages of maturation. However, in the P3 group, histopathological changes and testicular damage were evident. These included a reduction in seminiferous tubule diameter, structural disorganization, a significant decrease in spermatogenic cells, a reduction in primary and secondary spermatocytes, fewer spermatids, and a decline in Sertoli and Leydig cells. The basal membrane of the seminiferous tubules also showed thinning. Additionally, the interstitial space between seminiferous tubules exhibited decreased connective tissue. These damages became more severe with increasing STZ dosage.
Figure 1 Microscopic representation of AR expression in the testes of male Sprague Dawley rats in the P0 group (A and B) a: AR expression score = 3, b: AR expression score = 2 and c: AR expression score = 1 (IHC, 100×).
Figure 2 Microscopic representation of AR expression in the testes of male Sprague Dawley rats in the PI (C and D), PII (E and F), and PIII (G and H) Groups. a: AR expression score = 3, b: AR expression score = 2, c: AR expression score = 1 and d: AR expression score = 0 (IHC, 100×).
Figure 3 Histological representation of rat testes in the control group. (A) The testicular parenchyma consists of seminiferous tubules (TS) separated by interstitial tissue (JI) (H&E, 200×). (B) Inset: Lumen of the seminiferous tubules (L), type A spermatogonia (dark) (SgA), type B spermatogonia (pale) (SgB), spermatocytes (Sps), spermatids (Std), elongated spermatids (Std (e)), and Sertoli cells (Sr), basal membrane of the tubules (Mb), Leydig cells (Ld), blood vessels (Bd) (H&E, 400×).
Figure 4 Histological structure of rat testes in groups PI, PII, and PIII. C. E. The histological structure of the testes in the PI and PII groups. The testicular parenchyma consists of seminiferous tubules (TS) separated by interstitial tissue (JI) (H&E, 200×). D, F. Inset (H&E, 400×). G, H. The histopathological structure of the testes in the PIII group (H&E, 200×). D, F. Inset: Lumen of the seminiferous tubules (L), A spermatogonia (dark) (SgA), type B spermatogonia (pale) (SgB), spermatocytes (Sps), spermatids (Std), elongated spermatids (Std (e)), Sertoli cells (Sr), basal membrane of the tubules (Mb), Leydig cells (Ld), blood vessels (Bd) (H&E, 400×).
In the P1 and P2 rat groups, the histological structure remained normal. However, in the P3 group, histopathological changes and testicular damage were evident. The decrease in Sertoli and Leydig cells in rats induced with 40 mg/kg BW of STZ was attributed to the cytotoxic effects of STZ specifically targeting pancreatic β-cells. This leads to impaired insulin production, inducing diabetes mellitus (DM) and hyperglycemia, which in turn increases reactive oxygen species (ROS) production and oxidative stress in the body [53]. Excessive lipid peroxidation at the gonadal (testicular) tissue level can cause various sexual dysfunctions, including a decrease in serum testosterone levels due to impaired Leydig cell function [54].
Damage to the germinal epithelial cell membranes of the seminiferous tubules and degeneration of testicular cells are primary consequences of ROS exposure. Reactive oxygen species such as O2-, H2O2, and OH- play a crucial role in oxidative damage to cells, including Sertoli cells [55]. The decline in Sertoli and Leydig cell numbers was also suspected to result from free radical-induced disruption of the hypothalamus, which secretes gonadotropin-releasing hormone (GnRH). This disruption affects the pituitary gland’s ability to secrete luteinizing hormone (LH) and follicle-stimulating hormone (FSH), both of which regulate Leydig and Sertoli cell function. Consequently, the decreased activity of these cells reduces their proliferation, leading to a decline in their numbers [56].
Conclusions
Based on the results obtained, it can be concluded that the induction of type 2 Diabetes Mellitus (DM) through the injection of STZ at a dose of 40 mg/kg BW led to permanent hyperglycemia in male Sprague Dawley rats. This condition resulted in decreased semen quality, reduced testosterone levels, and lower AR expression intensity. These findings underscore a reliable method for studying the reproductive consequences of DM and may serve as a platform for evaluating potential therapeutic interventions to mitigate DM-related infertility.
Acknowledgements
This study was supported by the Universitas Syiah Kuala, Indonesia, for funding this research. The Directorate of Research and Community Services at Universitas Syiah Kuala, funded this research through the Penelitian Penugasan (Grant No. 772/UN11.2.1/PG.01.03/SPK/PTNBH/2024).
Declaration of generative AI and AI-assisted technologies in the writing process
The authors declare that no generative AI or AI-assisted technologies were used in the writing, editing, or content creation of this manuscript. All work is solely the result of human effort.
CRediT Author Statement
Nazaruddin Nazaruddin: Data curation Conceptualization, Formal analysis, Investigation, Funding acquisition, and Writing –original draft.
Tongku Nizwan Siregar: Conceptualization, Methodology, Supervision, and Writing –original draft.
Amalia Sutiana: Data curation, Formal analysis, Investigation, Validation, and and Writing –original draft.
Sri Wahyuni: Formal analysis, Investigation, and Validation.
Teuku Armansyah: Data curation, Project administration, Formal analysis, Validation, and Visualization.
References
[1] ME Jasim and NE Abdul-Razzaq. A comparative study between metformin and insulin on biochemical variables in diabetic patients. Endocrine and Metabolic Science 2024; 16, 100206.
[2] SA Antar, NA Ashour, M Sharaky, M Khattab, NA Ashour, RT Zaid, EJ Roh, A Elkamhawy and AA Al-Karmalawy. Diabetes mellitus: Classification, mediators, and complications; A gate to identify potential targets for the development of new effective treatments. Biomedicine and Pharmacotherapy 2023; 168, 115734.
[3] P Saeedi, I Petersohn, P Salpea, B Malanda, S Karuranga, N Unwin, S Colagiuri, L Guariguata, AA Motala, K Ogurtsova, JE Shaw, D Bright and R Williams. Global and regional diabetes prevalence estimates for 2019 and projections for 2030 and 2045: Results from the International Diabetes Federation Diabetes Atlas, 9th edition. Diabetes Research and Clinical Practice 2019; 157, 107843.
[4] J Wang, B Bao, J Feng, Q Zhao, H Dai, F Meng, S Deng, B Wang and H Li. Effects of diabetes mellitus on sperm quality in the Db/Db mouse model and the role of the FoxO1 pathway. Medical Science Monitor 2021; 27, e928232.
[5] A Papadopoulou, P Karkalousos and M Trapali. Effects of diabetes mellitus upon sperm quality insight into molecular level. Journal of Diabetes Mellitus 2022; 12(2), 75-86.
[6] A Matuszewska, K Kowalski, P Jawień, T Tomkalski, D Gaweł-Dąbrowska, A Merwid-Ląd, E Szeląg, K Błaszczak, B Wiatrak, M Danielewski, J Piasny and A Szeląg. The hypothalamic-pituitary-gonadal axis in men with schizophrenia. International Journal of Molecular Sciences 2023; 24(7), 6492.
[7] M Dai, W Guo, S Zhu, G Gong, M Chen, Z Zhong, J Guo and Y Zhang. Type 2 diabetes mellitus and the risk of abnormal spermatozoa: A Mendelian randomization study. Frontiers in Endocrinology 2022; 13, 1035338.
[8] H Husnurrizal, S Wahyuni, Hafizuddin, CN Thasmi, MR Ramadhan, MM Ahsan and TN Siregar. Testosterone concentration, libido and spermatozoa quality in gembrong goats after in vivo and in vitro PGF2α administration. American Journal of Animal and Veterinary Sciences 2024; 19(2), 142-149.
[9] F Lotti and M Maggi. Effects of diabetes mellitus on sperm quality and fertility outcomes: Clinical evidence. Andrology 2023; 11(2), 399-416.
[10] NY Edelsztein and RA Rey. Importance of the androgen receptor signaling in gene transactivation and transrepression for pubertal maturation of the testis. Cells 2019; 8(8), 861.
[11] Y Li, B Yao, J Men, Y Pang, J Gao, Y Bai, H Wang, J Zhang, L Zhao, X Xu, J Dong, C Li and R Peng. Oxidative stress and energy metabolism in male reproductive damage from single and combined high-power microwave exposure at 1.5 and 4.3GHz. Reproductive Toxicology 2025; 132, 108759.
[12] A Fernández-Guasti, BG Quintanar, R Reyes, A Hernández, R Chavira and CE Roselli. Androgen receptors immunoreactivity in the rat brain of males with same-sex preference. Hormones and Behavior 2022; 146, 105279.
[13] BL Furman. Streptozotocin-induced diabetic models in mice and rats. Current Protocols in Pharmacology 2021; 1(4), e78.
[14] A Shokri, B Pourheydar, G Hossein Farjah, M Krimipour and M Pourheydar. Effects of glibenclamide and troxerutin on the sperm parameters and histopathological changes of testis in streptozotocin-induced diabetic male rats: An experimental study. International Journal of Reproductive Biomedicine 2023; 21(2), 123-138.
[15] B Hitchen, K Norwood, VA Gault and JC Leslie. Behavioural evaluation of mouse models of type 2 diabetes. Learning and Motivation 2021; 74, 101730.
[16] F Husna, FD Suyatna, W Arozal and EH Purwaningsih. Animal models in diabetes research (in Indonesian). Pharmaceutical Sciences and Research 2019; 6(3), 131-141.
[17] Baharuddin and R Ikawaty. Bibliometric analysis: The use of Streptozotocin (STZ) In diabetic animal model. Journal of Documentation and Information Science 2023; 7(2), 83-91.
[18] Herlina, A Amriani, I Solihah, P Damayanti and SW Rais. Effectiveness of ethanolic extract ketepeng cina leaves (Senna alata L.) as antidiabetic activity test in male wistar rats induced by alloxan. In: Proceedings of the Sriwijaya International Conference on Basic and Applied Science, Palembang, Indonesia. 2019, p. 12085.
[19] SF Pasaribu, B Wiboworini and LR Kartikasari. Effect of germinated black rice krisna extract on fasting blood glucose and body weight in diabetes mellitus rats. International Journal of Nutrition Sciences 2021; 6(4), 194-200.
[20] G Gholib, S Wahyuni, OH Kadar, M Adam, TM Lubis, A Azhar, M Akmal, TN Siregar, T Armansyah and TP Nugraha. Measurement of serum testosterone in kacang goat byusing enzyme-linked immunosorbent assay (ELISA) technique: The importance of kit validation (in Indonesian). Jurnal Kedokteran Hewan 2016; 10(1), 32-36.
[21] C Dunn, D Brettle, M Cockroft, E Keating, C Revie and D Treanor. Quantitative assessment of H&E staining for pathology: Development and clinical evaluation of a novel system. Diagnostic Pathology 2024; 19(1), 42.
[22] LKB Mudduwa. Quick score of hormone receptor status of breast carcinoma: Correlation with the other clinicopathological prognostic parameters. Indian Journal of Pathology and Microbioligy 2009; 52(2), 159-163.
[23] A Ågmo. Androgen receptors and sociosexual behaviors in mammals: The limits of generalization. Neuroscience and Biobehavioral Reviews 2024; 157, 105530.
[24] H Rehman, K Ullah, A Rasool, R Manzoor, Y Yuan, AM Tareen, I Kaleem, N Riaz, S Hameed and S Bashir. Comparative impact of streptozotocin on altering normal glucose homeostasis in diabetic rats compared to normoglycemic rats. Scientific Reports 2023; 13(1), 7921.
[25] A Ghasemi and S Jeddi. Streptozotocin as a tool for induction of rat models of diabetes: A practical guide. EXCLI Journal 2023; 22, 274-294.
[26] I Fajarwati, DD Solihin, T Wresdiyati and I Batubara. Self-recovery in diabetic Sprague Dawley rats induced by intraperitoneal alloxan and streptozotocin. Heliyon 2023; 9(5), e15533.
[27] DAD Magalhães, WT Kume, FS Correia, TS Queiroz, EW Allebrandt, MPD Santos, NH Kawashita and SAD França. High-fat diet and streptozotocin in the induction of type 2 diabetes mellitus: A new proposal. Anais da Academia Brasileira de Ciências 2019; 91(1), e20180314.
[28] TD Alabi, CD Villiers, SSD Plessis, TK Monsees, NL Brooks and OO Oguntibeju. The beneficial role of Anchomanes difformis in STZ-induced reproductive dysfunction in male Wistar rats. Diabetes, Metabolic Syndrome and Obesity 2020; 13, 4543-4560.
[29] KC Racine, L Iglesias-Carres, JA Herring, KL Wieland, PN Ellsworth, JS Tessem, MG Ferruzzi, CD Kay and AP Neilson. The high-fat diet and low-dose streptozotocin type-2 diabetes model induces hyperinsulinemia and insulin resistance in male but not female C57BL/6J mice. Nutrition Research 2024; 131, 135-146.
[30] GA Kanakis, CP Tsametis and DG Goulis. Measuring testosterone in women and men. Maturitas 2019; 125, 41-44.
[31] N Kumari, A Khan, U Shaikh, K Lobes, D Kumar, F Suman, NS Bhutto, F Anees, S Shahid and A Rizwan. Comparison of testosterone levels in patients with and without type 2 diabetes. Cureus 2021; 13(7), e16288.
[32] SR Brodjonegoro, T Ghinorawa, NKR Wonatorey, A Zulfiqqar and DS Heriyanto. Effect of hyperglycemia on fertility in streptozotocin-induced diabetic male Wistar rats: Focus on glucose transporters and oxidative stress. Medical Journal of Indonesia 2021; 30(3), 177-181.
[33] S Roychoudhury, S Chakraborty, AP Choudhury, A Das, NK Jha, P Slama, M Nath, P Massanyi, J Ruokolainen and KK Kesari. Environmental factors-induced oxidative stress: Hormonal and molecular pathway disruptions in hypogonadism and erectile dysfunction. Antioxidants 2021; 10(6), 837.
[34] A Caturano, M D’Angelo, A Mormone, V Russo, MP Mollica, T Salvatore, R Galiero, L Rinaldi, E Vetrano, R Marfella, M Monda, A Giordano and FC Sasso. Oxidative stress in type 2 diabetes: Impacts from pathogenesis to lifestyle modifications. Current Issues in Molecular Biology 2023; 45(8), 6651-6666.
[35] M Naghibi, H Tayefi Nasrabadi, J Soleimani Rad, A Garjani, MSG Farashah and D Mohammadnejad. Forskolin improves male reproductive complications caused by hyperglycemia in type 2 diabetic rats. International Journal of Fertility and Sterility 2023; 17(4), 268-275.
[36] TS Omolaoye and SSD Plessis. The effect of streptozotocin induced diabetes on sperm function: A closer look at AGEs, RAGEs, MAPKs and activation of the apoptotic pathway. Toxicological Research 2021; 37(1), 35-46.
[37] K Fu, C Gao, X Li, H Zhang and B Xue. 3-chloro-1,2-propanediol induces oxidative stress and promotes testicular damage and infertility in rats through CYP2C9. Reproductive Toxicology 2024; 128, 108633.
[38] A Sampannang, S Arun, J Burawat, W Sukhorum and S Iamsaard. Comparison of male reproductive parameters in mice with type 1 and type 2 diabetes. Clinical and Experimental Reproductive Medicine 2020; 47(1), 20-33.
[39] D Julia, S Salni and S Nita. Pengaruh ekstrak bunga kembang sepatu (Hibiscus rosa-sinensis Linn.) terhadap jumlah, motilitas, morfologi, vabilitas spermatozoa tikus jantan (Rattus norvegicus) (in Indonesian). Biomedical Journal of Indonesia: Jurnal Biomedik Fakultas Kedokteran Universitas Sriwijaya 2019; 5(1), 34-42.
[40] TS Omolaoye and SSD Plessis. Male infertility: A proximate look at the advanced glycation end products. Reproductive Toxicology 2020; 93, 169-177.
[41] F Benko, M Chomová, O Uličná and E Tvrdá. ZDF rats: A suitable model to study male reproductive dysfunction in diabetes mellitus type 2 patients. In: Animal models in medicine and biology. IntechOpen, London, 2020.
[42] SO Olojede, SK Lawal, OS Aladeyelu, KS Olaniyi, R Moodley, CO Rennie, EC Naidu and OO Azu. Studies on testicular ultrastructural and hormonal changes in type-2 diabetic rats treated with highly active antiretroviral therapy conjugated silver nanoparticles. Life Sciences 2022; 298, 120498.
[43] OO Ojo and OO Olorunsogo. Quercetin and vitamin E attenuate diabetes-induced testicular anomaly in Wistar rats via the mitochondrial-mediated apoptotic pathway. Andrologia 2021; 53(10), e14185.
[44] L O’Donnell, LB Smith and D Rebourcet. Sertoli cells as key drivers of testis function. Seminars in Cell and Developmental Biology 2022; 121, 2-9.
[45] D Luo, X Qi, X Xu, L Yang, C Yu and Q Guan. Involvement of p38 MAPK in Leydig cell aging and age-related decline in testosterone. Frontiers in Endocrinology 2023; 14, 1088249.
[46] FD Ni, SL Hao and WX Yang. Multiple signaling pathways in Sertoli cells: Recent findings in spermatogenesis. Cell Death and Disease 2019; 10, 541.
[47] A Nisa and W Abdullah. Impact of glycation and diabetes on sperm DNA integrity that leads to infertility in male. International Journal of Novel Research and Development 2023; 8(4), a185-a193.
[48] OC Badejogbin, OE Chijioke-Agu, MV Olubiyi and MO Agunloye. Pathogenesis of testicular dysfunction in diabetes: Exploring the mechanism and therapeutic interventions. Journal of Assisted Reproduction and Genetics 2025; 42(2), 367-379.
[49] Z He, G Yin, QQ Li, Q Zeng and J Duan. Diabetes mellitus causes male reproductive dysfunction: A review of the evidence and mechanisms. In Vivo 2021; 35(5), 2503-2511.
[50] GA Soliman, AS Saeedan, RF Abdel-Rahman, HA Ogaly, RM Abd-Elsalam and MS Abdel-Kader. Olive leaves extract attenuates type II diabetes mellitus-induced testicular damage in rats: Molecular and biochemical study. Saudi Pharmaceutical Journal 2019; 27(3), 326-340.
[51] SB Meroni, MN Galardo, G Rindone, A Gorga, MF Riera and SB Cigorraga. Molecular mechanisms and signaling pathways involved in sertoli cell proliferation. Frontiers in Endocrinology 2019; 10, 224.
[52] L Moutard, C Goudin, C Jaeger, C Duparc, E Louiset, T Pereira, F Fraissinet, M Delessard, J Saulnier, A Rives-Feraille, C Delalande, H Lefebvre, N Rives, L Dumont and C Rondanino. Steroidogenesis and androgen/estrogen signaling pathways are altered in in vitro matured testicular tissues of prepubertal mice. eLife 2023; 12, RP85562.
[53] W Shah, R Khan, B Shah, A Khan, S Dil, W Liu, J Wen and X Jiang. The molecular mechanism of sex hormones on sertoli cell development and proliferation. Frontiers in Endocrinology 2021; 12, 648141.
[54] JZ AlTamimi, NA AlFaris, GM Alshammari, RI Alagal, DH Aljabryn and MA Yahya. Esculeoside A alleviates reproductive toxicity in streptozotocin-diabetic rats’ s model by activating Nrf2 signaling. Saudi Journal of Biological Sciences 2023; 30(9), 103780.
[55] SJ Gilani, MN Bin-Jumah, FA Al-Abbasi, MS Nadeem, M Afzal, N Sayyed and I Kazmi. Fustin ameliorates hyperglycemia in streptozotocin induced type-2 diabetes via modulating glutathione/Superoxide dismutase/Catalase expressions, suppress lipid peroxidation and regulates histopathological changes. Saudi Journal of Biological Sciences 2021; 28(12), 6963-6971.
[56] MR Al‐Shathly, SS Ali and NN Ayuob. Zingiber officinale preserves testicular structure and the expression of androgen receptors and proliferating cell nuclear antigen in diabetic rats. Andrologia 2020; 52(3), e13528.